Clinical Mastery Series - Online
Clinical Mastery Series - Online
Practical and timely restorative content from today's top educators!!!
Blog By:
jennjanicki
jennjanicki

Don't Let Fractures Ruin Your Day: Six Guidelines to Minimize Porcelain Fractures

Don't Let Fractures Ruin Your Day: Six Guidelines to Minimize Porcelain Fractures

5/1/2022 4:45:00 PM   |   Comments: 0   |   Views: 650

by John Nosti

Nosti 1Porcelain fracture can be one of the most disheartening events to happen in a dental office. We have all experienced recurrent decay on a restoration that we placed, or possibly reinfection of a root canal that we performed, but no event seems to sink the mood of a practice as a patient presenting with fracture of a ceramic restoration that we have placed.

Many doctors shy away from placing all ceramic restorations because they feel the porcelain-fused-to-metal counterparts are superior in strength and will be the answer they seek in preventing all ceramic fracture. Others have turned to full contour zirconia crowns in an effort to outperform the evil "forces" that are bestowed on our dentistry. Then there are those who don't place all ceramic restorations at all because of the fear of fracture.

Beyond the confusion of which materials would be best suited for cosmetic cases is when doctors should recommend parafunctional control appliance after completing treatment. What could be wrong with recommending every patient wear an appliance after having cosmetic dentistry performed? First, are you sure your patients are being 100 percent compliant with your recommendations? Second, are you taking every precaution necessary to ensure success of your restorations or are you relying solely on the patient wearing an appliance?

The following is a set of guidelines I put together after performing "cosmetic rehabilitations" and placing all ceramic restorations for more than 10 years. Using these guidelines, in addition to proper preparation and bonding protocols, should allow one to limit the percentage of porcelain fracture in the office. (Learn more about Dr. Nosti's guidelines in the Clinical Mastery Series course Advanced Treatment Planning Workshop.)

#1: Set up the occlusion as a parafunctional appliance that cannot be removed

Nosti 4Research has indicated that sleep bruxism is in part due to microarousals in the central nervous system during sleep.

Shortly following these microarousals, rhythmic masticatory muscle activity (RMMA) occurs in approximately 60 percent of the normal population¹ and 80 percent of patients with sleep bruxism.² Sleep bruxism is a parasomnia and a parafunctional activity during sleep that is characterized by clenching (tonic activity) and/or the repetition of phases of muscle activity (phasic activity) that produce grinding of teeth.³

Despite popular belief, these microarousals and RMMAs occur independently of the type of occlusion present. This means it is quite likely one doesn't stop bruxism with a change in occlusion. So how does occlusion play a role? Deprogramming hyperactive muscles, removing posterior interferences into closure and setting up cosmetic cases with anterior guidance (immediate lateral and protrusive guidance) will prevent posterior teeth from contacting in excursive movements. When posterior teeth contact elevator muscle force is increased. Removal of these posterior contacts allows muscle contraction force to be reduced in excursive movements.4 The result is a loss of potential harmful forces placed on anterior all-ceramic restorations in excursive movements (shearing forces) that can result in porcelain fracture. This occlusion doesn't stop parafunction but simply alters and reduces forces that might have been responsible for the occlusal breakdown present prior to restorations being placed. It is important to test the new planned occlusion in temporaries to determine if Guideline #1 is sufficient to resist parafunctional forces placed on your new restorations.

Setting up the occlusion to resist parafunction should be considered your chief protocol in porcelain protection. Patients who don't have muscle pain or migraines associated with parafunction are more likely to be non-compliant with protective appliances compared to those with orofacial pain. The occlusion can be further perfected with the use of Tekscan occlusal analysis. Actually knowing the forces present on restorations and the timing of occlusion is superior to the use of articulating paper alone. (Learn more about occlusal stability in the Ultimate Occlusion Series.)

The following guidelines are for patients who are highly likely to experience porcelain fracture despite having a perfected occlusion. 

#2: Protect patients who present with broken dentistry

Patients who present to your office in need of comprehensive restorative dentistry with existing broken dentistry should be considered highly likely to break dentistry in the future. Patients who break solder joints, fracture bridgework or present with multiple fractures to their existing dentition (in the absence of large unsupported direct restorations) should be informed ahead of time that they will require a protective appliance once your dentistry is completed.

#3: Protect patients who break their temporaries repeatedly

Patients you have placed in temporaries with a corrected occlusion, as specified in Guideline #1, who present to your office with fractured or missing temporaries should be considered highly likely to break the final restorations as well. This guideline might be subject to when and how the temporaries fractured, i.e. biting on hard objects. Patients who report consistently fracturing their temporaries during function might have been placed in temporaries that violate their envelope of function. Waking up from sleep with fractured temporaries or under times of subconscious parafunctional activity should be advised that a protective appliance is mandatory during sleep or times when that activity occurs, i.e.: driving.

Guideline #4: Protect patients where anterior guidance is not achievable

Nosti 3

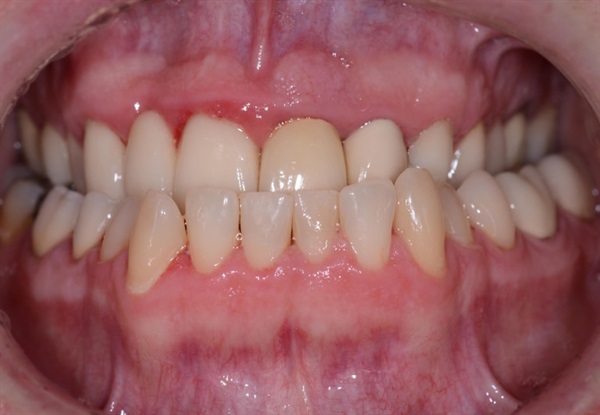
When anterior guidance is not achievable in all excursive movements, a protective appliance should be strongly suggested. There is a reason that the lateral incisor is the most commonly fractured anterior ceramic in dentistry and here it is… Verifying anterior guidance goes beyond just marking contacts into closure and asking the patient to "grind left and right." How often do you check your patients' crossover and latero-trusive patterns? Patients that contact only on their lateral incisors in crossover (Fig. 1) should have the option of either shortening the length of the laterals or the opposing tooth/teeth, or should be advised to wear a protective appliance. The same holds true for patients who go into a latero-trusive movement and contact their lateral incisor only. Adjustment recommendations should be made to these patients to reduce the contacts or wear a protective appliance. 

#5: Protect patients who report with an ever increasing diastema

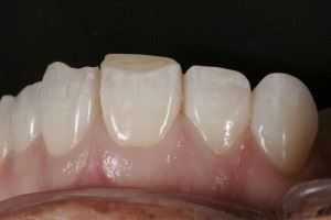
Nosti 1One of the most common cosmetic corrections sought out by patients is closure of diastemas. Prior to treatment, a thorough history should be taken including questioning patients if they have noticed that the space has increased over time. If the patient reports that he/she has noticed a steady increase in the space over time, a protective appliance should be  considered following definitive treatment. Checking for fremitus  in the teeth to be treated both pre- and post-operatively is extremely important to rule out as a contributing factor. 

This guideline has a tendency to be more forgiving than the others when violated. Typically the patient will report within one month post-cementation with a slight space where the original diastema was that can be easily closed with a combination aligner/protective appliance. (Learn to treatment plan this type of case here!)

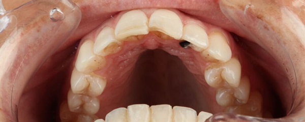
#6: Protect patients who have their anterior segments changed from Class III to Class I

Nosti 1Restoring anterior segments from Class III to Class I typically involve a multitude of factors and prosthetic concerns

(Figs 2 & 3). One of the main factors to be considered is the amount of porcelain that is going to be placed unsupported at the incisal edge over the existing teeth or preparation. Occlusal jumps involving increasing lengths of 4mm or more over existing preparations should be considered for protective appliances if the overbite is 2mm or greater. Increasing vertical dimension is many times necessary to facilitate such occlusal change. The combination of new occlusal position and increased vertical dimension might result in a temporary increase in bite force at maximum intercuspation. Even if these patients have been stable in temporaries for a period of time, it is still advised that they wear a protective appliance due to the vast changes that have occurred.

Cosmetic dentistry can be a very rewarding aspect to add to one's practice. Beyond the financial rewards are the emotionally gratifying experiences that you will share with your patients. Implementation of sound protocols, including knowledge of preparation designmaterial selectionbonding techniquesocclusion and parafunctional protection guidelines, will enable you to practice more predictably, more confidently and keep porcelain fracture to a minimum.

Learn how to treatment plan any case in your practice with Advanced Treatment Planning Workshop  or get the facts on occlusion in the Ultimate Occlusion Series presented by Drs John Nosti, Jason Olitsky, Nada Albatish & Lee Gary! Get predicable results every time. Click here for more information or call (480) 489-5551, sign up TODAY!

References

        
  1. Bender, Steven D. The Academy of Dental Therapeutics and Stomatolgy 2009.
  2.     
  3. Luis de la Hoz-Aizpurua Jose, Esperanza Diaz Alonso, Roy Latouche A, Juan Mesa J. Sleep Bruxism. Conceptual review and update. Med Oral Patol Oral Cir Bucal. 2011 Jan 3.
  4.     
  5. Kato T, Thie NM, Huynh N, Miyawaki S, Lavigne GJ. Topical review: sleep bruxism and the role of peripheral sensory influences. J Orofac Pain. 2003; 17(3):191-213.
  6.     
  7. Ommerborn MA, Giraki M, Schneider C, Fruck LM, Zimmer S, Franz M, Raab WH, Schaefer R. Clinical significance of sleep bruxism on several occlusal and functional parameters. Cranio. 2010 Oct;28(4):238-48.
You must be logged in to view comments.
Total Blog Activity
997
Total Bloggers
13,451
Total Blog Posts
4,671
Total Podcasts
1,788
Total Videos
Sponsors
Townie Perks
Townie® Poll
Do you routinely screen adult patients for sleep-disordered breathing or obstructive sleep apnea?
  
The Dentaltown Team, Farran Media Support
Phone: +1-480-445-9710
Email: support@dentaltown.com
©2026 Dentaltown, a division of Farran Media • All Rights Reserved
9633 S. 48th Street Suite 200 • Phoenix, AZ 85044 • Phone:+1-480-598-0001 • Fax:+1-480-598-3450