Making the Impossible Manageable - Esther's story
Making the Impossible Manageable - Esther's story
Published in Journal of Dental Technology, March 2019 (please visit NADL.org/journal-dental-technology) - Author Conrad J. Rensburg, ND & NHD Full Upper extractions combined with bone reduction, guided surgery and upper zirconia hybrid.
AbsoluteDentalNC

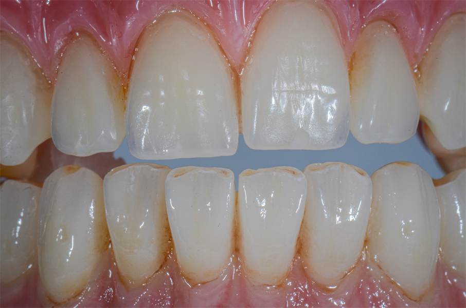
What the Industry Has Been Waiting For: the Ability to Match Denture Teeth to Monolithic High Strength Zirconia.
This case is a superb example of exactly what our industry has been waiting for… the ability to match high-end denture teeth to monolithic high strength zirconia.   Using Argen HT+ zirconia ( Blue Line teeth, Jack Marrano and his ART team created another amazing result with very indifferent...  Read More
Monolithic Zirconia Closes the Link Between Digital Design and Bringing that Data into the Analog World
Over the last few years we have seen an exponential evolution in digital technology, unfortunately materials have been lagging when it came to esthetics. At Absolute Dental, we pride ourselves in the fact that we always stay at the forefront of these innovative technologies. Zirconia material...  Read More
Upper and Lower Rehabilitation
This upper and lower rehabilitation once again demonstrates the amazing restorative value pre-planning and guided surgery combined with team-work between the surgeon, restorative clinician and laboratory, brings to a case.   This case was pre-planned with , CoCr Atlantis suprastructures support...  Read More
Absolute was honored to have this challenging case and article featured in the March edition of the NADL’s Journal of Dental Technology.   Full Article:   Website:     YouTube:  LinkedIn:  Instagram:  Twitter:       Read More
Total Blog Activity
997
Total Bloggers
13,451
Total Blog Posts
4,671
Total Podcasts
1,788
Total Videos
Sponsors
Townie Perks
Townie® Poll
Do you routinely screen adult patients for sleep-disordered breathing or obstructive sleep apnea?
  
The Dentaltown Team, Farran Media Support
Phone: +1-480-445-9710
Email: support@dentaltown.com
©2026 Dentaltown, a division of Farran Media • All Rights Reserved
9633 S. 48th Street Suite 200 • Phoenix, AZ 85044 • Phone:+1-480-598-0001 • Fax:+1-480-598-3450