Making the Impossible Manageable - Esther's story
Making the Impossible Manageable - Esther's story
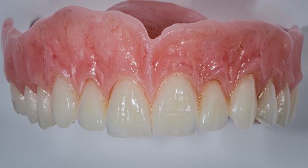
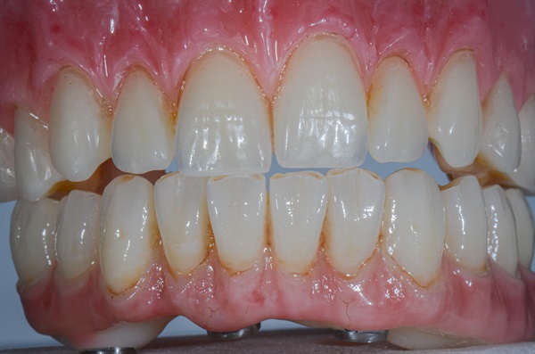
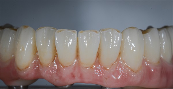
Published in Journal of Dental Technology, March 2019 (please visit NADL.org/journal-dental-technology) - Author Conrad J. Rensburg, ND & NHD Full Upper extractions combined with bone reduction, guided surgery and upper zirconia hybrid.
AbsoluteDentalNC

What the Industry Has Been Waiting For: the Ability to Match Denture Teeth to Monolithic High Strength Zirconia.

What the Industry Has Been Waiting For: the Ability to Match Denture Teeth to Monolithic High Strength Zirconia.

7/24/2019 6:00:00 AM   |   Comments: 0   |   Views: 99
Making the Impossible Manageable - Esther's story

This case is a superb example of exactly what our industry has been waiting for… the ability to match high-end denture teeth to monolithic high strength zirconia. 


 Using Argen HT+ zirconia (Argen Corporation), opposing Ivoclar Vivadent Blue Line teeth, Jack Marrano and his ART team created another amazing result with very indifferent materials. 

 Jack used the MiYo Esthetic System from Jensen Dental to create his special artistry on the lower zirconia hybrid and signed the upper tissue-borne denture utilizing GC OptiGlaze (GC America Inc.). 

This case was processed by the Absolute Signature Division in conjunction with Dr. Barry S Goldenberg D.M.D., M.S., P.C., an incredibly talented prosthodontist from St Louis, Missouri.

Making the Impossible Manageable - Esther's story

Making the Impossible Manageable - Esther's story

Making the Impossible Manageable - Esther's story    

Absolute Dental Links:

Facebook: http://bit.ly/32FgZ01

You must be logged in to view comments.
Total Blog Activity
997
Total Bloggers
13,451
Total Blog Posts
4,671
Total Podcasts
1,788
Total Videos
Sponsors
Townie Perks
Townie® Poll
Do you routinely screen adult patients for sleep-disordered breathing or obstructive sleep apnea?
  
The Dentaltown Team, Farran Media Support
Phone: +1-480-445-9710
Email: support@dentaltown.com
©2026 Dentaltown, a division of Farran Media • All Rights Reserved
9633 S. 48th Street Suite 200 • Phoenix, AZ 85044 • Phone:+1-480-598-0001 • Fax:+1-480-598-3450