This upper and lower rehabilitation once again demonstrates the amazing restorative value pre-planning and guided surgery combined with team-work between the surgeon, restorative clinician and laboratory, brings to a case. 
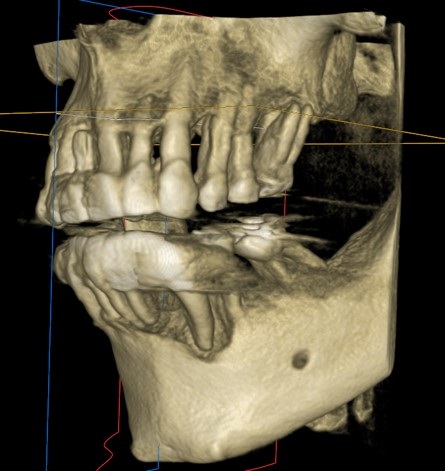
 This case was pre-planned with Matt Vrhovac and our NavaGation surgical team. Guided surgery solutions were planned and designed to make sure there were no restorative surprises with the final prosthesis.  After healing and implant integration was confirmed, the case was digitally planned by our co-owner and lead diagnostic designer Drew van Aarde. The PMMA prototype transitional was fabricated by Jack Marrano and his ART team. Our master ceramist, Yunsoo Kim processed the final prosthesis with upper and lower layered ceramics supported by Dentsply Sirona Implants, CoCr Atlantis suprastructures support frame. By incorporating Angulated Screw Access (ASA) technology within the CoCr suprastructure we were able to control the screw-access, this allows for a true retrievable screw-retained hybrid solution.  
 Website: www.absolutedentallab.com
 YouTube: https://bit.ly/2JMkNYa
LinkedIn: https://bit.ly/2F0JWsw
Instagram: https://bit.ly/2CfLLRt
Twitter: https://bit.ly/2TFotiX
Facebook: https://lnkd.in/eKEDx-K   
 
 





