Making the Impossible Manageable - Esther's story
Making the Impossible Manageable - Esther's story
Published in Journal of Dental Technology, March 2019 (please visit NADL.org/journal-dental-technology) - Author Conrad J. Rensburg, ND & NHD Full Upper extractions combined with bone reduction, guided surgery and upper zirconia hybrid.
AbsoluteDentalNC

Monolithic Zirconia Closes the Link Between Digital Design and Bringing that Data into the Analog World

Monolithic Zirconia Closes the Link Between Digital Design and Bringing that Data into the Analog World

7/22/2019 12:59:10 PM   |   Comments: 0   |   Views: 157

Monolithic Zirconia Closes the Link Between Digital Design and Bringing that Data into the Analog World


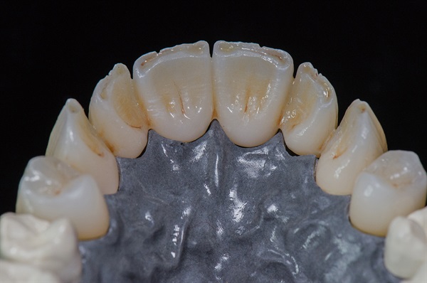
Over the last few years we have seen an exponential evolution in digital technology, unfortunately materials have been lagging when it came to esthetics. At Absolute Dental, we pride ourselves in the fact that we always stay at the forefront of these innovative technologies. Zirconia material and more specifically monolithic zirconia closes an important link between digital design and bringing that data into the analog world. Monolithic zirconia protects the data we captured in diagnostic design and try-in by eradicating the need for layering ceramics. 

 Original zirconia materials were nothing more than functional, leaving a chasm between digital design and analog processing. The latest advancements in zirconia materials are finally closing this gap. Using Argen HT+ (Argen Corporation), Jack Marrano, our head of Signature Prosthetics and his ART Team can create unrivaled esthetics without the need for layering ceramics.

Monolithic Zirconia Closes the Link Between Digital Design and Bringing that Data into the Analog World

Monolithic Zirconia Closes the Link Between Digital Design and Bringing that Data into the Analog World

You must be logged in to view comments.
Total Blog Activity
997
Total Bloggers
13,451
Total Blog Posts
4,671
Total Podcasts
1,788
Total Videos
Sponsors
Townie Perks
Townie® Poll
Do you routinely screen adult patients for sleep-disordered breathing or obstructive sleep apnea?
  
The Dentaltown Team, Farran Media Support
Phone: +1-480-445-9710
Email: support@dentaltown.com
©2026 Dentaltown, a division of Farran Media • All Rights Reserved
9633 S. 48th Street Suite 200 • Phoenix, AZ 85044 • Phone:+1-480-598-0001 • Fax:+1-480-598-3450