Immediate Implant Success by Dr. Giacomo Tarquini

Immediate Implant Success 

New techniques allow post-extractive immediate implants in infected sockets


by Dr. Giacomo Tarquini


The replacement of one or more non-restorable dental elements with endosseous implants is a widely practiced and well-documented surgical procedure.

However, there are some drawbacks associated with this conventional approach, including increased time required for prosthetic rehabilitation and overall morbility: in fact, the patient must undergo tooth extraction, wait for healing and then undergo a second surgery for implant placement.

Immediate post-extractive implant placement has been proposed for many years as an alternative to the conventional protocol.1-3

Basically, the critical steps of this approach involve atraumatic extraction to preserve alveolar bony walls,4, 5 accurate implant osteotomy in order to achieve satisfactory primary stability,6 and grafting the gap between the alveolar walls and the implant to counteract the unavoidable bone resorption which occurs following tooth extraction.

Moreover, some practitioners have demonstrated the possibility of placing immediate post-extractive implants in sockets associated with periodontal or chronic periapical infection with equal predictability for successful osseointegration and long-term functioning.7, 8

In order to locally reduce the bacterial load in infected sockets, along with antibiotic prophylaxis and thorough debridement of reactive tissue by means of rotary burs and/or bone curettes, ultrasonic cavitation can be used to disrupt bacterial biofilm; this is especially true when considering that some areas—e.g. the apical third—might not be so easy to reach by conventional tools.9

At right, a case of post-extractive immediate implant placement in an infected socket is treated with the use of the novel ultrasonic cavitation device as an adjunct to manual/mechanical debridement in order to reduce the chance of post-operative infections.

Case report
A 57-year-old female patient presents with mobility and intense pain during mastication on #2. Clinical examination shows a deep decay with both endodontic and periodontal involvement (Fig. 1), which indicated the extraction.

An intraoral PA X-ray is performed to visualize the root morphology and its relationship with adjacent structures (Fig. 2).
Immediate Implant Success
Fig. 1: Deep decay on #2 with both endodontic and periodontal involvement.
Immediate Implant Success
Fig. 2: Intraoral PA X-ray.

In order to minimize hard and soft tissue damage, a flapless atraumatic extraction is planned.

Antibiotic prophylaxis involves taking 2 g of amoxicillin/clavulanic acid (to be started one hour before surgery) then continuing at 1 g every 12 hours for six days.

Immediately before surgery, the patient rinses with about 60 ml of 0.2% chlorhexidine digluconate, to be continued for two weeks post-operatively with rinses every eight hours.

For pain/inflammation management, 500 mg sodium naproxen is prescribed to be taken one hour before surgery and to be continued for three days post-operatively every 12 hours.

After local infiltration of 40 mg articaine hydrochloride with epinephrine 1:100,000, the surgical procedure begins with the extraction of the involved element.

To avoid damaging the bony socket, odontotomy/root resection is performed using dedicated piezoelectric tips (Fig. 3).

In order to reduce the chance of post-operative infections, a novel ultrasonic cavitation device is used to decontaminate the socket as an adjunct to manual/mechanical debridement (Fig. 4).
Immediate Implant Success
Fig. 3: Odontotomy is performed using dedicated piezoelectric tips.
Immediate Implant Success
Fig. 4: Post-extractive socket.

The device is made of two parts (Fig. 5):
  • An ultrasonic tip (which must be connected to a piezoelectric handpiece) provided with three micro-holes to promote the circulation of cooling water.
  • A medical-grade silicone cavitation chamber specifically designed to pool the cooling water and perfectly fit any shape of crestal bone.
The device is easily assembled by inserting the silicon cavitation chamber onto the ultrasonic tip (Fig. 6).
Immediate Implant Success
Fig. 5: Ultrasonic device Piezoclean by Dr. Giacomo Tarquini (disassembled).
Immediate Implant Success
Fig. 6: Ultrasonic device Piezoclean by Dr. Giacomo Tarquini (assembled).

The cavitation chamber is placed onto the socket (Fig. 7) and the piezoelectric device is then activated. This enables the creation of a secluded space where the cooling liquid cavitates without being dispersed; thanks to the presence of the medical-grade silicone cavitation chamber, the cooling liquid is locally concentrated into the socket, thus allowing for a complete decontamination of the apical third, which would otherwise be inaccessible to the traditional tools (like bone curettes or carbide round burs).

The optimal running time for a complete biofilm disruption is about three minutes: it is recommended to take a short break every 60 seconds in order to prevent cooling liquid overheating (temperature is found to increase by approximately 10°C after operating for three consecutive minutes).

Implant osteotomy is prepared using dedicated piezoelectric tips (Fig. 8) and osseodensification burs (Fig. 9 and 10) in order to expand the interradicular bony septum, just enough to place the implant (Fig. 11).
Immediate Implant Success
Fig. 7: The cavitation chamber of Piezoclean is placed onto the socket.
Immediate Implant Success
Fig. 8: Implant osteotomy is prepared using dedicated piezoelectric tips.
Immediate Implant Success
Fig. 9: Osseodensification burs (first bur).
Immediate Implant Success
Fig. 10: Osseodensification burs (final bur).
Immediate Implant Success
Fig. 11: Interradicular bony septum was properly expanded.


This approach allows practitioners to take advantage of the interradicular septum in order to reach a good primary stability as well as to place the implant in a prosthetically guided position, whereas traditional rotary burs would increase the risk of completely destroying the interradicular bony septum, thus forcing the operator to abort the procedure or, alternatively, to place the implant into the palatal root.

A 4.2 mm x 8.5 mm bone level implant is placed, reaching an insertion torque greater than 55 N.cm (Fig. 12); it is advisable to place the implant platform approximately 1 mm apically from the marginal bone crest (Fig. 13).
Immediate Implant Success
Fig. 12: 4.2 x 8.5 mm bone level implant is placed (insertion torque > 55 N.cm).
Immediate Implant Success
Fig. 13: The implant platform was placed approximately 1 mm apically from the alveolar bone crest.

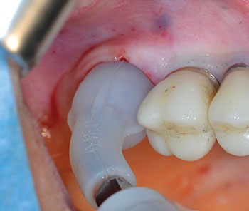
To prevent the unavoidable contraction of post-extractive socket, the peri-implant gap is grafted with an heterologous bone substitute; after that, a collagen dressing is placed on top and then stabilized with a criss-cross suture (Fig. 14).

Re-entry surgery is performed after four months, showing a satisfying bone regeneration: the cover screw is covered by newly formed bone (Fig. 15).
Immediate Implant Success
Fig. 14: Peri-implant gap was grafted with heterologous biomaterial and then protected with a collagen dressing.
Immediate Implant Success
Fig. 15: Re-entry surgery performed after four months: The implant was covered by new formed bone.

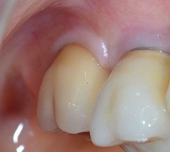
After removing the newly formed bone, a stock healing abutment is screwed onto the implant and the flap is positioned and sutured at the bone crest (Fig. 16 and 17). After soft tissue healing, a definitive PFM crown is cemented (Fig. 18 and 19).
Immediate Implant Success
Fig. 16: Stock healing abutment.
Immediate Implant Success
Fig. 17: The flap was positioned and sutured at the bone crest.
Immediate Implant Success
Fig. 18: Definitive PFM crown (buccal view).
Immediate Implant Success
Fig. 19: Definitive PFM crown (occlusal view).

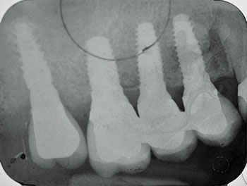
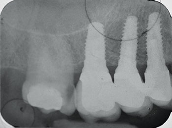
PA X-ray at the 24-month follow-up appointment showed an excellent maintenance of marginal peri-implant bone tissue (Fig. 20).

Immediate Implant Success
Fig. 20: PA X-ray at 24-month follow-up appointment.
Discussion
Replacing one or more dental elements with a fixed prosthesis supported by endosseous implants has been considered a very safe and predictable method for decades.

The traditional protocol involves a six-month waiting time from tooth extraction to implant placement to allow for complete bone healing, followed by an additional three- to six-month period for implant osseointegration before definitive prosthesis placement.10

To reduce both waiting time and overall morbidity of the whole procedure, the placement of an implant immediately after tooth extraction has proven to be a highly effective therapeutic alternative, widely documented and practiced, with success rates ranging from 94.6% to 100% over an average period of four years.11-13

When it comes to the surgical protocol, four main critical points can be identified: atraumatic extraction aimed at preserving as much of the socket walls as possible, decontamination of the infected socket, immediate implant placement with adequate primary stability and preservation of alveolar volumes using a biomaterial graft.

During tooth extraction, it is advisable to avoid damaging the bone walls, both to reduce the uncontrolled resorption of the socket (especially the buccal cortical bone) and to utilize the remaining anatomy, which is essential for achieving adequate primary stability of the implant (e.g., interradicular septa) intended for immediate prosthetic restoration.14, 15

In this regard, the use of surgical drills before proceeding with splitting and separate extraction of the two root fragments has been widely documented.16

As an alternative to the previously described techniques, ultrasonic tips can be employed for both odontotomy and root resection.17-19

In the author’s opinion, the use of a piezoelectric device offers several advantages, primarily related to the precision of incisions, operational safety and lower psychological impact on the patient.20-23

The implant insertion is also carried out using dedicated piezoelectric inserts, as compared to traditional rotary tools, it is easier to preserve the anatomy of the residual socket, and in the case of multi-rooted elements, it is possible to utilize the bony septa to achieve satisfactory primary stability.

Moreover, preparation with dedicated piezoelectric inserts allows for the implant to be inserted in a prosthetically correct position, avoiding the risk of the rotary drill slipping into one of the root sockets.24, 25

Regarding the choice of the implant, selecting the ideal length, diameter and macrogeometry is extremely important from both a surgical and prosthetic standpoint: in the presented case, a platform switching connection is preferred because it is associated with better preservation of the buccal cortical bone over time.26, 27

Another crucial parameter is the selection of a suitable implant diameter, since it facilitates the maintenance of the buccal bone wall vascularization and the presence of peri-implant gap of at least 3 mm28 which can be grafted with heterologous bone particulate.

This approach has proven particularly effective in partially containing the unavoidable contraction of the post-extraction socket as the vertical and horizontal preservation of the bone crest is of fundamental importance for achieving a satisfactory final aesthetic outcome.29

It should also be noted that the cavitation and mechanical waves produced by the ultrasound action have strong bactericidal properties, well-documented in the literature,30-36 and this is particularly useful in case of immediate post-extractive implants placed in infected sites.37

Conclusions
Immediate post-extractive implant placement offers indisputable advantages in terms of predictability of results, integration of the prosthetic restoration with soft tissues and reduced rehabilitation time.

The selection of an appropriate implant macrogeometry and grafting peri-implant gap significantly contribute to the maintenance of the residual alveolar bone crest.

Ultrasonic cavitation has been demonstrated to be highly effective in disrupting bacterial biofilm in areas difficult to reach with conventional instruments, such as the third apical of infected teeth.

The present article has shown the use of the novel ultrasonic cavitation device as an adjunct to manual/mechanical debridement in order to reduce the chance of post-operative infections during immediate implant placement in infected sockets. 


References
1.Lazzara RJ. Immediate implant placement into extraction sites: Surgical and restorative advantages. Int J Periodontics Restorative Dent 1989;9:332–343.
2. Schiroli G. Immediate tooth extraction, placement of a tapered screw-vent implant, and provisionalization in the esthetic zone: A case report. Implant Dent. 2003;12:123-131.
3. Slagter KW, den Hartog L, Bakker NA, Vissink A, Meijer, HJ Raghoebar GM. Immediate placement of dental implants in the esthetic zone: a systematic review and pooled analysis. J Periodontol 2014; 85:241–250.
4. Al-Harbi SA. Minimizing Trauma During Tooth Removal: A Systematic Sectioning Approach Eur J Esthet Dent 2010;5:274-287.
5. Fickl S, Zuhr O, Wachtel H, Bolz W, Hurzeler M. Tissue alterations after tooth extraction with and without surgical trauma: a volumetric study in the beagle dog. J Clin Periodontol 2008; 35: 356–363.
6. Tepedino M. Heat Production and Drill Wear Following Osseous Resective Surgery: A Preliminary In Vitro SEM Study Comparing Piezosurgery and Conventional Drilling. Int J Periodontics Restorative Dent 2018;38:e33–e40.
7. Novaes AB Jr, Novaes AB. Immediate implants placed into infected sites: A clinical report. Int J Oral Maxillofac Implants 1995;10:609–613.
8. Kaur J, Chahal GS, Grover V, Bansal D, Jain A. Immediate implant placement in periodontally infected sites- A systematic review and meta-analysis. J Int Acad Periodontol. 2021 Apr 1;23(2):115-137.
9. Tarquini G. Implant decontamination by ultrasonic cavitation: a new approach to surgical therapy of peri-implantitis. Implant Tribune Italian Edition; Novembre 2021: 05-07
10. Brånemark PI, Adell R, Breine U, Hansson BO, Lindström J, Ohlsson A. Intra-osseous anchorage of dental prostheses. I. Experimental studies. Scand J Plast Reconstr Surg 1969;3:81–100.
11. Lang NP, Pun L, Lau KY, Li KY, Wong MC. A systematic review on survival and success rates of implants placed immediately into fresh extraction sockets after at least 1 year. Clin Oral Implants Res 2012;23(suppl):39–66.
12. Chen ST, Darby IB, Adams GG, et al. A prospective clinical study of bone augmentation techniques at immediate implants. Clin Oral Implants Res. 2005;16:176-184.
13. Meredith N. Assessment of implant stability as a prognostic determinant. Int J Prosthodont 1998;11:491–501.
14. Malchiodi L. Primary and Secondary Stability of Implants in Postextraction and Healed Sites: A Randomized Controlled Clinical Trial. Int J Oral Maxillofac Implants 2016;31:1435–1443.
15. Babbush CA. A New Atraumatic System for Tooth Removal and Immediate Implant Restoration. Implant Dent 2007;16:139–145.
16. Yalcin S. A Technique for Atraumatic Extraction of Teeth Before Immediate Implant Placement Using Implant Drills. Implant Dent 2009;18:464–472.
17. Spinato S, et al. Piezosurgical treatment of crestal bone: quantitative comparison of post-extractive socket outcomes with those of traditional treatment. Clin. Oral Impl. Res. 27, 2016, 361–366.
18. Vercellotti, T. (2009). Dental extraction techniques. In: Vercellotti, T., ed. Piezosurgery. Essentials. Clinical Benefits in Dentistry. 31–45. Milano: Quintessenza Edizioni.
19. Tarquini G. Clinical evaluation of “T – Black” ultrasonic tips in oral surgery. A clinical report. American Dental news 2011 (in press)
20. Tarquini G. Piezoelectric surgery of the maxillary sinus: clinical indications and description of a case series. Implant Tribune 2010; 3: 13 – 17.
21. Tarquini G. Removal of fractured endosseous implants with the aid of a piezoelectric device: description of a clinical case. Implants Italy; 1/2012: 26-30.
22. Tarquini G. Piezoelectric surgery in the split-crest technique: therapeutic indications and presentation of a clinical case. Implant Tribune 2011;1:17–18.
23. Tarquini G. Lateral maxillary sinus lift and antral pseudocyst: a case report. Dental Cadmos 2015;83(9):630-639.
24. Dallari A. Post-extraction implant for immediate replacement of a polyradicular one. An atypical case. Italian Oral Surgery 3/2006: 47-52.
25. Hwang KG. Ideal implant positioning in an anterior maxillary extraction socket by creating an apico – palatal guiding slot: a technical note. IJOMI 2008; 23: 121-122
26. Kutan E, Bolukbasi N, Yildirim-Ondur E, Ozdemir T. Clinical and radiographic evaluation of marginal bone changes around platform-switching implants placed in crestal or subcrestal positions: A randomized controlled clinical trial. Clin Implant Dent Relat Res 2015;17(Suppl 2):e364–375.
27. Atieh M.A., Ibrahim H.M. & Atieh A.H. Platform switching for marginal bone preservation around dental implants: a systematic review and meta-analysis. Journal of Periodontolology 2010; 81: 1350–1366.
28. Rosa A.C. Guidelines for Selecting the Implant Diameter During Immediate Implant Placement of a Fresh Extraction Socket: A Case Series. Int J Periodontics Restorative Dent 2016;36:401–407.
29. Buser D, Martin W, Belser UC. Optimizing esthetics for implant restorations in the anterior maxilla: Anatomic and surgical considerations. Int J Oral Maxillofac Implants 2004;19(suppl):43–61.
30. Thacker J. An approach to the mechanism of killing of cells in suspension by ultrasound. Biochim Biophys Acta 1973; 304:240–248.
31. N. Vyas. How does ultrasonic cavitation remove dental bacterial biofilm? Ultrasonics Sonochemistry,Volume 67,2020,105112
32. Tarquini G. Ultrasound in periodontal surgery: clinical effects. Cap. 1. In: Tarquini G. Tecniche di chirurgia parodontale: dalla diagnosi alla terapia”, Edizioni EDRA (Settembre 2017): 25-26.
33. Tarquini G. The role of ultrasound in surgical therapy of peri-implantitis: presentation of a clinical case. Implant Tribune, Novembre 2017 - anno VI n. 4, pagg 1-7.
34. Tarquini G. Surgical treatment of peri-implantitis by means of Guided Bone Regeneration. Italian Dental Journal 2016, Anno XI; Numero 6/2016.
35. Tarquini G. Guided Tissue Regeneration (G.T.R.) of a circumferential intraosseous defect: presentation of a clinical case. Implants Italy; 2/2018: 08-14
36. Tarquini G. Guided tissue regeneration in deep periodontal defects. Dental Tribune, Luglio - Agosto 2017 - anno XIII n. 7 - 8, pagg 1 – 8
37. Blus C. Immediate implants placed in infected and non-infected sites after atraumatic tooth extraction and placement with ultrasonic bone surgery. Clinical Implant Dentistry and Related Research, Volume 17, Supplement 1, 2015


Author Bio
Tarquini Dr. Giacomo Tarquini graduated with honors in dentistry and dental prosthetics from the Sapienza University of Rome in 1994, and has been practicing dentistry for 25 years. He practices in Rome with particular interest in the disciplines of periodontology and implantology. He is also a consultant, professor, tutor and lecturer for a variety of dental specialties. Along with various articles, Tarquini is the author of the textbook Techniques of Periodontal Surgery: From Diagnosis to Therapy. Tarquini is also a member of the Dentaltown editorial advisory board.


Sponsors
Townie Perks
Townie® Poll
Do you routinely screen adult patients for sleep-disordered breathing or obstructive sleep apnea?
  
The Dentaltown Team, Farran Media Support
Phone: +1-480-445-9710
Email: support@dentaltown.com
©2026 Dentaltown, a division of Farran Media • All Rights Reserved
9633 S. 48th Street Suite 200 • Phoenix, AZ 85044 • Phone:+1-480-598-0001 • Fax:+1-480-598-3450