Introduction: What I Have Observed About Dental Tourism
In my experience,The cost of full mouth dental implants in countries like the United States, Australia, or Europe can be extremely high, often reaching tens of thousands of dollars. Because of this, I have seen a growing number of patients exploring countries like Vietnam as a more cost-effective option.
However, from what I have observed, when it comes to complex procedures such as full-arch implants, the initial price alone does not reflect the entire treatment journey. For international patients, factors like treatment duration, number of visits, and possible clinical variations are equally important.
Understanding That Restoration Is a Process, Not a Single Procedure
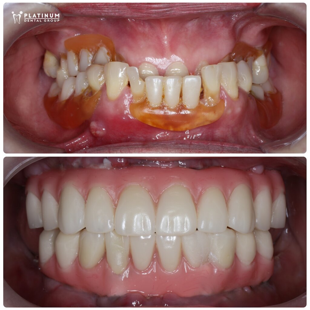
From my clinical understanding, full mouth dental implants are not a one-step treatment. Unlike placing a single crown, this process usually extends over several months.
https://www.dentaltown.com/blog/post/23418/are-you-misunderstanding-work-life-balance
In most cases, I have seen that international patients need to plan multiple visits. During the first visit, which may last around a week, the patient undergoes examination, implant placement, and sometimes receives temporary teeth.
After this, there is a healing phase that can take a few months, allowing the implants to integrate with the jawbone. A second visit is then required for the final restoration, which again takes several days.
In some ideal cases, immediate loading may be possible, but in my experience, this is not suitable for every patient and depends largely on bone quality.
Why I Believe Prices Can Vary Significantly
https://www.dentaltown.com/magazine/article/445/study-reveals-habits-of-dentists-making-over-15-million
From what I have learned, the total cost of full mouth implants depends on multiple clinical and technical factors.
Different techniques such as All-on-4 or All-on-6 vary in terms of stability, number of implants, and overall cost. Additionally, I have seen that patients with bone loss may require procedures like bone grafting or sinus lifts, which naturally increase both the treatment time and cost.
Another important factor is the quality of materials used, including the implant system and prosthetic components, which directly affect long-term success and aesthetics.
My Concern About Hidden Costs

One issue I have noticed in dental tourism is that some initial quotes may not include all necessary procedures.
In my opinion, this can create significant challenges for international patients. Unexpected additions such as bone grafting, temporary restorations, or final prosthetic components can increase costs and disrupt travel plans.
More importantly, choosing a treatment plan based only on low cost without considering precision and expertise can lead to complications like improper bite alignment or implant failure, which may require corrective procedures later.
How I Recommend Evaluating a Treatment Plan
Based on my experience, I always suggest that patients carefully review their treatment plan before making a decision.
A proper plan should clearly outline the total treatment duration, the number of visits required, and a detailed breakdown of what is included in the cost. It should also address possible complications, such as bone-related issues, and how they will be managed.
Rather than focusing only on price, I believe it is more important to evaluate the clinic’s experience, technology, and ability to manage international patients effectively.
The Importance of Transparency in Treatment Planning
In my view, transparency is one of the most critical factors in full mouth implant treatment. Since this is a long-term investment, patients should have a clear understanding of every stage before starting the process.
I have seen that clinics offering remote consultations, digital evaluations, and clear communication tend to provide a more predictable and comfortable experience for international patients.
The use of advanced technologies such as 3D imaging and digital planning can also improve accuracy, reduce surgical risks, and enhance overall outcomes.
Why Do Prices Vary?
The total investment for a full-arch restoration depends on several factors, most notably the surgical technique and the condition of the jawbone.
Techniques like All-on-4 or All-on-6 differ in the number of implants used, overall stability, and price. Additionally, if a patient has suffered from long-term tooth loss or bone resorption, extra procedures like bone grafting or sinus lifts may be needed. These steps extend the timeline and increase the total dental implants cost. The materials used—from the brand of the implant to the type of porcelain—also significantly impact long-term durability and aesthetics.
Beware of "Hidden Costs"
A common risk is receiving a quote that isn't truly "all-inclusive." Some clinics offer an attractive starting price that excludes essential items like bone grafts, temporary dentures, or the final bridge.

Why Planning Matters for International Patients
From what I have observed, international patients face additional challenges compared to local patients, especially when it comes to travel, accommodation, and time management.
A well-structured treatment plan not only improves clinical results but also minimizes unnecessary travel and unexpected delays. In my opinion, proper planning is essential to ensure both clinical success and a smooth overall experience.
Final Thoughts: A Long-Term Investment Perspective
In my view, choosing full mouth dental implants abroad should not be based solely on finding the lowest price. Instead, it should be seen as a long-term investment in oral health, function, and overall quality of life.
Vietnam can offer high-quality and affordable dental care, but the key is understanding the complete process. A transparent and well-structured treatment plan that minimizes risks and unexpected costs provides the best value in the long run.
When patients focus on quality, planning, and expertise rather than just cost, they are more likely to achieve successful and lasting results.
About the Author
Dr. Muhammad Waqas, BDS, is a dedicated dental practitioner focused on delivering high-quality, patient-centered care. In his clinical experience, he emphasizes preventive dentistry, effective treatment planning, and patient education to achieve long-term oral health outcomes.
He actively engages with the dental community to stay updated with modern practices, technology, and evolving trends in dentistry. His approach combines clinical precision, continuous learning, and a commitment to improving patient experience.