CE: The Essential Try-In Acceptance Appointment by Dr. Leif Stromberg

Categories: Prosthodontics;
CE: The Essential Try-In Acceptance Appointment 

An overview of laboratory procedures, evaluation techniques and the dentist-patient approval process


by Dr. Leif Stromberg
Keys to Success and Predictability With Fabrication of Complete Dentures









Abstract
Achieving consistent success with tissue-supported complete dentures requires well-executed laboratory procedures and a structured clinical evaluation at the try-in acceptance appointment. This course guides readers through key steps in posterior tooth arrangement using lingual control lines and establishing lingualized occlusion. It also presents a practical remount technique for correcting mounting inaccuracies.

To ensure accuracy, the case must be returned from the laboratory mounted on the articulator, allowing the dentist to verify the correctness of the mounting. Remounting with a new centric relation record is discussed as a necessary corrective step when mounting errors are identified. For predictability, it is essential to verify that mounting is accurate.

 

Learning objectives
After completing this course, readers should be able to:

  1. Describe important laboratory procedures for denture fabrication, including using lingual control lines for positioning posterior teeth and establishing lingualized occlusion.
  2. Perform a clinical evaluation of the wax try-in setup, make appropriate modifications, and approve the setup before presenting it to the patient.
  3. Explain the importance of assessing mounting accuracy by comparing the occlusion on the articulator with the intraoral occlusion.
  4. Identify when a clinical remount is indicated to correct mounting errors and describe how to record centric relation for the remount.
  5. Outline the recommended process for guiding patient evaluation and obtaining approval of the denture setup during the clinical try-in acceptance appointment.


Introduction
Achieving consistent success with tissue-supported complete dentures—whether analog, digital or implant-retained—depends on multiple factors. Among the most critical are two elements of the try-in acceptance appointment: high-quality dental laboratory support and the thorough clinical evaluation and approval of the proposed denture setup by both the dentist and the patient. When these elements are well-executed, they contribute significantly to a smooth final denture delivery appointment, enhanced patient satisfaction and long-term denture success.

This course presents fundamental laboratory procedures used in fabricating tissue-supported complete dentures and emphasizes the wax try-in acceptance appointment as a critical step in delivering predictably successful outcomes.


Topics addressed
  • Key laboratory protocols in preparation for the wax try-in appointment
  • Fundamentals of the clinical wax try-in acceptance appointment—a practical guide for the patient and dentist approval process.
  • Indications for case remounting and a technique for recording centric relation for these situations.

Laboratory preparation

The laboratory steps following the records appointment to prepare for the wax try-in acceptance appointment should be completed as directed by the dentist to support the case’s success. Careful execution of these steps helps ensure the denture setup presented at the wax try-in acceptance appointment reflects the most favorable denture tooth placement and occlusal scheme, and includes stable, well-fitting baseplates.

A fundamental point to emphasize is the importance of excellent laboratory support and clear, ongoing communication between the dentist and technician. For this collaboration to be effective, the dentist should possess sufficient knowledge of laboratory procedures to actively participate in the process and help facilitate the desired clinical outcome. If the prescribed steps are not followed, the resulting setup may be clinically unacceptable. Consistently following the dentist’s written and verbal instructions is essential to achieving predictably successful outcomes.

When submitting a case to the laboratory, the dentist should provide instructions to mount the master casts accurately on the articulator. The case should be mounted and all subsequent steps completed using the same articulator. Because each articulator is different, switching between them introduces errors. Ideally, the initial mounting replicates the patient’s maxillo–mandibular relationship. To preserve this accuracy, all laboratory work should be performed on the original articulator using the original mounting. As discussed later in this course, the case should also be returned to the dental office mounted on that same articulator for the wax try-in, allowing the dentist to verify the accuracy of the mounting.

The laboratory also should be instructed to preserve the recorded vertical dimension of occlusion (VDO) without alteration. Changes without consultation can result in loss of accuracy and reliance on guesswork. If the laboratory has concerns about the recorded VDO, the lab should communicate directly with the dentist to discuss options. Otherwise, the recorded VDO should be maintained throughout the setup process.

Once the mounting is complete, the laboratory can set the denture teeth on well-fitting baseplates for the wax try-in.

The maxillary anterior teeth should be set using the aesthetic wax rim as a guide, based on the contours and reference markings established by the dentist at the previous records appointment. This guide includes the incisal edge position, labial contours, arch width and midline alignment. Tooth selection should consider the high smile line marked on the wax rim. If the technician has questions or recommendations, these should be discussed with the dentist before proceeding. Any changes made without prior consultation must be clearly communicated to the dentist.

The mandibular anterior teeth should be set in harmony with the contour of the mandibular residual ridge and the position of the maxillary anterior teeth. In protrusive position on the articulator, the incisal edges of the maxillary and mandibular anterior teeth should make even contact.

The maxillary posterior teeth should be set to the occlusal plane established on the aesthetic wax rim. However, the plane can be adjusted if clinical conditions require it, such as in cases with enlarged tuberosities. The teeth should be arranged according to the principles of lingualized occlusion. As the posterior teeth are positioned, lingual control lines should serve as a guide, and each tooth should make stable contact with its opposing tooth. When the mandible closes in centric relation (CR) to maximum intercuspation, the posterior teeth should contact evenly while the anterior teeth should remain out of contact.

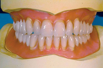
Lingualized occlusion is excellent for removable prostheses because it provides stability, is easier to adjust accurately than other denture occlusal schemes, and is highly aesthetic and functional. With this occlusal scheme, only the lingual cusps of maxillary posterior teeth contact the occlusal surfaces of the mandibular teeth (Figs. 1, 2). Common denture tooth combinations include anatomic 30° maxillary teeth occluding with semi-anatomic 15° mandibular teeth. Additionally, some dental tooth manufacturers offer lingualized occlusion tooth molds specifically designed for this approach.
CE: The Essential Try-In Acceptance Appointment
Fig. 1
CE: The Essential Try-In Acceptance Appointment
Fig. 2


Lingual control lines serve as guides for the bucco-lingual positioning of the mandibular posterior teeth (Fig. 3). These lines are determined using key anatomical landmarks: the buccal and lingual aspects of the retromolar pads and the mesial proximal contacts of the mandibular canines. The lingual surfaces of the mandibular posterior teeth should be positioned between the control lines and as close to the lingual line as clinically appropriate.

Alveolar ridge resorption occurs in an unpredictable and often asymmetrical pattern, which distorts the ridge position and can provide misleading guidance for tooth placement. Figures 4a and 4b illustrate how ridge resorption alters the bony anatomy, emphasizing the importance of using lingual control lines—rather than the residual ridge—as the primary guide for positioning posterior teeth.
CE: The Essential Try-In Acceptance Appointment
Fig. 3
CE: The Essential Try-In Acceptance Appointment
Fig. 4a
CE: The Essential Try-In Acceptance Appointment
Fig. 4b


Fundamentals of patient-dentist acceptance
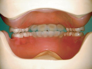
The case should be returned from the laboratory to the dental office mounted on the same articulator it was originally mounted on and that will be used to complete the case. This allows the dentist to verify the accuracy of the mounting. The wax setup is provisional and may be modified chairside or returned to the laboratory for adjustments (Fig. 5).
CE: The Essential Try-In Acceptance Appointment
Fig. 5


Before the clinical try-in appointment, the dentist should verify the following:
  • The posterior teeth are arranged according to the principles of lingualized occlusion.
  • All posterior teeth make stable, even contact with their opposing teeth.
  • The mandibular posterior teeth should be positioned so their lingual surfaces are between the lingual control lines.
  • The maxillary and mandibular anterior teeth do not contact in centric relation occlusion.
  • The positions of the maxillary anterior teeth should be evaluated using a denture gauge (Alma gauge) and a ruler or Boley gauge to confirm the incisal edges are positioned according to the instructions provided to the laboratory. The setup also can be assessed relative to standard guidelines of placing the incisal edges of the central incisors approximately 8 to 10 mm anterior to the center of the incisive papilla, and the incisal edges of the lateral incisors approximately 20 to 22 mm below the height of the peripheral roll above the lateral incisors. These reference points were discussed in detail in Course 3A of this series. Final aesthetic evaluation will be performed intraorally at the clinical try-in appointment.

Recommended clinical sequence for dentist approval

The dentist should evaluate the setup intraorally, make any necessary modifications and approve before presenting it to the patient. Making adjustments prior to patients viewing the case in their mouth helps prevent presentation of an unsatisfactory setup, which could diminish their confidence in the final result.


Suggested clinical workflow for dentist approval:

  1. Ensure the baseplates are comfortable for the patient and exhibit adequate retention to remain securely in place during the evaluation. Also make sure the wax denture base is smooth. Baseplate retention is essential for reliably assessing aesthetics, phonetics and occlusion.
  2. Mark the vibrating line and hamular notches with indelible ink. Then insert the maxillary wax setup and evaluate the posterior extension of the baseplate to confirm it reaches these landmarks, as they indicate the appropriate posterior extension of the final denture base.
  3. Mark the retromolar pads with indelible ink and verify the posterior extensions of the mandibular denture base cover both pads.
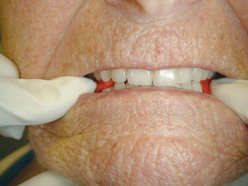
  4. Assess aesthetics, including overall appearance, midline, occlusal plane and phonetics—particularly the “f” and “v” sounds (Figs. 6, 7, 8, 9). The patient should be able to articulate clear, comfortable “f” and “v” sounds with the maxillary incisal edges contacting the wet-dry line (also called the wet line) of the lower lip. The wet-dry line is the anatomical transition between the dry, outer part of the lip (the vermilion) and the moist, inner mucosal surface (the labial mucosa).
  5. Assess lip support and aesthetics, including the philtrum and vermilion borders.
  6. Assess the vertical dimensions of rest, speech and occlusion, and confirm the vertical dimension of occlusion is clinically acceptable.
  7. Verify intraoral occlusion. Confirm that all posterior teeth contact evenly when the patient closes in centric relation occlusion. Use small cellophane strips to confirm intraoral occlusal contacts match the occlusion observed on the articulator (Fig. 10).
CE: The Essential Try-In Acceptance Appointment
Fig. 6
CE: The Essential Try-In Acceptance Appointment
Fig. 7
CE: The Essential Try-In Acceptance Appointment
Fig. 8
CE: The Essential Try-In Acceptance Appointment
Fig. 9
CE: The Essential Try-In Acceptance Appointment
Fig. 10

Remount techniques to correct mounting errors

When a case-mounting error is identified and a remount is necessary, CR for a tissue-supported complete denture without implant retention can be recorded using one of the following approaches:
  • Using a gothic arch tracer to accurately locate and record CR. (Note: Setting up the gothic arch tracer requires additional time and equipment.)
  • Using a guided manual technique to position the mandible and record CR without a gothic arch tracer.

Guided manual technique for CR recording (without a tracer)

  1. Partially recline the chair as this position may assist when guiding the mandible into CR.
  2. Stabilize the mandibular baseplate on the ridge by placing the index fingers directly on the waxed-up denture base buccal to teeth Nos. 19 and 30, while positioning the thumbs under the mandible for support.
  3. Ensure the maxillary baseplate with the wax setup is fully seated and exhibits adequate retention before proceeding.
  4. Rehearse CR closure—without recording material—to confirm the patient can close gently and consistently into CR.
  5. Once CR closure has been verified, place Aluwax—or another suitable bite registration material that offers slight resistance to closure—onto the occlusal surfaces. Instruct and guide the patient to close gently into the material, stopping just short of tooth contact. The slight resistance helps patients feel the material, apply even pressure on both the right and left sides, and avoid closing until the teeth contact. This resistance also helps them hold the mandible steady while the material sets/hardens.
    If a patient closes completely through the bite registration material and the upper and lower teeth contact, the bite registration should be repeated because tooth contact can shift the baseplates.
  6. Bite relation materials that are “dead soft,” such as Blu-Mousse (a VPS material), lack the firmness useful for helping guide and stabilize mandibular closure and are therefore not recommended for recording CR on tissue-supported complete dentures. These materials do not provide adequate resistance to help patients maintain a consistent mandibular position as the material sets, increasing the risk of baseplate movement and inaccurate records. In addition, dead soft materials tend to run off the occlusal surfaces and often fail to maintain the necessary thickness to capture an accurate CR record without tooth contact.
  7. The wax must be softened evenly on both the right and left sides to prevent baseplate movement. Balanced resistance is essential for capturing a precise centric relation record.
  8. After recording CR (Figs. 11, 12), trim the tooth imprint of the record to retain only cusp tip indentations. A #15 Bard-Parker blade may be used for this step (Fig. 13).
  9. Trim the record’s buccal aspect to allow visual verification of accuracy.
  10. Place the dentures and CR record back in the mouth and ensure all cusp tips fully seat in the bite record when the patient closes in CR.
  11. Verify the record is accurate and has bilateral, equal occlusal contact in CR. If contact is uneven, the record should be repeated.
  12. Observe the maxillary denture during closure. If it moves or shifts, reassess and remake the record as needed.
CE: The Essential Try-In Acceptance Appointment
Fig. 11
CE: The Essential Try-In Acceptance Appointment
Fig. 12
CE: The Essential Try-In Acceptance Appointment
Fig. 13

When guided manual positioning of the mandible is unpredictable or challenging, a gothic arch tracer may be recommended to record CR with greater confidence and accuracy. Accurate CR record and mounting are essential for achieving predictable denture success.


Suggested clinical sequence for patient approval
After the dentist and clinical team have approved the wax setup, patients should be invited to evaluate the aesthetics of the setup as seen in their mouth, focusing on their overall appearance, as well as the position, size, shape and shade of the teeth.

Begin the evaluation using a large mirror (at least 18” x 24”) to allow patients to view their entire face and upper body, simulating how others see them in daily interactions (Fig. 14). Avoid using a hand mirror for the initial viewing, as it may cause patients to focus solely on the teeth rather than their overall facial appearance (Fig. 15).
CE: The Essential Try-In Acceptance Appointment
Fig. 14
CE: The Essential Try-In Acceptance Appointment
Fig. 15


Guide patients through the following suggested sequence, which may be adapted based on clinical judgment:
  • Have patients stand in front of a large mirror with their lips gently closed and observe their overall appearance (Fig. 14).
  • Ask them to count from 1 to 10 while observing their mouth and facial expressions during speech (Fig. 14).
  • Instruct patients to smile fully and evaluate their facial and dental appearance while smiling (Fig. 14).
  • After holding their smile for 3-4 seconds, gently turn patients away from the mirror (Fig. 16).
  • Reassure patients that they will soon have the opportunity to examine their teeth more closely, but explain you would like to ask a few questions first to understand their initial impressions:
    • What do you think?”
    • “What are your first impressions?”
    • “Do you like them?”
Encourage honest and spontaneous feedback and document their responses.

Next, invite patients to assess their overall appearance and the appearance of their teeth more closely using both the large mirror and a hand mirror (Fig. 17). Encourage them to discuss any specific thoughts, preferences or concerns. Make any appropriate adjustments to the wax setup. If necessary, the case can be returned to the laboratory for modifications and a follow-up try-in appointment can be scheduled.
CE: The Essential Try-In Acceptance Appointment
Fig. 16
CE: The Essential Try-In Acceptance Appointment
Fig. 17



Family input (optional)
If the patient is satisfied with the aesthetics and wishes to involve a family member or trusted friend, that person may be invited to review the setup and offer feedback.

Keep in mind the old maxim: A person convinced against their will is of the same opinion still. Listening carefully for genuine approval from the patient is essential before proceeding.


Sending the case to the laboratory
Only after both the dentist and the patient have fully approved the wax setup should it be sent to the laboratory for finishing and processing.


Conclusion
Key elements for the denture try-in acceptance appointment covered in this course are:
  • Lingual control lines serve as reliable guides for determining the bucco-lingual positioning of the mandibular posterior teeth.
  • Lingualized occlusion provides excellent stability, is easier to adjust accurately than other denture occlusal schemes and offers highly aesthetic and functional results when properly understood and applied.
  • The wax try-in setup is provisional and should be modified as needed to meet the acceptance and approval of both the patient and the dentist.
  • Before presenting the wax setup to the patient, the dentist should clinically evaluate and approve the midline, occlusal plane, vertical dimension of occlusion, centric relation occlusion, tooth positions and overall aesthetics.
  • Begin the evaluation with a large mirror to help patients assess their overall facial appearance, followed by a smaller hand mirror for close-up observation.

Claim Your CE Credit


Do you prefer to take continuing ed in video format?
Dr. Leif Stromberg has also created a five-part series of video CE courses for Dentaltown about keys to success when creating complete dentures. Click here to check out the lineup.
Author Bio
Leif Stromberg, DDS, MAGD, FADI, FICD, practices general dentistry in Dallas, Texas. Widely recognized for his expertise in restorative dentistry and complete denture fabrication, Stromberg was selected by his peers and named a Texas Super Dentist in Texas Monthly magazine 13 times from 2005 to 2017. In 2022, he was nominated for the Texas Academy of General Dentistry Dentist of the Year Award, and in 2023, he received a fellowship in the International College of Dentists.

Stromberg, a former clinical assistant professor at Texas A&M University College of Dentistry, is a sought-after speaker at dental conferences, where he shares techniques for achieving predictable success in complete denture fabrication. He has also authored a textbook on this topic.

In his free time, he enjoys hiking with friends in U.S. national parks and traveling with his wife, Linda.

Sponsors
Townie Perks
Townie® Poll
Do you routinely screen adult patients for sleep-disordered breathing or obstructive sleep apnea?


  
The Dentaltown Team, Farran Media Support
Phone: +1-480-445-9710
Email: support@dentaltown.com
©2026 Dentaltown, a division of Farran Media • All Rights Reserved
9633 S. 48th Street Suite 200 • Phoenix, AZ 85044 • Phone:+1-480-598-0001 • Fax:+1-480-598-3450