Townie Casefile: Digital Predictability Meets Composite Artistry

Categories: Cosmetic Dentistry;
Townie Casefile: Digital Predictability Meets Composite Artistry 

Townie Casefiles spotlight exceptional case studies from our own community. Each article highlights real-world clinical techniques, decision-making strategies, and long-term outcomes from Townies who share their expertise on the Dentaltown message boards.


Case Highlights
Clinician: Dr. Arthur R. Volker
Patient: Teenage female
Chief complaint: Missing lateral and aesthetic concerns with the proportion of central incisors
Diagnosis: Agenesis of #7 with residual space; gingival asymmetry at #10; decalcification present on #8
Treatment plan:
  • Gingivectomy on #10 to establish proper gingival contours
  • Fabrication and bonding of a single-wing, 3D-printed Maryland bridge for #7
  • Direct composite veneer for #10 to correct proportions
  • Characterization with composite tints and opaquers for incisal effects and natural translucency
A teenage patient presented with an aesthetic concern requiring both replacement of a lateral incisor and improvement of central proportions. The treatment plan called for a printed, single-wing Maryland bridge combined with a direct composite veneer, both of which would be characterized using composite tints and opaquers to blend seamlessly with the adjacent dentition.

Preoperative photos were taken with the orthodontic wire removed to capture an accurate scan (Fig. 1). A digital design was then completed for a single-wing Maryland bridge, which was printed in a single-shade resin material (Rodin Sculpture 2.0) (Fig. 2).

To optimize gingival contours, a gingivectomy was performed on tooth #10 on the day of veneer placement, which also coincided with the bonding of the Maryland bridge on #7. A round diamond bur was used to achieve the tissue reduction, followed by pressure from the Bioclear matrix and a hemostatic agent to establish hemostasis. Bioclear matrices were then placed with body shade composite to add width to the restoration (Fig. 3).

Townie Casefile: Digital Predictability Meets Composite Artistry
Fig. 1: Pre-op view with ortho wire removed before scanning.
Townie Casefile: Digital Predictability Meets Composite Artistry
Fig.2a: Digital scan of the single-wing Maryland bridge

Townie Casefile: Digital Predictability Meets Composite Artistry
Fig. 2b: Design of the single-wing Maryland bridge
Townie Casefile: Digital Predictability Meets Composite Artistry
Fig. 2c: The printed single-shade bridge.
Townie Casefile: Digital Predictability Meets Composite Artistry
Fig. 3: Gingivectomy on #10 with Bioclear matrices and body shade composite placed to add width.


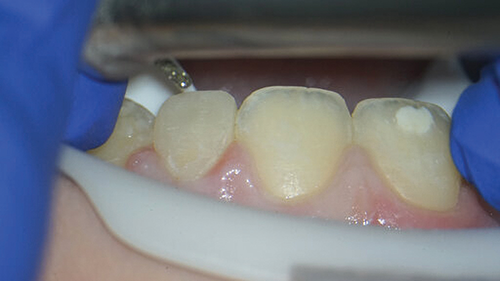
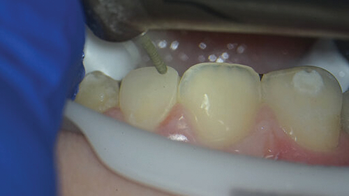
A slight cutback of the incisal was carried out to prepare for the layering of tints. Characterization was built with careful attention to detail: a gray and opal tint was applied first, followed by the addition of white and A2 opaquer to create a natural incisal halo (Fig. 4). A light incisal shade was then layered into the incisal one-third of the tooth (Fig. 5).


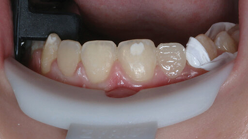
The bonding sequence followed standard adhesive protocol. With a mylar matrix in place and wedged, the teeth were etched and bonded before a heated microfilled composite was adapted to the surface, cured, trimmed, and shaped (Fig. 6). This layering approach allowed for a uniform appearance while preventing junction lines often observed with incremental composite additions.
Townie Casefile: Digital Predictability Meets Composite Artistry
Fig. 4a: Incisal cutback
Townie Casefile: Digital Predictability Meets Composite Artistry
Fig. 4b: Application of gray/opal tint 
Townie Casefile: Digital Predictability Meets Composite Artistry
Fig.4c: Application of A2 opaquer to create
the incisal halo.

Townie Casefile: Digital Predictability Meets Composite Artistry
Fig. 5a: Addition of light incisal shade to the incisal one-third for translucency.
Townie Casefile: Digital Predictability Meets Composite Artistry
Fig.5b
Townie Casefile: Digital Predictability Meets Composite Artistry
Fig. 6: Bonding sequence with matrix placement, etch, bond, and adaptation of heated microfilled composite.

Once the composite veneer was completed, the printed single-wing Maryland bridge was bonded to the central incisor (#8). The preparation included a cutback of #7, which was restored using the same layering approach to ensure consistency of shade and translucency across the case (Fig. 7). The final restoration was contoured, textured, and polished to achieve a lifelike surface luster (Fig. 8).

The immediate postoperative result revealed a harmonious integration of the Maryland bridge and direct veneer. The aesthetics were natural, the gingival contours were improved, and the restorative margins blended invisibly with the adjacent dentition (Fig. 9).
Townie Casefile: Digital Predictability Meets Composite Artistry
Fig. 7: Printed Maryland bridge bonded to the central with cutback of #7

Townie Casefile: Digital Predictability Meets Composite Artistry
Fig.7b: Composite layering repeated for harmony.

Townie Casefile: Digital Predictability Meets Composite Artistry
Fig. 8: Final contouring, surface texture refinement, and polish.
Townie Casefile: Digital Predictability Meets Composite Artistry
Fig. 9: Before-and-after comparison showing correction of space, gingival asymmetry, and final aesthetic integration.


The discussion
The case generated discussion among colleagues on Dentaltown. Several clinicians remarked on the technique of layering incisal characterization separately before overlaying the final body shade. While some noted that it seemed unconventional, the method was defended as predictable, as it creates a uniform finish without the visual seams that can occur with multi-layered additions. Others raised questions about the strength, clearance, and long-term durability of the printed resin Maryland bridge. With a flexural strength of more than 180 MPa, the material was considered stronger than most direct composites, offering a predictable and efficient workflow.

Questions were also posed about handling decalcification lesions, to which ICON resin infiltration was suggested as a first approach, with composite restoration as a secondary option if needed. Colleagues further inquired about managing the gingivectomy and hemostasis, which were controlled at the appointment using pressure from the Bioclear matrix and a hemostatic agent.

The outcome
In the end, the case demonstrated how a combination of digital workflows, meticulous soft-tissue management, and artistic composite layering can be used to restore aesthetics in a challenging anterior case. For this teenage patient, the treatment provided a functional and aesthetic solution that will serve as a bridge, literally and figuratively, until future restorative needs arise.

View the full case study and join the conversation!


Great Dentists, Great Dentistry
Author Dr. Arthur R. Volker, known as ToofDK on the Dentaltown message boards, has been a member since 2004. One of the most followed Townies on the site, he has shared his expertise through numerous Dentaltown magazine articles and continuing education courses on Dentaltown.com. He practices in Sunnyside, New York, and lectures nationally on topics including cosmetic and minimally invasive dentistry, dental materials, and dental implants.





Sponsors
Townie Perks
Townie® Poll
Do you do more or less endo procedures since you started practicing?


  
The Dentaltown Team, Farran Media Support
Phone: +1-480-445-9710
Email: support@dentaltown.com
©2025 Dentaltown, a division of Farran Media • All Rights Reserved
9633 S. 48th Street Suite 200 • Phoenix, AZ 85044 • Phone:+1-480-598-0001 • Fax:+1-480-598-3450