We are aware of an issue preventing most videos from displaying and are working to fix it. Thank you for your patience.

Bridging the Gap by Dr. Alan Pressman

Bridging the Gap 

by Dr. Alan Pressman


This case study provides insight into a patient’s perception of treatment choices for resolving a perio-endo lesion exacerbated by a food impaction site. The treatment plan chosen highlights the problem-solving properties and use of a temporary crown and bridge material.


Chief complaint and examination
An 81-year-old female patient complained of recurring food impaction and pain in the upper left side of the mouth. She experienced consistent food traps between two upper left posterior teeth and occasionally noticed a bad taste in the area. She was in generally good health, active, and compliant with medical treatment for diabetes and high blood pressure.

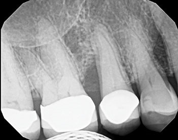
An initial clinical exam revealed an 8 mm periodontal pocket depth on the distal of maxillary #13. The presence of slight bleeding and purulence was evident during periodontal probing. A periapical X-ray showed a loss of epithelial attachment and pocketing, which led to endodontic involvement in tooth #13 (Figs. 1 and 2). The tooth also exhibited early grade 2 mobility. Contributing factors included pain on vertical percussion, indicating primary periodontal with secondary endodontic involvement.
Centrix Access Crown Case
Fig. 1: Pre-operative X-ray.
Centrix Access Crown Case
Fig. 2: Pre-operative clinical exam.

Earlier X-rays from the patient’s previous dentist showed no visible periodontal problems or open contacts between teeth. The patient had likely been slowly getting food stuck in this upper left quadrant, compromising the epithelial attachment and contributing to the gradual drifting of the teeth.1


Treatment options
The initial treatment plan presented to the patient followed the standard of care for a perio-endo lesion—extracting the tooth and replacing it with a dental implant supported by a bone graft. After discussing the steps involved in the dental implant procedure, the patient was indecisive about the treatment, citing the time to completion and discomfort with the idea of being without a tooth and wearing a temporary partial.

A second treatment plan was presented: extracting the painful second premolar and placing a temporary fixed bridge, which would cover the extraction site and allow healing while a permanent fixed bridge was being made by a dental laboratory.

The patient ended this initial appointment to consider this alternative treatment. After some time, she contacted the office and ultimately chose the fixed bridge treatment plan, pleased that she would not have an exposed “hole in her mouth” and that the procedure would be completed in two appointments, fitting her schedule and seasonal travel plans.


Treatment procedure appointment
All procedure steps were explained to the patient to ensure she understood the goal of the visit: taking a dental impression, preparing two teeth for a fixed bridge, extracting the compromised tooth, creating a temporary bridge, and cementing it in place as a short-term pain-relieving solution until the permanent bridge was made.

A dental impression of the maxillary left quadrant was made using a temporary quadrant tray with a medium body monophase vinyl poly siloxane dental impression material (Fig. 3). Following the impression, crown preparations were cut on teeth #12 and #14 to prepare them as abutments for the temporary three-unit bridge, leaving tooth #13 intact to await extraction after preparation of the abutment teeth (Fig. 4).
Centrix Access Crown Case
Fig. 3: Monophase polyvinyl siloxane impression taken.
Centrix Access Crown Case
Fig. 4: Teeth #12 and #14 crown preparations. #13 left intact.


The extraction of tooth #13 was successful as its periodontal ligament was already compromised. Following the extraction, an FDA-cleared, non-toxic oral hydrogel wound dressing was applied at the extraction site. A hemostatic self-resorbing gauze was placed on top of the wound dressing to facilitate healing (Fig. 5).

The dental impression taken earlier was dried with moisture-free blown air to begin making a three-unit temporary bridge. Access Crown Temporary Crown and Bridge Material (Centrix, Inc.) was prepared and dispensed directly into the impression matrix from the bottom up, submerging the dispensing tip until the matrix was three-quarters full (Fig. 6). When the impression matrix was ready (within 30 seconds), it was positioned in the patient’s mouth. The material was set in place for 60 seconds (90 seconds from the beginning of the mix) and then removed from the mouth.
Centrix Access Crown Case
Fig. 5: Tooth #13 extracted. Extraction socket protected with a non-toxic hydrogel wound dressing and hemostatic selfresorbing gauze.
Centrix Access Crown Case
Fig. 6: Example of correct application of Access Crown


The Access Crown material’s setting consistency is elastic, allowing it to be easily pulled over any undercuts. In this case, there were no nonparallel preparations, so removing the tray was easy; excess flash was trimmed with a diamond bur.

Time-saving workflow tip: A void was noticed on the entire mesial of tooth #12, which was not captured in the Access Crown material. This was easily corrected by removing a small amount of the material with a diamond bur, adding a slight amount of Access Crown material, allowing it to set, and then carving it into shape. The result was a perfect repair. The self-additive property of Access Crown has proven to be a time-saving and useful benefit in such situations.

A non-eugenol temporary cement was used to adhere the temporary bridge to the prepared teeth, as non-eugenol cement is easier to remove than resin-based cement (Figs. 7 and 8). The entire appointment took 1.5 hours. The patient scheduled an appointment to return in eight weeks for a digitally scanned dental impression and to begin procedures for a permanent fixed bridge.
Centrix Access Crown Case
Fig. 7: Access Crown temporary three-unit bridge seated with noneugenol temporary cement.
Centrix Access Crown Case
Fig. 8: Final seating of Access Crown temporary bridge; labial-occlusal view.


Case outcome
I was highly satisfied with this case. Access Crown was easy to mix, dispense, set, polish and, in this case, carve. In my experience, it has also proven to have high flexural strength, and I appreciate the wide selection of shades. Most importantly, the patient was satisfied and happy to leave the office without a hole in her smile.


Reference
1. Zhao Z, He Z, Liu X, et al. Population Distribution and Patients’ Awareness of Food Impaction: A Cross-Sectional Study. Healthcare (Basel). 2024;12(17):1688. Published 2024 Aug 23. doi:10.3390/healthcare12171688


Author Bio
Dr. Alan Pressman Dr. Alan Pressman, DMD, fulfills his passion for dentistry by serving patients of all ages at his general and cosmetic dentistry practice in Spring Valley, New York. He holds a B.A. in physics from Emory University and a doctorate from Boston University Henry M. Goldman School of Dental Medicine. He is an avid adopter of new technologies and treatment options.





Sponsors
Townie Perks
Townie® Poll
Do you routinely screen adult patients for sleep-disordered breathing or obstructive sleep apnea?
  
The Dentaltown Team, Farran Media Support
Phone: +1-480-445-9710
Email: support@dentaltown.com
©2026 Dentaltown, a division of Farran Media • All Rights Reserved
9633 S. 48th Street Suite 200 • Phoenix, AZ 85044 • Phone:+1-480-598-0001 • Fax:+1-480-598-3450