Dentaltown Learning Online
Dentaltown Learning Online
Dentaltown Learning Online and the latest outstanding continuing education offerings.
Howard Goldstein

Displaying 251-275 of 283
9 10 11 12
Page 11 of 12
Dentaltown Learning Online..."Success, Profitability & Destiny Begins with You" By Tuan Pham
Dentaltown Learning Online is pleased to present "Success, Profitability & Destiny Begins with You" By Tuan Pham This CE course is only $18 to view and can be found here... ? Too many dentists blame the lack of success on external forces that are not under their control. It’s the...  Read More
Dentaltown Learning Online....Orthodontics in the Multidisciplinary Treatment of Complex Cases by Dr. Miguel Hirschhaut
Dentaltown Learning Online is pleased to release on both Orthotown and Dentaltown "Orthodontics in the Multidisciplinary Treatment of Complex Cases" by Dr. Miguel Hirschhaut. This 2 credit CE course can be found here.... ? Orthodontics sets up the foundation for future prosthetics in cases...  Read More
Dentaltown Learning Online...."Success with Zr Removable Telescopic Implant Prosthesis" by Arian Deutsch, CDT.
Dentaltown Learning Online is pleased to present Success with Zr Removable Telescopic Implant Prosthesis by Arian Deutsch, CDT. This CE course can be found here..... Discussion of this CE course can be found here... Telescopic solutions have been a staple in European dentistry for more than...  Read More
Dentaltown Learning Online....Repair and Protect Enamel with Remineralizing Agents by Deborah Levin-Goldstein, RDH, MS
Dentaltown Learning Online is pleased to present Repair and Protect Enamel with Remineralizing Agents by Deborah Levin-Goldstein, RDH, MS. This CE course can be found here... ? Caries is a dynamic disease process involving the cyclic demineralization and remineralization of the tooth...  Read More
Dentaltown Learning Online...Esthetic Dentistry for the Older Patient by Dr. Arnold I Liebman
Dentaltown Learning Online is pleased to present Esthetic Dentistry for the Older Patient by Dr. Arnold I Liebman . This CE course can be found here.... ? Discussed in this course is the changing demographics in population as the older population is exploding in the United States, Europe and...  Read More
Dentaltown Learning Online- "The Blunderbuss Apex: A Search for the Smoking Gun" by Dr. Jarod Johnson
Dentaltown Learning Online is pleased to present "The Blunderbuss Apex: A Search for the Smoking Gun" by Dr. Jarod Johnson. This 2.5 credit CE course (only $36!) can be found here... ? Discussion of this course can be found here.. This course is designed to improve dental skills in the...  Read More
Dentaltown Learning Online.....HIPAA For Dentistry- Tips and Tools for Compliance by Leslie Canham
Dentaltown Learning Online is pleased to present THE course on HIPPAA...HIPAA For Dentistry- Tips and Tools for Compliance by Leslie Canham This CE course can be found here.... ? HIPAA regulations require covered entities to comply with the Privacy, Security, and the new Omnibus Rules....  Read More
Dentaltown Learning Live..."Getting Staff and Patient Communication Right for Increased Profitability" by Dr. Bryan Laskin.
Dentaltown now has online the CE course "Getting Staff and Patient Communication Right for Increased Profitability" by Dr. Bryan Laskin. This course can be found here.... Effective communication keeps office stress low and profitability high. Effective communication with your patients; from...  Read More
Dentaltown Learning Online is proud to now have online the Townie Meeting 2015 Series of CE courses. This series of courses recorded at the Bellagio in April of 2015 can be found here. ? Discussion of this Series will take place here.... The Townie Meeting 2015 series contains 13 courses...  Read More
Dentaltown Learning Online....Dental Sleep Medicine: Sleep Principles and Oral Appliances By Dr. Barry Glassman.
Dentaltown Learning Online now has the CE course by Barry Glassman ....Dental Sleep Medicine: Sleep Principles and Oral Appliances on Dentaltown.com. This 2.5 credit CE course can be found here.... ? This course includes not only a review of the first course (Introducing Dental Sleep Medicine...  Read More
Dentaltown Learning Online...."Practice Leadership 101" by Travis Frederickson
Dentaltown Learning Online now has the CE course ...."Practice Leadership 101" by Travis Frederickson on Dentaltown.com. This course can be found here.... ? This CE course can be viewed for only $18. The changing landscape of healthcare brings into sharp focus the necessity for dentistry to...  Read More
Dentaltown Learning Online...Confident Implant Placement Through Digital Planning By Dr. Armen Mirzayan.
Dentaltown now has online the CE course "Confident Implant Placement Through Digital Planning" by Dr. Armen Mirzayan This course can be found here... The concept of guided surgery and implant placement is often ignored for multiple reasons. Generally, the cost of the surgical stents and the...  Read More
Dentaltown Learning Online..."Reciprocation - An Optimal New Paradigm in Root Canal Preparation" By Gianluca Plotino DDS, PhD; Nicola Maria Grande DDS, PhD; Prof Gianluca Gambarini, MD, DDS
Dentaltown Learning Online has now released an new course in Endodontics.......Reciprocation - An Optimal New Paradigm in Root Canal Preparation by Gianluca Plotino DDS, PhD; Nicola Maria Grande DDS, PhD; Prof Gianluca Gambarini, MD, DDS. This CE course can be found here.... ? Even if not...  Read More
Dentaltown Learning Online....."Videography on the Dental Microscope" by Dr. Stefan Klinge
Dentaltown Learning Online is please to present "Videography on the Dental Microscope" by Dr. Stefan Klinge. This CE course can be found here... ? For the documentation of a dental treatment, photography was, and still is, common in dental education. Videography is a growing opportunity to...  Read More
Dentaltown Learning Online...Achieving the Goals of Endodontics and the Use of the XP ENDO 3D File Finisher by Martin Trope DMD
Dentaltown Learning Online now has on Dentaltown, the CE course "Achieving the Goals of Endodontics and the Use of the XP ENDO 3D File Finisher" by Martin Trope DMD. This CE course can be found here... ? Discussion of this course can be found here.. The root canal system is highly...  Read More
Dentaltown Learning Online- (R)Evolution of Bone Augmentation by Dr. Jan Kielhorn
Dentaltown now has online the CE course, (R)Evolution of Bone Augmentation by Dr. Jan Kielhorn. This CE course can be found here.. ? Bone augmentation is one of the most important and most difficult steps in implantology. The standard techniques used are very sensitive, and are bound to a...  Read More
Dentaltown Learning Online...."Dental Website Development. What you need to know now!" By Dr. David Wank.
Dentaltown Learning Online now has online "Dental Website Development. What you need to know now! " By Dr. David Wank. This CE course can be found here.... ? We as dentists can no longer ignore the influence of the Internet and the fact that our patients spend more and more time online every...  Read More
Dentaltown Learning Online- "Current Tips and Tricks of Cerec Tools and Biocopy" by Dr. Mark McClure.
Dentaltown Learning Online now has expert Cerec training online for only $36 with "Current Tips and Tricks of Cerec Tools and Biocopy" by Dr. Mark McClure. This CE course can be found here... Expert Cerec training is now available right here on Dentaltown. Dentaltown Cerec Moderator and...  Read More
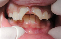
Dentaltown Learning Online..."Crooked to Straight: A General Dentists Journey Using Multiple Technologies" by Dr. Paul Caselle.
Dentaltown Online CE now has online "Crooked to Straight: A General Dentists Journey Using Multiple Technologies" by Dr. Paul Caselle. This course can be found here.... In a general dentistry practice it is very common to see patients who have orthodontic relapse and want some esthetic...  Read More
Dentaltown Learning Online....Saving Ailing/Failing Implants with the Laser Assisted Peri-Implantitis Procedure. By Allen Honigman DDS, MS
Dentaltown Learning Online is proud to present - Saving Ailing/Failing Implants with the Laser Assisted Peri-Implantitis Procedure. By Allen Honigman DDS, MS. For a limited time, this new online CE course is available to view, at no additional cost, thanks to the generosity of Millennium Dental...  Read More
Dentaltown Learning Online- Endodontics in Depth: Modern Controlled Memory Navigation of Highly Curved Canals by Dr.Chaniotis Antonis DDS,MDSc
Dentaltown Learning Online is proud to present - Endodontics in Depth: Modern Controlled Memory Navigation of Highly Curved Canals by Dr.Chaniotis Antonis DDS,MDS. This 2 credit CE course can be found here.. Discussion of this course can be found here.... The internal anatomy of human...  Read More
Dentaltown Learning Online ..."Same-day Dentistry: Integration of CAD/CAM Technology in Your Office. Recorded Live at Townie Meeting 2014!" by Dr. Dhaval Patel.
Dentaltown Learning Online is pleased to present "Same-day Dentistry: Integration of CAD/CAM Technology in Your Office. Recorded Live at Townie Meeting 2014!" by Dr. Dhaval Patel. This CE course can be found here.... Dr. Patel shows how he perform everyday dentistry with the CEREC Omnicam. ...  Read More
Dentaltown Learning Online..The Indispensable Team. Recorded Live at Townie Meeting. By Sarah Cottingham
Dentaltown Learning Online is pleased to present online "The Indispensable Team. Recorded Live at Townie Meeting" by Sarah Cottingham. This course can be found here..... Learn how dental and medical practices have transformed their stagnant “OK” results into a thriving, growing...  Read More
Dentaltown Learning Online "The New OSHA Hazard Communication Standard" by Leslie Canham
Dentaltown Learning Online is proud to present OSHA expert Leslie Canham CDA, RDA and her new CE course..."The New OSHA Hazard Communication Standard" This course satisfies the new requirements mandated for your staff. This course can be found here... The OSHA Hazard Communication...  Read More
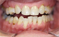
Dentaltown Learning Online- The Aesthetic Full Mouth Rehabilitation by Dr. John Nosti
Dentaltown Learning Online is proud to present John Nosti's latest extraordinary CE course...."The Aesthetic Full Mouth Rehabilitation" This course can be found here... Full Mouth Rehabilitations are one of the most difficult types of cases to handle in practice today. Many times these patients...  Read More
Displaying 251-275 of 283
9 10 11 12
Page 11 of 12
Total Blog Activity
997
Total Bloggers
13,451
Total Blog Posts
4,671
Total Podcasts
1,788
Total Videos
Sponsors
Townie Perks
Townie® Poll
Do you do more or less endo procedures since you started practicing?
  
The Dentaltown Team, Farran Media Support
Phone: +1-480-445-9710
Email: support@dentaltown.com
©2025 Dentaltown, a division of Farran Media • All Rights Reserved
9633 S. 48th Street Suite 200 • Phoenix, AZ 85044 • Phone:+1-480-598-0001 • Fax:+1-480-598-3450