Dentaltown Learning Online
Dentaltown Learning Online
Dentaltown Learning Online and the latest outstanding continuing education offerings.
Howard Goldstein

Dentaltown Learning Online....Repair and Protect Enamel with Remineralizing Agents by Deborah Levin-Goldstein, RDH, MS

Dentaltown Learning Online....Repair and Protect Enamel with Remineralizing Agents by Deborah Levin-Goldstein, RDH, MS

8/26/2015 8:37:59 AM   |   Comments: 0   |   Views: 164
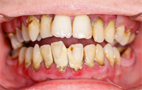
Dentaltown Learning Online is pleased to present Repair and Protect Enamel with Remineralizing Agents by Deborah Levin-Goldstein, RDH, MS.

This CE course can be found here...
?http://www.dentaltown.com/Dentaltown/OnlineCE.aspx?action=DETAILS&cid=592






Caries is a dynamic disease process involving the cyclic demineralization and remineralization of the tooth structure. A key preventive approach is maintaining an oral environment favorable to remineralization.  Fluoride’s ability to promote remineralization is limited by the availability of calcium and phosphate in saliva. The four types of remineralizing therapeutics that attract calcium and phosphate will be discussed as well as the caries process and CAMBRA.

Deborah Levin-Goldstein is a graduate of the University of Pennsylvania and Columbia University.
She has been a dental hygiene educator at Northampton Community College in Bethlehem, PA for thirty-three years. Deborah has presented numerous continuing education courses on a variety of topics to dental, dental hygiene societies and Dentaltown. She has published in the Journal of Dental Hygiene and is a contributing author for six chapters in the textbook, Head, Neck and Dental Anatomy, fourth edition.
You must be logged in to view comments.
Total Blog Activity
997
Total Bloggers
13,451
Total Blog Posts
4,671
Total Podcasts
1,788
Total Videos
Sponsors
Townie Perks
Townie® Poll
Do you do more or less endo procedures since you started practicing?
  
The Dentaltown Team, Farran Media Support
Phone: +1-480-445-9710
Email: support@dentaltown.com
©2025 Dentaltown, a division of Farran Media • All Rights Reserved
9633 S. 48th Street Suite 200 • Phoenix, AZ 85044 • Phone:+1-480-598-0001 • Fax:+1-480-598-3450