Dentaltown Learning Online
Dentaltown Learning Online
Dentaltown Learning Online and the latest outstanding continuing education offerings.
Howard Goldstein

Dentaltown Learning Online...."Success with Zr Removable Telescopic Implant Prosthesis" by Arian Deutsch, CDT.

Dentaltown Learning Online...."Success with Zr Removable Telescopic Implant Prosthesis" by Arian Deutsch, CDT.

9/2/2015 7:45:16 AM   |   Comments: 0   |   Views: 308
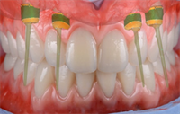
Dentaltown Learning Online is pleased to present Success with Zr Removable Telescopic Implant Prosthesis by Arian Deutsch, CDT.

This CE course can be found here.....
http://www.dentaltown.com/Dentaltown/OnlineCE.aspx?action=DETAILS&cid=527

Discussion of this CE course can be found here...
http://www.dentaltown.com/MessageBoard/thread.aspx?s=2&f=321&t=255847&v=1




Telescopic solutions have been a staple in European dentistry for more than 50 years, and they are now making an impact around the world using modern materials and techniques which were previously not available. This course provides an in depth look into the clinical and technical steps required to create a natural looking telescopic implant prosthesis which is implant/tissue borne, and replaces only the tissues and dentition which were lost. The benefits of this type of prosthesis, and the growing void in the market for this type of solution will be addressed.

Arian Deutsch, CDT has been involved in dental technology with emphasis on unique implant solutions for over 22 years. He studied at George Brown College in Toronto, ON, and in 2009 became the first accredited provider of the Marius Bridge in the southwest US. In 2012 he won 1st place in Candulor’s (Switzerland) KunstZahnWerk (Art of Dental Prosthetics) Competition. An internationally published author his articles have appeared in journals such as Inscriptions, IDT, Labline (Hungary), Spectrum Dialogue (Canada), Dental Laboratory Products, and LMT. Arian owns Deutsch Dental Arts, LLC in Surprise, Arizona.




You must be logged in to view comments.
Total Blog Activity
997
Total Bloggers
13,451
Total Blog Posts
4,671
Total Podcasts
1,788
Total Videos
Sponsors
Townie Perks
Townie® Poll
Do you do more or less endo procedures since you started practicing?
  
The Dentaltown Team, Farran Media Support
Phone: +1-480-445-9710
Email: support@dentaltown.com
©2025 Dentaltown, a division of Farran Media • All Rights Reserved
9633 S. 48th Street Suite 200 • Phoenix, AZ 85044 • Phone:+1-480-598-0001 • Fax:+1-480-598-3450