The Future Is Now by Dr. Jeanette MacLean

The Future Is Now 

A close look at a new product that regenerates enamel


by Dr. Jeanette MacLean


Dr. G.V. Black, one of the founders of modern dentistry, once said, “The day is surely coming—and perhaps within the lifetime of you young men before me—when we will be engaged in practicing preventive, rather than reparative, dentistry.” Modern concepts for dentistry favor minimally invasive treatment approaches aimed at preserving natural tooth structure.1 Curodont Repair Fluoride Plus stands to revolutionize dentistry with its first-of-its-kind treatment: biomimetic guided enamel regeneration using a self-assembling peptide, P11-4.2

Innovation
Caries occur as a result of an imbalance in the dental biofilm, whereby decalcification exceeds remineralization, creating porosities in the enamel subsurface.3 Various minimal interventions have been used to help manage caries. Diet and oral hygiene improvement are both important, but patient compliance can be a challenge. Topical fluorides are helpful for inhibiting demineralization; however, the enamel protection is limited to the outer ~30 μm of the tooth.4 Silver diamine fluoride (SDF) has gained popularity in recent years, but is refused by some patients because of the dark stain it creates on caries lesions.5 Resin infiltration offers an aesthetic solution to noninvasive caries arrest, but by radiolucent, artificial means.6 Unique in comparison to previous options, Curodont Repair Fluoride Plus penetrates to the depth of an initial caries lesion and stimulates de novo hydroxyapatite formation, thereby regenerating natural tooth structure.4

Mode of action
The enamel matrix proteins responsible for enamel formation during odontogenesis degrade during the final stage of maturation.3 The self-assembling peptide in Curodont, P11-4, mimics the ability of enamel matrix proteins to form a 3D scaffold that promotes hydroxyapatite crystal nucleation and mineral crystal growth.7 P11-4 fibers attract calcium from saliva, supporting hydroxyapatite formation within the porous caries lesion body, facilitating hard-tissue regeneration. This biomimetic mineralization is analogous to the enamel matrix during enamel formation, effecting “natural” repair by regenerating the mineral itself.8

Efficacy
Numerous clinical studies support the safety and efficacy of Curodont, as well as its superior efficacy compared with fluoride varnish, placebo or saliva.2,3,9–11 The Journal of the American Dental Association recently published a systematic review and meta-analysis, which found P11-4 was capable of reducing cavitation in initial caries lesions.12 A variety of clinical assessment tools evaluated the effect of Curodont, including microtomography, laser fluorescence, the Canary System, ICDAS-II Codes and Nyvad Caries Activity Criteria, in addition to conventional clinical and radiographic assessment.1,7,9

Teeth treated with Curodont have demonstrated greater remineralization, regression of caries and reduction of lesion size, with a highly significant change noted 30 days after application.8 The de novo hydroxyapatite crystals formed by Curodont have a fan-like shape, in comparison with the prismatic arrangement created by ameloblasts, which may explain why some lesions may not return to full translucency.10,11

Increased microhardness after Curodont treatment has been shown to reach a depth of 200μm; fluoride varnish, comparatively, exhibits a change in only the top 25μm.1 The treatment is highly biocompatible, and clinical safety results show it does not pose any concerns and had no adverse events, medical complications or allergic reactions related to the treatment.1,8

Benefits
A paradigm shift in modern dentistry focuses on a noninvasive, medical model of care, in contrast to the traditional, surgical “drill and fill” model.1,9–11 Early detection and minimal interventions such as biomimetic remineralization can help protect patients from unnecessary tissue loss or caries progression to expensive and invasive restorations. Preserving natural tooth structure for as long as possible and delaying or avoiding entry into the downward spiral of “redo dentistry” is a major advantage of Curodont.

Suggested uses
Regenerative procedures should be considered whenever possible and offered to patients. Curodont can be easily incorporated into everyday clinical practice. When incipient lesions are identified during an exam, clinicians can mention the option of remineralization to help reverse their enamel damage. Depending on your state dental practice act, the application of Curodont can often be delegated to a dental auxiliary. It can be applied in a matter of minutes in conjunction with their new-patient or periodic exam appointment, a standalone visit or along with a restorative visit. Clinical studies show efficacy on a variety of surfaces, including occlusal, buccal and proximal.

Application
  1. Clean the treatment site with plain pumice. 5% sodium hypochlorite may also be applied for 20 seconds to remove tooth pellicle. Isolate the treatment site with cotton rolls, Dri-Aids and/or an isolation suction system.
  2. Apply 37% phosphoric acid etch for 20 seconds. Rinse off the etch with water, then dry the teeth.
  3. Prepare the Curodont applicator by removing the safety clip and pushing the two cylinders together. Remove the applicator from the protective cover, then apply by squeezing the sponge onto the lesion(s)/proximal spaces. You can use a Hollenback or plastic instrument to help press the sponge against the teeth as well as twist and fold the applicator, like wringing out a mop, to help express the liquid out of the sponge.
  4. Allow the solution to absorb for five minutes. The liquid must come from the sponge to deliver the peptide technology to the enamel.
  5. After five minutes, it is optional to apply fluoride varnish. Instruct the patient not to rinse, eat or drink for 30 minutes.

Clinical case studies
Curodont can be applied to incipient caries lesions in a variety of clinical scenarios, such as these from Dr. MacLean’s practice, to help patients remineralize their teeth, bridging the gap between “watch and wait” monitoring and conventional restorations.


Patient 1: Buccal use
Curadont Cases
Fig. 1: A 9-year-old boy with buccal gumline decalcification on his first permanent molar.
Curadont Cases
Fig. 2: After cleaning the tooth, 37% phosphoric etch was applied for 20 seconds, then rinsed with water and dried.
Curadont Cases
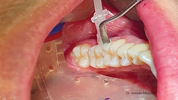
Fig. 3: Curodont was applied and allowed to absorb for five minutes.
Curadont Cases
Fig. 4: A 16-month follow-up photo shows the buccal aspect of the tooth has not cavitated and the enamel translucency has improved.


Patient 2: Proximal use

Curadont Cases
Fig. 5: A 19-year-old male with incipient proximal caries lesion on the distal of the mandibular left first permanent molar.
Curadont Cases
Fig. 6: Curodont was applied to the proximal contact using a plastic instrument to help push the liquid out of the sponge into the embrasure space.
Curadont Cases
Fig. 7: A six-month follow-up bitewing shows the distal lesion on the mandibular left first permanent molar has not cavitated.


Patient 3: Around orthodontic brackets

Curadont Cases
Fig. 8: A 12-year-old girl in braces with white spot lesions above the brackets on her maxillary incisors. Curodont was applied to help prevent the lesions from getting worse because she would still be in braces for more than a year.
Curadont Cases
Fig. 9: A 12-month follow-up shows the teeth have not cavitated and some of the enamel translucency has returned.



References
1. Alkilzy M, Santamaria RM, Schmoeckel J, Splieth CH. “Treatment of Carious Lesions Using Self-Assembling Peptides.” Adv Dent Res. 2018 Feb; 29(1):42–47.
2. Bröseler F, Tietmann C, Bommer C, Drechsel T, Heinzel- Gutenbrunner M, Jepsen S. “Randomised Clinical Trial Investigating Self-Assembling Peptide P11-4 in the Treatment of Early Caries.” Clin Oral Investig. 2020 Jan; 24(1):123–132.
3. Alkilzy M, Tarabaih A, Santamaria RM, Splieth CH. “Selfassembling Peptide P11-4 and Fluoride for Regenerating Enamel.” J Dent Res. 2018 Feb; 97(2):148–154.
4. Kind L, Stevanovic S, Wuttig S, Wimberger S, Hofer J, Müller B, Pieles U. “Biomimetic Remineralization of Carious Lesions by Self-Assembling Peptide.” J Dent Res. 2017 Jul; 96(7):790–797.
5. Almarwan M, Almawash A, AlBrekan A, Albluwi S. “Parental Acceptance for the Use of Silver Diamine Fluoride on Their Special Health Care-Needs Child’s Primary and Permanent Teeth.” Clin Cosmet Investig Dent. 2021 May 21; 13:195–200.
6. Gözetici B, Öztürk-Bozkurt F, Toz-Akalin T. “Comparative Evaluation of Resin Infiltration and Remineralisation of Noncavitated Smooth Surface Caries Lesions: 6-Month Results.” Oral Health Prev Dent. 2019; 17(2):99–106.
7. Silvertown JD, Wong BPY, Sivagurunathan KS, Abrams SH, Kirkham J, Amaechi BT. “Remineralization of Natural Early Caries Lesions in Vitro by P11-4 Monitored With Photothermal Radiometry and Luminescence.” J Investig Clin Dent. 2017 Nov; 8(4).
8. Brunton PA, Davies RP, Burke JL, Smith A, Aggeli A, Brookes SJ, Kirkham J. “Treatment of Early Caries Lesions Using Biomimetic Self-Assembling Peptides—A Clinical Safety Trial.” Br Dent J. 2013 Aug; 215(4):E6.
9. Doberdoli D, Bommer C, Begzati A, Haliti F, Heinzel- Gutenbrunner M, Juric H. “Randomized Clinical Trial Investigating Self-Assembling Peptide P11-4 for Treatment of Early Occlusal Caries.” Sci Rep. 2020 Mar 6; 10(1):4195.
10. Welk A, Ratzmann A, Reich M, Krey KF, Schwahn C. “Effect of Self-Assembling Peptide P11-4 on Orthodontic Treatment-Induced Carious Lesions.” Sci Rep. 2020 Apr 22; 10(1):6819.
11. Sedlakova Kondelova, P, Mannaa, A, Bommer, C, Abdelaziz, M, Daeniker, L, di Bella, E, Krejci, I. (2020). “Efficacy of P11-4 for the Treatment of Initial Buccal Caries: A Randomized Clinical Trial.” Scientific Reports, 10(1), 2021.
12. Keeper, JH, Kibbe LJ, Thakkar-Samtani M, et al. “Systematic Review And Meta-Analysis on the Effect Of Self-Assembling Peptide P11-4 on Arrest, Cavitation, and Progression of Initial Caries Lesions.” JADA. 2023; 154:580–591.



Watch the product in action!

Watch Dr. Jeanette MacLean’s video tutorial of how to apply Curodont below.


Author Bio
Author Dr. Jeanette MacLean is a diplomate of the American Board of Pediatric Dentistry and a fellow of the American Academy of Pediatric Dentistry, the American College of Dentists and the Pierre Fauchard Academy. MacLean is a member of Dentaltown’s editorial advisory board, an international speaker and an owner of Affiliated Children’s Dental Specialists in Glendale, Arizona.



Sponsors
Townie Perks
Townie® Poll
Do you routinely screen adult patients for sleep-disordered breathing or obstructive sleep apnea?
  
The Dentaltown Team, Farran Media Support
Phone: +1-480-445-9710
Email: support@dentaltown.com
©2026 Dentaltown, a division of Farran Media • All Rights Reserved
9633 S. 48th Street Suite 200 • Phoenix, AZ 85044 • Phone:+1-480-598-0001 • Fax:+1-480-598-3450