Want more sleep apnea patients....you have them as your general dental patients. See the clinical signs of sleep apnea

5/5/2019 12:11:01 PM   |   Comments: 0   |   Views: 129



Want more sleep apnea patients....you have them as your general dental patients.  See the clinical signs of  sleep apnea

       I am Bryan Keropian DDS the inventor and designer of the Full Breath sleep appliance.  It is a one arched appliance that treats sleep apnea, snoring, and poor health due to low oxygen, hypoxemia, without advancing the mandible. I have taught numerous classes and have many dentists using this appliance.  We get great success treating OSA and reducing AHI and increasing the Mean O2 saturation.
       I am in communication with numerous dentists, and I am told over and over by them that they don't have enough sleep apnea patients.  Well that is not true.  At least 50% of your patient database has mild to moderate sleep apnea.  The National Sleep Foundation states that 56% of American adults snore.  So how can you tell if they have apnea?
Here are clinical signs of Obstructive Sleep Apnea, OSA.
1.  If they snore they have 95% chance of having sleep apnea.
2.  Check their tongue for scalloping.  If they do, the tongue is too big for the arch and is being forced backward while one sleeps causing airway blockage.  A majority of those with apnea have scalloping.  Check it out, it's there.
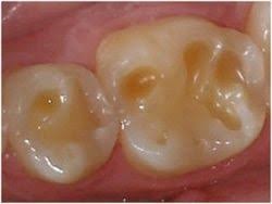
3.  Posterior occlusal wear. - When one has apnea one gets sleep bruxism.  With that comes posterior occlusal wear.
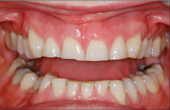
4.  Incisal wear - With sleep bruxism we also develop incisal wear. 
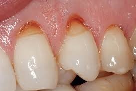
5.  Gingival erosion - With skeep bruxism, along with lateral and balancing interferences, the patients develop the gingival erosion we see.
        2. Scalloping                     3. Post. Occl Wear                    4. Incisal Wear                       5. Gingival Erosion
 Want more sleep apnea patients....you have them as your general dental patients.  See the clinical signs of  sleep apnea   Want more sleep apnea patients....you have them as your general dental patients.  See the clinical signs of  sleep apnea       Want more sleep apnea patients....you have them as your general dental patients.  See the clinical signs of  sleep apnea    Want more sleep apnea patients....you have them as your general dental patients.  See the clinical signs of  sleep apnea

        These are the clinical signs we can talk to our patients about and show them the breakdown in the mouth.  They have apnea and what does this cause.  This will lead you into what happens with low oxygen, hypoxemia.  This can result in increased acidity to the body.  These two maladies are two of the dangerous problems facing mankind.
       There are three big factors you have to discuss with your patients after you have shown them the clinical signs.
1.  You need to bring up Otto Warburg, a Jewish Physician in Hitler's Germany.  He was award a Nobel Prize in 1931 for research showing that hypoxemia caused increase in cancer, infectious bacteria, virus, and the body to become acidic. Hitler was scared of cancer and kept him alive and set him up in research lab.  In 1944 he was to be awarded a 2nd Nobel prize
for research  showing that abundant oxygen led to the elimination of the 4 maladies caused by hypoxemia.  Hitler never let him pick up the 2nd Nobel Prize.  Look up Otto Warburg on the net.
2.  The CDC on their website  lists the 10 leading causes of death in the U.S..  One is suicides, the 2nd is accidental deaths, and the other 8 are cancer, cardiovascular, kidney, liver, etc.  All eight of these are made worse by hypoxemia and acidosis.
3.  With hypoxemia and acidosis the immune system is weakened slighly to severly.  This can result in illness, body breakdown, and pain.  
       These 3 factors after you have shown them the clinical signs are preparing them to get a Home Sleep Study to check their AHI and their mean O2.  Discussing this with them, they will come to the realization that they have to end this attack on their body.
        If you have further questions you go to my Website: CPAPalternative.com.  Or you can reach me at my email: TMJrelief@msn.com., or at my answering service: 818-702-6002.  I will get the message and can get back to you to discuss what ever the issue.
       With all this info surrounding hypoxemia and abundant O2, this leaves Dentistry in a unique position.  Medicine has the CPAP to elevate O2 levels.  But we all know the high rejection rate of the CPAP.  But dentistry with the Full Breath Sleep Appliance can deliver O2 and affect these madadies positively.  I will discuss this in further blogs. See the Website.
       My best to all of you, This a great time for dentistry as we explode to the top. 
     

Bryan Keropian DDS                                                                                                                                                                                              Full Breath Solution                                                                                                                                                                                                  5 FDA Certifications & 5 Patents

 




                                           
   
                 
         


   






You must be logged in to view comments.
Total Blog Activity
997
Total Bloggers
13,451
Total Blog Posts
4,671
Total Podcasts
1,788
Total Videos
Sponsors
Townie Perks
Townie® Poll
Do you routinely screen adult patients for sleep-disordered breathing or obstructive sleep apnea?
  
The Dentaltown Team, Farran Media Support
Phone: +1-480-445-9710
Email: support@dentaltown.com
©2026 Dentaltown, a division of Farran Media • All Rights Reserved
9633 S. 48th Street Suite 200 • Phoenix, AZ 85044 • Phone:+1-480-598-0001 • Fax:+1-480-598-3450