When Implants Go Rogue by Dr. Giacomo Tarquini

Categories: Implant Dentistry;
When Implants Go Rogue 

Migration of an osseointegrated implant into the maxillary sinus: a case report


by Dr. Giacomo Tarquini


The placement of osseo-integrated implants is currently considered a highly predictable and safe surgical protocol, aimed at enabling implant-prosthetic rehabilitation in edentulous patients.1

To allow implant placement even in the presence of severe bone atrophy, various sinus lift techniques (both crestal and lateral approaches) have been developed in recent years, showing very high success rates.2

However, the literature describes several types of complications associated with this kind of procedure, including infectious, otolaryngological, vascular, and neurological complications.3

One complication of particular interest is the migration of one or more osseointegrated implants into the maxillary sinus, either during placement or after it.4

The aim of this article is to present a clinical case of the retrieval of an implant that had migrated into the maxillary sinus sometime after its placement via a crestal sinus lift procedure, and to describe the surgical approach used to resolve this complication in light of current scientific evidence on the topic.


Case report
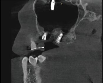
A 55-year-old male patient classified as ASA Physical Status I was referred to our clinic by his general dentist because of an implant that had migrated into the maxillary sinus approximately four months after placement, performed using a crestal sinus lift technique.

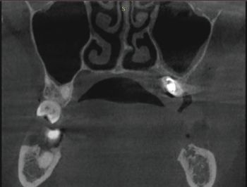
X-rays exams (i.e. OPG and CBCT) revealed the position of the displaced implant, which subsequently migrated near the ostiomeatal complex (OMC). It’s worth pointing out that immediately after their displacement, dental implants are usually located on the floor of the maxillary sinus or in the immediate vicinity; after a while, the displaced implants start to migrate against the gravitational force in the direction of the maxillary sinus ostium (as reported in the present clinical case) thanks to the strong mucociliary clearance by the sinus mucosa as well as nasal and intrasinus pressure changes. Notably, no reactive changes of the sinus membrane were observed (Figs. 1–5).

When Implants Go Rogue
Fig. 1: Pre-op panoramic X-ray
When Implants Go Rogue
Fig. 2: Pre-op CBCT radiographic exam (coronal section)
When Implants Go Rogue
Fig. 3: Pre-op CBCT radiographic exam (panorex)
When Implants Go Rogue
Fig. 4: Pre-op CBCT radiographic exam (axial section)
When Implants Go Rogue
Fig. 5: Pre-op CBCT radiographic exam (sagittal section)


Because of the size of the foreign body, transnasal endoscopic removal was deemed inappropriate, and surgical retrieval via an intraoral approach using a lateral window (also known as modified Caldwell-Luc procedure) on the anterior-lateral wall of the maxillary sinus was indicated.

Immediately before surgery, the patient was instructed to rinse with 0.2% chlorhexidine digluconate and to continue rinsing every eight hours for two weeks postoperatively.

Antibiotic prophylaxis consisted of 2 g of amoxicillin/clavulanic acid taken one hour before surgery, followed by 1 g every 12 hours for six days.

For pain and inflammation control, the patient was prescribed 500 mg of naproxen sodium, to be taken one hour before surgery and as needed thereafter, not exceeding one dose every eight hours for seven days.

Local anesthesia was achieved by infiltration with 40 mg/mL articaine hydrochloride with epinephrine 1:100,000 (Fig. 6).
When Implants Go Rogue
Fig. 6: Preoperative image of the edentulous area

To effectively anesthetize the entire area involved in the surgical procedure, the following loco-regional blocks are performed: posterior superior alveolar nerve block, greater palatine nerve block and infraorbitary nerve block.

A full-thickness access flap was raised, including a crestal incision within the attached gingiva and two slightly divergent vertical releasing incisions, in order to expose the anterior-lateral wall of the maxillary sinus.

An antrostomy was created using piezoelectric ultrasonic tips to allow direct access to the sinus cavity (Fig. 7).
When Implants Go Rogue
Fig. 7: Creation of an antrostomy by erosion using ultrasonic inserts mounted on a piezoelectric handpiece

The antrostomy was progressively enlarged in both mesial and cranial directions using an ultrasonic tip to improve intraoperative visibility and facilitate localization of the implant (Figs. 8–10).
When Implants Go Rogue
Fig. 8: Progressive enlargement of the antrostomy in the mesial direction
When Implants Go Rogue
Fig. 9: Progressive enlargement of the antrostomy in a cranial direction
When Implants Go Rogue
Fig. 10: Bony window

Since the foreign body could further migrate inside the sinus because of physiological ciliary activity or cranial movements, it was crucial to use tools that assist the clinician: With the aid of a magnification system combined with coaxial illumination and a surgical suction unit with micro-cannulas, the implant was located in the position indicated by the preoperative CBCT.

Using microsurgical grasping forceps, the implant was securely clamped and then removed manually (Figs. 11–13).
When Implants Go Rogue
Fig. 11: Localization of the displaced implant
When Implants Go Rogue
Fig. 12: Implant removal
When Implants Go Rogue
Fig. 13: The implant removed from the maxillary sinus and the bony windows

To promote complete reconstruction of the bony wall and prevent the formation of an oroantral communication (which could jeopardize any future procedures in the area), the antrostomy was covered with a double-layered resorbable membrane stabilized with titanium pins (Fig. 14). When it comes to sinus membrane healing, a number of authors demonstrated that mucosal sinus lining is almost completely reformed after two to four weeks

Finally, the access flap was sutured using both resorbable monofilament and multifilament materials (Fig. 15).

At four-weeks follow-up, both healing and soft tissue condition were considered satisfactory (Fig. 16).
When Implants Go Rogue
Fig. 14: The antrostomy is protected with a resorbable membrane arranged in a double layer and stabilized with titanium pins
When Implants Go Rogue
Fig. 15: Suturing the access flap with absorbable monofilament and multifilament sutures
When Implants Go Rogue
Fig. 16: Four-week follow-up


A radiographic follow-up at six months included CBCT reconstructions confirming removal of the foreign body and preservation of sinus homeostasis, with no reactive changes in Schneider’s membrane (Figs. 17–19).
When Implants Go Rogue
Fig. 17: Six-month radiographic follow-up: CBCT radiographic check (panorex reconstruction)
When Implants Go Rogue
Fig. 18: Six-month radiographic follow-up: CBCT radiographic check (coronal section)
When Implants Go Rogue
Fig. 19: Six-month radiographic follow-up: CBCT radiographic check (axial section)


Discussion
The widespread adoption of maxillary sinus augmentation procedures—both via the lateral5 and crestal6 approaches—has significantly expanded the possibility of offering implant-supported rehabilitations in the posterior maxilla to patients with varying degrees of bone atrophy.

Despite the undeniable increase in predictability and the ongoing evolution of surgical protocols—which now allow for intervention even in the presence of sinus pathologies that would have previously contraindicated such procedures7—a range of intra- and postoperative complications may still occur. Among these, one of particular interest is the migration of a dental implant into the maxillary sinus.

This complication can occur during implant placement, during the healing phase, or even—sometimes long after placement—during the prosthetic loading phase.8, 9 Intraoperative displacement of an implant is generally attributed to deviation from proper surgical protocols (e.g., implant placement despite sinus membrane perforation and/or inadequate primary stability). In contrast, delayed migration is usually linked to failed or lost osseointegration (of the implant and/or the graft material, if present), which is often a consequence of superimposed infectious processes.10

Some authors11 have identified subclinical infections as a potential etiological factor, which may compromise graft consolidation or lead to its premature resorption and, consequently, to loss of primary stability. In the present case, migration of the implant into the sinus can reasonably be attributed to this latter mechanism, given that the implant showed satisfactory primary stability at placement and the healing process was entirely asymptomatic.

Clinically, implant displacement into the sinus can present with a wide variety of manifestations. Although most cases are completely asymptomatic or mildly symptomatic, some patients may develop acute or chronic sinusitis.

In addition to infectious complications, another possible consequence of an unaddressed migrating implant is the invasion of distant anatomical regions, such as the sphenoid sinus,12 ethmoid sinus,13 anterior cranial fossa,14 or the orbital floor.15

Given these potential outcomes, most authors recommend prompt removal of the foreign body.16, 17

Regarding the surgical protocol for implant retrieval, three different approaches are described:
  1. Transcrestal access (via the original implant site)
  2. Transnasal endoscopic access18
  3. Transoral access through an antrostomy19
Transcrestal access generally provides limited maneuverability and is therefore the least commonly used. Transnasal endoscopic access offers the clear advantage of low morbidity and a mild postoperative course,20, 21 but its feasibility is heavily influenced by the implant’s location and size, and it often requires general anesthesia.

Transoral access via antrostomy on the anterior-lateral wall of the sinus22 can be performed in an outpatient setting under local anesthesia or conscious sedation and typically offers the best intraoperative visibility, even for retrieving large foreign bodies. On the other hand, the antrostomy itself represents a critical size defect (CSD), defined as “the minimum size of a bone defect that does not heal spontaneously within a certain period.”23 For this reason, if the antrostomy site is not properly managed, incomplete or absent bone regeneration may occur, possibly resulting in a residual bony defect and adhesion formation between the buccal mucosa periosteum and the Schneiderian membrane.24, 25

To minimize this risk—which could potentially prevent future surgical intervention in the same area—it is advisable to protect the antrostomy site using a resorbable membrane,26 adequately stabilized with titanium pins to support bone regeneration.27–30


Conclusion
Migration of a dental implant into the maxillary sinus, whether occurring during or after placement, represents a complication that—if not properly addressed—can expose the patient to serious consequences.

The displaced implant can, in fact, reach anatomical regions far from the original insertion site. For this reason, most authors recommend its immediate removal using one of several available surgical approaches.

The technique described in this paper involves a transoral approach via antrostomy on the anterolateral wall of the maxillary sinus. The use of a piezoelectric device can be particularly beneficial for creating the bony window, improving intraoperative visibility through ultrasonic cavitation, promoting bone healing, and reducing postoperative discomfort.

However, it is crucial to emphasize that strict adherence to proper surgical protocols for implant placement in the posterior edentulous maxilla remains the first and most effective measure to prevent this specific complication. 

References
1. Albrektsson T, Zarb G, Worthington P, Eriksson AR. The long-term efficacy of currently used dental implants: a review and proposed criteria of success. Int J Oral Maxillofac Implants. 1986;1:11-25.
2. Esposito M, Felice P, Worthington HV. Interventions for replacing missing teeth: augmentation procedures of the maxillary sinus. Cochrane Database Syst Rev. 2014 May 13;(5):CD008397.
3. Starch-Jensen T, Jensen JD. Maxillary sinus floor augmentation: a review of selected treatment modalities. J Oral Maxillofac Res 2017;8(3):e3
4. Raghoebar GM, Vissink A. Treatment for an endosseous implant migrated into the maxillary sinus not causing maxillary sinusitis: Case report. Int J Oral Maxillofac Implants. 2003;18:745-749.
5. Tarquini G. La chirurgia piezoelettrica del seno mascellare: indicazioni cliniche e descrizione di un case series. Implant Tribune Anno IV n. 3 - Settembre 2010: 13-17
6. Tarquini G. Rialzo di seno per via crestale con una pasta ossea di nuova generazione. Implant Tribune, 03/2018 - anno VII n. 1: 18-20
7. Tarquini G. Rialzo del seno mascellare per via laterale e pseudocisti antrale: caso clinico. Dental Cadmos 2015;83(9): 630-639
8. Chappuis, V., Suter, V.G. & Bornstein, M.M. (2009). Displacement of a dental implant into the maxillary sinus: report of an unusual complication when performing staged sinus floor elevation procedures, The International Journal Of Periodontics & Restorative Dentistry. Vol. 29 (No. 1);81-87.
9. Borgonovo, A., Fabbri, A., Boninsegna, R., Dolci, M., Censi, R. (2010). Displacement of a dental implant into the maxillary sinus: case series, Minerva Stomatologica, Vol. 59 (No. 1-2);45-54.
10. Galindo-Moreno P. Dental Implant Migration in Grafted Maxillary Sinus. Implant Dent 2011;20:400–405.
11. Kim YK, Yun PY, Kim SG, et al. Analysis of the healing process in sinus bone grafting using various grafting materials. Oral Surg Oral Med Oral Pathol Oral Radiol Endod. 2009;107:204-211.
12. Felisati, G., Lozza, P., Chiapasco, M. & Borloni, R. (2007). Endoscopic removal of an unusual foreign body in the sphenoid sinus: an oral implant, Clinical Oral Implant Research. Vol. 18 (No. 6);776-780.
13. Haben, C.M., Balys, R. & Frenkiel, S. (2003). Dental implant migration into the ethmoid sinus, The Journal Of Otolaryngology. Vol. 32 (No. 5);342-344.
14. Cascone P, Ungari C, Filiaci F, Gabriele G, Ramieri V. A dental implant in the anterior cranial fossae. Int J Oral Maxillofac Surg. 2010;39:92-93.
15. Griffa, A., Viterbo, S. & Boffano, P. (2010). Endoscopic-assisted removal of an intraorbital dislocated dental implant, Clinical Oral Implant Research. Vol. 21 (No. 7);778-780.
16. Galindo, P., Sanchez-Fernandez, E., Avila, G., Cutando, A. & Fernandez, J.E. (2005). Migration of implants into the maxillary sinus: two clinical cases, The International Journal Of Oral & Maxillofacial Implants. Vol. 20 (No. 2);291-295.
17. Ramotar, H., Jaberoo, M.C., Koo Ng, N.K., Pulido, M.A. & Saleh, H.A.(2010). Image-guided, endoscopic removal of migrated titanium dental implants from maxillary sinus: two cases, The Journal Of Laryngology And Otology. Vol. 124 (No. 4);433-436.
18. Kitamura A. Migrated Maxillary Implant Removed via Semilunar Hiatus by Transnasal Endoscope. Implant Dentistry. Volume 19, Number 1 2010;16-20
19. Andreasi Bassi M. Endoscopic retrieval of a dental implant into the maxillary sinus: a case report. Oral & Implantology. Anno IX - n. 2/2016;69-75
20. Gonzalez-Garcia A, Gonzalez-Garcia J, Diniz-Freitas M, Garcia-Garcia A, Bullon P. Accidental displacement and migration of endosseous implants into adjacent craniofacial structures: a review and update. Med Oral Patol Oral Cir Bucal. 2012;17:e769-74.
21. Lubbe DE, Aniruth S, Peck T, et al. Endoscopic transnasal removal of migrated dental implants. Br Dent J. 2008;204:435-436.
22. Regev E, Smith RA, Perrott DH, et al. Maxillary sinus complications related to endosseous implants. Int J Oral Maxillofac Implants. 1995;10:451-461.
23. Cooper, G., Mooney, M., Gosain, A., Campbell, P., Losee, J. & Huard, J. (2010) Testing the critical size in calvarial bone defects: revisiting the concept of a critical-size defect. Plastic and Reconstructive Surgery. 125: 1685–1692.
24. Delgado-Ruiz RA, Calvo-Guirado JL, Romanos GE. Critical size defects for bone regeneration experiments in rabbit calvariae: systematic review and quality evaluation using ARRIVE guidelines. Clin Oral Impl Res. 26, 2015; 915–930.
25. Bernabé PFE, Melo LGN, Cintra LTA, Gomes-Filho JE, Dezan E Jr, Nagata MJH. Bone healing in critical-size defects treated with either bone graft, membrane or a combination of both materials: a histological and histometric study in rat tibiae. Clin Oral Impl Res. 23, 2012;384–388
26. Tarquini G. Impiego di membrane in chirurgia rigenerativa, Cap. 3. In: Tarquini G. Tecniche di chirurgia parodontale: dalla diagnosi alla terapia,” Edizioni EDRA (Settembre 2017): 164-172
27. Tarquini G. Protocollo chirurgico in GTR, Cap. 3. In: Tarquini G. Tecniche di chirurgia parodontale: dalla diagnosi alla terapia,” Edizioni EDRA (Settembre 2017): 125-126
28. Tarquini G. Ultrasonic cavitation and peri-implantitis: a novel, promising approach decontaminates surfaces and reduces inflammation of soft tissues.” Dentaltown Online Magazine; November 2021; 50-56
29. Tarquini G. Decontaminazione implantare mediante cavitazione ultrasonica: un nuovo approccio alla terapia chirurgica delle peri-implantiti.” Implant Tribune Italian Edition; Novembre 2021: 05-07
30. Tarquini G. Razionale biologico della rigenerazione tissutale guidata (GTR), Cap. 3. In: Tarquini G. Tecniche di chirurgia parodontale: dalla diagnosi alla terapia,” Edizioni EDRA (Settembre 2017): 119-120


Author Bio
Tarquini Dr. Giacomo Tarquini graduated with honors in dentistry and dental prosthetics from the Sapienza University of Rome in 1994, and has been practicing dentistry for 25 years. He practices in Rome with particular interest in the disciplines of periodontology and implantology. He is also a consultant, professor, tutor, and lecturer for a variety of dental specialties. Along with various articles, Tarquini is the author of the textbook Techniques of Periodontal Surgery: From Diagnosis to Therapy. Tarquini is also a member of the Dentaltown editorial advisory board.

Sponsors
Townie Perks
Townie® Poll
Do you routinely screen adult patients for sleep-disordered breathing or obstructive sleep apnea?


  
The Dentaltown Team, Farran Media Support
Phone: +1-480-445-9710
Email: support@dentaltown.com
©2026 Dentaltown, a division of Farran Media • All Rights Reserved
9633 S. 48th Street Suite 200 • Phoenix, AZ 85044 • Phone:+1-480-598-0001 • Fax:+1-480-598-3450