A Laser Approach to Peri-Implantitis Management by Dr. Marq Sams

A Laser Approach to Peri-Implantitis Management

by Dr. Marq Sams


What is one of the most challenging complications in today’s dental implant-driven practices? Peri-implantitis. As dental implant therapy has become a routine and predictable resolution for replacing missing teeth, long-term expectations have risen among both clinicians and patients. Yet with increased implant placement comes an inevitable rise in peri-implant disease, particularly peri-implantitis, characterized by inflammation, bone loss, and progressive failure of the implant–periodontal interface. It is difficult for traditional mechanical therapies to always meet the demands of these complex lesions, especially when dealing with roughened implant surfaces, deep peri-implant pockets, or limited access under over-contoured prostheses.

In response, lasers have gained traction. While lasers have been used in dentistry for decades, only in the past five to 10 years has research helped clarify their role in peri-implant disease management. Modern studies now provide guidance on which wavelengths to use, what outcomes can realistically be expected, and how lasers can integrate into broader nonsurgical or surgical protocols. The emerging body of literature shows that laser-assisted therapy is not simply a trendy add-on; it represents a biologically sound method for enhancing decontamination while minimizing collateral tissue trauma. Treatments must not only remove disease but do so in a way that respects the delicate architecture of surrounding structures.

Traditional mechanical debridement plays an important role but does not come without limitations. Titanium curettes, ultrasonic instruments with specialized tips, and air-polishing devices all help reduce biofilm, yet none reliably achieve complete decontamination of implant threads, especially in areas with limited access. More importantly, mechanical methods can inadvertently damage the implant surface, altering structure and compromising future osseointegration. Many clinicians underestimate how even subtle surface changes can disrupt fibroblast attachment or degrade the micro-roughness essential for bone regeneration. This is especially concerning in advanced cases, where every micron of surface preservation counts.

Managing peri-implantitis requires addressing biologic and mechanical challenges simultaneously. Successful therapy must therefore accomplish three key objectives: breaking up and removing the biofilm attached to implant surfaces, reducing the inflammatory process in the surrounding tissues without introducing additional trauma, and decontaminating the implant surface while preserving its integrity to support potential regeneration and increased osseointegration. These objectives sound straightforward; however, accomplishing them in a contaminated, inflamed, anatomically restricted peri-implant environment is far from simple.

This is where specific laser wavelengths show distinct advantages, and the use of a dental endoscope further enhances the precision and effectiveness of treatment. Each wavelength interacts differently with water, bacteria, titanium, and soft tissue, allowing clinicians to tailor therapy to the biologic and structural demands of peri-implant disease. Er:YAG lasers (2940 nm) have been shown to effectively remove biofilm and endotoxins from titanium surfaces while causing minimal risk of altering the implant’s surface integrity. Diode lasers in the 810–980 nm range have demonstrated strong antibacterial effects and are particularly useful for reducing inflammation within the peri-implant sulcus. Nd:YAG lasers (1064 nm) offer deeper tissue penetration and excellent coagulation properties. It is important to adhere to strict parameters to prevent overheating across all lasers.

Multiple studies support that all three wavelengths consistently outperform mechanical debridement alone in reducing bleeding on probing and improving soft-tissue inflammatory parameters. While laser therapy reliably enhances clinical outcomes, when it comes to bone regeneration, other factors, such as the morphology of the defect, implant design, tissue thickness and surgical technique, play a far greater role than wavelength alone. Taken together, the evidence points to a synergistic approach. Lasers enhance what conventional therapy already does, not replace it. Drawing from evidence-based research, clinicians can implement a predictable and repeatable peri-implantitis protocol using the strengths of specific wavelengths.

In the nonsurgical cases, laser therapy is most beneficial for peri-implant mucositis and early peri-implantitis, when bone loss remains minimal. Treatment begins with initial biofilm disruption achieved through air polishing or titanium instrumentation. If a dental endoscope is available, it can enable a more precise and predictable approach to managing peri-implantitis. Initial mechanical disruption of biofilm is dramatically enhanced when the endoscope reveals exactly where contaminants remain—calculus, burnished deposits, cement remnants, and thread level biofilm that would otherwise be missed with tactile instruments alone. This diagnostic clarity transforms the entire procedure. The mechanical step is essential because it breaks up the bulk of the biofilm and exposes contaminated surfaces to laser energy.

Once superficial deposits are cleared, clinicians can introduce diode or Nd:YAG laser therapy to reduce the microbial load. Low energy sweeping passes around the peri-implant sulcus help eradicate pigmented bacteria and reduce inflammatory factors while maintaining the integrity of the surrounding tissues.

After bacterial reduction, Er:YAG laser energy may be utilized if implant threads are exposed to provide a more comprehensive decontamination. The Er:YAG wavelength interacts strongly with water, allowing it to vaporize biofilm and endotoxins without drastically raising the temperature of the titanium surface or altering its morphology. This is particularly important because maintaining implant surface integrity improves the potential for soft-tissue resolution. Visualizing this process through the endoscope not only increases accuracy but also prevents over-instrumentation, an underreported complication that can worsen clinical outcomes.

An eight-week follow-up visit is recommended to evaluate reductions in bleeding on probing, improvements in tissue firmness, changes in probing depth, and overall patient comfort. Nonsurgical laser therapy, when performed properly, should lead to a noticeable reduction in inflammation, healthier peri-implant soft tissues, reasonable pocket depth improvements, and better long-term disease control. Although it cannot reverse bone loss, it can considerably slow or halt disease progression in its early stages.

For more advanced peri-implantitis, where bone loss is moderate to severe or where prosthetic design restricts access to the peri-implant sulcus, a surgical approach becomes necessary. Laser-assisted peri-implantitis surgery begins with flap elevation to provide visibility and access to the defect. This can be accomplished using Nd:YAG laser energy or, if necessary, via minimal incisions. Once access is established, the Nd:YAG is used further to eradicate pigmented bacteria and improve coagulation, which enhances visibility during the procedure. Mechanical debridement can then be performed, preferably with a dental endoscope. The endoscope ensures little to no contaminants remain, allowing the Er:YAG laser to be used precisely in the next step while avoiding over-instrumentation. The Er:YAG’s unique interaction with water allows for precise removal of biofilm and contaminants on implant threads while minimizing heat transfer and avoiding surface alterations. This is crucial because preserving the implant’s micro-roughened structure supports improved healing and provides a more favorable environment when regeneration is the intended outcome.

When appropriate wavelengths are combined with meticulous mechanical debridement and enhanced visualization through endoscopic guidance, clinicians can consistently achieve meaningful reductions in inflammatory burden while preserving implant surface integrity.

The following radiographs demonstrate representative surgical cases treated with a laser-assisted protocol, illustrating resolution of peri-implant radiolucency, stabilization of crestal bone levels and improved bone density patterns over time.

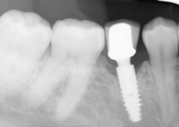
Fig. 1 illustrates tooth #29, restored with a dental implant placed 18 years prior, which presented with vertical osseous defects on both the mesial and distal aspects. Follow-up radiographic evaluation demonstrates adequate osseous fill on the mesial and distal aspects following therapy.

A Laser Approach to Peri-Implantitis Management
 
A Laser Approach to Peri-Implantitis Management
Fig. 1: Initial and follow-up radiographs of dental implant at site #29.

Fig. 2 depicts a dental implant at site #31 that presented with peri-implant probing depths of 12 mm on both the mesial and distal aspects, accompanied by suppuration. A 12-month follow-up radiograph reveals substantial peri-implant bone fill on both the mesial and distal aspects.

A Laser Approach to Peri-Implantitis Management
 
A Laser Approach to Peri-Implantitis Management
Fig. 2: Initial and follow-up radiographs of dental implant at site #31.

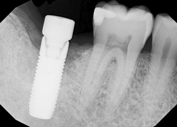
Fig. 3 shows a dental implant at site #21 functioning as the mesial abutment of a three-unit implant-supported fixed partial denture, which initially presented with a distal vertical osseous defect. At nine months postoperatively, radiographic evaluation demonstrates osseous fill on the distal aspect, along with increased radiographic bone density on the mesial aspect.

A Laser Approach to Peri-Implantitis Management
 
A Laser Approach to Peri-Implantitis Management
Fig. 3: Initial and follow-up radiographs of dental implant at site #21.

In many cases, clinicians may combine wavelengths, using Nd:YAG or diode energy for deep bacterial reduction and soft-tissue coagulation and Er:YAG energy for direct implant-surface decontamination. This dual-wavelength synergy mirrors many published protocols and often yields improved clinical outcomes compared with single-wavelength approaches.

Peri-implantitis management is evolving. As more research clarifies the strengths and limitations of laser therapy, clinicians can now integrate lasers with greater confidence and predictability. The literature demonstrates that lasers reduce inflammation, improve peri-implant soft-tissue health and effectively decontaminate implant surfaces when used with appropriate technique and parameters. They do not cure peri-implantitis alone, but when used as part of a structured, evidence-based protocol, they significantly elevate the clinician’s ability to stabilize and manage this challenging condition. As implant therapy continues to grow in popularity, the demand for predictable peri-implantitis treatment will only increase. Incorporating laser therapy into practice empowers clinicians to meet this challenge with better outcomes, safer interventions, and a more modern, biologically aligned approach to care.

Author Bio
Dr. Marq Sams Dr. Marq Sams earned his DMD from the University of Louisville in 2006, completed a general practice residency in South Carolina, and returned to Louisville to receive his periodontics certificate and MS in oral biology in 2010. His thesis centered on site development and implant placement, earning recognition at the Academy of Osseointegration. A Diplomate of the American Board of Periodontology, he has been honored as Dentist of the Year, a “40 Under 40” recipient, and an international speaker on implant growth. He contributes to Wichita State University programs and leads local study clubs to advance collaboration and education.


Sponsors
Townie Perks
Townie® Poll
Do you routinely screen adult patients for sleep-disordered breathing or obstructive sleep apnea?
  
The Dentaltown Team, Farran Media Support
Phone: +1-480-445-9710
Email: support@dentaltown.com
©2026 Dentaltown, a division of Farran Media • All Rights Reserved
9633 S. 48th Street Suite 200 • Phoenix, AZ 85044 • Phone:+1-480-598-0001 • Fax:+1-480-598-3450