Implant Prosthodontics
Implant Prosthodontics
A forum to share and discuss cases, trends and news in the Implant Prosthodontic community.
Blog By:
Derek Gatta
Derek Gatta

Displaying 1-25 of 27
1 2
Page 1 of 2
Clinical Practice Guidelines
The American College of Prosthodontics held their annual session in San Francisco this year.  I had a chance to participate in filming a short piece on the college's clinical practice guidelines that are useful for our patients when discussing maintenance programs to protect their investment.     Read More
All on 6
Due to periodontal disease, all remaining dentition was extracted and six maxillary and four mandibular implants were placed and loaded simultaneously. A clear denture duplicate was used as a surgical guide and an alveolar reduction guide. This is the wax try in version to confirm...  Read More
Guidelines for Bar Over dentures
My patient presented with no maxillary restoration and a mandibular one that was in poor condition. Before we even thought about implants, I made a conventional denture and two mandibular FDPs (bridges), which helped me establish a plane of occlusion, tooth position based on esthetics...  Read More
National Prosthodontics Awareness Week
https://www.youtube.com/watch?v=UrYbtJ0C-iU #NPAW #Prosthodontics   Read More
Interview with Michael Arias on "The Dental Marketer" podcast
Gotta check out latest episode of "The Dental Marketer" podcast on iTunes. This show has something for everyone! We chat about mentorship for the new dentist, business ideas for the start up practice, and my wonderful experiences in the Navy. Don't miss it!  Read More
Don't Let Cement Ruin Your Implant
https://www.facebook.com/implantprosthodontics/ I recently removed a cement retained implant restoration due to an insufficient mesial contact and this is what I found. The dental literature is full of articles describing the negative effects of cement extrusion on the health of the periodontium...  Read More
Be Selfish in 2017!!
On the eve of another new year, plan for success and plan to be selfish. Describing someone as selfish is usually negative. I understand and agree in some instances. When preparing to achieve board certification, being selfish is necessary. This short term departure from your normal self...  Read More
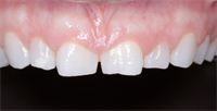
When Plan "A" Doesn't Work Out
What To Do When Plan “A” Does Not Work Out? In this case, you will see two final restorations. The patient received trauma to the anterior maxillary dentition a number of years ago. #8-10 received RCT. When I met the patient, #8-10 had severe bone loss, blunted roots and class...  Read More
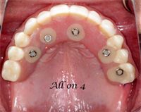
Which Parts Do I Need for "All on 4" Style Cases?
Don't get stuck without the parts you need. For new providers getting into "All on 4" style cases, get organized and have your parts ready ahead of time so there is no scrambling. This brief video outlines what you need to be successful! Enjoy!! ...  Read More
When to Increase OVD?
How do you know when to increase OVD? This is a challenging situation for many practitioners. Let's first review the "Turner Classification" for "wear" patients. Turner class I is someone who lost vertical dimension. Unless this was an acute process such as trauma from a car accident, I have not...  Read More
Floss Death Blow?
I was floored tonight when NBC Nightly News ran a story testing the supremacy of flossing as an oral hygiene benefit!! There is no way this segment could be true, could it? Apparently, the Associated Press (AP) challenged the government's claim that flossing improve oral health. Refuting the...  Read More
Set Denture Teeth Like a Pro: Analyze Restorative Space!!
The following individual presented to my practice my an edentulous maxilla and partially edentulous mandible. An interim maxillary complete denture was fabricated, which served as the radiographic and surgical guide: once it was duplicated. Implants were placed in sites #6,8,10,30. Patient...  Read More
5 Most Important Things to Consider Before Entering a Pros Residency!!
Congratulations!! If you are reading this, you must have decided to pursue the best specialty in dentistry. The rewards will be great, but so will the sacrifice. I’m not going to try to sugar coat this; Pros residency was the most challenging three years of my life. Despite the lack of sleep...  Read More
How Do You Know When Your Patient Needs Crown Lengthening?
How do you know when to crown lengthen? In this case, I document the necessary steps to treatment plan and sequence short teeth syndrome cases. Photographs are crucial when making this determination. You can see in the smile shot how short the anterior six appear. They measured about...  Read More
I recently went to Jayme Amos' Ideal Practices course in Las Vegas on dental practice startups. The conference was fantastic and I met many wonderful people. I am seriously considering moving forward with their high level consulting to facilitate the actual startup...  Read More
How to Restore Resorption Case?
I have a 35 year old healthy patient who received trauma to #8,9 as a teenager. He is a new patient to me and spoke to him about the radiographic resorptive lesions. His chief complaint is that he is worried about the long term prognosis of the two teeth and if anything should be done...  Read More
Full Mouth Rehab Video Secrets!!
In this video, I provide feedback on the diagnosis, treatment planning, treatment sequence, execution and follow up for full mouth rehab cases. https://youtu.be/4tpKXMkKP9k Contact me with any questions dgatta@gmail.com  Read More
3D Printed Tooth Aligners: Great Press for Dentistry and 3D Printing or Dangerous Precedent?
I was floored when I noticed a trending article related to the dental profession this week. I don't condone people treating themselves without the proper training but I find myself admiring the ingenuity. If you are still not on board with what 3D printing can do you, I encourage you to learn...  Read More
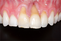
3 Guidelines to Determine When to Use Prosthetic Gingiva!
How do you know when your multi-unit implant restoration will need prosthetic gingiva? This is a challenging situation for many providers but understanding several key concepts should ease your apprehension. 1) Lip position in full smile, 2) presence of existing papilla and 3) the size of...  Read More
"Emergence Profile": or lack of one
This patient's chief complaint was the food impaction on the distal of #19. I could not help but notice the pancake sitting on top of the implant. I'll save the criticism because I don't know the details and circumstances surrounding this case. The radiograph beautifully illustrates the...  Read More
15 Oral Hygiene Tips To Help Engage Your Patients!!
BuzzFeed recently published an article regarding oral hygiene strategies. Could be a good way to help engage your patients!   Read More
How to help the lab when you don't get back what you were expecting!
https://youtu.be/dQZGuDiQ8Qg https://www.youtube.com/watch?v=dQZGuDiQ8Qg In this video, I explain how to help your lab correct excessive buccal flare of your crowns using a silicone matrix.  Read More
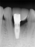
What to do when you only have room for one implant?
In this situation, the patient had two primary teeth in the anterior mandible that had a poor five year prognosis. The two teeth were extracted and I decided to place one NP Nobel implant and cantilever the restoration. I only had room for one NP implant. Would you treat the same way, or place...  Read More
"How to articulate fixed hybrid cases: and assessing restorative space"
In this video, I demonstrate how to articulate your fixed hybrid cases using the patient's provisional restoration. I then showcase how to assess restorative space using a silicone matrix. https://youtu.be/8dFgGdZBwqA  Read More
"How to articulate full mouth rehabs when preparing teeth at the same time"
https://youtu.be/PhqZ9PMvD6s In this video, I demonstrate a reliable way to articulate your full mouth rehab cases when preparing teeth all at once. Feel free to email me if you would like to learn more about this case. dgatta@gmail.com  Read More
Displaying 1-25 of 27
1 2
Page 1 of 2
Total Blog Activity
997
Total Bloggers
13,451
Total Blog Posts
4,671
Total Podcasts
1,788
Total Videos
Sponsors
Townie Perks
Townie® Poll
Do you routinely screen adult patients for sleep-disordered breathing or obstructive sleep apnea?
  
The Dentaltown Team, Farran Media Support
Phone: +1-480-445-9710
Email: support@dentaltown.com
©2026 Dentaltown, a division of Farran Media • All Rights Reserved
9633 S. 48th Street Suite 200 • Phoenix, AZ 85044 • Phone:+1-480-598-0001 • Fax:+1-480-598-3450