My dental life
My dental life
A doctor dedicated to the cause of dental
Blog By:
Dentalyu
Dentalyu

The   One-Time   Socket   Abutment Just    For   Incisor
Male 32y healthy ,The incisor with a fracture of an accident 5 years ago ...  Read More
The Immediately  restoration of Central Incisor  on Lingual  Surface
The Immediately  restoration of Central Incisor  on Lingual  Surface   Read More
Icon Resin Removes Chalky Plaque
Icon Resin Removes Chalky Plaque,   Read More
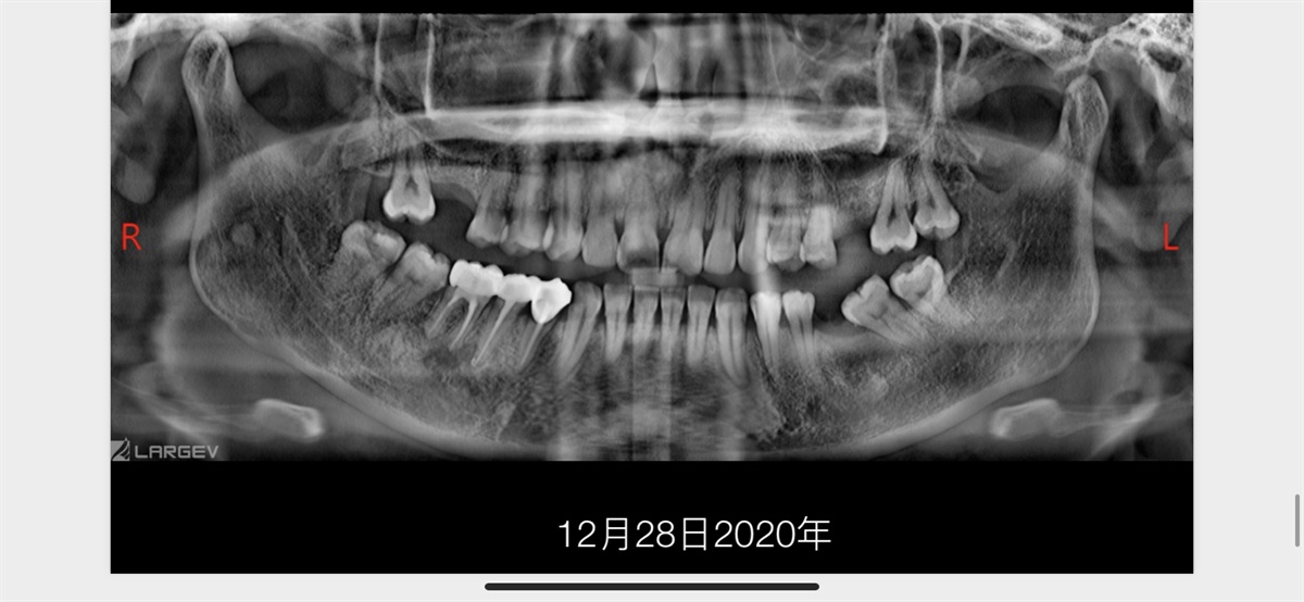
The Rct for big cyst
The patient's first visit was May 2019, in the local health center, but did not solve the problem, and the three teeth on the left did a marrow treatment. Later, the X-ray film was taken in the superior hospital, found to be a cyst,Then did the cyst removal, but so that the jaw is left a big empty...  Read More
The veneers for deep caries
The 24-year-old male is due to the large area of deep caries and defect  ,the dental color is yellowish, so we consider use the veneers to restoration    Read More
Categories: Cosmetic Dentistry
Total Blog Activity
997
Total Bloggers
13,451
Total Blog Posts
4,671
Total Podcasts
1,788
Total Videos
Sponsors
Townie Perks
Townie® Poll
Do you routinely screen adult patients for sleep-disordered breathing or obstructive sleep apnea?
  
The Dentaltown Team, Farran Media Support
Phone: +1-480-445-9710
Email: support@dentaltown.com
©2026 Dentaltown, a division of Farran Media • All Rights Reserved
9633 S. 48th Street Suite 200 • Phoenix, AZ 85044 • Phone:+1-480-598-0001 • Fax:+1-480-598-3450