Block by Block by Dr. Giacomo Tarquini

Categories: Implant Dentistry;
Block by Block 

Treatment of maxillary atrophies using autologous block bone grafts


by Dr. Giacomo Tarquini


The harvesting and grafting of autologous bone blocks is a well-documented surgical procedure aimed at restoring maxillary and mandibular atrophies that would otherwise make implant placement difficult or impossible.

Although the use of heterologous, homologous, or synthetic bone substitutes is widespread in pre- and peri-implant reconstructive surgery,1–3 autologous bone is still regarded as the gold standard due to its excellent osteoconductive, osteogenic, and osteoinductive properties.

Autologous bone blocks can be harvested from either extraoral or intraoral sites. The main advantage of extraoral donor sites lies in the large quantity of available tissue, which makes them more suitable for reconstructing extensive defects.

However, extraoral harvesting is associated with significant drawbacks, including higher morbidity, the need for hospitalization, and the resorptive nature of the grafted bone—particularly when harvested from the iliac crest, where up to 50% of the initial volume may be lost over time.4

It remains unclear whether the marked resorption of iliac crest grafts is due to their different embryologic origin (endochondral vs. intramembranous ossification) compared to intraoral grafts, or rather to their predominantly cancellous architecture.5–7

In contrast, harvesting from intraoral donor sites is associated with much lower postoperative morbidity and can be performed on an outpatient basis under local anesthesia and/or conscious sedation, making the entire procedure significantly less invasive. A single intraoral bone block can cover an area corresponding to approximately 3–4 teeth, which is usually sufficient to correct most localized atrophies.

Candidates for this type of surgery must be classified as ASA I or ASA II.8

The most commonly used intraoral donor sites are the mandibular ramus and the symphysis.

Differences in morbidity, surgical approach, and the quantity and quality of bone blocks obtained from these two donor sites have been extensively described in the literature.9–13

Generally, blocks harvested from the mandibular ramus are predominantly cortical, whereas those obtained from the symphysis are cortico-cancellous.14

The advantage of a cortico-cancellous graft lies in its faster revascularization and consequently lower resorption rate during healing.15

The amount of bone available for harvesting, which may differ between symphyseal and ramus grafts, depends primarily on individual mandibular anatomy and should be carefully assessed preoperatively through first-level (panoramic X-ray) and second-level (CT or CBCT) imaging.

The recipient site should be fully exposed and prepared prior to harvesting. Particular care must be taken to release the mucoperiosteal flap from any muscular tension that could hinder its adequate mobilization.16

Depending on the degree of flap passivation required, different surgical techniques may be employed—from simple periosteal scoring,17 to the submucosal tunneling technique,18 to superficial incision methods.19

The cortical bone of the recipient site should be repeatedly perforated using a small bur or piezoelectric insert to expose the underlying marrow spaces and promote neoangiogenesis.20, 21

This decortication also induces a local acceleration of the healing response, known as Regional Acceleratory Phenomenon (RAP).22, 23

The bone block is then fixed with osteosynthesis screws; absolute stability is critical, as immobility is essential for successful graft integration.

Any irregularities on the graft surface should be carefully smoothed with rotary instruments or ultrasonic inserts to avoid mucoperiosteal perforations.24, 25

Any residual gaps can be filled with homologous or heterologous bone particles, and the graft may be protected with a membrane.4

Possible complications at the mandibular ramus donor site include injury to the inferior alveolar or buccal nerve (the latter being of limited clinical significance), trismus, and mandibular fractures.11

Complications at the symphyseal donor site may include wound dehiscence, altered sensation in the lower anterior teeth and/or lower lip, and chin ptosis.12

The aim of this paper is to present a clinical case illustrating the resolution of a severe alveolar ridge atrophy using intraoral autologous bone block grafting followed by the placement of osseointegrated implants.


Materials and methods
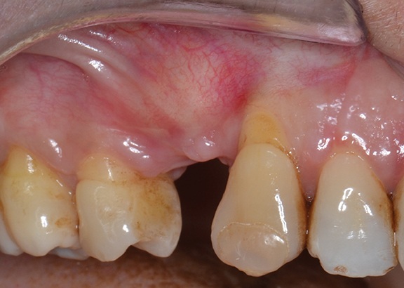
A 52-year-old female patient, classified as ASA I, presented with a localized ridge atrophy in the right maxillary quadrant as a result of a previous extraction of the maxillary first premolar that precluded implant placement (Fig. 1).

First- and second-level radiographic examinations (panoramic X-ray and CBCT) revealed a marked horizontal atrophy with a moderate vertical component (Figs. 2–3).

The patient has given her consent to undergo reconstruction of the edentulous area using an autogenous bone block graft harvested from the posterior mandible, followed by the placement of an osseointegrated implant in #5.
Block by Block
Fig. 1: Intraoral view of the edentulous site
Block by Block
Fig. 2: CBCT cross sections
Block by Block
Fig. 3: CBCT axial view

Antibiotic prophylaxis was initiated one hour before surgery (amoxicillin/clavulanic acid, 2 g one hour before surgery, then 1 g every 12 hours for six days).

Immediately before surgery, the patient rinsed with 0.2% chlorhexidine digluconate, to be continued postoperatively for two weeks (three times daily).

Analgesic therapy consisted of sodium naproxen 500 mg, taken one hour before surgery and as needed thereafter (no more than one sachet every eight hours for seven days).

Local anesthesia was achieved by infiltration of 4% articaine with 1:100,000 epinephrine at both donor and recipient sites.

A full-thickness trapezoidal flap was elevated to expose the recipient site (Fig. 4). After releasing all muscular attachments, flap extension was checked coronally (Fig. 5).

Access to the donor site was obtained with a full-thickness flap extending from the buccal-mesial aspect of the first molar to the ipsilateral retromolar trigone.

To make osteotomy execution easier, it is advisable to mark them directly on the cortical bone with a pencil (Fig. 6).

Using an ultrasonic device with dedicated T-Black inserts (ES007T and ES009NT), a cortico-cancellous bone block was outlined and osteotomized (Figs. 7–8).

To facilitate block mobilization, it is important that the osteotomy lines partially overlap at the corners (Fig. 9).

The mobilized block was gently removed with a bone chisel (Fig. 10) and stored in sterile saline (Fig. 11).
Block by Block
Fig. 4: Intraoral view of the atrophic bone area
Block by Block
Fig. 5: Extent of flap release
Block by Block
Fig. 6: Osteotomies marked on the cortical bone with a pencil
Block by Block
Fig. 7: Osteotomy performed with an ultrasonic tip (ES009NT)
Block by Block
Fig. 8: Osteotomy performed with an ultrasonic tip (ES007T)
Block by Block
Fig. 9: Overlapping osteotomy lines at the corners to facilitate block mobilization
Block by Block
Fig. 10: Block removed with a bone chisel
Block by Block
Fig. 11: Block stored in sterile saline solution

A collagen sponge was placed into the donor site to stabilize the blood clot and support hemostasis (Fig. 12).

The donor site was closed using 4-0 resorbable sutures (Fig. 13).

The recipient site was then prepared by perforating the cortical plate with a piezoelectric insert (ES012T) to expose the marrow spaces and promote vascular ingrowth (Fig. 14).

After being perforated at the sites corresponding to the osteosynthesis screws (Fig. 15), the bone block was again preserved in sterile saline solution (Fig. 16).

It was subsequently adapted to the recipient site and stabilized with a couple of 1.6 × 10 mm self-tapping titanium screws (Fig. 17).

All surface irregularities were smoothed to prevent flap perforation during healing and the small voids between the block and the recipient site were filled with particulate xenogeneic biomaterial (Fig. 18). A collagen membrane was then placed to cover the graft (Fig. 19).
Block by Block
Fig. 12: Collagen sponge placed in the donor site
Block by Block
Fig. 13: Donor site closed with 4-0 resorbable sutures
Block by Block
Fig. 14: Recipient site prepared by perforating the cortical plate
Block by Block
Fig. 15: Perforations made at osteosynthesis screw sites
Block by Block
Fig. 16: Block preserved again in sterile saline solution
Block by Block
Fig. 17: Block adapted to the recipient site and stabilized with 1.6 × 10 mm self-tapping titanium screws
Block by Block
Fig. 18: Small voids filled with particulate xenogeneic biomaterial
Block by Block
Fig. 19: Collagen membrane placed over the graft

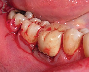
The flap was then closed with a combination of horizontal mattress and interrupted 4-0 polyester sutures (Fig. 20).

After a four-month healing period, a full-thickness flap was raised to evaluate the outcome (Fig. 21).

After removing fixation screws (Fig. 22), a 3.75 × 13 mm implant was placed with a final torque >35 N·cm (Figs. 23–24) and the flap was closed with 4-0 monofilament interrupted sutures (Fig. 25).

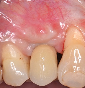
At the end of the osseointegration period, the implant was uncovered and the healing abutment placed. Following soft-tissue conditioning by means of a provisional crown (Fig. 26), a metal-ceramic crown was cemented onto the prosthetic abutment (Fig. 27).

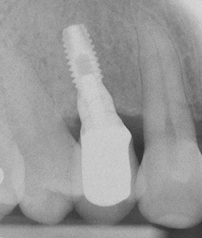
At the 24-month follow-up, a periapical X-ray was taken to assess the marginal peri-implant bone level, which was deemed satisfactory (Fig. 28).


Block by Block
Fig. 20: Recipient site closed with double-layer sutures
Block by Block
Fig. 21: Full-thickness flap raised at surgical re-entry
Block by Block
Fig. 22: Removal of fixation screws
Block by Block
Fig. 23: 3.75 × 13 mm implant placed (buccal view)
Block by Block
Fig. 24: 3.75 × 13 mm implant placed (occlusal view)
Block by Block
Fig. 25: Flap closed with interrupted sutures
Block by Block
Fig. 26: Soft-tissue conditioning with a provisional crown
Block by Block
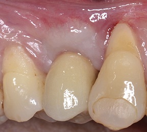
Fig. 27: Final metal-ceramic crown cemented onto the prosthetic abutment
Block by Block
Fig. 28: Periapical radiograph at 24-month follow-up


Results
Since this was a predominantly horizontal bone atrophy, the thickness of the edentulous ridge segment was recorded at a distance of 8 mm from the crest, both before and after the procedure.

By comparing the preoperative volumetric data with the measurements taken at the time of the second-stage surgery, a transverse gain was observed—from 3.5 mm (preoperative bone width) to 7.2 mm measured at the time of implant placement, for a net average increase of 3.7 mm.

This outcome was considered highly satisfactory and more than adequate to allow the placement of an osseointegrated implant.


Discussion
A prosthetically driven treatment approach recommends that a deficient edentulous ridge that precludes optimum implant placement requires bone reconstruction.

The maxilla is prone to resorption in a centripetal direction; therefore, a deficiency in bone width after tooth loss is very common in the upper jaw. There are different ways to increase the width of bone in areas of atrophy, such as guided bone regeneration (GBR), horizontal bone expansion, and autologous block bone grafts.

According to Gültekin et al., previous studies have reported resorption rates for mandibular block grafts ranging from approximately 5% to 28%. Comparing autogenous ramus block graft (RBG) versus grafting with guided bone regeneration in horizontally deficient maxillary ridges found mean volume reduction of 7.2% in the RBG group vs 12.5% in the GBR group, thus resulting in significantly less volumetric resorption than GBR.26

Mandibular bone blocks are more resistant to resorption due to the vast amount of cortical bone (intramembranous bone graft); however, this advantage may hold a risk in terms of integration of the block and natural bone, due to the limited revascularization and poor regeneration potential of the block.27

In order to minimize the risk of resorption the bone block must be carefully adapted and properly stabilized in the recipient site; precise block harvesting and shaping using a piezoelectric surgery device allowed for a perfect match and stabilization of the transplanted bone block in the defect enclosure. Because of bone loss during cutting, bone harvesting with rotary instruments is not as precise, which is why it is difficult to harvest bone blocks that correspond exactly to the geometry of the defect; on the other hand, the use of ultrasonic tips for precision shaping and smoothing of the cortical layer after bone block stabilization in situ was intended specifically to create the best possible conditions for graft incorporation.28, 29


Conclusion
Intraoral harvesting and grafting of autologous bone blocks allow the correction of mild to moderate alveolar atrophies in an outpatient setting, ensuring a very high success rate and low morbidity.

Augmented bone stability is considered to be an important factor for the success of the procedure, especially in two-stage regeneration procedures. Bone remodeling has a major influence on long-term clinical outcomes, and graft stability is desirable for integrating dental implants so as to ensure a good outcome.

When compared with other bone augmentation approaches (such as GBR) lateral ridge augmentation with autogenous bone block graft from the ascending mandibular ramus is characterized by high long-term implant survival rate and patient satisfaction.

Furthermore, the use of piezoelectric devices significantly enhances intraoperative safety, improves postoperative recovery, and ultimately promotes better patient acceptance of the surgical procedure.

References
1. Corbi S, Tarquini G. Evaluation of a new biomaterial in guided bone regeneration. Ann Stomatol. 2009;58(4): October–December.
2. Spin-Neto R, Stavropoulos A, Pereira LAVD, Marcantonio E Jr, Wenzel A. Fate of autologous and fresh-frozen allogeneic block bone grafts used for ridge augmentation: A CBCT-based analysis. Clin Oral Implants Res. 2011;00:1–7.
3. Spin-Neto R, Landazuri Del Barrio RA, Pereira LA, Marcantonio RA, Marcantonio E, Marcantonio E Jr. Clinical similarities and histological diversity comparing fresh-frozen onlay bone block allografts and autografts in human maxillary reconstruction. Clin Implant Dent Relat Res. 2013;15(4):490–497.
4. Donos N, Kostopoulos L, Tonetti M, Karring T. Long-term stability of autogenous bone grafts following combined application with guided bone regeneration. Clin Oral Implants Res. 2005;16:133–139.
5. Zins JE, Whitaker LA. Membranous versus endochondral bone: Implications for craniofacial reconstruction. Plast Reconstr Surg. 1983;72:778–785.
6. Rabie ABM, Dan Z, Samman N. Ultrastructural identification of cells involved in the healing of intramembranous and endochondral bones. Int J Oral Maxillofac Surg. 1996;25:383–388.
7. Kusiak JF, Zins JE, Whitaker LA. Early revascularization of membranous bone. Plast Reconstr Surg. 1985;76(4):510–516.
8. American Society of Anesthesiologists. ASA physical status classification system. https://www.asahq.org/resources/clinical-information/asa-physical-status-classification-system
9. Raghoebar GM, Meijndert L, Kalk WW, Vissink A. Morbidity of mandibular bone harvesting: A comparative study. Int J Oral Maxillofac Implants. 2007;22(3):359–365.
10. Weibull L, Widmark G, Ivanoff CJ, Borg E, Rasmusson L. Morbidity after chin bone harvesting: A retrospective long-term follow-up study. Clin Implant Dent Relat Res. 2008 Jul 23. Epub ahead of print.
11. Nkenke E, Radespiel-Tröger M, Wiltfang J, Schultze-Mosgau S, Winkler G, Neukam FW. Morbidity of harvesting retromolar bone grafts: A prospective study. Clin Oral Implants Res. 2002;13:514–521.
12. Nkenke E, Schultze-Mosgau S, Radespiel-Tröger M, Kloss F, Neukam FW. Morbidity of harvesting chin grafts: A prospective study. Clin Oral Implants Res. 2001;12:495–502.
13. Misch CM. Comparison of intraoral donor sites for onlay grafting prior to implant placement. Int J Oral Maxillofac Implants. 1997;12:767–776.
14. Neiva RF, Gapski R, Wang HL. Morphometric analysis of implant-related anatomy in Caucasian skulls. J Periodontol. 2004;75(8):1061–1067.
15. Hammack BL, Enneking WF. Comparative vascularization of autogenous and homologous bone transplants. J Bone Joint Surg. 1960;42:811.
16. Tarquini G. Incision techniques in periodontal surgery. In: Tarquini G. Periodontal surgery techniques: From diagnosis to therapy. EDRA Publications; 2017:47–50.
17. Park JC, Kim CS, Choi SH, Cho KS, Chai JK, Jung UW. Flap extension attained by vertical and periosteal-releasing incisions: A prospective cohort study. Clin Oral Implants Res. 2012;23:993–998.
18. Misch CE. Bone augmentation for implant placement: Keys to bone grafting. In: Misch CE, ed. Contemporary implant dentistry. 2nd ed. St. Louis: Mosby; 1999.
19. Greenwell H, Vance G, Munninger B, Johnston H. Superficial layer split-thickness flap for maximal flap release and coronal positioning: A surgical technique. Int J Periodontics Restorative Dent. 2004;24:521–527.
20. Majzoub Z, et al. Role of intramarrow penetration in osseous repair: A pilot study in the rabbit calvaria. J Periodontol. 1999;70(12):1501–1510.
21. Rompen EH, Biewer R, Vanheusden A, Zahedi S, Nusgens B. Influence of cortical perforations and space filling with peripheral blood on the kinetics of guided bone generation: A comparative histometric study in the rat. Clin Oral Implants Res. 1999;10:85–94.
22. Frost HM. The regional acceleratory phenomenon: A review. Henry Ford Hosp Med J. 1983;31:3–9.
23. Oh KC, Cha JK, Kim CS, Choi SH, Chai JK, Jung UW. Influence of perforating the autogenous block bone and the recipient bed in dogs. Part I: A radiographic analysis. Clin Oral Implants Res. 2011;22:1298–1302.
24. Sohn DS, Ahn MR, Lee WH, Yeo DS, Lim SY. Piezoelectric osteotomy for intraoral harvesting of bone blocks. Int J Periodontics Restorative Dent. 2007;27(2):127–131.
25. Tarquini G. Reconstruction of maxillary atrophies using autologous block bone grafts harvested intraorally. Dental Symposium. 2012;3(3):October.
26. Gultekin BA, Bedeloglu E, Kose TE, Mijiritsky E. Comparison of bone resorption rates after intraoral block bone and guided bone regeneration augmentation for reconstruction of horizontally deficient maxillary alveolar ridges. Biomed Res Int. 2016;2016:4987437.
27. Chiapasco M. Bone augmentation procedures in implant dentistry. Int J Oral Maxillofac Implants. 2009;24(suppl):237–259.
28. Tarquini G. Lateral maxillary sinus lift and antral pseudocyst: Case report. Dental Cadmos. 2015;83(9):630–639.
29. Tarquini G. Piezoelectric surgery in the split-crest technique: Therapeutic indications and presentation of a clinical case. Implant Tribune. 2011;1:17–18.


Author Bio
Dr. Giacomo Tarquini Dr. Giacomo Tarquini graduated with honors in dentistry and dental prosthetics from the Sapienza University of Rome in 1994, and has been practicing dentistry for 25 years. He practices in Rome with particular interest in the disciplines of periodontology and implantology. He is also a consultant, professor, tutor, and lecturer for a variety of dental specialties. Along with various articles, Tarquini is the author of the textbook Techniques of Periodontal Surgery: From Diagnosis to Therapy. Tarquini is also a member of the Dentaltown editorial advisory board.

Sponsors
Townie Perks
Townie® Poll
Do you routinely screen adult patients for sleep-disordered breathing or obstructive sleep apnea?
  
The Dentaltown Team, Farran Media Support
Phone: +1-480-445-9710
Email: support@dentaltown.com
©2026 Dentaltown, a division of Farran Media • All Rights Reserved
9633 S. 48th Street Suite 200 • Phoenix, AZ 85044 • Phone:+1-480-598-0001 • Fax:+1-480-598-3450