Rescuing a Failed Maxillary Arch with a Pterygoid Implant: A Digital Full-Arch Success Story by Drs. Danny Domingue and Cory Glenn

Categories: Implant Dentistry;
Failure to Load 

An immediate loaded maxillary arch rescued with pterygoid implant


by Drs. Danny Domingue and Cory Glenn


Immediate loading has become the new norm in full-arch implant dentistry, especially since the advancement of implant designs like MegaGen AnyRidge, digital workflows, high-precision in-office 3D printing, photogrammetry and direct to MUA Vortex Screws. However, even when everything appears to proceed smoothly, unforeseen complications can and sometimes do arise.

This article discusses a complex but ultimately successful case of a female patient from East Texas whose immediate loaded double arch restoration encountered a last-minute setback. The case highlights the importance of multidisciplinary collaboration, the versatility of extra maxillary pterygoid implants and the fully digital workflows used to turn a challenging situation into a long-term success.


Patient background and initial treatment plan
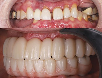
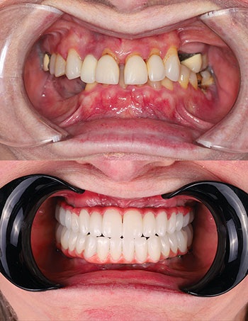
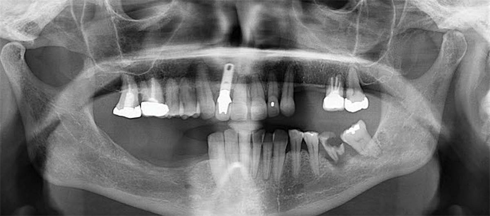
Our patient, a healthy woman in her early 60s, presented with a terminal dentition (Fig. 1) in both arches, collapsed bite, unstable occlusion, midline shift, asymmetric horizontal plane and bone loss (Fig. 2). She was looking for a fixed solution that would give her the confidence to smile, eat and socialize without restrictions. Several previous treatment plans suggested placing provisional dentures as an interim until the implant stabilized, which did not resonate with her desires during the healing phase.

Failure to Load
Fig. 1
Failure to Load
Fig. 2


After a thorough diagnostic workup—including CBCT imaging, intraoral scanning and a facial aesthetics evaluation—we planned an immediate loaded double arch restoration using MegaGen AnyRidge implants, leveraging its deep thread design and excellent primary stability for immediate function.

The patient’s goals were clear. She wanted a fixed solution (no interim removable prosthetics), improved aesthetics, durable and comfortable teeth she could chew with, and a stabilized bite.


Surgical phase: Smooth sailing, or so it seemed
Surgery was uneventful. Extractions, site preparations and implant placements went according to plan (Fig. 3). In the maxilla, we placed six implants following the “All-on-6” concept, ensuring posterior spread for optimal load distribution. Six implants were also placed in the mandible following a similar approach.

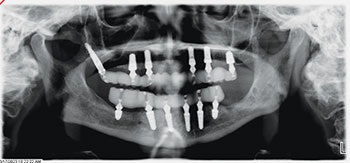
All implants achieved excellent primary stability (>35 Ncm Torque and ISQ values averaging 72 to75), which allowed us to proceed with immediate loading (Fig. 4). Using SprintRay 3D printed provisionals in OnX Tough 2 resin, we delivered fixed temporaries the next day post-surgery (Figs. 5–8).

Failure to Load
Fig. 3
Failure to Load
Fig. 4
Failure to Load
Fig. 5
Failure to Load
Fig. 6
Failure to Load
Fig. 7
Failure to Load
Fig. 8

The patient was thrilled with her new smile and reported no pain, discomfort or issues during the three-month healing period. Regular follow-ups showed good soft tissue healing and implant integration (Fig. 9), with no signs of mobility or infection.
Failure to Load
Fig. 9


Unexpected challenge: Implant #3 failure at final stage
Just as we were about to finalize her case—taking definitive scans for zirconia full arches utilizing direct to MUA Vortex screws (Fig. 10) to be milled by LA Dental Implant Lab (Fig. 11)—the unexpected happened. Implant site #3 (maxillary right first molar) was mobile, causing discomfort to the patient during functional testing.
Failure to Load
Fig. 10
Failure to Load
Fig. 11


Radiographic examination confirmed loss of osseointegration, likely due to excessive micromovement or unfavorable loading, despite the absence of early signs during healing.

Regardless of the cause, implant failure at this late stage presented a major challenge. We had already completed the provisional phase and were scheduled to take final scans during her visit. This maxillary right implant was a critical posterior support for the arch to prevent an unnecessary cantilever.


Rescue strategy: Pterygoid implant to the rescue
Recognizing that replacing the failed implant with another traditional implant would jeopardize immediate function and require extensive healing, we turned to a pterygoid implant solution to salvage the case without compromising the patient’s expectations.

A surgical approach was planned for the atraumatic removal of the failed implant. We placed a Noris Medical pterygoid implant anchored in the medial pterygoid plate, achieving excellent primary stability (50 Ncm torque). The pterygoid implant allowed us to regain distal maxillary support without sinus augmentation or zygomatic implants.

To adapt the restoration to the new implant position, we used the iMetric digital verification system, capturing scans of the maxillary arch with the new pterygoid implant. A new set of provisional restorations was fabricated in-house using SprintRay OnX Tough 2 resin and immediately loaded the next day again with a screw-retained Vortex (Fig. 12).
Failure to Load
Fig. 12


Recovery and the patient’s changing expectations
The patient wore the updated temporaries for an additional three-month healing period to ensure complete osseointegration and stability. At follow-up visits, she reported no discomfort, stable occlusion and improved confidence in function. However, just before final impressions, the patient expressed a change in her vision for her restoration:

“I would love to have individual teeth so I can floss in between. Can we make that happen?”

This pivot required rethinking the original FP1 (full-arch hybrid) design, at least in the maxilla, and changing to a FP3 design.


Solution: FP1 maxillary arch with thimble crowns and FP3 mandibular arch
After thorough evaluation, we planned for a FP3 restoration in the maxilla and mandible (implant-supported crowns that mimic natural teeth and allow for flossing) and a fixed prosthesis with pink material to replace tissue contours.

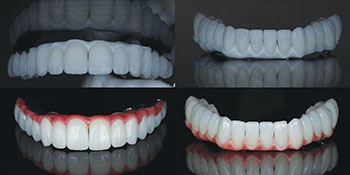
Thanks to close collaboration with LA Dental Implant Lab, we were able to redesign and mill a custom titanium substructure to ensure passivity and a precise fit. We used zirconia thimble supra structure design and individual crowns to allow flossing through embrasures. This fabricated individual, highly aesthetic zirconia crowns, creating a natural-looking, functional and hygienic restoration (Figs. 13–14).
Failure to Load
Fig. 13
Failure to Load
Fig. 14


Final seating: Perfect fit, zero adjustments
Final delivery day could not have gone smoother. No adjustments were needed—a testament to precision planning and execution along with digital workflows. Patient satisfaction was beyond expectations—she could floss between her teeth, enjoy a natural smile and eat comfortably. The occlusion was balanced and aesthetics were on point, and the patient left with tears of joy (Figs. 15–17).
Failure to Load
Fig. 15
Failure to Load
Fig. 16
Failure to Load
Fig.17


Follow-up and long-term outcome: Two years of stability
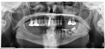
Today, two years after final delivery, the patient remains stable with no mobility, inflammation or prosthetic complications. There is excellent soft tissue health around the implants. Full function was restored and the patient enjoys all foods without restrictions. Radiographs show stable bone levels around all implants, including the pterygoid site (Fig. 18).
Failure to Load
Fig. 18


Lessons learned and takeaways
Always be ready to pivot, even with well-planned cases, as complications such as implant failure can occur. Being equipped with alternative solutions like pterygoid implants is essential for timely and successful intervention. The intraoral scans and iMetric scans made a digital workflow and teamwork possible, while collaborating closely with the lab allowed us to make seamless adjustments without compromising patient outcomes. The combination of digital precision and artisanal expertise in milling ensured a perfect final result.

Listening to a patient’s evolving needs is considered patient-centered care and means adjusting plans when expectations shift. Transitioning from a planned FP1 to an FP3 maxillary solution added complexity but ultimately led to higher patient satisfaction and function. The extra maxillary pterygoid implants are invaluable tools for rescuing cases where posterior maxillary support is compromised. In this case, they saved the arch without more invasive zygomatic solutions.


Conclusion
This case showcases how innovative implant solutions, cutting-edge digital workflows and close team collaboration can overcome even unexpected challenges in full-arch rehabilitation. For this patient, what could have been a major setback turned into a success story—restoring her smile, function and confidence for the long term.

As implant dentistry continues to evolve, cases like these remind us that being prepared, flexible and patient-focused are key to delivering truly life-changing results.

Author Bios
Dr. Danny Domingue Dr. Danny Domingue received his bachelor’s degree from Louisiana State University in Baton Rouge and his DDS from the LSU School of Dentistry in New Orleans. Domingue was awarded the Certificate of Achievement from the American Academy of Implant Dentistry and a fellowship from the International Congress of Oral Implantologists, and received an associate fellowship from the American Academy of Implant Dentistry. He also was also awarded Diplomate from the American Board of Oral Implantology, the highest award possible for a general dentist practicing implantology. In addition, Domingue is a member of the American Dental Association, the Acadiana District Dental Association and the American Academy of General Dentistry.


Dr. Cory Glenn Dr. Cory Glenn is a dentist, speaker, trainer and tech developer residing in Winchester, Tennessee. He is an avid speaker on digital dentistry worldwide and operates a training center in his hometown, where he imparts digital workflows and techniques to fellow dentists. Learn more at coryglenn.org.






Sponsors
Townie Perks
Townie® Poll
Do you routinely screen adult patients for sleep-disordered breathing or obstructive sleep apnea?
  
The Dentaltown Team, Farran Media Support
Phone: +1-480-445-9710
Email: support@dentaltown.com
©2026 Dentaltown, a division of Farran Media • All Rights Reserved
9633 S. 48th Street Suite 200 • Phoenix, AZ 85044 • Phone:+1-480-598-0001 • Fax:+1-480-598-3450