Don’t Jump to Extractions by Drs. Daniel Boehne and Shane White

Don’t Jump to Extractions 

An endodontic care series reveals the risk of root fracture misdiagnosis


by Drs. Daniel J. Boehne and Shane N. White


Introduction
Most diseases of pulpal origin result from bacterial ingress related to caries and its restorative sequelae. Nonsurgical root canal treatment (NSRCT) is extremely effective in treating diseases of pulpal origin. Very high long-term success and survival rates are widely reported.1,2 Patients want to save their natural teeth, and the natural state must be preferred to the alternatives of tooth loss or tooth replacement.1

Pulpal and periradicular diseases can also originate from vertical root fractures (VRFs). A VRF can provide a pathway for oral bacteria to reach the pulp and the periodontium along the crack. Unlike root canal systems, VRFs cannot be adequately cleaned of bacteria, disinfected and sealed. Nor can a VRF be predictably mended. This means that teeth with vertical root fractures almost always require extraction, so arriving at the correct diagnosis is crucial.

Vertical root fractures are notoriously difficult to diagnose.3–7 The routine comprehensive evaluation—comprising the patient’s history and symptomatology, testing the supporting tissues, pulp testing and radiography—may often be equivocal. Additional tests such as transillumination, use of the Tooth Slooth, staining with methylene blue to reveal cracks and microscopy may be helpful. Symptomatology such as pain on release may be useful. Identification of vertical probing defects or a cervical sinus tract may be indicative. A diffuse J-shaped lesion on a periapical radiograph may also be helpful. The use of CBCT may also reveal patterns of bone loss associated with a cracked tooth.

Risk factors for VRF include loss of tooth structure, the presence of posts—especially large, active or tapered posts—bruxism and clenching.

A combination of these findings could build a strong circumstantial case for a vertical root fracture, but none of these findings, even in combination, is necessarily pathognomonic. Direct observation of a VRF—through staining and microscopy of the floor of the pulp chamber and canals, visualization of the exposed outer surface of a root by retracting the gingiva or through surgical exposure—is the only definitive way of proving that a VRF exists.

Diagnoses of VRFs are sometimes applied to teeth that, in fact, do not have a VRF. We suggest that a tooth should not be assigned a VRF diagnosis unless the circumstantial evidence is overwhelming and the crack is directly visualized or otherwise proven.

This article describes a case series where patients presented for second opinions after being given diagnoses of VRF and recommendations for extraction.



CASE SERIES

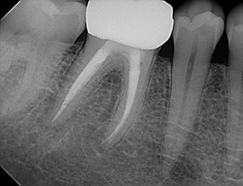
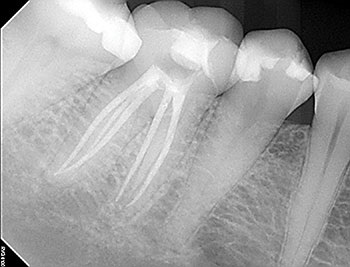
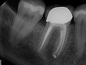
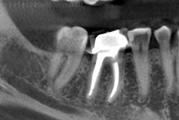
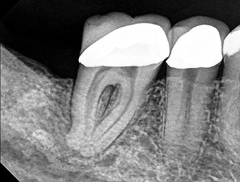
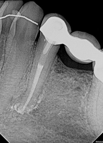
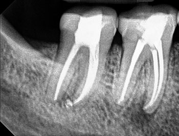
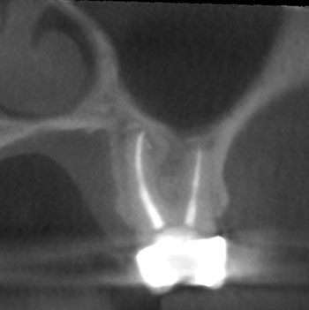
Case 1:A J-shaped lesion
As dentists, we can become desensitized to how important each tooth is to a patient and how impactful we can be in saving one. This patient’s dentist told her that #30 had a vertical root fracture and she needed to have it extracted and replaced with a dental implant. No other treatment options were given. She came independently for a second opinion and said how devastating it would be for her to lose a tooth.

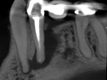
Tooth #30 had a diagnosis of previous root canal treatment with symptomatic apical periodontitis. The mesial root had a classic J-shaped radiographic lesion and a narrow probing defect from the buccal furcation to the root apex. No crack could be seen on what little root surface was visible. The likelihood of VRF, or the possibility of a failing root canal with a chronic apical abscess, were discussed. The latter could be treatable. The plan was to attempt re-treatment after internal inspection for a possible VRF.

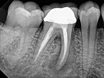
After the buildup and root-filling material were removed, a microscope was used to confirm that no cracks were present in the pulp chamber or the coronal third of the canals. This tooth was treated in multiple visits using calcium hydroxide, an antimicrobial intracanal medicament, and to confirm healing. The root canal system was cleaned, calcium hydroxide was placed, and a double-layered long-term provisional restoration made of Cavit and bonded composite were placed to seal the access preparation.

The patient returned in three months, when resolution of symptoms, healing of the deep probing defect and bone regeneration were confirmed. The tooth was obturated, and a foundational restoration was placed before the rubber dam was removed. Fourteen years of follow-up confirmed long-term periradicular health. The amount of appreciation and gratitude that this patient expressed reminds us that each individual tooth demands our best efforts.
Endodontic Root Fracture Case Series
Fig. 1: Preoperative PA.
Endodontic Root Fracture Case Series
Fig. 2: Postoperative PA.
Endodontic Root Fracture Case Series
Fig. 3: Recall PA.
Endodontic Root Fracture Case Series
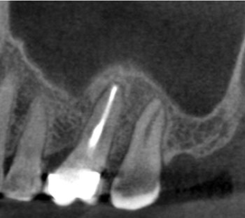
Fig. 4: Recall CBCT.



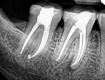
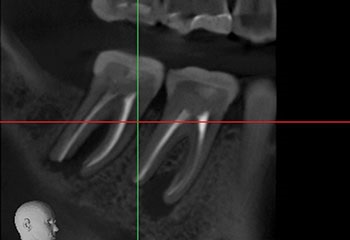
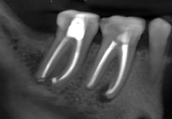
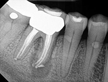
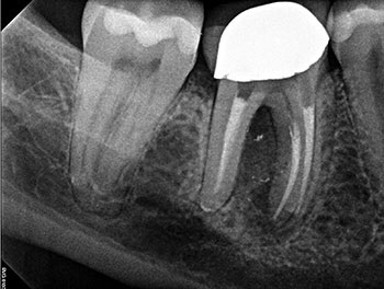
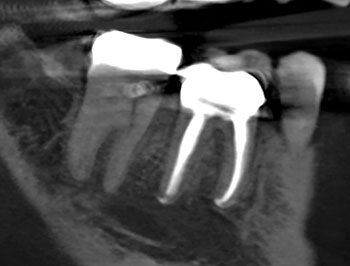
Case 2: A U-shaped lesion
Tooth #30 presented with a diagnosis of previously treated and symptomatic apical periodontitis. The radiographic lesion encompassed both sides of the mesial root, forming a U-shaped lesion. Periodontal probing extended to the apex. The prior endodontic root preparations were relatively large, compared with the root canals on the patient’s other untreated teeth. Because the bone loss associated with a U-shaped lesion encompasses both sides of a root, it might be considered even more indicative of a potential VRF than a J-shaped lesion.

This patient had been examined by an endodontist, who recommended extraction because of a VRF. Although multiple risk factors were identified, no fracture was seen upon access, and this tooth was successfully retained through nonsurgical retreatment.
Endodontic Root Fracture Case Series
Fig. 5: Preop PA.
Endodontic Root Fracture Case Series
Fig. 6: Preop CBCT.
Endodontic Root Fracture Case Series
Fig. 7: Recall PA.
Endodontic Root Fracture Case Series
Fig. 8: Recall CBCT.


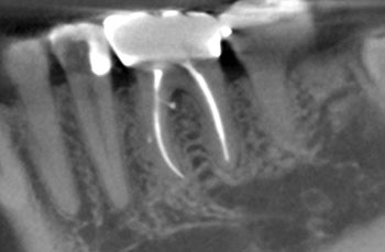
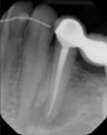
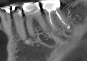
Case 3: A lateral lesion with a superficial crack
This patient presented for a second opinion after an endodontist recommended extraction for tooth #31 because of a VRF on its distal root. A deep isolated probing defect, a cervical sinus tract, the lateral position of the periradicular lesion and the prior placement of a full crown because of cracks in the tooth’s distal enamel marginal ridge likely contributed to the prior diagnosis of VRF.

A new diagnosis of previously treated and chronic apical abscess was made, but the possibility of a VRF was discussed with the patient. RCT was initiated. Internal examination of the pulp chamber reassuringly revealed that a crack on the distal wall of the pulp chamber did not extend to the pulpal floor. Treatment was completed in three visits using a calcium hydroxide intracanal medicament. Treatment and postoperative radiographs revealed a sharp dilaceration of the distal root, likely focusing the bony lesion toward the distal surface, not toward the root apex. Four months later, soft tissue and bony healing were confirmed.
Endodontic Root Fracture Case Series
Fig. 9: Preop PA.
Endodontic Root Fracture Case Series
Fig. 10: Preop CBCT.
Endodontic Root Fracture Case Series
Fig. 11: Preop probe.
Endodontic Root Fracture Case Series
Fig. 12: Recall PA.
Endodontic Root Fracture Case Series
Fig. 13: Recall CBCT.
Endodontic Root Fracture Case Series
Fig. 14: Recall probe.


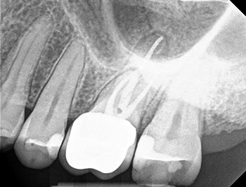
Case 4: Lateral lesion without a periapical lesion
As in the previous cases, a tooth with a lateral radiolucency and a narrow deep probing defect doesn’t always have a vertical root fracture. This presentation is often a chronic apical abscess draining through the gingival sulcus. When there is no periapical lesion, or when the lateral lesion is not continuous with the periapical lesion, a chronic apical abscess may be less likely.

The patient in this case presented for a second opinion after their dentist recommended extraction because of a VRF. There was no periapical lesion, but a very distinct and elongated midroot lesion was present. Exploration, or scouting, with a small, curved stainless file revealed that a large untreated lateral canal was responsible for the lateral pathosis. When the accessory anatomy was located and treated, the disease healed and the tooth was saved.
Endodontic Root Fracture Case Series
Fig. 15: Preop PA.
Endodontic Root Fracture Case Series
Fig.16: Preop CBCT.
Endodontic Root Fracture Case Series
Fig.17: Lateral.
Endodontic Root Fracture Case Series
Fig.18: Recall CBCT.


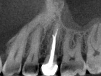
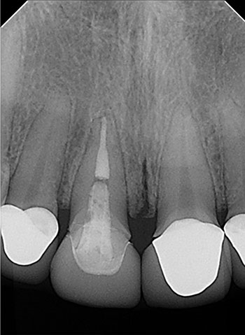
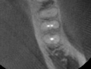
Case 5: Bilateral lesions
This patient was very worried that she was going to lose her front tooth, #8. Her dentist was concerned that the root had been split by a large, tapered post given the context of the bilateral radiolucencies located at the bottom of the post.

No crack was seen when the post was removed, nor were any lateral canals located. This tooth was treated in three visits over six months using a calcium hydroxide intracanal medicament. It is possible that a nidus of bacteria remained in the gap between the obturation and the post.

The patient’s symptoms resolved after the first visit. The case was obturated after confirming full bony healing. She is still extremely appreciative of the efforts made to save her front tooth.
Endodontic Root Fracture Case Series
Fig. 19: Preop PA.
Endodontic Root Fracture Case Series
Fig. 20: Preop CBCT.
Endodontic Root Fracture Case Series
Fig. 21: Recall PA.
Endodontic Root Fracture Case Series
Fig. 22: Recall CBCT.


Case 6: A lateral canal
Furcal lesions are generally caused by furcation or lateral canals. However, sometimes furcation lesions can arise from VRF and result in extraction. These fractures can occur anywhere, but often follow the grooves in occlusal anatomy. So when a furcation radiolucency is seen, it is prudent to investigate its etiology and not just extract it under the assumption of a vertical root fracture.

Cases with lateral canals that extend from the pulpal floor into the furcation can be difficult to treat. Disinfection using sodium hypochlorite is critically important, as is a long soak. A calcium hydroxide intracanal medicament should be packed into the floor of the pulp chamber between appointments. Sometimes, it is possible to locate the lateral canals and negotiate them with small, curved stainless steel files. If a lateral canal is not disinfected, ongoing symptoms and eventually a furcal lesion of endodontic origin can be expected. After NSRCT has been completed, an adhesive liner or buildup can be placed on the pulpal floor to prevent bacterial reentry.
Endodontic Root Fracture Case Series
Fig. 23: Preop PA.
Endodontic Root Fracture Case Series
Fig. 24: Lateral canal.
Endodontic Root Fracture Case Series
Fig. 25: Postop PA.


Case 7: A furcation radiolucency
A patient solicited a second opinion after her dentist recommended extraction of #18 because of a suspected VRF, apparently suggested by a midbuccal probing defect.

This tooth had irreversible pulpitis, and RCT was initiated. Examination of the pulp chamber using a microscope did not reveal any cracking. A lateral canal leading to the furcation was identified but could not be negotiated. Hence, this tooth was treated in three visits using a calcium hydroxide intracanal medicament and obturated after resolution of the pocket and bony healing were confirmed.
Endodontic Root Fracture Case Series
Fig. 26: Preop CBCT SAG.
Endodontic Root Fracture Case Series
Fig. 27: Preop CBCT AX
Endodontic Root Fracture Case Series
Fig. 28: Postop CBCT SAG.
Endodontic Root Fracture Case Series
Fig. 29: Postop CBCT AX.


Case 8: Another lateral canal
Likewise, in this case a VRF was suspected, but circumstantial reasons for such a diagnosis were absent except for the presence of a furcation lesion. The revised diagnosis was pulp necrosis with symptomatic apical periodontitis. NSRCT was provided using an active irrigation system, the multisonic Gentlewave system. Although a furcation canal was suspected, none was located. However, obturation revealed two lateral canals from the mesial root, one leading directly to the furcal lesion. Neither was instrumented by files. It appeared that the multisonic active irrigation system was effective in debriding the accessory anatomy.
Endodontic Root Fracture Case Series
Fig.30: Preop CBCT.
Endodontic Root Fracture Case Series
Fig.31: Postop CBCT.

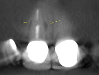
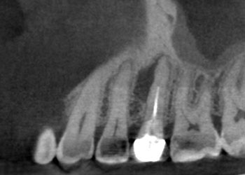
Case 9: A crack ‘seen’ on CBCT
This patient requested a second opinion after an endodontist advised them to extract tooth #14. The extraction was recommended because the endodontist believed that a VRF was visible on the palatal root on the CBCT. The previous NSRCT and metal post might have given more supportive context for the argument, but the crack “seen” on the CBCT was used to make the diagnosis of VRF.

When radiopaque dental materials, such as obturations or posts, are present in the same plane as the root, CBCT is not effective in identifying VRF. Reconstruction artifacts often present as dark lines that can be misinterpreted as cracks. Furthermore, posts generally look larger than they really are on the CBCT and often appear to perforate root surfaces when they are not. This tooth was not cracked. The periradicular tissues healed completely following nonsurgical re-treatment.
Endodontic Root Fracture Case Series
Fig.32: Preop PA.
Endodontic Root Fracture Case Series
Fig.33: Preop CBCT AX.
Endodontic Root Fracture Case Series
Fig. 34: Preop CBCT COR.
Endodontic Root Fracture Case Series
Fig. 35: Preop CBCT SAG.
Endodontic Root Fracture Case Series
Fig.36: Postop PA.
Endodontic Root Fracture Case Series
Fig.37: Recall CBCT COR.
Endodontic Root Fracture Case Series
Fig. 38: Recall CBCT SAG.


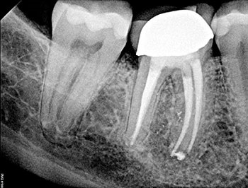
Case 10: Failing ‘well done’ NSRCT
This patient’s teeth #30 and #31 were treated by an endodontist. The endodontist found all the canals, achieved patency and shaped and filled each canal to length. When the periradicular tissues surrounding both teeth failed to heal, the endodontist recommended extracting both teeth because of VRFs. By then, tooth #31 developed a J-shaped lesion, suggestive of a VRF. Nothing suggested that tooth #30 had a VRF, other than that it was a “good-looking” or “well-done” NSRCT that failed. Yet both were recommended for extraction.

The somewhat skeptical patient came to see if these teeth really needed to be extracted. Nonsurgical retreatment was recommended. The patient didn’t want to lose his teeth, but he also didn’t want to pay to re-treat teeth that could not be saved.

Tooth #31—the tooth that was more likely to be fractured—was addressed first. To maximize the likelihood of healing, this tooth was treated in multiple visits using a calcium hydroxide intracanal medicament and obturated after bony healing was complete. The patient was delighted that his tooth had been saved, but also somewhat perplexed that the original endodontist gave up on a tooth that could have been saved. He has now scheduled re-treatment for tooth #30.

More than a few cases have been seen for second opinions after a dentist completed RCT on a tooth that failed shortly after, then told the patient to extract the tooth because it must be cracked because the NSRCT “looked perfect” radiographically. Although shaping and obturation can be judged radiographically, the most important factor—disinfection—cannot.
Endodontic Root Fracture Case Series
Fig.39: Preop CBCT.
Endodontic Root Fracture Case Series
Fig.40: Postop PA.
Endodontic Root Fracture Case Series
Fig.41: Recall PA.
Endodontic Root Fracture Case Series
Fig.42: Recall CBCT.


Case 11: The critical importance of disinfection
This case is an example where an endodontist treated tooth #21. It did not heal, so the endodontist re-treated it. When healing still did not occur, extraction was recommended because of VRF. From the patient’s perspective, this tooth was doubly important because it’s a bridge abutment, so the patient requested a second opinion before extraction.

The tooth was re-treated for a second time in multiple visits using a calcium hydroxide intracanal medicament, only accepting that disinfection was complete when bone regeneration occurred. This approach offers several advantages: adding another method of disinfection with a long exposure time; providing the opportunity for multiple long, thorough sodium hypochlorite irrigations; and knowing when disinfection efforts were complete by monitoring healing radiographically before obturating.

Active irrigation technology, such as GentleWave multisonic cleaning, was utilized on this case, which improves bacterial debridement and disinfection. However, this multiple-appointment strategy can still be beneficial for cases with longstanding or unresolved pathology.
Endodontic Root Fracture Case Series
Fig.43: Preop PA.
Endodontic Root Fracture Case Series
Fig.44: Preop CBCT.
Endodontic Root Fracture Case Series
Fig.45: Postop PA.
Endodontic Root Fracture Case Series
Fig.46: Postop CBCT.


Case 12: Active irrigation
This patient presented for a second opinion after their dentist recommended extraction because of a VRF in the mesial root. The mesial root was surrounded by a U-shaped lesion, had a probing defect to the apex and all the canals were shaped with large flares. After discussing the possibility of VRF with the patient, re-treatment was recommended and accepted. No VRF was seen internally. Re-treatment was completed in a single visit, utilizing active irrigation and multisonic GentleWave technology. Complete healing occurred.
Endodontic Root Fracture Case Series
Fig.47: Preop PA.
Endodontic Root Fracture Case Series
Fig.48: Preop CBCT.
Endodontic Root Fracture Case Series
Fig.49: Postop PA.
Endodontic Root Fracture Case Series
Fig.50: Recall PA.
Endodontic Root Fracture Case Series
Fig.51: Recall CBCT.


Discussion
As Chugal et al. have explained, “the major biologic factors influencing the outcome of endodontic treatment appear to be the extent of microbiological insult to the pulp and periapical tissue, as reflected by the … magnitude of periapical pathosis.”8 In other words, the more bacteria that are present, the longer they have been present and the larger the periradicular radiolucency, the more thorough the debridement and disinfection must be.

Incomplete disinfection may lead to a lack of healing, disappointment and inappropriate diagnoses. Long and thorough irrigation using sodium hypochlorite and the use of calcium hydroxide intracanal medicaments are critically important in cases with longstanding or large lesions. Active irrigation systems may also be helpful.9

Non-healing cases should not be consigned to a diagnosis of VRF unless a crack has been visualized or proven beyond a reasonable doubt. For example, a J-shaped radiolucency alone is not cause to diagnose a VRF. Furthermore, failure to heal after NSRCT is much more likely to result from insufficient disinfection than a VRF. Non-healing initial NSRCT cases should generally receive meticulous nonsurgical retreatment.10


Conclusion
A tooth should not be condemned to extraction unless a vertical root fracture has been visualized or proven beyond a reasonable doubt. Re-treatment of a case that has failed to heal is recommended if a fracture can’t be confirmed visually on the external root surface or in the pulp chamber and canals. Every effort should be made to ensure maximum disinfection, no matter which technique is used. Every patient is happy to save a tooth, and their happiness is our great reward.


References
1. Torabinejad M et al. “Outcomes of Root Canal Treatment and Restoration, Implant-Supported Single Crowns, Fixed Partial Dentures, and Extraction Without Replacement: A Systematic Review.” Journal of Prosthetic Dentistry, Vol. 98, 2007, pp. 285–311.
2. Iqbal M, Kim S. “For Teeth Requiring Endodontic Treatment, What Are the Differences in Outcomes of Restored Endodontically Treated Teeth Compared to Implant- Supported Restorations?” International Journal of Oral and Maxillofacial Implants, Vol. 22, Suppl., 2007, pp. 96–116.
3. Cohen S, Blanco L, Berman L. “Vertical Root Fractures: Clinical and Radiographic Diagnosis.” Journal of the American Dental Association, Vol. 134, Apr. 2003, pp. 434–441.
4. Culjat MO et al. “Ultrasound Crack Detection in a Simulated Human Tooth.” Dentomaxillofacial Radiology, Vol. 34, 2005, pp. 80-85.
5. Tang W, Wu Y, Smales RJ. “Identifying and Reducing Risks for Potential Fractures in Endodontically Treated Teeth.” Journal of Endodontics, Vol. 36, 2010, pp. 609–617.
6. Liao WC et al. “Clinical and Radiographic Characteristics of Vertical Root Fractures in Endodontically and Nonendodontically Treated Teeth.” Journal of Endodontics, Vol. 43, 2017, pp. 687–693.
7. Patel S, Bhuva B, Bose R. “Present Status and Future Directions: Vertical Root Fractures in Root Filled Teeth.” International Endodontic Journal, Vol. 55, Suppl. 3, 2022, pp. 804–826.
8. Chugal NM, Clive JM, Spångberg LS. “A Prognostic Model for Assessment of the Outcome of Endodontic Treatment: Effect of Biologic and Diagnostic Variables.” Oral Surgery, Oral Medicine, Oral Pathology, Oral Radiology, and Endodontics, Vol. 91, 2001, pp. 342–352.
9. Susila A, Minu J. “Activated Irrigation vs. Conventional Non-Activated Irrigation in Endodontics—A Systematic Review.” European Endodontic Journal, Vol. 4, 2019, pp. 96–110.
10. Torabinejad M, White SN. “Endodontic Treatment Options After Unsuccessful Initial Root Canal Treatment: Alternatives to Single-Tooth Implants.” Journal of the American Dental Association, Vol. 147, 2016, pp. 214–20.

Author Bio
Dr. Dan Boehne Dr. Dan Boehne is a diplomate of the American Board of Endodontics. He received his DDS from the UCLA School of Dentistry and completed his endodontic residency at the VA Hospital in Long Beach. He enjoys teaching and has authored or co-authored several articles and textbook chapters on endodontic complications, endodontic disinfection and the restoration of endodontically treated teeth. He is in full-time private practice limited to endodontics in Dana Point, California.


Dr. Shane White Dr. Shane White is a professor of dentistry at the UCLA School of Dentistry in the section of endodontics. A native of Ireland, he received his dental training from Trinity College Dublin. He spent several years in general practice and parttime teaching in Dublin before moving to California, where he received a master’s degree in oral biology and specialty residency training in prosthodontics and endodontics from UCLA, and a PhD in craniofacial biology from USC. He enjoys teaching, research and service. He has held senior leadership positions at UCLA and for the University of California system.

 
Sponsors
Townie Perks
Townie® Poll
Do you routinely screen adult patients for sleep-disordered breathing or obstructive sleep apnea?
  
The Dentaltown Team, Farran Media Support
Phone: +1-480-445-9710
Email: support@dentaltown.com
©2026 Dentaltown, a division of Farran Media • All Rights Reserved
9633 S. 48th Street Suite 200 • Phoenix, AZ 85044 • Phone:+1-480-598-0001 • Fax:+1-480-598-3450