Office Visit: Dr. LeRoy Horton by Sam Mittelsteadt, editor & creative director

Office Visit: Dr. LeRoy Horton 
by Sam Mittelsteadt, editor and creative director
photography by John Vicory

Dentists spend most of their working hours inside their own practices, so they usually don’t get many opportunities to see what it’s like inside another doctor’s office. Dentaltown’s recurring Office Visit profile offers a chance for Townies to meet their peers, hear their stories and get a sense of how they practice.

For nearly a decade, implant practitioner Dr. LeRoy Horton split his working hours between two practices in Washington state that he’d purchased from a dentist and friend he’d worked with for years. The growth and success came relatively quickly—to the point where both offices regularly brought in more than $1 million a year—but eventually Horton realized being a practice owner had lost its luster.

“I decided that instead of having the headaches and liabilities of being a business owner, I would be happier with a 9-to-5 quality of life, even if the money were less,” he says. After selling his practices, Horton opted to return to academics, and is now a year and change into pursuing a master’s degree and certificate in periodontics. And despite studying all week and working on back-to-back implant patients on Saturdays, he says he’s happier and spending more time with his family than he did in his previous life as a practice owner.

In our exclusive Q&A, Horton explains how he reached the point where he needed to step back from “hustle culture”—common to not just dentistry but American business in general—and where he sees his future headed during the second half of his career in dentistry.



Office Highlights

Name:
LeRoy Horton, DDS, DICOI

Graduated from:
Doctor of Dentistry: University of Washington

Implants specialty: International Congress of Oral Implantology

Practice name:
Affordable Dental Care
Tacoma, Washington

Practice size:
5,000 square feet, 12 operatories

Team size:
1 full-time doctor, 2 part-time owners, 1 part-time surgical doctor (Dr. Horton), 4 assistants, 2 office managers, 1 receptionist, centralized accounting

How did you end up pursuing dentistry?

As a student at Pacific Lutheran University just outside Tacoma, I was majoring in biology. I knew I was pre-health, but had not decided which field. One of my professors wanted to expose us to the different arenas in health care we could enter with a science degree, so he gave us an exercise where we filled out a questionnaire projecting life at 10, 15 and 20 years; depending on score, it matched you to a career that fit your answers. Dentistry happened to be at the top for me. Coincidentally, my wife had also brought up dentistry while we were talking about our long-term plans; hence, with two independent signs from the universe, I thought I should at least explore it.

I’d had some exposure to dentistry because my aunt is a dentist in Greece, where I grew up. Her office was an apartment converted to an office; when you walked in, there was a chair in the center of what was the living room, with the “waiting room” being a couch on the side facing the dental chair. My aunt worked by herself—sterilized her own instruments, had no assistants. Today in Greece there are of course large clinics, etc., but at that time, hers was a very small private office in the heart of a residential community. With this background, I decided to explore dentistry as a viable option.


Regular readers might recognize your name from the continuing education courses you’ve created about implant-related topics. How did you become interested in that specialty?

At Pacific Lutheran, we had the option of creating an independent study class to earn a college credit. My advisor and I created what we called “The Different Fields of Dentistry.” My responsibility was to go to my primary dentist and all the specialists he referred to, shadow them and then write a report. When I visited the periodontist and oral surgeons and saw surgery in the mouth, I had an “aha!” moment—I knew what I wanted to do, and I moved my major from pre-med to pre-dental.

I’m laser-focused, so when I decide I like something, I jump all the way headfirst. When I was in dental school, I tailored my education to build my surgical skills. We had to take a minimum three quarters of oral surgery, after which I volunteered for an extra quarter. Because I took so many quarters, I qualified for a third-molar impaction course, and spent the whole quarter taking out impacted wisdom teeth under the guidance of the oral surgeons. I also volunteered for extra external clinic rotations at community clinics where I could do more surgery.


What was the plan after graduation?

I originally thought I was going to go into community health. I was sort of the poster child for community health, because I had done so much with it during dental school, volunteering for and eventually running programs.

But I was married with three kids by then, and I transitioned into private practice because I needed to support my family. My wife had always been extremely supportive of my academic pursuits—she believed in me and sacrificed all those years right beside me for my future. I wanted to thank her by finally having us live the lifestyle we’d always dreamed of. She deserved it and I was determined to provide her with it. Thus, I started transitioning from community practice to private practice.

I worked as an associate for a local dentist and practice mogul who had 11 or 12 local clinics, and we just hit it off. I hustled for him for a year—I went in early, I stayed late. “You need me to come in on a Saturday? Not a problem.” When he saw I had that work ethic, he offered me a partnership.

I got lucky: It was a convenient way to partnership because I wasn’t starting from scratch, I was buying into an existing work model I was able to improve upon, especially with my skill set. Implants, wisdom teeth, IV sedation … anytime you’ve got a special niche, it makes you a great catch. First, I took over a practice that had $600,000 in revenues and doubled it my first year. I ended up partnering in a second office, too.


How quickly did you realize that practice ownership might not be the right fit?


There was a period where I liked being an owner, don’t get me wrong! I liked the chase for improvement and outcompeting the previous year’s growth. But after about nine years of ownership, we had some deaths in the family—my brother, and within six months, my wife’s brother as well. It was a very dark and depressive time that really started weighing me down.

It became increasingly hard for me to cope with the high level of demand managing two offices and 20 staffers can be. Add to that increased inflation—costs going up but insurance reimbursements staying fixed—and the reward for all that extra work and headache kept shrinking, to the point where it was like, “I don’t think it’s worth the trouble anymore.”

Before, it had been a welcome headache, because I loved the challenge of growing the practices every year. Both practices brought in well over $1 million in annual revenue every year I owned them (except for 2020, when we were shut down for two months and one office dipped just under the $1 million mark), and the profits were quite good. I could always pacify my stress with the knowledge that I was supporting my family and creating equity they can use to create a legacy.

But after I lost my brother, my whole perspective on life changed: I started valuing time with my family and more intrinsic pursuits of happiness than what finances represented. The stress of being an owner did not fit me anymore. I knew a lot of dentists who were working harder than ever but just squeaking by.

I decided that instead of having the headaches and liabilities of being a business owner, I would be happier with a 9-to-5 quality of life, even if the money were less. I could pursue other interests in my efforts to establish a more fulfilling purpose, which I knew was literally going to save my life from the aforementioned depression.


Was that a scary decision— essentially saying, “What I’ve worked so hard to attain … it’s not the right choice”?

If you already have a pattern of anxiety and drive, you’re scared to stop swimming. And American culture in general is very driven—the hustle culture. If you’re not hustling, your social and professional value is put into question.

My family in Greece thinks we’re crazy. When I told my uncle—a well-known cardiologist who’s one of the premier experts and opinion leaders on Greek television—that I was opening a second office and had hired an associate, he said, “Why are you doing all that?” That’s a hard question to answer when you’ve got a different framework of understanding. To my uncle, this idea of expansion didn’t make sense: “Patients don’t come to see someone else; they come to see you.” He had trouble understanding why I would be infiltrating the personal relationship of being someone’s provider with the business of farming out care to other hired employee providers. He said, “I hope you see the light someday.”

Then, in July 2017, I had an epiphany. My daughter had a volleyball tournament in California, so I took the family and everyone went to Disneyland. It hit me: “Things are really good—you should chill like this more! This enjoying time with family is where it’s at.”

Shortly afterward is when we lost my brother and my wife’s brother. We were watching our mothers grieve—we were grieving ourselves—and the loss hit me particularly hard. As I started going to therapy to become functional again, it dawned on me: All those material things couldn’t console me. The one thing I wished for was more time with my brother, more memories. When you truly realize that we are all only one accident or one disease away from not being here anymore, you need to find a better balance that allows you to live in the present. Something that not only makes me happy but also provides me with time with my wife and kids.


How did your business partner take the news you wanted out already?

I was lucky he supported the decision. He had seen how I was taking the loss of my brother and that the decision would bring me some comfort and relief. Plus, he was already starting his own “sunset plan,” so the idea of selling off a practice wasn’t anathema to him.

To this day, we still talk a couple times a week and go on trips together—not just dental conventions, but also for fun. He is one of my closest friends, and I am extremely grateful for his understanding and support during my darkest time.


So your next move was … going back to school?

I’m in my 40s, and I decided it was time to consider the second half of my career, which could transition to research and academia. Having a second degree will open more doors, and perio is more involved with implants than any other specialty, so I applied to several programs and matched to Oregon Health Sciences University. In this three-year program, I will earn a certificate in periodontics along with a master’s degree in periodontal science.

As part of my graduate program, I’m participating in a randomized controlled clinical trial that compares different membranes in extraction and preservation procedures. One of my faculty members is the principal investigator, and multiple residents work on different data sets. I’ll be studying hard tissues, measuring CT scans and bones before and after healing, to see if there is a difference in that hard-tissue volume maintenance between the two treatment modalities. (Essentially, trying to determine which membrane, if any, works better in preserving the bone for a future implant.)

Right now, while in school, I still work Saturdays at a practice in Tacoma, and spend my free time with my wife and kids over the rest of the weekend before I drive back to Oregon Health Sciences on Monday morning to attend classes and clinic. I’m a year and some change into it, and I’m scheduled to graduate in May 2024.

Even though it doesn’t sound like it, I’m actually spending a lot more time with the family now than I was before! This change has improved my emotional and spiritual wellbeing, and was one of the best decisions I could have made.


How is it going financially if you’re working only one day a week?

I was in an advantageous situation: I had savings from the sale of the offices, and was always in high demand because I’m a high producer. Also, I’m like Liam Neeson: I have a special set of skills! If you provide a niche or specialty most GPs don’t, you can see fewer patients and still make comparable if not more money than a typical general dentist. So, on most Saturdays, I see four or five patients back to back, performing implant surgeries, grafting and wisdom tooth procedures, making more than I would if I were a GP doing bread-and-butter dentistry work.

Top Products

Dentis implants. An implant with a tapered design, platform switching, and it’s available as both resorbable blast media (RBM) and sandblasted, large-grit, acid-etched (SLA) surface treatments. I find the surgical and prosthetic armamentarium very straightforward, and the built-in drill stops for each available length provide a strong safety margin. Also, both the healing and prosthetic abutments are designed with a concave emergence, which allows for thicker soft-tissue and subcrestal placement of the implants without impinging on the gingiva and bone.

Saeshin implant motor. Great design, very reliable and makes it easy to create presets.

Dr. Kim headlight. A comfortable, durable headlamp with double light sources, which helps prevent shadowing while working. Comes with a magnification lens mount, giving the provider many lens strength options depending on the procedure.

Nikon D7500 camera. Ever since I started my periodontal residency, the camera for intraand perioperative photos is priceless. The close-up detail is amazing and it aids in quality because doctors can take a picture, then zoom in and assess their work. You can link your phone through the Nikon app and download photos immediately for sharing or editing as well.

Dropbox. I take thousands of pictures, and organizing them is a necessity. I’m able to do it from my phone app, which is very user-friendly, with fast download time, or on my laptop, and can access the photos at any time from either


What’s next after you graduate—a PhD?

That would be another 2, 2½ years of participating in projects, and depending on the program, there could be stipulations about where you have to teach part time. From talking to a lot of people, I think a PhD is a great thing if you just want to be a scientist—you’ll have a lot more leverage with that degree to write grants, research funding and the like. I still love being a clinician, so I’m not sure I want to dedicate another couple of years to getting a PhD if I don’t really need it.

I’d like to find a balance between teaching part time and being a clinician part time. There’s money to be had in the lecture circuit—I’m already doing some, including recent ones at past International Congress of Oral Implantologists conventions and this year’s National Dental Association meeting in Arizona.

I also have a decent track record providing private CE courses, so I may explore options at non-dental school institutions like the Misch Implant Institute or Implant Pathways. Maybe two days a week teaching and two days a week clinical practice. I am exploring my options, and given the relationships I have at a few dental schools, I wouldn’t be surprised if I ended up in that arena.


Outside of practice, you’re also active in combat sports.

I was always a competitive kid—testing myself and my limits. My cousins and I were doing taekwondo as young kids, and two of my uncles were on the Greek national boxing team, so they’d train us and have us fight each other. When we came to the U.S., I still pursued it, practicing at the boxing club at Al Davies and the Boys and Girls Club. I got into judo and jiujitsu, and muy thai kickboxing.

As an adult, I’ve had a number of fights on the amateur circuit—in cages, in rings, in octagons, in dive bars where bikers are there drunk and yelling. It’s a thrill to me; the most alive I’ve ever felt is in the ring in the middle of combat, whether I was winning or losing.

I still train at Portland City Boxing while I’m in Oregon, and with a lot of fighters back in Tacoma. I haven’t competed in a while but I’m still sparring and practicing. It provides me with an outlet for work or life stress, so it’s a place of escape. It may sound unconventional, but trading punches helped me out of some of my darkest moments.

It’s also kept me humble. When you’re on the mat or in the ring, you’re just a guy trying to survive, no matter your degrees or income. For a while, I trained with an Olympic-level judo team—Ippon Judo, one of best clubs in America. There were 15- and 16-year-olds flipping me on my back like it was nothing. It’s very humbling.

I also indirectly found that it made me not really fear anything. The thought of going to school—taking tests, board exams—once you’ve been in the ring with monsters who have trained specifically to knock your head off, you know you can survive most things. Nothing is as scary after that. That’s given me an edge. I’m not afraid to try anything and I’m not afraid to fail … because I have already survived much worse.


We’ve mentioned in passing your relatives and life in Greece, where you were born and raised, but never got into how and why you moved to the United States.

My mother was Greek, and my father was a GI stationed there who ended up leaving the military and staying in the country. “Growing up in Greece” sounds romantic, but when you’re the only Black kid in a country that is still very nationalistic, it’s not always the best experience. When the economy contracts, who do they start pointing fingers at? I was a catching a lot of negative sentiment because I was always assumed to be Pakistani or Romani.

Approaching my teenage years, I was getting into a lot of fights at school and my mom thought my brother and I would have more cultural support in the United States. It was a yearlong struggle with the embassy for her to come to the U.S., even though her kids were American citizens. You had to show that you had $11,000, and she scraped and borrowed from friends and relatives so she could show that she had the money … and then she gave it all back to the people she borrowed it from, and we moved to the U.S. in 1992.

My mom is such an inspiration to me because she had the courage to leave her family and home country for distant unfamiliar lands for the sake of her kids. Despite the language barrier, she came here and worked tirelessly to raise two boys. Because we didn’t have a connection to my father’s side of the family, we didn’t have that layer of support, so it was very sink or swim.

Often, when I think my life is hard or my obligations are a lot, I remember how difficult her life was back then: the lack of sleep, the constant working and the bigotry she faced as an immigrant with a heavy accent and two Black kids … and now having lost a child. It helps put my daily problems in perspective.

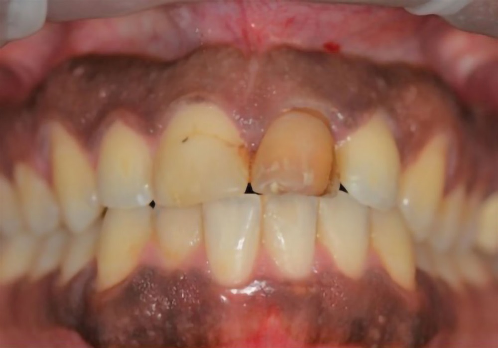
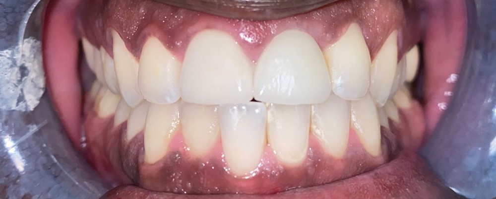
Dr. LeRoy Horton’s favorite case
Before
Horton Favorite Case
Horton Favorite Case


Editor’s note: Dr. Horton wrote about this case in detail in “Front Line Work,” a CE course that was published in the January 2021 issue of Dentaltown. To read more about the case, with the chance to take the quiz and earn 1.5 CE credits, click the link above.]

This remains one of my favorite cases because it really displays the success one can have with anterior implant cases. I was using a modified “dual zone therapy” technique (developed by Drs. D.P. Tarnow and S.J. Chu), which I have found to have great utility in an office where making immediate provisionals does not fit the workflow.

After
Horton Favorite Case
Horton Favorite Case

Horton Favorite Case
Horton Favorite Case


Sponsors
Townie Perks
Townie® Poll
Who or what do you turn to for most financial advice regarding your practice?
  
The Dentaltown Team, Farran Media Support
Phone: +1-480-445-9710
Email: support@farranmedia.com
©2025 Dentaltown, a division of Farran Media • All Rights Reserved
9633 S. 48th Street Suite 200 • Phoenix, AZ 85044 • Phone:+1-480-598-0001 • Fax:+1-480-598-3450