Reversing the Grind by Dr. Terry Shaw

Dentaltown Magazine

Fixing years of significant wear and tear by rebuilding upper and lower teeth with composite over two appointments


by Dr. Terry Shaw


Introduction

The patient, John McDermott, a well-known Canadian tenor, was referred to me by a good friend, Jimmy Flynn. The two men entertain on the snowbird tour in the Southern states in February every year so they can escape the cold and snow. McDermott mentioned he needed some dental work, and Flynn recommended he give me a call. McDermott sent me some iPhone pictures of his teeth, followed by some X-rays. He came in June 2018 for his lower teeth and in September 2018 for his upper teeth—and as of October 2020, the patient reports things are still in great shape!

Procedure 1: Bottom teeth

Show Your Work
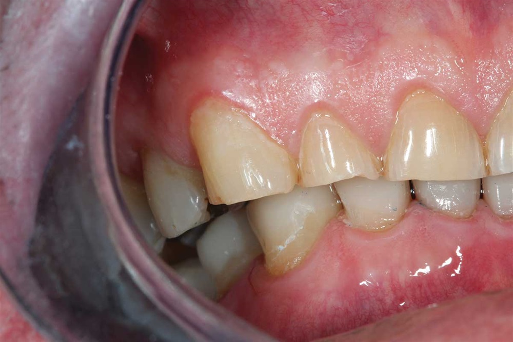
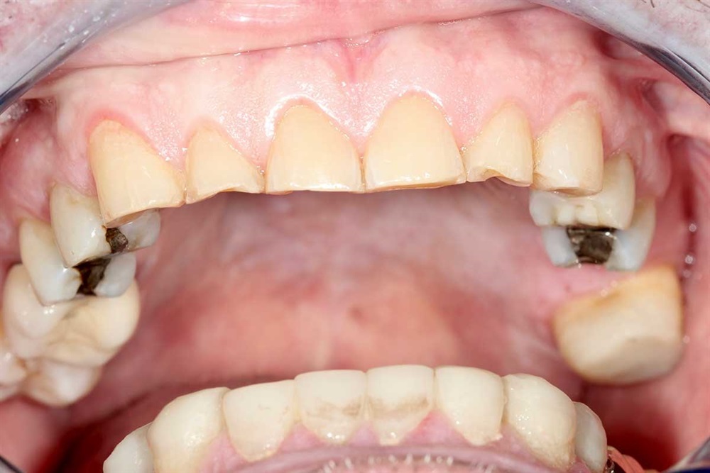
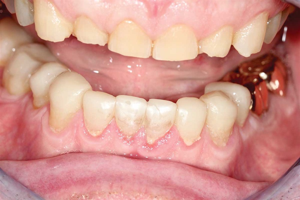
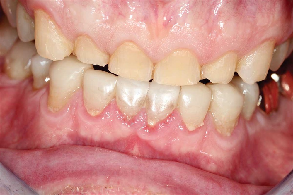
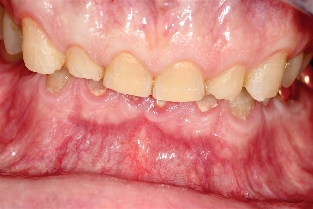
Fig. 1: June 2018. Where did all the tooth structure go? Grinding in protrusion? There is serious wear and tear. This 63-year-old gentleman has been wearing out his teeth, especially in the past 10 years.
Show Your Work
Fig. 2: Maxillary teeth.
Show Your Work
Fig. 3: Lower incisors. The patient’s dentists in Ontario wanted to do ortho for 18–24 months and then restorative crowns with many elective root canals, to the tune of a nice luxury car.
Show Your Work
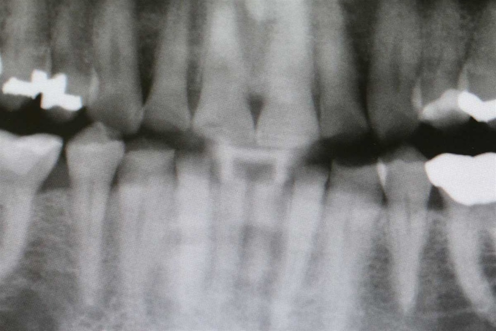
Fig. 4: Panorex, part 1. Gold crowns on the lower left, PFM on right maxillary molar.
Show Your Work
Fig. 5: Close-up of Panorex. 
Show Your Work
Fig. 6
Show Your Work
Fig. 7: Z250 A2 composite, AllBond 2 and Premier Dental Cure-Thru matrix bands were used.
Show Your Work
Fig. 8: First tooth done, but not finished. I built up the incisors about 5mm. 
Show Your Work
Fig. 9: Right lower canine.
Show Your Work
Fig. 10: Lower left lateral incisor being restored.
Show Your Work
Fig. 11: Got the teeth all hitting with the same pressure. However, I kept the lower central incisors in lighter occlusion because they were worn more than the rest.
Show Your Work
Fig. 12: I told the patient there was a chance that restoring his teeth could end his singing career. (I was sort of kidding.)
Show Your Work
Fig. 13: The first thing he did when he got out of the dental chair was go to the bathroom. He came back shortly to tell me he could still sing.
Show Your Work
Fig. 14–16: It is hard to see, but the patient’s bicuspids nearly miss in occlusion because the upper bicuspids are buccal to his lower bicuspid. One reason for ortho would have been to expand the lower arch to get more occlusion on the bicuspids.
Show Your Work
Fig. 15
Show Your Work
Fig. 16
Show Your Work
Fig. 17
Show Your Work
Fig. 18
Show Your Work
Fig. 19
Show Your Work
Fig. 20: In protrusion, but I told him not to bite like this.

Procedure 2: Top teeth

Show Your Work
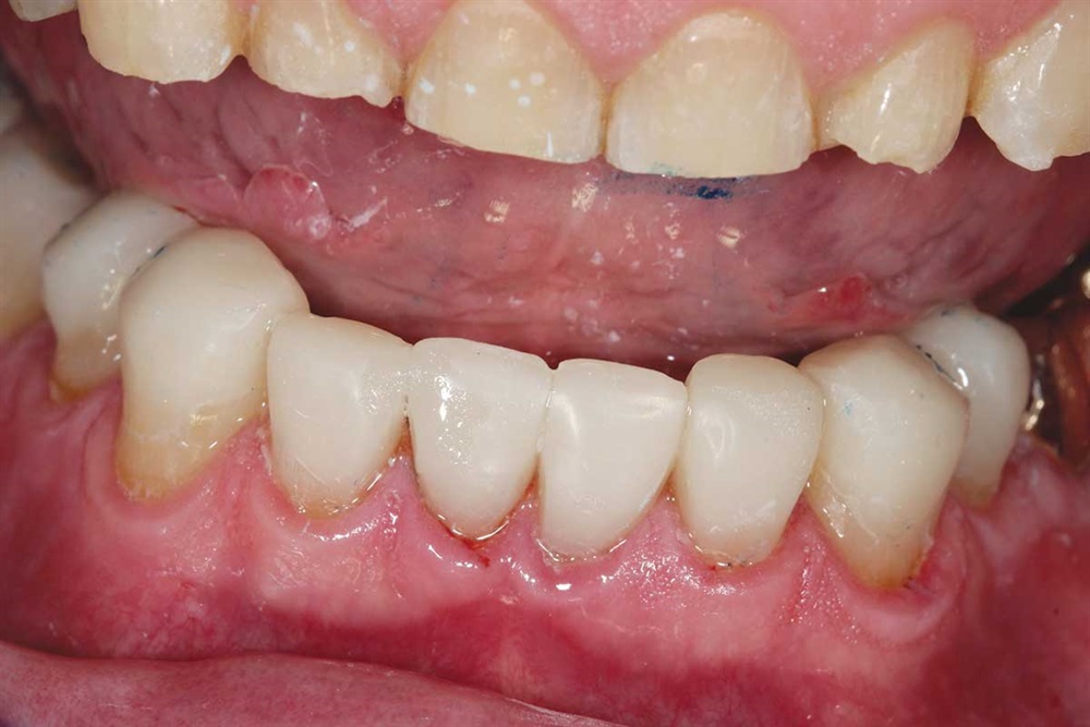
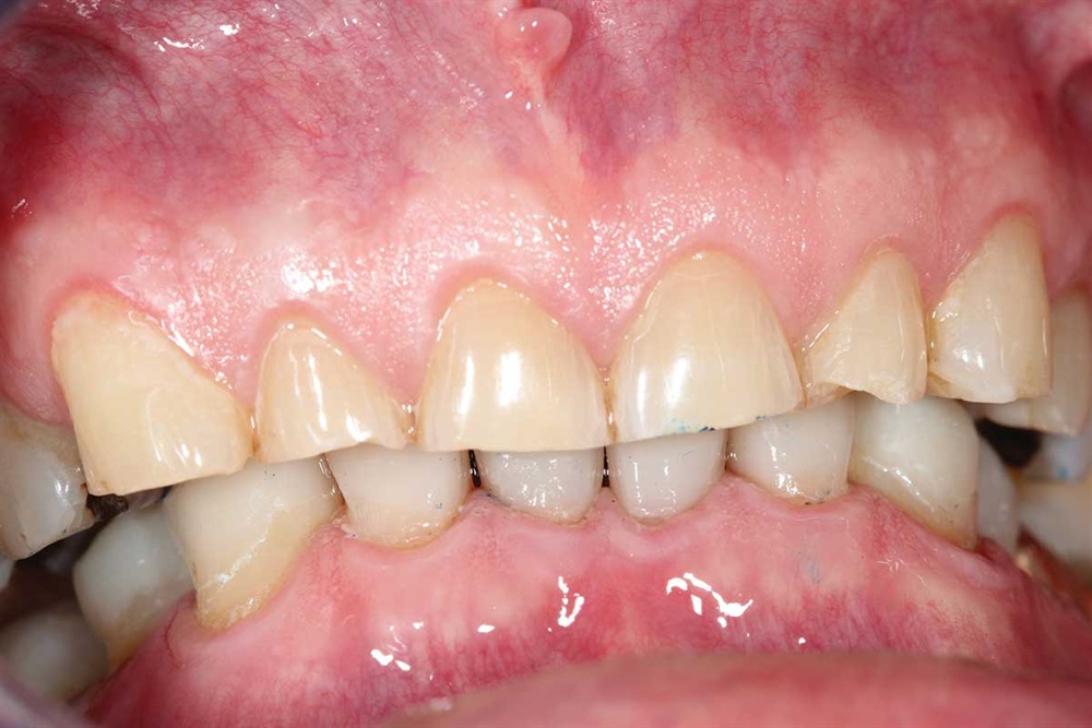
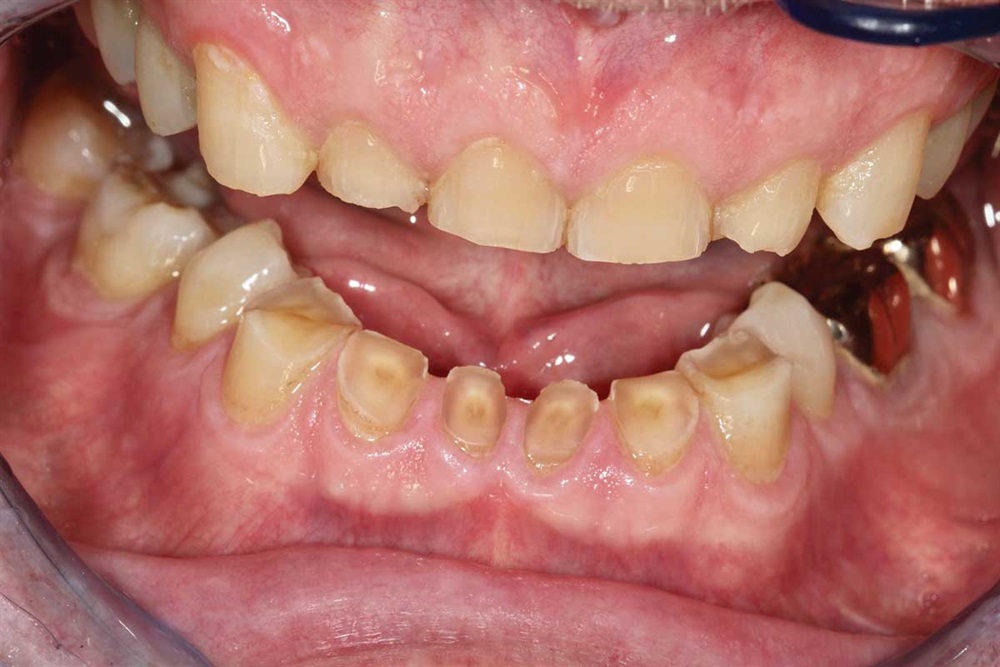
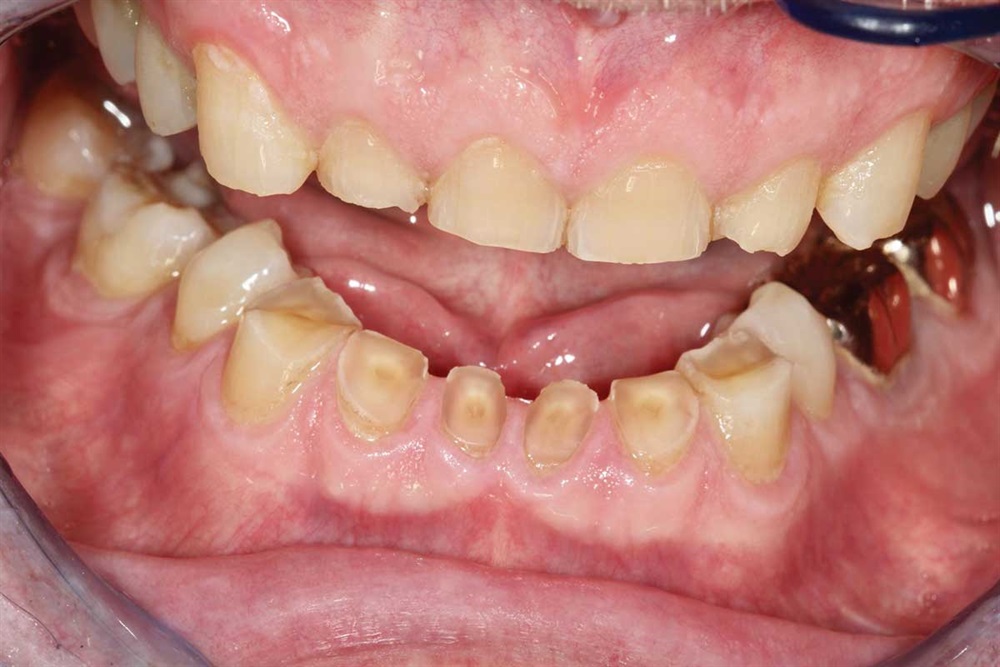
Fig. 21: September 2018. First picture from his second go-round. Not brushing the lowers well.
Show Your Work
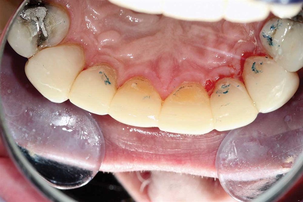
Figs. 22 and 23: Lowers fit palatal to the upper teeth.
Show Your Work
Fig. 23
Show Your Work
Fig. 24: You can see the second left maxillary molar I restored in the June appointment to give him posterior support on his lower gold crown. Could have sandblasted his lower left crown and bonded to it, but it was easier to add to the upper left molar. On his lower right side, I did add to the lower right first and third molars for occlusion against his upper molars.
Show Your Work
Fig. 25: End to end.
Show Your Work
Fig. 26: Closed tight = MI.
Show Your Work
Fig. 27: Starting the maxillary teeth with 90N, rubber dam and Premier Cure-Thru contoured matrix band. Incisal view.
Show Your Work
Fig. 28: My first increment is Z250 to provide palatal support, and then I cover that with Renamel A1.5.
Show Your Work
Fig. 29: I cut an increment off the end of my Renamel syringe, flatten it between my finger and thumb and place on the labial of the tooth. I apply a little bonding resin on the composite increment to reduce pull-back, then work it into the interproximal and cover the tooth. Takes some time, because it does not flow like Z250.
Show Your Work
Fig. 30: Incisal of same as above.
Show Your Work
Fig. 31: Ready to start finishing. I use a small diamond at first, then a 7901 for fine labial finishing. Use a 30 fluted 7408 for palatal surface. This bur polishes so smooth and shiny, you don’t need any more polishing on the palatal.
Show Your Work
Fig. 32: Incisal view to see how much or little I have added.
Show Your Work
Fig. 33: Left lateral.
Show Your Work
Fig. 34: Tooth is rotated a bit, but with composite we will solve and eliminate the rotation.
Show Your Work
Fig. 35: Hard to see, but I am using a Bioclear matrix to add flare sideways at the gingiva. Reduces the black holes.
Show Your Work
Fig. 36: All done adding my pound of composite.
Show Your Work
Fig. 37: For the upper first bicuspids, I added to the buccal cusp and made them longer and more prominent for aesthetics using only Z250 A2.
Show Your Work
Fig. 38: Right side and polished with 3M’s Sof-Lex Superfine disk.
Show Your Work
Fig. 39: Left side, the same polish.
Show Your Work
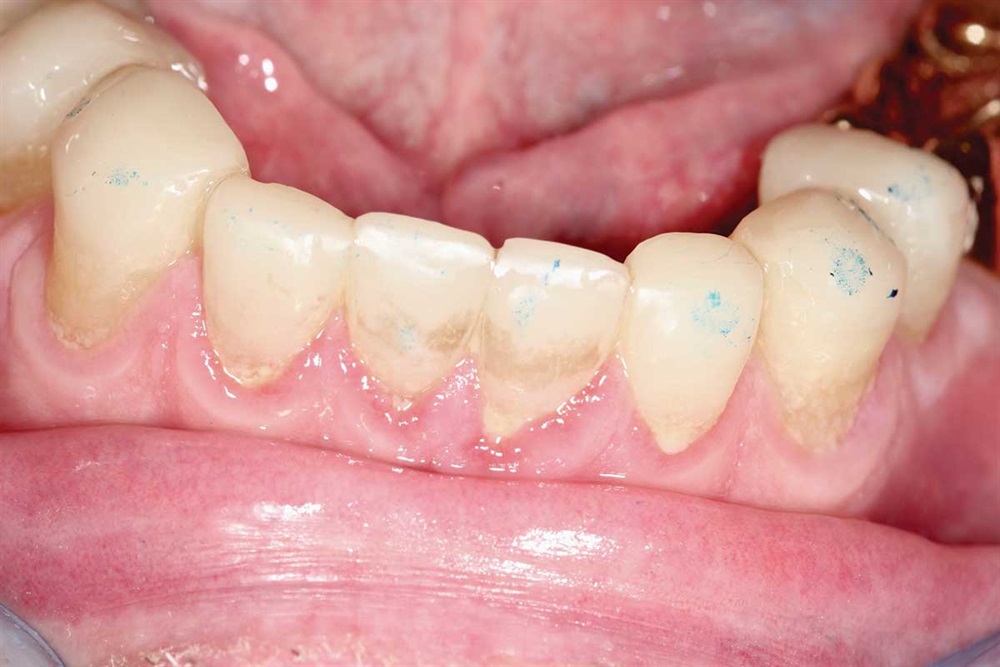
Fig. 40: Plaque.
Show Your Work
Fig. 41: Occlusion being adjusted. I did not increase his vertical when I did the upper teeth.
Show Your Work
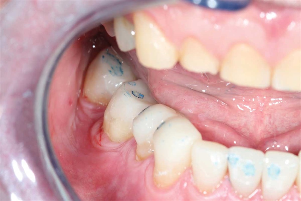
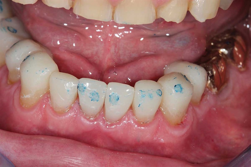
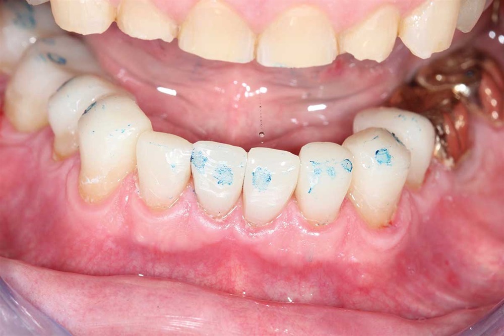
Fig. 42: Marks show heavier contact in lateral and protrusive excursions. Again, light occlusion on the centrals because of the lack of support I was bonding to.
Show Your Work
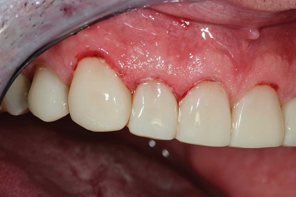
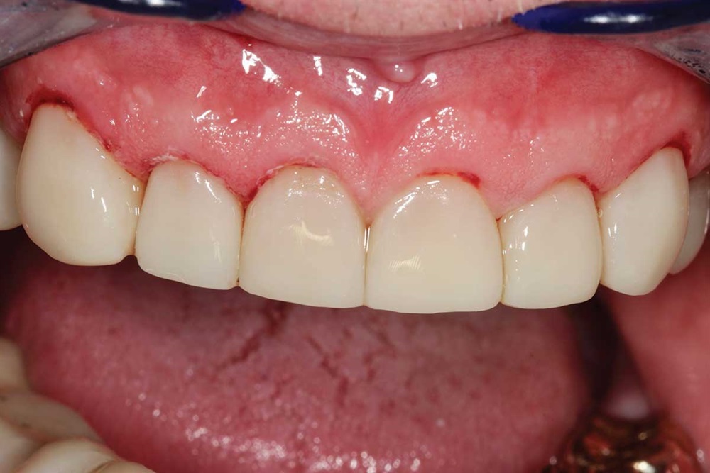
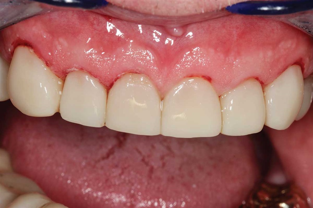
Fig. 43: Finished. If you have not tried Renamel, you really owe it to yourself and your patients to get a syringe and see how nice it looks. Dr. Buddy Mopper brought it to market well over 25 years ago.
Show Your Work
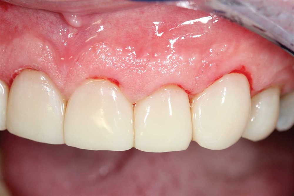
Figs. 44–46: The patient smiling. Never really could see his teeth when he smiled before.
Show Your Work
Fig. 45
Show Your Work
Fig. 46
Show Your Work
Fig. 47: Treatment.
Show Your Work
Figs. 48 and 49: Before and after. This took four hours (top teeth only).
Show Your Work
Fig. 49
Show Your Work
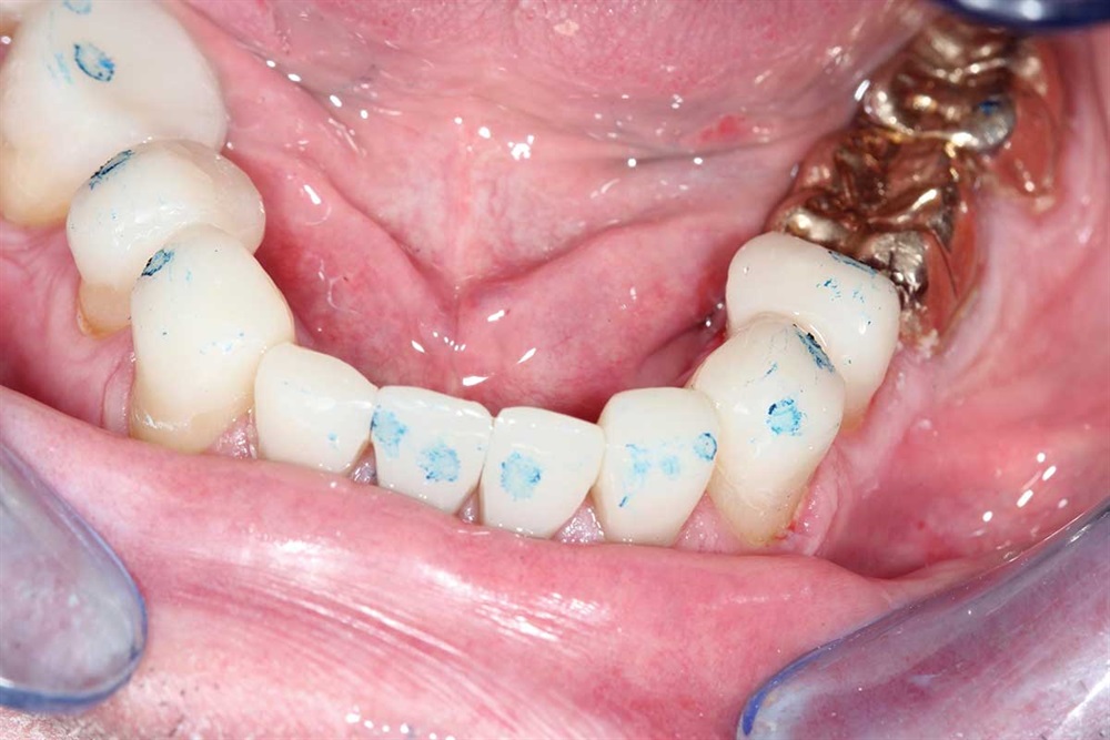
Fig. 50: He sent me a follow-up photo of his lower teeth over Spring Break 2020.
Author Bio
Author Dr. Terry Shaw practices in Perth-Andover, New Brunswick. He graduated from Dalhousie Dental School in 1976 and has a chronic affection for composite dentistry. Shaw is the continuing education chairperson for the Atlantic Canada Academy of General Dentistry.
 
Sponsors
Townie Perks
Townie® Poll
Do you routinely screen adult patients for sleep-disordered breathing or obstructive sleep apnea?


  
The Dentaltown Team, Farran Media Support
Phone: +1-480-445-9710
Email: support@dentaltown.com
©2026 Dentaltown, a division of Farran Media • All Rights Reserved
9633 S. 48th Street Suite 200 • Phoenix, AZ 85044 • Phone:+1-480-598-0001 • Fax:+1-480-598-3450