How to Build Up the Perfect Tooth by Ulf Krueger-Janson



The natural appearance of a tooth can be successfully reconstructed with a composite resin that is based on an integrated shade and layering system. Restorations of this kind blend in seamlessly with the natural dentition in accordance with biomimetic principles. Choosing the most suitable material for the task at hand is decisive for the successful outcome. The shade range of IPS Empress Direct composite resin comprises five dentin materials in A shades (high opacity) and five matching enamel shades (high translucency). In addition, stronger as well as more translucent shades are available, some of which are opalescent, for designing the lateral enamel areas and incisal edges. This well-rounded range of shades and layering materials facilitates the creation of naturallooking restorations with composite resin. The following article describes the fabrication of a composite resin restoration in an anterior tooth using IPS Empress Direct. The procedure is described chronologically, starting with shade selection and ending with the final design adjustments.

Assessment of the Pre-operative Situation

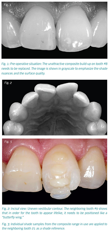
The appearance of the upper anterior teeth in the pre-operative situation was unsatisfactory. Tooth #8 looked particularly unattractive. Neither its shape nor its shade satisfied the standards of a highquality dental restoration. In order to obtain a clearer picture of the pre-operative situation, a grayscale image was produced (Fig. 1). This image illustrates the insufficient brilliancy as well as lack of translucent areas. Furthermore, surface structures and their various transitions, as well as wavelike white striations are visible. From the incisal aspect the vestibular contour looks distinctly opalescent material Trans Opal was applied to the sides of the restoration in order to imitate the bluish-white areas of the natural adjacent tooth.

Build-up and Layering of the Basic Shape

After the old restoration had been removed from tooth #8, the first increments were placed (Fig. 4). In order to imitate the saturated and intensive shade (opacity) of the neighboring tooth, dentin shade A3 was placed at the base of the restoration. In addition, dentin and enamel shades A2 were applied in the incisal area. A lighter shade was required in the cervical region uneven (Fig. 2). As a result, the right incisor leans toward the labial aspect. The "wing effect" of the teeth in this particular case could not be reconstructed. Consequently, tooth #8 looks out of place.

The shade system of IPS Empress Direct comprises various dentin shades, which exhibit a high opacity. They are suitable for achieving bright effects (Bleach L/XL) or providing complete coverage (IVA5/A6). The system also includes matching enamel materials with more translucent bleach and incisal shades as well as shade components called Trans Opal (opalescent).

A straightforward method is available for gaining a general impression of the shade layers of the natural neighboring tooth. Various shade samples of IPS Empress Direct are applied on the untreated enamel surface of the adjacent tooth - in this case tooth #9 - and polymerized (Fig. 3).

Shade variations should be eliminated due to the polymerization process. The prepared tooth is then illuminated from various angles with the operatory light. As a result, the viewer gains a good idea of what the individual shades will look like in the mouth of the patient. The shade impressions obtained in this way provide the operator with valuable information regarding the shade behavior of the composite resin system in use and the shades required for building up the restoration. In the present case, for example, the and therefore dentin A2 layers were applied. Enamel A2 was placed on the sides (distal, mesial) of the restoration in order to impart more brightness to the tooth. Figure 5 clearly shows the different layers: The shade designations have been projected onto the image. Due to the dehydration of tooth #9, the shade had already changed compared with the samples shown in figure 3. This serves as an important reminder that shade selection must be done very quickly, since the neighboring tooth no longer provides a reliable shade reference once it is dehydrated. The built-up materials were covered with a coating of Flow A2 and the vestibular surfaces were created.

Tooth #8 was built up according to the described layering protocol. The aim of this step was to copy the shading of the neighboring tooth and create the basic shape of the restoration (Fig. 6). The incisal area of this roundish tooth shape was difficult to recreate. The mesial edge was quite angular and only transitioned into the rounded body of the tooth toward the distal aspect. In this case, it was necessary to exaggerate the contours of this area when the composite was placed. This created ample scope for finishing the restoration. In all cases, the convex and concave areas have to be carefully finished. This task is often difficult to accomplish in the first attempt.

The functional parameters are also taken into consideration in this process. This approach has shown to be very effective in routine practice work. If time is tight, for example, patients can be discharged with this type of "preliminary solution." The final layering procedure takes place at a later stage. Before the patient leaves the practice, however, the surface of the build-up should be coated with a flowable product in order to give the patient a comfortable feeling in the mouth.

Customized Shading

The restoration build-up was completed with different shades from the range of composite resin materials. Mamelon-like depressions were cut into the surface of the preliminarily shaped and shaded restoration with a finisher (red code, fine grit) using the cut-back technique (Figs. 7 and 8). The individual shade effects were inserted into these grooves at a later stage (inlay technique). The neighboring tooth provided a mirrorimage example. Various depths and widths imparted vibrancy to the structure. restoration was coated with a flowable layer. In this case, Transpa (T) material was chosen. In situations where various shades are required to merge into each other, the flowable materials can be mixed with each other on the tooth surface. Nevertheless, close attention must be paid to preventing the inclusion of air bubbles.

Re-examination is Important

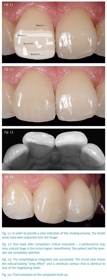
One week after the completion of the restoration, the tooth was clinically evaluated and checked with regard to the adaptation of the shade to that of the surrounding natural dentition (Fig. 12). On closer inspection, very discerning operators may miss a bluish tinge in the incisal edge. If desired, however, this area can be optimized by cutting it back slightly and inserting Trans Opal to adjust the appearance. The morphological integration of the restoration was successful. The view from the incisal aspect clearly shows the "wing effect" of the "butterfly teeth" and an even vestibular contour (Fig. 13), resulting in a natural appearance. The incisal-to-cervical curvature was adjusted with a file from the Eva System (KaVo). The final evaluation of the composite build-up was carried out by looking at the tooth from different angles (Fig. 14). The light-reflecting bands at the sides are a reliable indicator of the proper anatomic shape of the restoration. These bands are responsible for the threedimensional effect of the tooth. These side areas are created by a ridge that results from the transition between the vestibular surface and the interdental area. As shown in figure 12, it is particularly important to round the distal side of "butterfly teeth."

Conclusion

The success of a composite resin restoration primarily depends on the appropriate reconstruction of the tooth morphology. Furthermore, the recreation of natural shade effects should be given equal attention. The resulting restoration will blend in smoothly with the surrounding dentition also in terms of biomimetics. In the case of complicated shapes, the contours of the neighboring tooth should be copied as faithfully as possible. A three-dimensional design is a prerequisite for ensuring the overall integrity of the restoration. The incisal edge contours as well as the mesial and distal contacts are decisive to establishing the appropriate tooth shape. Modern materials allow discerning professionals to restore even very complex shade cases with composite resin layers. For this purpose, a composite that is available in true-tonature shade components is requisite. The cut-back method simplifies the layering process, providing ample design freedom.

Author's Bio
Ulf Krueger-Janson is the author of 3D Composites - Natural Shading & Shaping. The publication is available from www.teamwork-media.de or www.teamwork-bookshop.de. He can be contacted at ulf.krueger-janson@email.de.
Sponsors
Townie Perks
Townie® Poll
Do you routinely screen adult patients for sleep-disordered breathing or obstructive sleep apnea?
  
The Dentaltown Team, Farran Media Support
Phone: +1-480-445-9710
Email: support@dentaltown.com
©2026 Dentaltown, a division of Farran Media • All Rights Reserved
9633 S. 48th Street Suite 200 • Phoenix, AZ 85044 • Phone:+1-480-598-0001 • Fax:+1-480-598-3450