Clinical Mastery Series - Online
Clinical Mastery Series - Online
Practical and timely restorative content from today's top educators!!!
Blog By:
jennjanicki
jennjanicki

Envelope of Function Issue? How to decide...

Envelope of Function Issue? How to decide...

10/14/2015 6:00:00 AM   |   Comments: 0   |   Views: 1127

by Dr. Lee Ann Brady

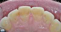
I believe in working with the provisionals on a patient I believe has a restricted envelope of function, particularly when patient mentions that he reported waking with a headache the first few mornings after we placed the provisionals. I believe he needs more freedom in the anterior, and breaking the provisionals and the morning headaches support this theory. Patients who need more anterior freedom can present with signs and symptoms that affect their teeth, muscles, joints or all three. I find it helpful to puzzle through what is happening anatomically as a way to make sense of signs and symptoms I see.

Patients who are trapped or locked in the anterior can either spend significant time in this position with their posterior teeth touching, try to create more space, or move their mandible forward and rest in a forward position. Each of these adaptive strategies and the amount of time the person does each one create the patient’s presentation. The next question to ask yourself is what is the position of the condyle , is it being pushed posteriorly, and what are the muscles doing to protect the joint and the teeth? Each patient presents with a unique combination of signs and symptoms, but their combination can be overlaid on their occlusion and what they do with their teeth. There are common signs & symptoms with a restricted envelope of function and here is a list of some of them.

Dentition:

  • Upper Anterior lingual wear
  • Lower Anterior incisal edge and labial wear
  • Upper anterior lingual ledging
  • Anterior fremitus/mobility
  • Anterior diastema opening
  • Upper anterior flaring
  • Loosening or fracturing anterior provisionals/restorations

Joints/Muscles:

  • Retrodiscal tenderness/pain
  • Digastric tenderness/pain
  • Posterior Temporalis tenderness/pain
  • Elevator Muscle tenderness/pain
www.leeannbrady.com
You must be logged in to view comments.
Total Blog Activity
997
Total Bloggers
13,451
Total Blog Posts
4,671
Total Podcasts
1,788
Total Videos
Sponsors
Townie Perks
Townie® Poll
Do you routinely screen adult patients for sleep-disordered breathing or obstructive sleep apnea?
  
The Dentaltown Team, Farran Media Support
Phone: +1-480-445-9710
Email: support@dentaltown.com
©2026 Dentaltown, a division of Farran Media • All Rights Reserved
9633 S. 48th Street Suite 200 • Phoenix, AZ 85044 • Phone:+1-480-598-0001 • Fax:+1-480-598-3450