MIDI® - MINIMALLY INVASIVE DENTAL IMPLANTOLOGY
MIDI® - MINIMALLY INVASIVE DENTAL IMPLANTOLOGY
MINIMAMENTE INVASIVE DENTAL IMPLANTOLOGY- INTEGRAL. La odontología, la implantología camina por senderos mínimamente invasivos, máximamente conservadores, confortables y educativos para los pacientes en todos los aspectos integrales del paciente.
Blog By:
drreygil
drreygil

MONONOBLOCK IMPLANT DIAMETER 9 MM. IMPLANTES VALLADOLID, DR  ANTONIO REY GIL

MONONOBLOCK IMPLANT DIAMETER 9 MM. IMPLANTES VALLADOLID, DR ANTONIO REY GIL

12/7/2018 4:40:08 AM   |   Comments: 0   |   Views: 109
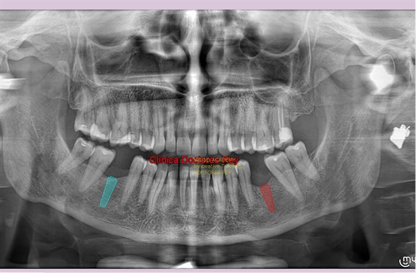
2-Implantes monobloque, en maxilar inferior. MIDI® TECHNIQUE® -US.
4x11,5. colocados con técnica ultarasónica MIDI®, hueso de calidad baja.
1- Implante de 9 mm de diámetro en maxilar superior post extracción + PRF. MIDI® TECHNIQUE®, no drill.
- Fracción 1 -PPGF-: Los primeros 500 microlitros (0,5 ml.) es un plasma pobre en plaquetas y, por lo tanto, pobre en factores de crecimiento.
- Fracción 2 -PGF-: Los siguientes 500 microlitros corresponderán a un plasma con un número de plaquetas similar al que tiene la sangre periférica.
- Fracción 3 -PRGF-: La fracción de plasma más rico en plaquetas y factores de crecimiento son los 500 microlitros que se encuentran encima de la serie blanca.
Las fracciones con mayor contenido de plaquetas son las que se encuentran inmediatamente por encima de la serie blanca (0,1 mL. por encima de los hematíes). Esta fracción contiene un plasma hasta 5 veces más concentrado en plaquetas que la sangre periférica1. La siguiente fracción contiene un plasma 4 veces más concentrado.
IMPLANTE EN MAXILAR SUPERIOR post extracción de diametro amplio 9 mm.
www.miditecnica.com
www.antonioreygil.es
www.mikrodentistry.com
www.bioket.it


MONONOBLOCK IMPLANT DIAMETER 9 MM. IMPLANTES VALLADOLID, DR  ANTONIO REY GIL


MONONOBLOCK IMPLANT DIAMETER 9 MM. IMPLANTES VALLADOLID, DR  ANTONIO REY GIL
MONONOBLOCK IMPLANT DIAMETER 9 MM. IMPLANTES VALLADOLID, DR  ANTONIO REY GILMONONOBLOCK IMPLANT DIAMETER 9 MM. IMPLANTES VALLADOLID, DR  ANTONIO REY GILMONONOBLOCK IMPLANT DIAMETER 9 MM. IMPLANTES VALLADOLID, DR  ANTONIO REY GILMONONOBLOCK IMPLANT DIAMETER 9 MM. IMPLANTES VALLADOLID, DR  ANTONIO REY GILMONONOBLOCK IMPLANT DIAMETER 9 MM. IMPLANTES VALLADOLID, DR  ANTONIO REY GIL
MONONOBLOCK IMPLANT DIAMETER 9 MM. IMPLANTES VALLADOLID, DR  ANTONIO REY GILMONONOBLOCK IMPLANT DIAMETER 9 MM. IMPLANTES VALLADOLID, DR  ANTONIO REY GIL
MONONOBLOCK IMPLANT DIAMETER 9 MM. IMPLANTES VALLADOLID, DR  ANTONIO REY GIL

MONONOBLOCK IMPLANT DIAMETER 9 MM. IMPLANTES VALLADOLID, DR  ANTONIO REY GIL



MONONOBLOCK IMPLANT DIAMETER 9 MM. IMPLANTES VALLADOLID, DR  ANTONIO REY GIL

MONONOBLOCK IMPLANT DIAMETER 9 MM. IMPLANTES VALLADOLID, DR  ANTONIO REY GILMONONOBLOCK IMPLANT DIAMETER 9 MM. IMPLANTES VALLADOLID, DR  ANTONIO REY GIL


MONONOBLOCK IMPLANT DIAMETER 9 MM. IMPLANTES VALLADOLID, DR  ANTONIO REY GIL


MONONOBLOCK IMPLANT DIAMETER 9 MM. IMPLANTES VALLADOLID, DR  ANTONIO REY GIL


MONONOBLOCK IMPLANT DIAMETER 9 MM. IMPLANTES VALLADOLID, DR  ANTONIO REY GIL


MONONOBLOCK IMPLANT DIAMETER 9 MM. IMPLANTES VALLADOLID, DR  ANTONIO REY GIL


MONONOBLOCK IMPLANT DIAMETER 9 MM. IMPLANTES VALLADOLID, DR  ANTONIO REY GIL

MONONOBLOCK IMPLANT DIAMETER 9 MM. IMPLANTES VALLADOLID, DR  ANTONIO REY GIL






MONONOBLOCK IMPLANT DIAMETER 9 MM. IMPLANTES VALLADOLID, DR  ANTONIO REY GIL
2-Implantes monobloque, en maxilar inferior. MIDI® TECHNIQUE® -US.
4x11,5. colocados con técnica ultarasónica MIDI®, hueso de calidad baja.
1- Implante de 9 mm de diámetro en maxilar superior post extracción + PRF. MIDI ®TECHNIQUE®, no drill.
- Fracción 1 -PPGF-: Los primeros 500 microlitros (0,5 ml.) es un plasma pobre en plaquetas y, por lo tanto, pobre en factores de crecimiento.
- Fracción 2 -PGF-: Los siguientes 500 microlitros corresponderán a un plasma con un número de plaquetas similar al que tiene la sangre periférica.
- Fracción 3 -PRGF-: La fracción de plasma más rico en plaquetas y factores de crecimiento son los 500 microlitros que se encuentran encima de la serie blanca.
Las fracciones con mayor contenido de plaquetas son las que se encuentran inmediatamente por encima de la serie blanca (0,1 mL. por encima de los hematíes). Esta fracción contiene un plasma hasta 5 veces más concentrado en plaquetas que la sangre periférica1. La siguiente fracción contiene un plasma 4 veces más concentrado.
 IMPLANTE EN MAXILAR SUPERIOR post extracción de diametro amplio 9 mm.
www.miditecnica.com
www.antonioreygil.es
www.mikrodentistry.com
www.bioket.it



































































You must be logged in to view comments.
Total Blog Activity
997
Total Bloggers
13,451
Total Blog Posts
4,671
Total Podcasts
1,788
Total Videos
Sponsors
Townie Perks
Townie® Poll
Do you routinely screen adult patients for sleep-disordered breathing or obstructive sleep apnea?
  
The Dentaltown Team, Farran Media Support
Phone: +1-480-445-9710
Email: support@dentaltown.com
©2026 Dentaltown, a division of Farran Media • All Rights Reserved
9633 S. 48th Street Suite 200 • Phoenix, AZ 85044 • Phone:+1-480-598-0001 • Fax:+1-480-598-3450