Clinical Mastery Series - Online
Clinical Mastery Series - Online
Practical and timely restorative content from today's top educators!!!
Blog By:
jennjanicki
jennjanicki

Displaying 26-50 of 64
1 2 3
Page 2 of 3
If, than you'll understand what makes dental CE so unique. We all remember those first couple of days (or even weeks) of dental school. Nerves ran high and the lack of familiar faces was a shock to the system. Thankfully, we got to know our classmates and each class had it’s own particular...  Read More
First Steps: Ceramic Porcelain Fracture Guidelines
by Dr. John Nosti A frustrating phenomenon in the dentistry world is when a patient presents with fracture to a ceramic restoration. This is one of the most disheartening scenarios that can happen in a dental office and because of this, many doctors may become so fearful of the fracture that they...  Read More
Overcontoured Teeth: The Fifth Violation of Smile Design
by Dr. Jason Olitsky When evaluating the esthetic principles inherent to successful smile design, there are 7 violations that are common and undermine the success of the finished cosmetic case. Here’s one of my top clinical tips for maximizing the outcome of your esthetic cases by...  Read More
Dentures without the Guesswork
by Dr. John Nosti Dentures can have many difficulties for dentists, who might find the process involves too much frustration and guesswork. In order to improve the experience in all aspects of the treatment planning process, I have put together a simple step by step guide that will help...  Read More
QuickSplint Fabrication Technique
By Dr. Lee Ann Brady In this short video Dr. Brady teaches you how to expediently fabricate a QuickSplint appliance for a patient.   Read More
Tips for Exquisite Intra-Oral Photography
By Dr. Jason Olitsky One of the most difficult shots to get in the intra-oral series is the retracted occlusal shots using mirrors. These images are critical in restorative treatment planning, evaluating arch form, and seeing the occlusal surfaces of teeth. Both images are really a “must...  Read More
#SmileStories: Who Says Single Centrals Are Impossible to Match?
Dr. Jason Olitsky aka The Smile Stylist tackled this tricky cosmetic case that features a two perfectly matching centrals. He sent the single restoration to , where it was crafted with Empress Aesthetic. When placed in the mouth it is a perfect lifelike match! on the Clinical Mastery blog! ...  Read More
Screw Vs. Cement Retained Implant Restorations
By Dr. Lee Ann Brady The decision of how to retain an implant restoration used to be an easy one. In the earlier years of dental, screw retained implants were the default approach. However, with further practice it suddenly became that people were almost exclusively using cement retained...  Read More
How to Take a Silicone Centric Relation Record
By Dr. Lee Ann Brady Learn how Dr. Brady takes a silicone centric relation record in this short video. to see more great videos on the Clinical Mastery Youtube channel!   Read More
Peri-Implant Esthetics Treatment Planning
By Dr. Lee Ann Brady As I complete the series on soft tissue esthetics around anterior implants we have worked our way back to assessing the existing architecture and planning for success. John Kois has simplified the risk assessment process when a natural tooth will be extracted prior to implant...  Read More
Use Visual Treatment Plans: Big Case Presentation Part I
by Jenn Janicki Executive Director Clinical Mastery Series Join us for a 6 part series presenting “best practices”, collected from more than 130 practices, who are getting the yes to large case treatment plans. For clinicians who have a high level of clinical training and confidence...  Read More
Anterior Veneer Prep for Closing Black Triangles
By Dr. Lee Ann Brady One of the more challenging aesthetic procedures, is eliminating black triangles. When a patient comes requesting this change, careful treatment planning is necessary. Treatment Planning Considerations One of the first things to assess is the height of the papilla and how...  Read More
Tools for Achieving Ideal Gingival Architecture
By Dr. Jason Olitsky A critical component in the aesthetics of every restorative case is gingival architecture. It is a rare case that does not require any gingival height changes. Even minor adjustments can make a huge difference in final outcomes. As tooth doctors, we tend to focus on the...  Read More
Shrink Wrap Provisionals Pictorial by Dr. John Nosti
By Dr. John Nosti We want our patients to come back for their insert appointment with gorgeous tissue. We want no issues or complications for our day of ceramics a fundamental key to success is the fabrication of your provisional restorations. Below is a photo tutorial of how I handle most...  Read More
#SmileStories: Using Photography in Case Presentation
By Dr. Jason Olitsky A 27 year old air traffic controller patient presented to the office for porcelain veneers. He has a girlfriend that has beautiful teeth and he desired a healthy and masculine smile. Evaluation of his smile was completed with the patient using a before picture of the full...  Read More
#SmileStories: Creating a Functional Cosmetic Treatment Plan
By Dr. John Nosti - #smilestories 23 year old female presented with erosion on the maxillary anteriors. This led to loss of anterior guidance, centric occlusion not coinciding with maximum intercuspation, resultant wear on the posterior segments, and over eruption of the anterior segment to keep...  Read More
Getting the Most Out of Your Provisionals
By Dr. Jason Olitsky Do you want more predictable smile designs and more consistent results? Spend more time on the details of the provisionals. Good cosmetic dentistry CE should include time on the provisional restorations. The provisionals have the ability to serve as the prototype for the...  Read More
Phasing Treatment to Meet Patient’s Goals - #smilestories
By Dr. John Nosti As clinicians we are obligated to diagnose and present clinical findings to our patients that address decay, disease, degeneration; pathology of all kinds. It’s our job to present a path of treatment and therapy to prevent, cure or treat the issues that we encounter....  Read More
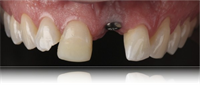
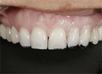
Mastering Dental Implant Restorations and Aesthetics - #smilestories
By Dr. Jason Olitsky Pre-operatively this patient presented with a missing central and existing implant fixture. I chose Empress ceramics with an e.Max abutment. The custom e.Max abutment was stained to match the adjacent prep shade. When working on a dental implant case, involving the centrals,...  Read More
Invisalign Treatment + Emprethins = Maximum Aesthetics - #smilestories
By Dr. Mike Smith As clinicians, our patients don't always choose optimal and the most conservative treatment, which is why this case was such a great experience for me and my whole team. This patient desired to correct her crowding, by expanding her arch, with her primary goal of improving her...  Read More
Using a Kois Dento-Facial Analyzer
Featuring Dr. Lee Ann Brady   Read More
Three Website Factors Most Dentists Forget About
By Dr. Josh Stelzer Gone are the days of huge, full color phone book ads being the cornerstone of a dental marketing strategy. Let’s face it – consumers aren’t using phone books when the internet is overflowing with dynamic, multimedia content to help them make choices. In...  Read More
Four Central Incisors: Fourth Violation of Smile Design
by Dr. Jason Olitsky When you are evaluating the esthetic principles inherent to successful smile design, there are 7 violations that are common and undermine the success of the finished cosmetic case. Here is one of my top clinical tips for maximizing the outcome of your esthetic cases by...  Read More
Your Best Practice: Photography in Two Minutes
Featuring Dr. Eric Jones   Read More
The Matrix you get at the Hardware Store: Plumbers Tape
By Dr. Lee Ann Brady There are a variety of techniques for seating veneers. Some people like to do 6-10 all at once, while others seat them two at a time. I am in the group that likes to seat restorations a small number at a time. One of the challenges when doing this is to not get resin cement on...  Read More
Displaying 26-50 of 64
1 2 3
Page 2 of 3
Total Blog Activity
997
Total Bloggers
13,451
Total Blog Posts
4,671
Total Podcasts
1,788
Total Videos
Sponsors
Townie Perks
Townie® Poll
Do you routinely screen adult patients for sleep-disordered breathing or obstructive sleep apnea?
  
The Dentaltown Team, Farran Media Support
Phone: +1-480-445-9710
Email: support@dentaltown.com
©2026 Dentaltown, a division of Farran Media • All Rights Reserved
9633 S. 48th Street Suite 200 • Phoenix, AZ 85044 • Phone:+1-480-598-0001 • Fax:+1-480-598-3450