We are aware of an issue preventing Safari from posting and are working to fix it. In the meantime, please use an alternative browser. Thank you for your patience.

Dental Specialist
Dental Specialist
Dental Knowledge provided by Orthodontist and Dental Specialist Dr. Kanaan.
ismilespecialists

Category:
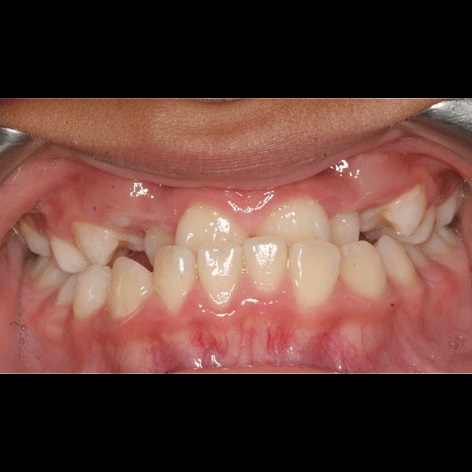
Overbite Correction With Braces
Overbites happen when the top teeth are pushed forward past the bottom jaw and teeth. In severe cases, overbites may require surgery to correct. It is important to treat an overbite because it does have a negative impact on your overall oral health. An untreated overbite can lead to...  Read More
Is Invisalign effective in correcting an open bite?
Can Invisalign fix an anterior Open Bite?  Invisalign was first introduced in 1997 by two Stanford University students that invented the first complete clear aligner system. At this point in time correcting an open bite with Invisalign was not recommended. As the years passed, a better...  Read More
Why are braces so expensive?
Braces have come a long way from their original inception. These orthodontic correction tools have helped millions of people to straighten their teeth. Braces do more than that though, they help us to improve our overall oral health. They can help you with your speech, and your bite to help when...  Read More
Categories: Orthodontics
Root Canal Treatment and Cost
What is Root Canal Treatment?   Root canal treatment, also known as ( endodontic treatment or root canal therapy ) is a dental procedure used to remove bacteria causing an infection in the root of your tooth.  A root canal is usually recommended when you have a more serious infection than just a...  Read More
Categories: Orthodontics
What are Gold Braces?
What Are Gold Braces? Gold braces are made up of the same components as traditional metal braces such as wires and brackets. However, they are made with high-grade stainless steel coated with 24-karat gold. Dr. Kanaan developed these  in 2006 specifically to help his patients with a nickel allergy....  Read More
Categories: Orthodontics
Underbite Correction Without Surgery
What is an underbite? An underbite is a dental medical term used to describe when the lower jaw of a person extends past the upper jaw. An underbite is a serious condition that can affect your chewing and give you a bad bite. It also affects your speech and your pronunciation. When the bottom teeth...  Read More
Categories: Orthodontics
Voted Top Orthodontist In Houston
Choosing an orthodontist in Houston with more than 100 orthodontic specialists should not be hard. However, finding an orthodontic engineer who can design your complex case to get the best beautiful smile at the most economical price is not easy! Dr. Kanaan is a board-certified orthodontic...  Read More
Categories: Orthodontics
Braces Types | Advantage and Disadvantages
When it comes to orthodontic correction a patient will most likely require some type of braces. The type will be determined depending on the individual person's dental needs.  Traditional metal braces are amongst the most common and are still as effective as ever.  Throughout the years,...  Read More
Categories: Orthodontics
Total Blog Activity
997
Total Bloggers
13,451
Total Blog Posts
4,671
Total Podcasts
1,788
Total Videos
Sponsors
Townie Perks
Townie® Poll
Do you still use film?
  
The Dentaltown Team, Farran Media Support
Phone: +1-480-445-9710
Email: support@dentaltown.com
©2026 Dentaltown, a division of Farran Media • All Rights Reserved
9633 S. 48th Street Suite 200 • Phoenix, AZ 85044 • Phone:+1-480-598-0001 • Fax:+1-480-598-3450