An Affordable Aesthetic by Dr. Tu-Anh Vu

An Affordable Aesthetic 

A full-mouth rehab case completed with a stent and composite resin


by Dr. Tu-Anh Vu


Introduction
The objective of this case study is to demonstrate a minimally invasive approach of a full-mouth rehabilitation in a case of severe erosion. Treated with a direct composite technique using a stent, this method provides a low-cost solution to worn dentition that can have a functional yet aesthetic outcome.

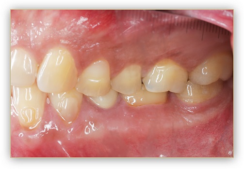
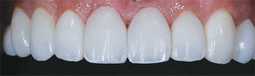
This 40-year-old man (Figs. 1a–1f) has been my patient for the past five years, coming in every six months for recalls. More than 10 years ago, he was advised to consider a full-mouth rehab treatment because of his bruxism, but thought little of it because he didn’t experience any pain. We gave him referrals to see a prosthodontist, but he never went for a consultation.

An Affordable Aesthetic
 
An Affordable Aesthetic
 
An Affordable Aesthetic
 
An Affordable Aesthetic
Fig. 1a-f
An Affordable Aesthetic
 
An Affordable Aesthetic
 


When the patient presented to my office, he had no immediate issues or medical history that were cause for concern, such as reflux disease or GERD. For the past year, at our suggestion, he had been getting Botox injections every four months in the masseter muscle to help with clenching and grinding. He reported that the Botox helped alleviate his grinding considerably, but it would wear off around the two-month period. Because of financial reasons, his most recent injection was more than six months ago. The patient was classified as an ASA I (healthy) patient. The patient completed the Lamberg Sleep Questionnaire. His risk level for having a sleep-related breathing disorder was moderate so we recommended he get a sleep study.

Initial Presentation
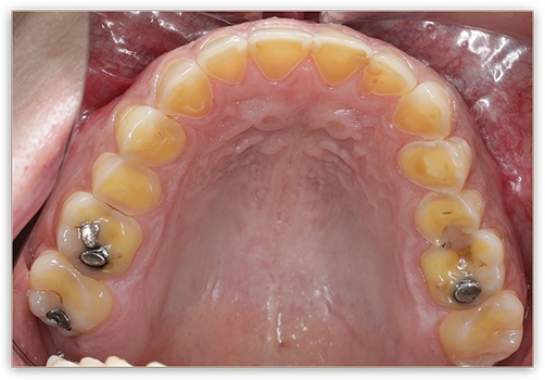
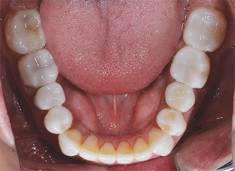
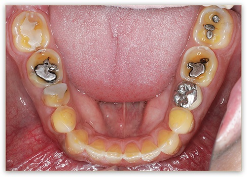
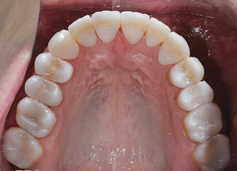
Periodontal health: Recession was present on the following teeth: #5, #14, #21, #22, #28 and #29, but the classification would be Stage 1. Probing depths were 3 mm or less with less than 2 mm of horizontal bone loss.

Biomechanics risk: Defective restorations were on teeth #13 (DO), #14 (MO), #21 (B), #22 (B), #29 (DO) and #31 (MO). Erosion and attrition were noticed on all present teeth. Assessing the patient’s biomechanical risk would place this patient in a high-risk category because the patient has severe attrition on all natural teeth and generalized severe erosion and abrasion.

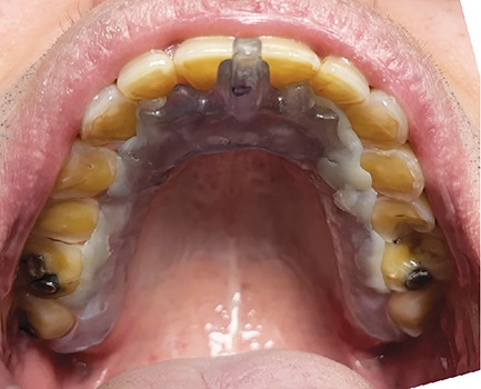
Functional: The patient reported noticing both clenching and grinding in the daytime, and his spouse heard him grinding at night. The patient had been wearing a nightguard for the past 10 years. The upper nightguard made two years ago showed linear lateral movements (Fig. 2), a sign of parafunctional bruxism at night. The patient has an abnormal neuromuscular habitual bruxism, with severe attrition on all natural teeth. His functional diagnosis was occlusal dysfunction and parafunction, which placed the patient at a high risk in the functional risk assessment because he had excessive bite force and excessive wear on teeth.

An Affordable Aesthetic
Fig. 2

TMJ joint findings: The functional evaluation of TMJ was initiated with a maximum opening vertical of 45 mm with no deviation on opening and no joint sounds noticed. The load and immobilization tests were negative. Muscle palpation of temporalis and masseter muscles were normal.

Lateral ceph measurements: SNA was 80 degrees and SNB measured 85 degrees (normal being 82 and 79 degrees, respectively). The patient’s lateral ceph measurement (Fig. 3) shows the lower jaw is a little more forward with reference to the cranial base, and the maxilla is a little back.
An Affordable Aesthetic
Fig. 3

Dentofacial: Using Kois Facial Reference Glasses 3.0 and photos of the patient in different smile poses—repose, Duchenne and teeth-separated retracted view (Fig. 4)—a dentofacial analysis was performed that showed the patient’s right cuspid display in repose at –2 mm. The patient had a high lip dynamic and an excessive display of teeth.
An Affordable Aesthetic
Fig. 4

Facial integration: An iTero scanner was used to scan patient’s existing bite, and Exocad was used to design a Kois deprogrammer. I used a SprintRay Pro 55S printer with NightGuard Firm resin. Patient’s models were also printed using SprintRay resin Dental Model Tan.


Treatment Planning
The patient wore the deprogrammer for one week. Composite resin was placed in the interproximal areas of the deprogrammer and light cured in the patient’s mouth for extra retention on the lingual (Fig. 5).
An Affordable Aesthetic
Fig. 5

A reproducible dot was confirmed on the deprogrammer platform after one week of wear.
An iTero scanner was used to scan the patient while using the deprogrammer to find the centric relation bite. We had the patient bite on the deprogrammer and then scanned the patient’s bite.

The Kois Dento-Facial Analyzer system was used to mount the models on the articulator (Panadent).

Knowing that we would do a full-mouth rehabilitation on the patient, we had to consider how to manage the bite. We decided that we would use centric relation (CR) and we will increase the occlusal vertical dimension.

We then had to decide how to open the vertical—either through direct or indirect restoration. Because of the patient’s limited finances, it was decided that we would go with direct restorations. Later, the patient could convert these to indirect cohesive ceramics. With the vertical dimension of occlusion already established with the composites, it would allow the patient to do a few crowns to convert the case.

With this treatment plan in mind, we decided upon the execution of the case. This could be done using a stent or injection molding with a nanocomposite. The rationale for going with the stent was that the patient bruxes, and using a nanocomposite showed significantly less wear at bearing cusps versus any other type of composites.1

Medical precautions: Based on his medical history, we asked the patient to visit his primary care doctor to ask about possible GERD and to request a sleep study.

For the diagnostic wax-up, we mounted the printed cast on the Panadent articular with the CR bite registration taken from the deprogrammer. From the dentofacial analysis we knew the right cuspid was -2 mm. We wanted to lengthen teeth #8 and #9 an additional 2 mm. This would make them 10 mm in length total, which is within the normal range for central length.

To prepare the model, we had to reduce the enamel slightly on the buccal of tooth #2 and the distal buccal of tooth #14 so that the incisal distance from teeth #8 and #9 from the wax-up plate was 10 mm (Fig. 6).
An Affordable Aesthetic
Fig. 6

Teeth #6–#11 were waxed up to the plate with the exception of teeth #7 and #10, which we made 0.5 mm shorter to the plate for aesthetic appearance (Figs. 7a–7b).

An Affordable Aesthetic
Fig.7a
An Affordable Aesthetic
Fig.7b


Buccally and lingually, 0.2 mm of wax was added to replace the missing enamel and for composite strength. To develop the maxillary posterior plane, we lengthened teeth #2–#5, and #12–#15 to level to the wax-up plane, adding an additional 0.5 mm–1 mm of wax to the posterior teeth (Figs. 8a and 8b) and 0.2 mm wax was added on all maxillary posterior teeth labially and lingually to strengthen the composite. This replaced missing enamel and helped develop full contour of the posterior teeth.
An Affordable Aesthetic
Fig.8a
An Affordable Aesthetic
Fig.8b


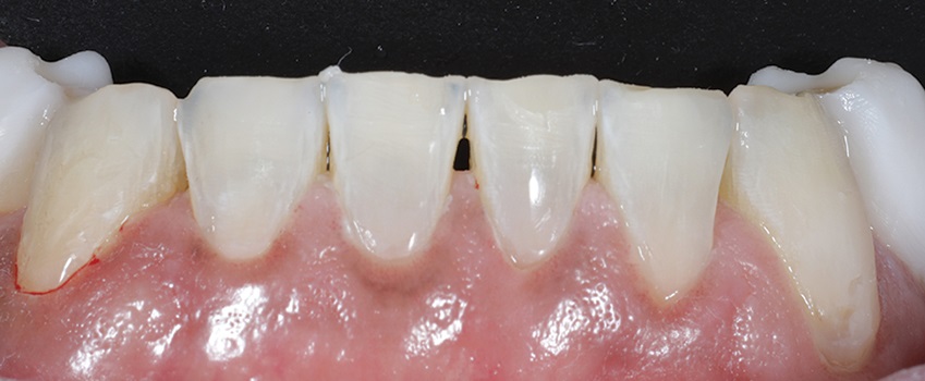
We saw from the patient’s dental facial analysis that his mandibular lip dynamic was high at 5.3 mm. We didn’t want to lengthen the lower anterior teeth too much since he was showing his lower teeth already, but we wanted to lengthen them enough to cover the wear on them. We lengthened teeth #22–#27 by 1 mm. We also added 0.2 mm of wax on the labial and lingual surfaces of teeth #22–#27 (Figs. 9a and 9b).
An Affordable Aesthetic
Fig.9a
An Affordable Aesthetic
Fig.9b


To develop the mandibular posterior occlusal plane, we lengthened teeth #18–#21 and #28–#31 by 0.5 mm–1 mm to level the plane (Figs. 10a and 10b). We noted that the intra-arch midline was slightly off. The patient said it didn’t bother him, so no alteration was planned (Fig. 11).
An Affordable Aesthetic
Fig. 10a
An Affordable Aesthetic
Fig.10b

An Affordable Aesthetic
Fig. 11

Test drive smile: Using our diagnostic wax up, a putty matrix was made using Ivoclar Sil-Tech. A bisacryl temp (DMG America Luxatemp) in shade B1 was injected into the putty matrix and placed. After the excess was removed and occlusion was balanced, we scanned the patient’s teeth with the mold in his mouth using an iTero scanner (Fig. 12).
An Affordable Aesthetic
Fig. 12

We wanted to make sure the foundations of all teeth were healthy before starting the full-mouth rehab, so any questionable existing fillings were redone with composites. Another scan was taken for the patient after all the existing restorations were redone (Figs. 13a and 13b).
An Affordable Aesthetic
Fig. 13a
An Affordable Aesthetic
Fig.3b


The STL file of the patient’s current mouth with the new fillings and the STL file of the patient’s approved test drive were meshed using Exocad. The occlusal anatomy of the posterior teeth was improved upon using the software. This new STL file with the improved design of our diagnostic wax-up was used as the final template to make the stent. A model with every other tooth was printed using SprintRay Resin Tan, as well as a model with the full diagnostic wax-up (Figs. 14a and 14b). Two vacuum stents were made using the printed casts.
An Affordable Aesthetic
Fig. 14a
An Affordable Aesthetic
Fig.14b


Gingival tissue assessment: Patient has a high lip dynamic and shows more gingival tissue than what is considered aesthetically pleasing. We crown lengthened teeth #7–#10 to match canines #6 and #11(Fig. 15a–b).
An Affordable Aesthetic
Fig. 15


Treatment
To fabricate a crown on tooth #20 at the correct vertical dimension of occlusion (VDO), we used the STL file of our final design and the copy feature of the Exocad program to design a lithium disilicate (e.max) crown. We decided to use e.max for its high strength and because we wanted to chemically bond the crown to the tooth structure since the existing prep tooth was short in clinical height. An IPS e.max block in shade B1 was chosen to mill out a crown using our VHF Z4 wet mill. An IPS e.max CAD Crystal stain and glaze was used to characterize the crown before using the Programat CS6 to crystallize the restoration. The intaglio surface of the crown was etched with 5% hydrofluoric acid for 20 seconds, then cleaned with 30% phosphoric acid for 60 seconds. It was rinsed with water and then air dried before being primed with silane solution for 60 seconds. Tooth #20 was particle abraded with 27-micron aluminum oxide at 40 psi, rinsed and blotted dry. Tooth #20 was then etched and bonded (3M Scotchbond Universal), and light-cured for 10 seconds. 3M RelyX Unicem 2 in translucent was used to cement the crown

To prepare the natural teeth for the composite restoration, a red-striped football bur was used to roughen the enamel. All teeth were particle abraded with 27-micron aluminum oxide at 40 psi (using a PrepStart) (Fig. 16a–16o). Teflon was used on the adjacent teeth. Etched with 37% phosphoric acid, bonded using 3M Scothbond Universal Adhesive and then light-cured. Heated composite (Filtek Supreme Ultra in Body XW shade) was placed on vacuum shells in excess. We used a dental vibration instrument to vibrate composite through the vacuum shells. They were lightcured for 60 seconds on the buccal and lingual surfaces. The excess was removed and the contacts were cleaned with polishing strips (Contact EZ). Every other tooth was completed using the same steps with the cast before we used the cast with all the teeth.
An Affordable Aesthetic
Fig. 16a
An Affordable Aesthetic
Fig.16b
An Affordable Aesthetic
Fig.16c
An Affordable Aesthetic
Fig. 16d
An Affordable Aesthetic
Fig.16e
An Affordable Aesthetic
Fig.16f
An Affordable Aesthetic
Fig. 16g
An Affordable Aesthetic
Fig.16h
An Affordable Aesthetic
Fig.16i
An Affordable Aesthetic
Fig. 16j
An Affordable Aesthetic
Fig. 16k
An Affordable Aesthetic
Fig.16l
An Affordable Aesthetic
Fig.16m
An Affordable Aesthetic
Fig.16n
An Affordable Aesthetic
Fig. 16o


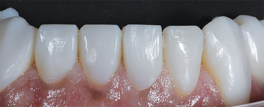
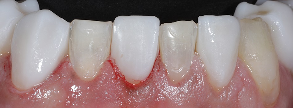
Once all the build-ups were completed, a rubber dam was placed from teeth #4–#13—premolar to premolar. Cut back was completed on teeth #5–#12. Tints were placed on teeth for translucency and characteristics. Gray and violet tints from Cosmedent were used on the incisal edge of the teeth. Pink opaque tint from Cosmedent was used to create a halo effect on the incisal edge. Tokuyama Estelite composite shade BL2 was used to build up incisal lobes. Cosmedent microfill composite in incisal light was used as a final layer on all teeth because a microfill would have better polish ability and would hold the polish better over time.

Secondary and tertiary anatomy were created on the anterior teeth using a red-striped flame-shaped bur. Clinician’s Choice A.S.A.P. dental polishers were used to polish composites.

A leaf gauge was used to equilibrate the bite. We had the patient bite on the leaf gauge until the posterior teeth touched and slowly decreased the amount of leaves on the gauge until the bite was balanced (Fig. 17a–17g).
An Affordable Aesthetic
Fig. 17a
An Affordable Aesthetic
Fig.17b
An Affordable Aesthetic
Fig. 17c
An Affordable Aesthetic
Fig. 17d
An Affordable Aesthetic
Fig. 17e
An Affordable Aesthetic
Fig. 17f
An Affordable Aesthetic
Fig. 17g


A leaf gauge was used to open the bite before it was scanned. The STL file was exported to Exocad. A nightguard for the upper arch was designed and printed with SprintRay Flex resin.

Predicted occurrences: As we do a treatment, we always want to lower any potential risks. I would predict that the patient is still a high biomechanical risk due to his diet, which is causing erosion. He is still at a high functional risk due to his parafunctional habit. The composite can fracture and recurrent caries are possible. When this is the case, the composite can easily be repaired or transitioned to a more permanent restoration like that of a ceramic crown.


Conclusion
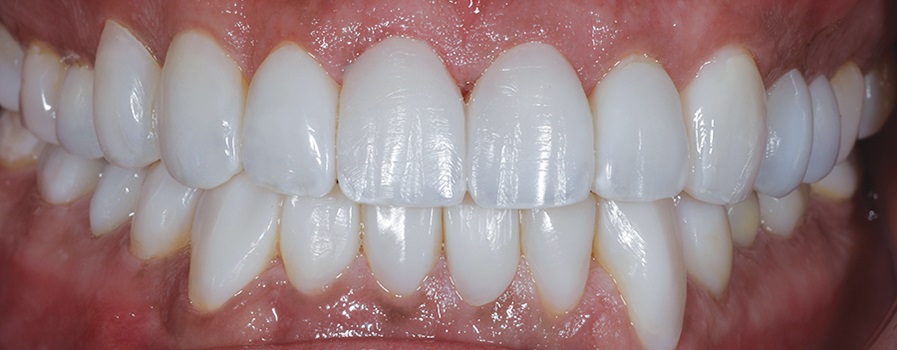
This case is an example of an interceptive treatment that has the potential to stabilize tooth wear progression using a no-prep approach and composite resins. This is an important consideration when the patient is young and shows signs of attrition and erosion. The additional benefit of this treatment approach is its affordability. In this case, there were minimal or no lab fees. When thinking about treatment options for attrition and erosion for young patients, it is important to think about a lifelong approach, first to slow down enamel loss and then to make future treatment affordable. This consideration relates not only to the financial impact on the patient but also to the biomechanical implications of a potentially lifelong pathology.

From this case study, we see that applying resin composite with a direct technique using a stent is a low-cost solution to worn dentition which can have a functional and aesthetic outcome.

References
1. Ning, K et al. “Wear behavior of a microhybrid composite vs. a nanocomposite in the treatment of severe tooth wear patients: A 5-year clinical study.” Dental materials: official publication of the Academy of Dental Materials vol. 37,12 (2021): 1819-1827. doi:10.1016/j.dental.2021.09.011

Author Bio
Dr. Tu-Anh Vu Dr. Tu-Anh Vu owns a successful practice in Brooklyn. She is a 2022 Incisal Edge 40 Under 40 honoree, a magna cum laude graduate of Bryn Mawr College in chemistry. She is a graduate of the University of Pennsylvania School of Dental Medicine. She is also a Kois Center graduate. Her office was featured in October 2021 issue of Dentaltown. In her free time, she loves being a mother to her two wonderful kids, Gemma and Juju. She lives in Brooklyn Heights with her husband. Vu would like to thank Drs. John Kois, Elizabeth Bakeman, Amr Ramadan and Michael Zidile



Sponsors
Townie Perks
Townie® Poll
Do you routinely screen adult patients for sleep-disordered breathing or obstructive sleep apnea?
  
The Dentaltown Team, Farran Media Support
Phone: +1-480-445-9710
Email: support@dentaltown.com
©2026 Dentaltown, a division of Farran Media • All Rights Reserved
9633 S. 48th Street Suite 200 • Phoenix, AZ 85044 • Phone:+1-480-598-0001 • Fax:+1-480-598-3450