Show Your Work: Filling the Gaps by Dr. Robert Rosenfeld

Show Your Work: Filling the Gaps 

Treating a patient’s “black triangles” with a one-shade chameleon-like composite and a specialized matrix system


by Dr. Robert Rosenfeld


Show Your Work: Filling the Gaps
To see and read this article in its original layout form, click here.
In recent years, patients have become increasingly aware of—and frequently demand—aesthetic options for dental treatment. Today, patients can research treatment options online and often want to preserve their teeth by exploring more conservative approaches to address their concerns. One of these concerns is the dreaded “black triangle,” an excessively large gingival embrasure not filled with gingival tissues. This absence of interdental papilla may result from a number of factors, including periodontal disease, a more triangular tooth anatomy and root angulations. Whatever the cause, the resulting appearance is universally disliked by patients.

In a landmark 1992 paper, Tarnow et al. described the conditions that can predict the presence or absence of a papilla. The authors showed that the critical factor is the distance from the crest of interdental bone to the most apical extent of the interproximal contact area. Their study, based on 288 patients, showed that when the contact point was within 5 mm of the crestal bone, the papilla was present in 100% of samples. Conversely, if the distance from the crest of bone to the most apical aspect of the contact is greater than 7 mm, the papilla is present only 27% of the time.1

For square-shaped teeth with long contact areas, the likelihood of black triangles being present is minimal, compared with triangular teeth that have narrow, more incisally positioned contact points. Also, when the proper conditions exist, the closure of a black triangle by a combination of conservative restorative methods and natural regeneration should be possible.

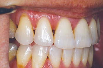
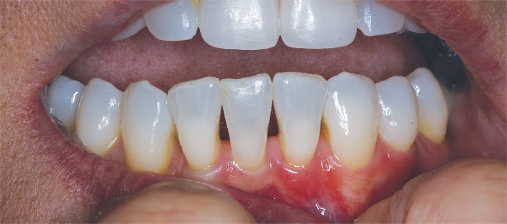
Years ago, a patient presented to my office with a complaint about black triangles. She had undergone orthodontic treatment in a multispecialty practice. The approach to her lower anterior crowding involved the removal of one lower incisor. As you can see in Fig. 1, the result was properly aligned teeth with a very unattractive appearance. Using standard Mylar matrix strips and some trial and error techniques, I was able to achieve a satisfactory result (Fig. 2), but it was challenging and unpredictable, and it hardly encouraged me to want to take on other similar cases.

Black Triangles Dental Case
Fig. 1
Black Triangles Dental Case
Fig. 2


Then, in 2018, Bioclear released a kit specifically designed to conservatively restore black triangles. Appropriately named the Black Triangle matrix system, it involves the use of a colorcoded gauge to help in selection of the proper anatomically designed cellulose acetate matrix (four sizes included), a disclosing solution and a set of “saws” to lighten interproximal contacts, which then allows the matrices to seat without deformation.

A composite-based solution
Recently, a 49-year-old female patient was referred to my office by an orthodontist after she had completed Invisalign treatment. The patient had very triangularly shaped incisors and was left with black triangles, which she found unsightly. She sought treatment at the offices of two different restorative dentists, both of whom told her it was not possible to treat the problem with “bonding,” and they both offered only porcelain laminate veneers as a solution. The patient did not want to undertake such invasive treatment of her virgin teeth and asked her orthodontist for a referral. That’s where I became involved.

I explained to the patient that, using the aforementioned kit, we could predictably address her problem without unnecessarily destroying healthy tooth structure. The patient also was concerned that the material being added to her teeth might not be a good match to the color of her own enamel. I explained that we intended to use a composite resin bonding material that should be able to ensure a good color compatibility.

Omnichroma (Tokuyama Dental) was the first composite resin to employ the concept of “structural color”—in essence, the size of the particles in the resin enables the interaction of light in such a way as to allow the material to mimic the color of the adjacent tooth structure. In my experience, the material has proven itself to accomplish such good color-matching that I was confident I could achieve the patient’s goals. Omnichroma Flow, the flowable version of the material, was chosen for this application. The following case study demonstrates in detail the successful use of the Bioclear Black Triangle system with Tokuyama’s Omnichroma Flow composite resin.

Treatment plan
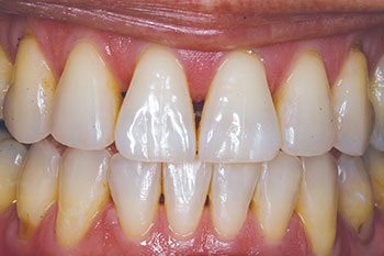
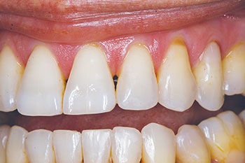
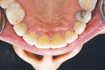
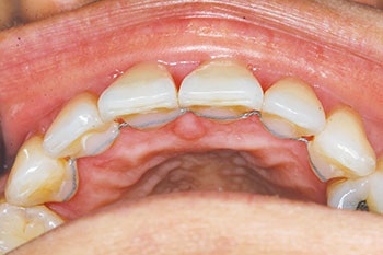
The patient’s recently completed orthodontic treatment had very nicely aligned the teeth, but their very triangular shape resulted in significant black triangles (Figs. 3–6). Fixed retention had been placed (Fig. 7), which had to be removed to allow access to the interproximal spaces for treatment. We first undertook the closure of the black triangle between Teeth #8 and #9. After rubber dam isolation, the disclosing solution was applied to the teeth to identify the presence of any biofilm, which would interfere with optimal bonding (Fig. 8). The biofilm was removed with the use of particle abrasion (Microetcher, Danville Engineering). Then, the gauge from the kit (Fig. 9 shows the gauge in use, but during a different case) was used to determine the proper size matrices to be used.
Black Triangles Dental Case
Fig. 3
Black Triangles Dental Case
Fig. 4
Black Triangles Dental Case
Fig. 5
Black Triangles Dental Case
Fig. 6

Black Triangles Dental Case
Fig. 7
Black Triangles Dental Case
Fig. 8
Black Triangles Dental Case
Fig. 9


The double-sided interproximal saws (Fig. 10) were used—coarse, medium, then fine—to lighten the contacts to allow proper seating of the back-to back matrices (Fig. 11). When properly placed, the two matrices stabilize each other. I first acid-etched the enamel, followed by copious rinsing with water, application of my adhesive (Clearfil Protect, Kuraray America) and light-curing.
Black Triangles Dental Case
Fig. 10
Black Triangles Dental Case
Fig.11


The placement of Omnichroma flowable composite, through the “injection molding” process, followed by light-curing, allowed a simplified matching of shades (Figs. 12–14). I did not do my final shaping and polishing of these “additions” at this juncture because I didn’t want to chance the introduction of any gingival bleeding, which would complicate the closure of the other two black triangles.
Black Triangles Dental Case
Fig. 12
Black Triangles Dental Case
Fig. 13
Black Triangles Dental Case
Fig. 14


I then repeated the process described above to close the triangles between Teeth #9 and 10 (Fig. 15) and then between #7 and #8 (Fig. 16).

Black Triangles Dental Case
Fig. 15
Black Triangles Dental Case
Fig. 16

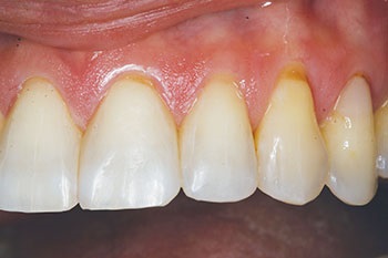
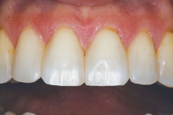
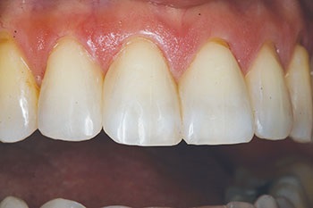
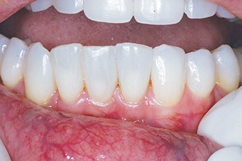
With the use of ultrafine diamond and multi fluted carbide finishing burs (Brasseler), followed by polishing discs (Shofu), we were able to achieve a result with which the patient was extremely pleased (Figs. 17–21).
Black Triangles Dental Case
Fig. 17
Black Triangles Dental Case
Fig. 18
Black Triangles Dental Case
Fig. 19

Black Triangles Dental Case
Fig. 20
Black Triangles Dental Case
Fig. 21


Even in cases where the result is not an immediate elimination of the black triangle, the reduction of the distance from the crest of interproximal bone to the most apical extent of the contact area to less than 5 mm predicts that the papilla may regenerate over time.
The technique shown here using the Bioclear Black Triangle System and Omnichroma flowable composite is not difficult to master—instructional videos can be found on YouTube—and it can be a very worthwhile addition to your treatment offerings.


Reference
1. Tarnow DP, Magner AW, Fletcher P. The effect of the distance from the contact point to the crest of bone on the presence or absence of the interproximal dental papilla. J Periodontol. 1992 Dec; 63(12):995–6.


Author Bio
Dr. Robert Rosenfeld Dr. Robert Rosenfeld is a wet-fingered general dentist who practices in Westwood, New Jersey. A graduate of Cornell University and Northwestern University Dental School, Rosenfeld has advanced training in aesthetic dentistry and is on the faculty of the Nash Institute for Dental Learning in Charlotte, North Carolina. He serves as a key opinion leader to several dental manufacturers and has lectured on various subjects in restorative dentistry. He is a fellow in the International Academy for Dental Facial Esthetics.

Sponsors
Townie Perks
Townie® Poll
Do you routinely screen adult patients for sleep-disordered breathing or obstructive sleep apnea?
  
The Dentaltown Team, Farran Media Support
Phone: +1-480-445-9710
Email: support@dentaltown.com
©2026 Dentaltown, a division of Farran Media • All Rights Reserved
9633 S. 48th Street Suite 200 • Phoenix, AZ 85044 • Phone:+1-480-598-0001 • Fax:+1-480-598-3450