Autogenous Soft Tissue Grafting by Dr. David Paulson

Categories: Periodontics;
Autogenous Soft Tissue Grafting  

Selecting a connective tissue graft or a free gingival graft


by Dr. David Paulson


There are many soft tissue grafting techniques available today, but two of the most common remain the free gingival graft and connective tissue graft. Both are autogenous grafts, meaning they are from the patient’s own body, and are free soft tissue grafts, meaning they are completely excised from one part of the body (usually the patient’s palate) and transferred to a separate recipient site. From a patient’s perspective, these surgical procedures may seem very similar and might all be considered a “gum graft,” but there are distinguishing differences between the two in regard to indications and techniques.

The primary anatomic difference between the two types of grafts is that free gingival grafts (Figs. 1a–1c) retain the overlying epithelium1 while subepithelial connective tissue grafts (Figs. 2a–c) exclude the epithelium and are composed only of connective tissue and sometimes adipose tissue, glandular tissue and/or periosteum, depending on the depth they are harvested from.2

Autogenous Soft Tissue Grafting
Autogenous Soft Tissue Grafting
Autogenous Soft Tissue Grafting
      Figs. 1a-c: Epithelialized free gingival grafts.

Autogenous Soft Tissue Grafting
Autogenous Soft Tissue Grafting
Autogenous Soft Tissue Grafting
      Figs. 2a-c: Subepithelial connective tissue grafts.


Goals of tissue grafting

The goals of performing soft tissue grafts usually fall under two categories: root coverage and soft tissue augmentation. We almost always try to obtain some amount of root coverage and/or aim to increase the amount of tissue. There may be some instances where root coverage is not attempted at all or the goal is just simply adding keratinized tissue—on an edentulous ridge, around implants lacking keratinized gingiva or during vestibuloplasty—but in general, root coverage is what a major portion of tissue grafts are performed for.

Root coverage from a soft tissue graft will either be complete or partial after final healing of the surgical site. A new classification system adopted by the American Academy of Periodontology is helpful in classifying recession defects as Recession Type 1, 2 or 3.3 This classification system helps give clinicians a better idea of how much root coverage is achievable before surgery. Complete root coverage is possible only when there is no interproximal attachment loss on the adjacent teeth and there is adequate blood supply for the graft to heal at the level of the cementoenamel junction (CEJ). Partial root coverage may be the goal and expected outcome in cases where interproximal attachment loss is present. These cases are still successful and increase the health of a particular site, but the expected outcomes need to be clearly communicated with the patient beforehand.

Increasing the amount of tissue can take on various forms, including increasing tissue thickness, increasing the amount of attached gingiva or adding keratinized tissue. These can be particularly helpful in patients with thin gingival phenotypes, implants lacking keratinized gingiva and in patients undergoing orthodontic treatment who have minimal attached gingiva.

More than likely, you’re seeing some form of soft tissue defect in your practice on a daily basis. This could be some recession, thin tissue resulting in crown margins or implant abutments being visible through the tissue, a lack of keratinized gingiva, or an aberrant frenum attachment. All of these situations can often be improved by treatment with a soft tissue graft, but deciding which type of grafting procedure to employ is critical to a successful outcome.

Connective tissue graft case

A common clinical scenario we see is a tooth presenting with recession and some sort of Class V buccal restoration. The cementoenamel junction is no longer visible and the restoration may extend both coronal and apical to the CEJ.

Soft tissue grafts do not adhere to most restorative materials, including the most commonly used composite resins and amalgam. If these materials are present, they need to be removed before surgery, at least to the level of the CEJ or line of expected root coverage.

In the instance below (Figs. 3–11), we need to visualize where the CEJ of the tooth was originally located by using landmarks such as adjacent teeth and the interproximal CEJ of the same tooth.4

It is important to note that the soft tissue cannot be grafted to cover coronal to the location of the original height of the CEJ. The only restorative materials that have shown the ability to have connective tissue or epithelial adhesion are glass ionomers.5

Autogenous Soft Tissue Grafting
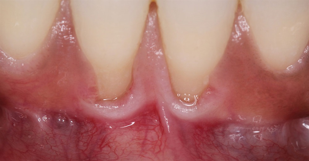
Fig. 3: Patient presents with localized recession on tooth #11.
Autogenous Soft Tissue Grafting
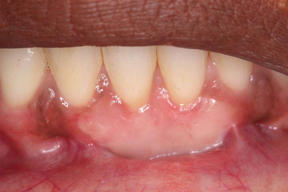
Fig. 4: Localized recession and Class V buccal composite restoration causing inflammation.
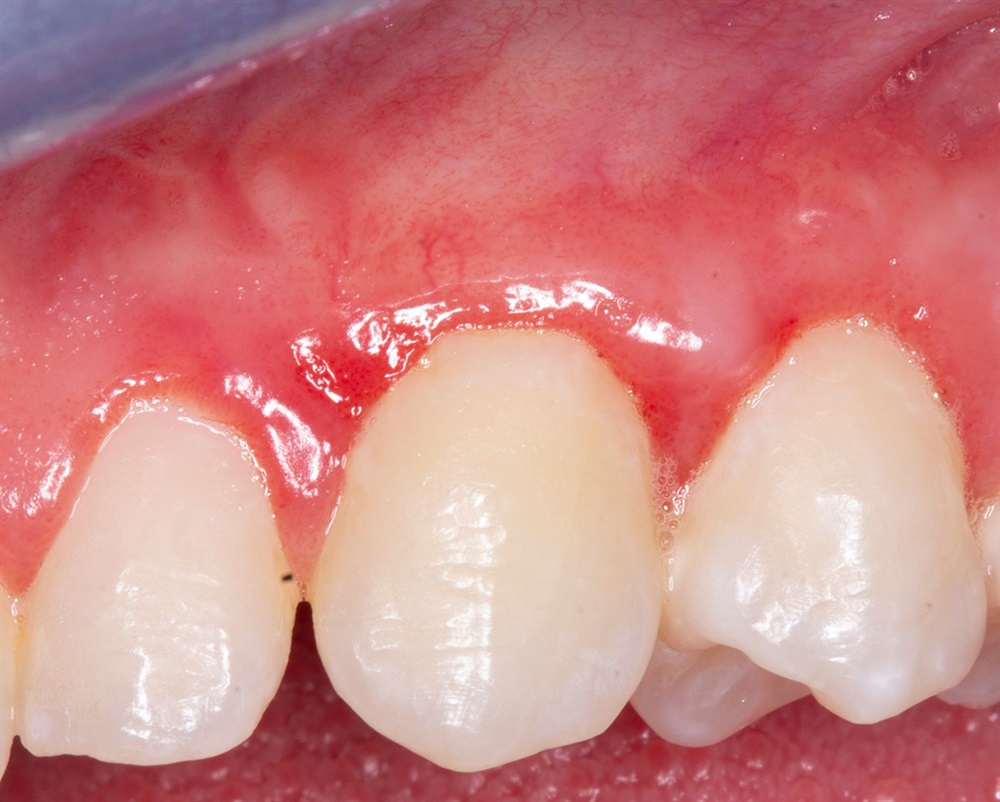
Autogenous Soft Tissue Grafting
Fig. 5: Recontouring of restoration with carbide finishing bur and localized scaling results in healthier tissue appearance at 1 month. This is the day of surgery.
Autogenous Soft Tissue Grafting
Fig. 6: Flap reflected.

Autogenous Soft Tissue Grafting
Fig. 7: Subepithelial connective tissue graft harvested.
Autogenous Soft Tissue Grafting
Fig. 8: Graft sutured into place with resorbable sutures just apical to the cementoenamel junction.
Autogenous Soft Tissue Grafting
Fig. 9: Coronal advancement of the flap and suturing for primary closure and complete coverage of the graft.
Autogenous Soft Tissue Grafting
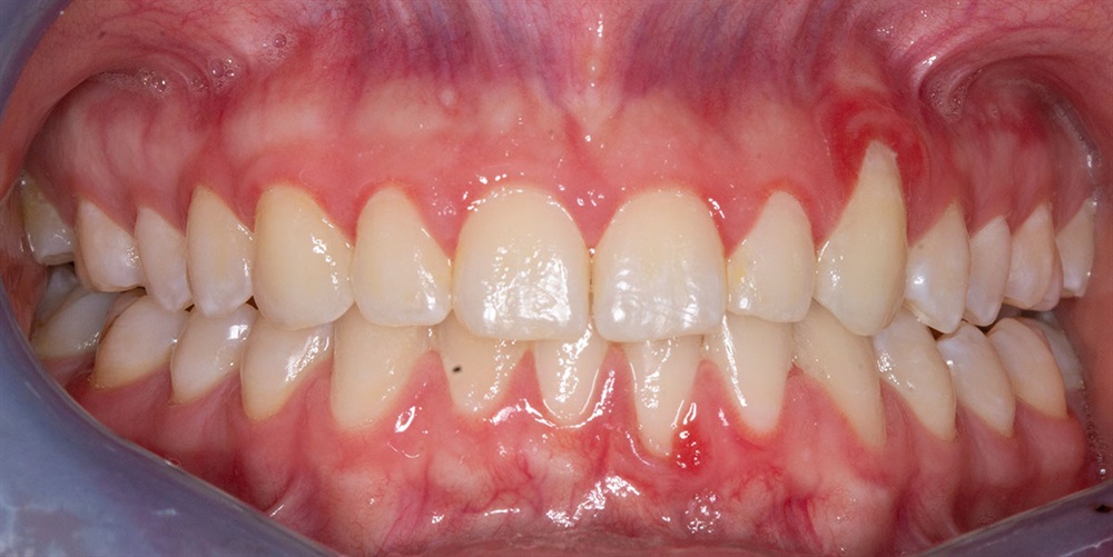
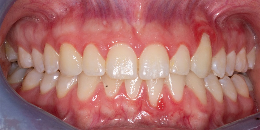
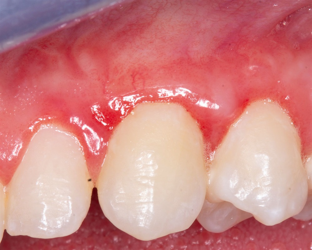
Fig. 10: Complete root coverage obtained eight weeks postoperatively.

Autogenous Soft Tissue Grafting
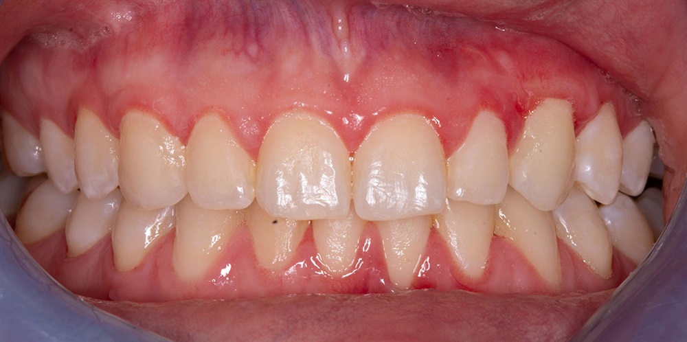
Figs. 11a-d: Before and after.
Autogenous Soft Tissue Grafting
Autogenous Soft Tissue Grafting
Autogenous Soft Tissue Grafting


Noncarious cervical lesions

Noncarious cervical lesions present a similar challenge to what was described previously with Class V buccal restorations. The CEJ is no longer visible and we need to estimate where it was to determine how much soft tissue coverage can be achieved.

The decision about whether to place a restoration depends on the location of the defect. If the defect is nearly all below the level of the CEJ and primarily composed of root surface, no restoration is needed; a tissue graft can fill that void and cover the defect.

If the defect extends above the level of the CEJ in the area of the enamel, then the restorative dentist may want to place a restoration to re-create the CEJ. Whether this is done before or after grafting is a decision that needs to be agreed upon by the restorative dentist and the periodontist. But it is important to keep in mind that the maximum root coverage achievable is at the level of the CEJ if the interproximal attachment is intact. If there is interproximal attachment loss, the amount of root coverage that is achievable decreases.

Free gingival graft case

Another common clinical situation that arises is the presence of localized recession associated with a frenum attachment and minimal or no attached keratinized gingiva (Fig. 12). You may see these frequently in your practice on the buccal surfaces of mandibular central incisors. A free gingival graft is an excellent treatment technique to address all the clinical concerns at once.

Free gingival grafts (Figs. 13–15) are able to obtain some root coverage (albeit less predictably than connective tissue grafts6), increase the amount of attached keratinized gingiva and relieve frenum attachments. While the aesthetics of a healed free gingival graft are less desirable than those of a connective tissue graft, the gingiva of mandibular central incisors is rarely fully displayed by patients.

Autogenous Soft Tissue Grafting
Fig. 12: Preoperative photo of #24 and #25. Note the localized 3 mm recession, 1 mm of keratinized gingiva and a frenum attachment.
Autogenous Soft Tissue Grafting
Fig. 13: Recipient bed preparation. Creation of a butt joint with the papillae and extending 3 mm laterally and apically from the exposed root surfaces.
Autogenous Soft Tissue Grafting
Fig. 14: Graft stabilized in place with 6–0 polypropylene sutures. These are monofilament and nonresorbable.
Autogenous Soft Tissue Grafting
Fig. 15: 18-month follow-up. Nearly complete root coverage, thick band of attached keratinized gingiva, elimination of frenum pull.


Criteria for successful soft tissue grafting procedures

• Surgical site free of plaque and calculus.
• Adequate blood supply.
• Anatomy of the recipient and donor sites.
• Stability of the grafted tissue to the recipient site.
• Minimal trauma to the surgical site.

Conclusion

The use of autogenous tissue grafts in periodontal surgery is supported by significant evidence.7 A free gingival graft remains an excellent choice for increasing soft-tissue thickness and keratinized gingiva around both teeth and dental implants. A connective tissue graft provides the greatest predictability for achieving root coverage as well as higher aesthetic results. Establishing which technique is appropriate for a particular clinical situation is of great importance before any periodontal soft-tissue graft surgery.
 

References
1. Naber, JM. Free gingival grafts. Periodontics. 1966;4:243- 245.
2. Langer B, Calagna LJ. The subepithelial connective tissue graft. A new approach to the enhancement of anterior cosmetics. Int J Periodontics Restorative Dent. 1982;2:22-33.
3. Cairo F, Nieri M, Cincinelli S, Mervelt J, Pagliaro U. The interproximal clinical attachment level to classify gingival recessions and predict root coverage outcomes: an explorative and reliability study. J Clin Periodontol. 2011;38(7):661- 666.
4. Cairo, Francesco and Giovanpaolo Pini-Prato. “A technique to identify and reconstruct the cementoenamel junction level using combined periodontal and restorative treatment of gingival recession. A prospective clinical study.” Int J Periodontics Restorative Dent 30 6 (2010): 573-81.
5. Dragoo MR. “Resion-ionomer and hybrid-ionomer cements: Part II, human clinical and histologic wound healing responses in specific periodontal lesions.” Int J Periodontics Restorative Dent 1997; 17:75-87.
6. Jahnke PV, Sandifer JB, Gher ME, Gray JL, Richardson AC. Thick free gingival and connective tissue autografts for root coverage. J Periodontol 1993;64:315-322.
7. Zucchelli G, Tavelli L, McGuire MK, et al. Autogenous soft tissue grafting for periodontal and peri-implant plastic surgical reconstruction. J Periodontol. 2020;91(1):9-16.

Author Bio
David-Paulson Dr. David Paulson is a board-certified periodontist practicing in Hudson, Wisconsin. He obtained his bachelor’s and DDS degree from Marquette University and his master’s and specialty certificate in periodontology from the University of Minnesota. Paulson recently achieved diplomate status with the American Board of Periodontology. His professional interests include the treatment of periodontal disease, soft tissue grafting, dental implants and guided tissue regeneration.

 

Support these advertisers included in the January 2022 print edition of Dentaltown magazine.

Click here for an entire list of supporters.

 
Sponsors
Townie Perks
Townie® Poll
Do you routinely screen adult patients for sleep-disordered breathing or obstructive sleep apnea?
  
The Dentaltown Team, Farran Media Support
Phone: +1-480-445-9710
Email: support@dentaltown.com
©2026 Dentaltown, a division of Farran Media • All Rights Reserved
9633 S. 48th Street Suite 200 • Phoenix, AZ 85044 • Phone:+1-480-598-0001 • Fax:+1-480-598-3450