The dentist retains control, the device provides precision
by Dr. Christopher M. Bingham
As a third-generation dentist, I’ve always been fascinated by the latest technological advances for our profession. For my father, a retired periodontist, those advances meant incorporating digital X-rays, CBCT scans and digital practice management systems into his practice. These advances are now so essential to our work that to imagine a time when they were not available seems like a peek into distant history, but that is not the case; just 20 years ago, these were the first wave of digital technology rolling through our profession. 
Today, it is digital smile design and digital workflows that are receiving considerable airtime. One piece of the digital puzzle that is just beginning to gain traction in dentistry is robotics. Robotics debuted in medicine in the early 2000s with the da Vinci surgical system. Today, more than 1 million patients are treated every year using robotics to assist surgery. Dentistry is late to the party, but that also means that we benefit from the years of experience and development made by our medical colleagues. There are now more than 50 dental robots deployed around the country, and I was an early adopter. But is this new technology ready for the masses?
An assistant, not a replacement
Eighteen months ago, I was introduced to the first and only FDA-cleared dental robot from Neocis, a precision dental robotics company, in a demo van outside my office in central Austin, Texas. The device was developed for placing dental implants, so at first I was skeptical: As a periodontist, I was already adept at placing them. How could this new technology help me?
However, within minutes of the demo starting, I was a fan. I could quickly see that this was a leap forward in many ways: No more waiting for 3D-printed guides; unsurpassed accuracy in terms of location, depth and angulation; minimally invasive; and efficient. Here was a technology that could improve outcomes for my patients while also providing a great patient experience.
We affectionately refer to our robot as “Yomi” and consider her the fifth assistant on my team. When we think of robotics in medicine, we may imagine remote-controlled robotics with the surgeon not even in the room. This is not the case. Yomi’s sole role is to assist me during surgery, not to replace me. I am still chairside with the patient, just as I normally would be.
So how does it work?
The process begins with a preoperative CBCT that is uploaded to the 3D planning software, where the case is treatment-planned virtually. On the day of surgery, a splint with radiographic markers (Fig. 1) is applied to the same jaw on the contralateral side and fixated. A second CBCT scan is taken with the splint in place. The patient is then seated ready for surgery and can be sedated at this point.
The robot has two arms, a tracking arm (Fig. 2) that attaches to the splint (Fig. 3) and a second arm that holds the implant drill. Once the patient is physically attached through the splint, the robot can “see the patient” in real time because the preoperative markers in the X-ray can now orient between the patient and the robot (Fig. 4). The technology is impressive. If the patient moves during surgery, the robot moves with him or her.
 Fig. 1
Fig. 1
 
 
 Fig. 2
Fig. 2
 
 
 
 Fig. 3
Fig. 3
 
 
 Fig. 4
Fig. 4
 
 
 
 
Precision is the operative word here; I had never been able to achieve this level of three-dimensional precision in preplanning and placing dental implants. Location, depth and angulation are all controlled by the robot down to a fraction of a millimeter. The 3D planning software allows me to confidently avoid anatomical features such as nerves and sinus, enabling me to place the implant in the best restorative position.
As the surgeon, I receive physical (haptic) feedback from the robot during surgery. If I move the drill in the wrong direction, the implant arm will resist, communicating the need to change direction. What I love most is that I can visually see the surgical site, just as I would in a freehand surgery, but with the accuracy of 3D-printed guides or a navigation system. It combines the best of both into a new approach to implant surgery that even allows for intraoperative adjustments. See Chart 1 below for a comparison among freehand, surgical guides, navigation systems and robotic guidance.
 Chart 1
Chart 1
 
 
 
 
Something remarkably different is communication during surgery. Present in the room are two human assistants along with the robot. One assistant is chairside, assisting me as normal. The second is at the laptop, controlling the robot, taking it from freehand to guided mode and verbally directing me (Fig. 5). A dialogue between the surgeon and assistant controlling the robot includes commands such as “free,” “2mm buccal,” “move lingual 5mm,” “rotate toward the opposing jaw,” “guided” and “pause.” The dialogue is analogous to that of an airplane cockpit, with the pilot communicating with flight control as she brings in a plane to land.
Once in guided mode, it is still up to the surgeon to initiate the drill through the foot pedal and to gently push down on the drill to perform the osteotomy (Fig. 6). At this point, Yomi takes over controlling the final position, angulation and depth of the osteotomy according to my preplan.
 Fig. 5
Fig. 5
 
 
 Fig. 6
Fig. 6
 
 
 
 
Challenges and successes
As with any new technology, there has been a learning curve for me, my team and Neocis. A year ago, surgeries were taking three hours, compared with 20 minutes for a single implant placed freehand. That time has now been reduced to 60–90 minutes. Actual surgery time is less than 15 minutes for the osteotomy and dental implant placement; the additional time, which is mostly assistant time, is needed to place the splint, take a 3D scan with the splint in place, and remove the splint at the end of the procedure.
Most problems have occurred with the placement of the splint and, on a couple of occasions, it has been necessary to revert to freehand surgery. These were more operator error and part of the learning curve than a problem with the system.
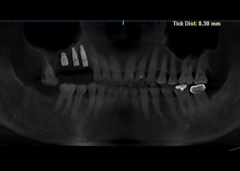
Recently, I placed three implants in Teeth 3, 4 and 5 in conjunction with a sinus lift. Implants in such close proximity to one another can be a challenge even for a specialist. By using the preplanning software, I virtually placed the implants precisely where I wanted them to go, as shown in Figs. 7, 8 and 9. I was thrilled with the outcome. As you can see on the X-ray in Fig. 10, the implants were placed precisely according to the plan.
 Fig. 7: 3D plan for Case 1 shows rendering with bone.
Fig. 7: 3D plan for Case 1 shows rendering with bone.
 
 
 Fig. 8: 3D plan shows rendering with bone hidden, to make implant
placement visible.
Fig. 8: 3D plan shows rendering with bone hidden, to make implant
placement visible.
 
 
 Fig. 9: 3D plan shows axial view.
Fig. 9: 3D plan shows axial view.
 
 
 Fig. 10: Final image showing implant placement and sinus lift.
Fig. 10: Final image showing implant placement and sinus lift.
 
 
 
 
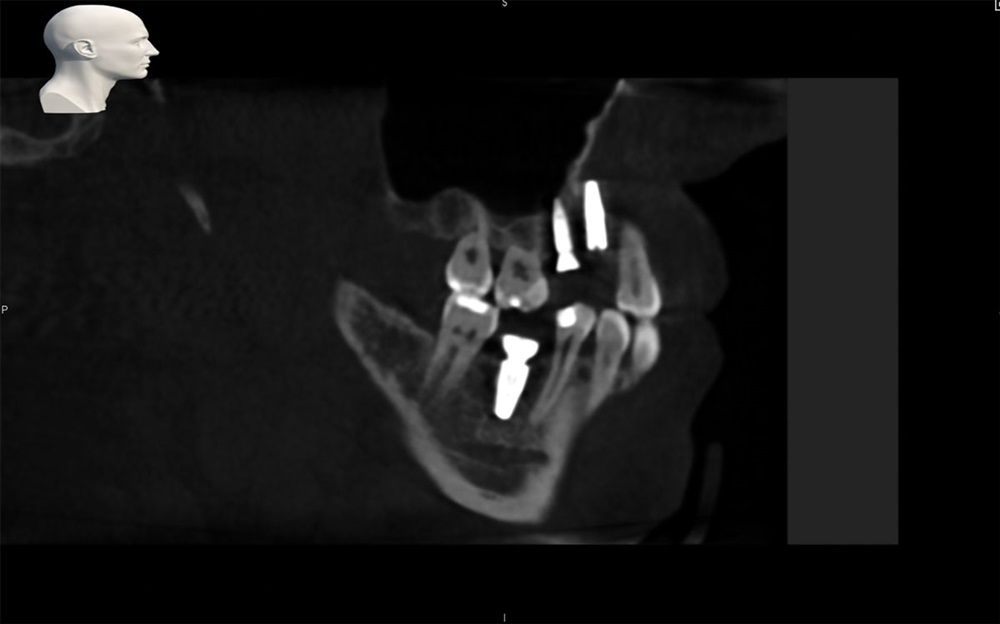
As another case example, see Figs. 11 and 12 showing a single implant placement.
 Fig. 11: 3D plan for Case 2. Red shows nerve position.
Fig. 11: 3D plan for Case 2. Red shows nerve position.
 
 
 Fig. 12: Final dental implant placement for Case 2.
Fig. 12: Final dental implant placement for Case 2.
 
 
 
 
Opportunities for improvement
The system does have its limitations, most of which have to do with the placement of the splint. With the splint attached to one arch, it is logistically challenging to place dental implants on different arches at the same time. For the first year, I used denture reline material to attach the splint, making removal challenging. This approach was improved considerably when Neocis recently introduced a clamp-type splint combined with bite-registration material.
Another component that has been refined is the tracking arm, which initially was weighted and applied pressure to the patient’s jaw. At the end of 2020, Neocis replaced the tracking arm with a lightweight version that is one-fifth of the weight of the previous arm and can be moved with one finger. I have been impressed with Neocis and its willingness to learn alongside me. During most procedures, one of its assistants is present to coach my team and to give feedback from the surgery to the Neocis team. They have been professional at all times. Recently, Neocis launched a full-arch solution that makes a fixed-hybrid digital workflow possible and I am looking forward to doing my first case in the near future.
Who should consider investing in a dental robot?
If you currently place a significant number of implants, want consistent, predictable results for your patients and have a desire to be at the forefront of dentistry, then this technology should be on your radar. Make sure it fits in with your overall vision for your practice and that you have the time and energy to invest in learning how to use it. Ultimately, the success of the dental implant is still in the hands of the surgeon; it is not a shortcut to becoming an implantologist.
I have crossed the one-year mark with Yomi. As with any team member, there has been an adjustment period, and she has been frustrating at times. However, she is now an integral part of my team and here to stay. As the first dental robot, Yomi is ready for prime time. Watch out for this new technology to grow exponentially in the next five years, with additional procedures being added to its capabilities as well.
 In 2005, Dr. Christopher Bingham completed his Doctor of Dental Surgery at the University of Illinois in Chicago, followed by the completion of a general practice residency at Rush University Medical Center in 2006. From the Medical College of Georgia, he earned a certificate in periodontics (2011) and a Master of Science in oral biology (2011), followed by an implant fellowship (2012). His private practice, Council Oak Perio, is in Austin, Texas, where his focus is on collaborative dentistry and leading the way in periodontology and implantology. He is a diplomate of the American Board of Periodontology.
In 2005, Dr. Christopher Bingham completed his Doctor of Dental Surgery at the University of Illinois in Chicago, followed by the completion of a general practice residency at Rush University Medical Center in 2006. From the Medical College of Georgia, he earned a certificate in periodontics (2011) and a Master of Science in oral biology (2011), followed by an implant fellowship (2012). His private practice, Council Oak Perio, is in Austin, Texas, where his focus is on collaborative dentistry and leading the way in periodontology and implantology. He is a diplomate of the American Board of Periodontology.