Posterior Composite Stratification: A Clinical Case Report by Dr. Shiraz Khan

Dentaltown UK Magazine
by Dr. Shiraz Khan

Dr. Shiraz Khan’s case study demonstrates a reproducible, predictable and robust protocol to restore posterior teeth with composite resin

Introduction
Posterior composites are increasingly considered the restoration of choice by practitioners and patients.1,2 Amalgams have provided restorative solutions for patients with dental caries for more than a century3; however, technological advances in adhesion,4 minimal cavity design and preparation, and increased strength of composite resin restorations5 have led to the increased popularity of posterior composite resin restorations.

While there is still a place for the use of amalgam in restorative situations, over the past decade it is becoming apparent there has been a reduction in the use of it and a concomitant increase in the use of composite.3 In some parts of the world, a composite resin is the only direct option available.1

Carefully selected clinical scenarios, good isolation and an understanding of the adhesive techniques being employed will lead to posterior composite resin success, with a good chance of clinical longevity, minimisation of secondary caries at the tooth/restorative interface, and reduction in postoperative sensitivity.

The following case study demonstrates a reproducible, predictable and robust protocol to restore posterior teeth with composite resin.

Case presentation
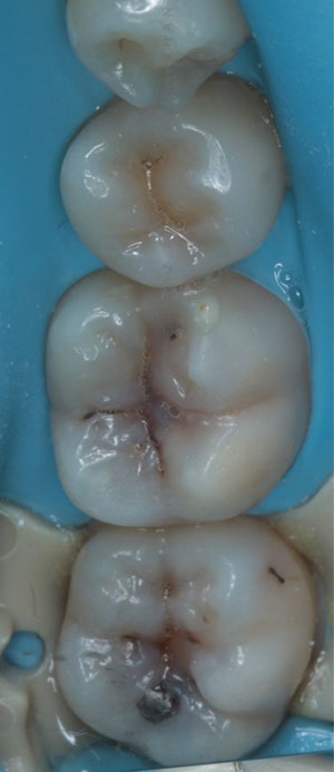
A 28-year-old patient attended the dental surgery for the first time in around 10 years. After using systematic desensitisation to help her overcome her fear, the patient began her restorative work. The patient had a tooth that had been previously restored with amalgam adjacent to another tooth which had never been restored. Whether or not a tooth has previously been restored does not indicate whether a tooth is suitable for a composite resin restoration. Both had clinical and radiographic caries and the probe was catching in the patient’s central fissure (Fig. 1).

  • Figure 1

  • Figure 2

Isolation
Isolation of the tooth from oral fluids— saliva, blood, gingival fluid, etc.—has been accepted as an important step to achieving clinical excellence in operative dentistry.6

In any procedure that requires resin chemistry, isolation from the oral fluids is paramount. Whether this is with the use of simple techniques, such as cotton wool roll isolation, all the way through to the use of specialist equipment, such as the Isolite oral isolation system, is irrelevant. The key is ensuring that adequate isolation is achieved. Rubber dam is regularly used in the process of adhesive dentistry.3 It has been shown by Heintze, et al., in meta-analyses that resin-based restorations are significantly more likely to reduce in performance if there is inadequate moisture control.7

A rubber dam is used regularly for any adhesive dentistry in restorative practice; however, its use is compounded when removing amalgam. It has been shown that the mercury in amalgam restorations are held in a lattice as an alloy and therefore do not confer any health risks. When it comes to removal, some studies have found reduction in a patient’s peak levels of mercury in plasma when employing the use of rubber dam for amalgam removal.8 In most cases, therefore, a rubber dam is employed as the isolation method of choice (Fig. 2).

Caries removal
The process of caries removal is conducted in a minimal manner. Ensuring that the ADJ is cleared. All infected dentine is cleared; however, discoloured dentine that remains firm on probing can be left to keep the cavity as minimal as possible.

A combination of the dental turbine for gross tooth/caries removal is used, and finer softened dentine is removed using the dental air motor.

Advances in conservative dentistry have employed the use of air abrasion. This has been proven to provide several advantages, including maximisation of tooth structure preservation, increasing micromechanical bonding,9 and providing a more seamless blend of restorative and tooth junction interface.

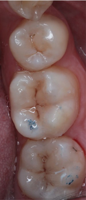
In this case, 27um aluminium oxide particles were used at a pressure of no more than 4-bar for 20 seconds. The cavity preparations are shown in Fig. 3.

  • Figure 3

Bonding
This stage is the most sensitive to moisture control, but as the tooth has been isolated with a rubber dam there is minimal if any moisture ingression into the cavity or work field. This case used selective etching with 37.5 percent phosphoric acid of the enamel for 30 seconds and 10 seconds on dentine.

This is washed for 30 seconds to ensure all enamel salts are removed, with the enamel being completely dried without desiccating the dentine.

The bonding system used in this case was Optibond FL, the fourth-generation Total Etch three-bottle system. Besides having won several awards, Optibond FL is the gold standard in current bonding technology. In addition, this has 48 percent filler loading, which further reduces the chances of postoperative sensitivity.

The primer is applied within the cavity with a light scrubbing motion for 15 seconds. This is air-dried for 5 seconds, then the adhesive is applied with the same scrubbing motion for 15 seconds. This is air-dried to ensure that a thin film of adhesive gently coversthe entire cavity surface and margins of the cavity with no more displacement of the bond.

This is then light-cured perpendicular to the tooth, ensuring that the light cure is being monitored behind a light shield, for 20 seconds.

Composite placement
The technique employed here is the incremental cusp build-up method. This allows for minimisation of the configuration factor (or C-factor) and subsequent polymerisation shrinkage stress. The system used in this case was Tokuyama Dental Asteria Estelite.

This is a supranano spherically filled composite which has a dentine shade system along with an enamel shade system. In this case, the A2B shade was used along with the occlusal enamel OcE.

The dentine is built up to approximately 2mm short of enamel margins, being a flat profile, with the enamel forming the shape of the cusps subsequently. Finally, in this case, fissure stain was used sparingly, to mimic natural toothlike staining.

Although this is not a requirement, this is a resin that also fills any microvoids between fissures. Each increment is cured for 20 seconds.

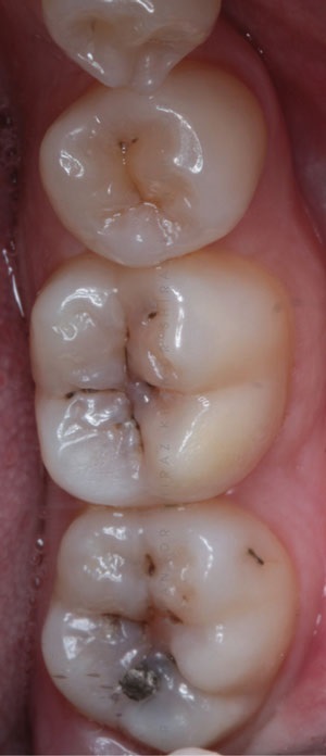
After the final increment is cured, a layer of glycerine gel is placed and the restoration is cured through this to remove the oxygen inhibition layer and subsequently increase the hardness of the composite restoration.10 The composite placement at its final stage in Fig. 4.

  • Figure 4

  • Figure 5

Conformation to occlusion
The final restoration is cured and polished using a diamond bur in a speed-controlled handpiece at low revolutions, followed by the 3M ESPE polishing spirals at high revolution.

The rubber dam is removed, along with any excess composite, and the contact points are flossed to ensure no bond has gone between the contact points. In most instances, minimal if any adjustment is required, as this is usually confirmative with the occlusion.

Fig. 5 shows the final restoration, immediately postop. Further aesthetic integration of the shades will occur after rehydration, which can take up to 72 hours.

Final comments
Posterior composite stratification can be a predictable, aesthetic method to restore a patient’s dentition in replacement restorations or those being placed for the first time.

Robust protocols to ensure moisture contamination is avoided are paramount to the longevity of any such restorations.

Likewise, understanding of anatomy and occlusion before composite placement allows for the centric contacts to be correct and offer no interferences during excursions or function.

Whilst I believe there is still a place for amalgam restorations—for instance, the deep Class II cavity—it’s clear it is being phased out and along with patient expectations increasing and wanting more aesthetic modes of treatment.

Having a protocol that is repeatable and executable and avoids excessive steps often will lead to reproducible results.

References
1. Ritter AV. Posterior composites revisited. Masters Esthet Dent 2008; 20: 57−65.
2. Hayashi M, Wilson NHF. Failure risk of posterior composites with postoperative sensitivity. Operative Dent 2003; 28: 681−688.
3. Mackenzie, L, Shorthall, ACC, Burke, FJT. Direct Posterior Composites: A Practical Guide. Dent Update 2009; 36: 71–95
4. Lynch CD, Shortall ACC, Stewardson D, Tomson PL, Burke FJT. Teaching posterior composite resin restorations in the United Kingdom and Ireland: consensus view of teachers. Br Dent J 2007; 203: 183−187.
5. Davidson DF, Suzuki M. A prescription for the successful use of heavy filled composites in the posterior dentition. J Can Dent Assoc 1999; 65: 256−260.
6. Cajazeira, M.R.R., De Saboia, T.M., Maia, L.C. Influence of the operatory field isolation technique on tooth-coloured direct dental restorations. American Dental Journal (2014); 27: 155-159.
7. Heintze, S.D., Rousson, V. Clinical Effectiveness of direct class II restorations – a meta-analysis. Journal of Adhesive Dentistry (2012) 14(5): 407-431
8. Berglund A, Molin M. Mercury levels in plasma and urine after removal of all amalgam restorations: the effect of using rubber dams. Dental Materials 1997;13(5):297–304.
9. Hedge, VS, Khatavakar RA. A New dimension to conservative dentistry: Air abrasion. J Conserv Dent. 2010 Jan-Mar; 13(1): 4–8.
10. Park, HH, Lee, IB. Effect of glycerin on the surface hardness of composite after curing. J Kor Acad Cons Dent 2011;36(6):483-489.


Author Dr. Shiraz Khan
 
Sponsors
Townie Perks
Townie® Poll
Do you routinely screen adult patients for sleep-disordered breathing or obstructive sleep apnea?
  
The Dentaltown Team, Farran Media Support
Phone: +1-480-445-9710
Email: support@dentaltown.com
©2026 Dentaltown, a division of Farran Media • All Rights Reserved
9633 S. 48th Street Suite 200 • Phoenix, AZ 85044 • Phone:+1-480-598-0001 • Fax:+1-480-598-3450