"Successful dentists have a true passion for their profession. Staying current on the means and methods to practice, properly evaluating technology and embracing changes to improve their practice, will nourish that passion.
Dentistry is not only catching up with laser-related advancements, but is now surpassing other medical fields with a powerful product which performs a broader range of procedures than any other single laser related product has ever performed in any other specialty. The WaterlaseÔ from Biolase is a water and YSGG laser technology designed to address the real needs of dentists and their patients with numerous proven applications.
Rarely have such innovations made an impact or revolutionized the standard of dental care as much as Waterlase. Imagine a machine that not only performs a wide range of dental procedures better, faster and easier, it will do so with little or no anesthesia. And its full potential is just beginning to be realized.
Considering the investment, a chief concern is how many every day procedures will benefit from using laser technology. A few years ago, the typical application for lasers was soft tissue management and marketing a 'high-tech' image to patients. Even with these limited applications, dentists who invested in lasers for the purpose of soft tissue management have been able to generate between $10,000 and $12,000 per month, solely from laser curettage procedures.
Some dentists, such as Townie Rod Kurthy, DDS, readily admit they purchased their laser for image appeal and are extremely impressed with the marketing benefits the equipment brings to their office. Consumer media has done an excellent job of appealing to patient's fears by emphasizing no-injection, no whining drill and 'pain-free' dental procedures. Kurthy, who purchased a Waterlase about a year-and-a-half ago says, "I've made no bones about it…I got my laser for marketing. I make a big deal out of it and the patients leave the office VERY impressed. I especially like to use it to impress parents while they watch me use it on their children with no anesthetic. The comments are always something like, "Boy!! I wish they'd had that when I was a kid! I can DIRECTLY attribute more than $100,000 per year of income in my practice to the Waterlase that I would not have received without it." If you take into account the startling statistic that 50% of the U.S. population does not seek regular preventative care because of dental fear, it's easy to see the economic potential for adding a laser to your office.
Thanks to innovation and research, the ways in which you can use the Waterlase are radically expanding. In late January, Biolase received the first FDA clearance for complete hard and soft tissue laser root canal therapy. The company can now market its Waterlase technology for root canal procedures for both hard and soft tissue procedures, which will broaden the applications that dentists and specialists can perform with the YSGG laser. This clearance covers all enamel, dentin, pulpal and diseased tissue removal, shaping and cleaning aspects of root canal therapy. This includes tooth preparation to obtain access to the root canal, pulpotomy, pulp extirpation, pulpotomy as an adjunct to root canal, root canal debridement and cleaning, root canal preparation including enlargement. The endodontic tips are very flexible and side cutting so you won't have to worry about 'screwing up' the apical foramen. The endo tips will allow you to remove dentin on the walls, remove all tissue in lateral canals and funnel the prep.
In early March, Biolase received the first ever clearance from the FDA for laser cutting, shaving, contouring and resection of oral osseous tissues (bone).
In addition to the newly approved root canal application, the FDA bone clearance further expands the marketable, multiple uses of the Waterlase. It gives general dentists the ability to easily do procedures they would normally refer out to specialists resulting in tens of thousands of dollars of incremental revenue for their practice."
These are monumental clinical, tech-nological and research milestones. A lot of hard work from some of the most respected university researchers around the world, the Biolase clinical and product development team and talented dentists, combined, brought these advancements to dentists and their patients. Dentistry needs good products supported by good research, experience from peers and the corresponding FDA clearances. These two projects were several years in the making. The ongoing research will continue to expand the applications and FDA clearances.
Learn from your peers In the following pages, practicing, wet-gloved dentists, provide an in-depth review of how their use of dental lasers has enabled them to perform common procedures with accuracy, efficiency and speed.
 |
 | Here are just a few of the many procedures which can be performed with the Waterlase: Caries Removal/Cavity Preparation - Class I-V - 96% Anesthetic Free Root Canal Bone Laser Etching Laser-assisted Soft Tissue Curettage Gingivectomy Gingivoplasty Aesthetic Contouring Frenectomy Gingigival Troughing - Eliminates Need to Pack Cord Implant Exposure Sulcular Debridement Root Planing Biopsy Aphthous Ulcers Oral Lesion Therapy Crown Lengthening |  |
 |
| General Restorative Procedures | BY: Glenn MacFarlane, DDS |
Being a dentist who performed many major restorative procedures such as crown and bridge, inlays, onlays and veneers I felt there was no need for a hard tissue laser in my practice. I thought it would only slow me down and I would be less efficient and less productive. I never knew how wrong I could be.
All I knew about the Waterlase was that it was a solid product with a good company behind it. Upon listening to a clinical presentation regarding the Waterlase benefits to the patient and to the practice, it all began to click. I had to make a complete mind shift in order to see the benefits of the laser. The Waterlase was not for me per se, it was for the patient. My patients needed this type of procedure. No, my patients wanted this type of procedure. When I started thinking about the wants of the patient I began to think of a way to create an “experience” for the patient. This experience would allow them to come and leave “comfortably” like nothing had happened. I thought “What a great way to make a living, I’m happy, the patients are happy and their talking all over town about this great laser experience!”
I have been practicing microdentistry and preventive dentistry for many years. Since introducing the Waterlase laser to my practice my dentistry has become easier, more efficient, cleaner and above all healthier and pain-free to my patients. One technique I call “Sweet 16” is a perfect example. I no longer just pumice and seal the premolars and molars (16) of any of my patients. I have found that at least 30% of the time some decay exists in the deep pits of the teeth. In less than one hour, I can successfully open all the pits and fissures, remove any decay, thoroughly cleanse, sterilize and etch the teeth and place a flowable composite as a restorative. I know this is the best preventative service for the patient and because I’m placing one-surface composites, it’s very profitable also.
I use the Waterlase with my conventional dentistry. When I anesthesize a quadrant for crowns or onlays, I no longer leave the patient for 15 minutes to let the anesthesia “soak.” I now use that valuable time to do quick Class I or V procedures using the YSGG Waterlase. This translates into several hours of downtime profit per month and happy patients that do not have to reschedule for another appointment.
Glenn A. MacFarlane, DDS is past president and founding member of the New Jersey Academy of Cosmetic Dentistry. He is a clinical instructor at the Aesthetic Advantage Institute in NYC. He is a member of numerous dental organizations including the AACD and the IOCI. MacFarlane has lectured nationally and internationally, while maintaining a busy private practice in Bloomfield, New Jersey.
| Soft Tissue & Perio Applications | BY: Kim Kutsch, DMD |
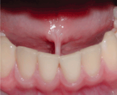
“Our practice uses the YSGG Hydrokinetic System (Waterlase) for a wide variety of cases. One of the most valuable applications has been the soft tissue crown lengthening and recontouring the hard tissue and then the soft tissue without laying the flap. We find it’s value increased when we have used it for guided tissue regeneration, sulcular debridement and apicoectomies.” “The following clinical case by Dr. V. Kim Kutsch describes the ability for multiple treatments with the YSGG Hydrokinetic System on frenectomies.”
Dr. Brett Dyer, Periodontist - Sugar Land, Texas
Technological advances in Microdentistry and minimally invasive treatment have had a dramatic impact on our primary goal of improving the quality of life through life- long optimal oral health. The YSGGTM Hydrokinetic System not only provides the instrumentation to make our lives easier but also contributes to the optimal patient experience with its variety of applications. The following case illustrates the multiple treatments performed on this 38-year-old male patient. Using the YSGG is a tremendous advantage for frenectomy procedures. Tissue removal can often be accomplished without local anesthesia, laser wounds do not require sutures, and laser wounds heal with very little or no post-operative complications. On this patient both a labial and lingual frenectomy were performed at the same appointment. The laser provides a bloodless surgical theater so that you can easily visualize the dissection and reduction of the frenum attachments. Both surgeries were performed with no complications and the site healed with no post-operative discomfort or swelling. This is a typical cutting procedure that was performed with a low power setting. With an energy of 2.5W and 7% H2O and 11% air, the fiber is brought into contact with the tissue and cuts it (Fig. 1).
For the lingual frenum, following the Laser Safety Guidelines, wavelength specific eyewear, high volume evacuation, high filtration masks and the lowest power necessary the laser fiber was gently brought into contact with the frenum tissue and painted across the surface, reducing the attachment and freeing the surrounding tissues. The tip of the tongue is grasped, tension is placed, and from the greatest concavity of the frenum moving posteriorly, the frenum is simply vaporized. Care was taken not to interrupt Warten’s Ducts. This technique was continued until the desired frenum reduction was accomplished. Upon completion the patient was immediately able to move his tongue within normal parameters. There was no bleeding from the site and no sutures or post-operative analgesics were required (Fig. 2).
In the mandibular labial frenectomy the lip is grasped and tension is placed on the frenum. The laser fiber tip is gently brought into contact with the frenum tissue and swept back and forth across the frenum. The laser vaporizes the frenum tissue while providing hemostasis and coagulation at the same time. Using a low power setting, there is very little thermal damage to the adjacent tissue. The laser surgery allows for a bloodless field and at the same time is very precise. Only the desired tissue is removed, and the appearance of the wound during healing affords accurate prediction of the results of the healed appearance of the frenum. Using the YSGG allowed this patient a pain free post-operative course with minimal swelling. The patient returned immediately to school and reported no post-operative discomfort (Figs. 3 & 4).
The ability to perform these multiple treatments not only saves chair time but also increases the rate of referrals. The return on investment using the YSGG Hydrokinetic System is approximately 6-24 months.
Dr. Kutsch received his DMD degree from the University of Oregon School of Dentistry in 1979. Lecturing extensively on an international basis, he is an expert on air abrasion, lasers, and adhesive and cosmetic dentistry. He is past president of the International Academy of Laser Dentistry, as well as the Academy of Laser Dentistry. Holding a Category III mastership in Lasers in Dentistry, he is a fellow of the American Society of Lasers in Medicine and Dentistry. He is also founder, fellow, diplomate, lifetime member and first president of the World Congress of Microdentistry.
| Surgical Applications | BY: Robert A. Lowe, DDS, FAGD, FICD, FADI, FACD |
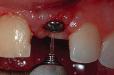
The use of dental lasers in restorative practice has been increasing for several years, along with advances in laser technology that now allow for more clinical applications than ever before. The early use of dental lasers was limited to soft tissue procedures, however with the advent of the Waterlase and FDA approval for laser use on hard tissues, dental lasers now have a much more diverse clinical application. In fact, new uses are being developed every day. Recently, the Waterlase gained FDA approval for use in performing root canal therapy. Many minimally invasive operative procedures can now be performed on all types of cavity classifications and often without the use of local anesthesia. Waterlase has also been useful in elimination of excessive tissue around dental implants, whereas other types of lasers or electrosurgery do not have the ability to be used near the titanium surface. As far as surgical applications, bone tissue can be removed safely and efficiently with the Waterlase when performing osseous recontouring, crown lengthening, or troughing for surgical extraction. The following cases will demonstrate the use of the Waterlase for soft tissue excision around implants and surgical crown lengthening.
Case #1 – Use Of The Waterlase Around Dental Implants
A common problem that the restorative dentist deals with when restoring dental implants is control of the gingival tissues around the fixture platform. Often times these tissues will proliferate over the platform surface, particularly if the healing abutment loosens slightly. This phenomenon makes it difficult for the restorative dentist to completely seat impression copings and/or final restorative abutments. Many dentists must send the patient back to the implant surgeon to have the excess tissue excised with a scalpel. The Waterlase can be used effectively to clear the implant platform to allow for impression copings and final abutments to be precisely placed in a matter of minutes.
Slide 1: The 600-micron tip is being used on the Waterlase to remove excessive gingival growth around a healing abutment on this anterior single tooth implant. Removable temporaries (flippers) that are often used in these situations can cause tissue proliferation.
Slide 1 shows an anterior implant patient having the excess gingival tissue removed around the healing cap prior to its removal. Using the Waterlase for this procedure is effective both at the level of the gingival crest and at the fixture level. Prior to placement of the impression coping or final abutment, it is imperative that the entire implant platform is devoid of gingival tissues or precise placement at the fixture level will not be possible. During the impression phase, the soft tissue gingival zenith can also be corrected with the Waterlase before placement of the impression coping (Slide 2). This will give the laboratory an ideal esthetic environment for fabrication of the definitive restorations.
Slide 2: The tip of the Waterlase is held adjacent and parallel to the implant platform and moved in a circumferential fashion to remove excess gingival tissue that has creeped over the platform surface.
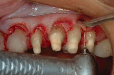
Case #2 – Cosmetic Crown Lengthening
A patient presented with a “gummy smile” due to maxillary vertical excess. Although with many of these cases, it is not possible to get a full correction of maxillary tooth placement within the smile zone without oral surgery, esthetic improvement is possible by lifting the envelope of the soft and hard tissues a few millimeters apically. It is also important for patients who show gingival tissues when they smile that the levels of the tissues are symmetrical on both sides of the midline. The cervicoincisal heights of the maxillary central incisors should be higher than the cervicoincisal heights of the lateral incisors and the canines should be higher than both centrals and laterals. A gingivectomy is performed using the LaserSmile diode laser which gives optimal control of the sculpting of the gingival crest. The teeth are then prepared down to the corrected gingival margin. Provisional restorations are fabricated out of bisacrylic temporary material, carved, polished, and ready for cementation. Next, the surgical phase begins. A full thickness mucoperiosteal flap is reflected after intrasulcular incisions with a 15 C scalpel blade. The restorative margins that were prepared earlier can be evaluated for their distance to the osseous crest. To maintain proper biologic dimension, the restorative margin should be no closer than 3 millimeters to the alveolar crest. The Waterlase is used on the dentin setting to carefully remove crestal bone and regain proper biologic dimension. Traditionally a rotary diamond bur is used for this purpose, however there is always the possibility of damage to adjacent teeth and bone since the instrument also cuts on its side. Frictional heat from an improperly cooled rotary handpiece may also be detrimental to the health of the bone. The Waterlase cuts only at the tip, so it can be held parallel to the long axis of the tooth and remove bony immediately adjacent to the cementum without peripheral damage (Slides 3 and 4).
| | |
| Slide 3: The Waterlase is used to remove bone and expose more clinical crown prior to ceramic restoration in this maxillary full arch surgical case. | | Slide 4: Osseoectomy performed with the Waterlase is shown at 1X magnification. Note the atraumatic appearance of the laser wound after the crestal bone has been removed. |
Once the proper bony relationship is established, an osteoplasty diamond on a slow speed handpiece with water is used to smooth any rough transitional areas between the unaltered bone and the lased interface. The flap is then sutured and provisional restorations cemented with temporary cement. Using the YSGG in hydrokinetic mode, you can expect the overall healing time to be dramatically shorter because of the atraumatic means of removing bony structure. The postoperative discomfort should be minimized due to the reduced use of the diamond bur and minimal invasive nature of the Waterlase when performing the surgical procedure.
Two different surgical applications for the use of the Waterlase have been discussed and shown. Minimally invasive surgeries using the Waterlase will become a benchmark of this technology as its use in dental surgery continues to expand.
Robert A. Lowe, DDS, FAGD, FICD, FADI, FACD, a magna cum laude graduate from Loyola University School of Dentistry in 1982, maintained a private practice in Chicago until January of 2000 when he joined Dr. Ross Nash in Charlotte, NC. Dr. Lowe lectures internationally on restorative and aesthetic dentistry and has published several articles on the subject.
| Endo/Root Canal Procedures | BY: William Chen, DMD, MAGD, FACD, FICD |
"My overall practice has dramatically benefited from Biolase's YSGG™ Hydrokinetic System. I am doing all classes of cavity preparations, a broad range of soft tissue procedures, and now, procedures involving bone surgery and endodontic treatments. For most of my patients, the procedures are very comfortable and I don't use any anesthesia. For endodontic treatment with the YSGG™, I prepare the access to the pulp chamber, the pulpotomy and pulp extirpation, the decontamination, and finally, the preparation and cleaning of the tooth canal which is very conservative, leaving the healthy tooth structure in place. Using the YSGG™, I prepare the root canal for the EndoRez sealant. The benefit to the patient is more healthy tooth structure stays in place and the procedure is much more comfortable during and after the treatment. The YSGG™ has allowed us to minimize the use of instrumentation and better serve our patients. The following case by my colleague Dr. William Chen of Granite City, IL illustrates this minimally invasive procedure."
Dr. James Jesse Colton, California
The innovation of using lasers in dentistry has taken another giant step forward when the YSGG was approved by the FDA for complete hard and soft tissue laser root canal therapy. One of the most outstanding benefits is the patient’s comfort level is generally much better during and after the laser procedures. This is significant in root canal therapy. A lot of the fear factor related to endodontic treatment comes from patients’ anticipation of pain related to injections, drilling sounds, vibration pressure, and postoperative discomfort that may last a few days from the procedure. The YSGG in endodontics has the potential to give patients better comfort during and after the procedure.
A series of specially designed laser fiber tips that are thin and flexible, can effectively clean and remove diseased tissue.
Fig. 1 The pre-op view of the tooth
NO DRILLING SOUND
The root canal access opening can be performed with the Waterlase using the hydrokinetic process (energized water droplets by the laser to excite the water molecules). No high speed drilling is needed for the laser endodontic procedure.
Fig. 2 Waterlase is used in access opening
NO VIBRATION, NO PRESSURE
After the working length is established, the endodontic Waterlase fiber tips are used to perform the cleaning, irrigation and shaping of the root canal. The vibration and pressure that patients normally experienced from the conventional endodontic rotary instruments does not exist in Waterlase endodontic treatment.
Fig. 3 Working length determined by endo hand file
SUPERIOR POSTOPERATIVE COMFORT
Patients treated with Waterlase showed dramatically reduced postoperative pain, discomfort and swelling. This may lead to a reduction in the need for antibiotics after treatment.
Fig. 4 Thin and flexible laser endofiber tip
ELIMINATING ANESTHESIA
By using the Waterlase, most pulpotomy procedures can be done without anesthesia.
In my opinion, the potential of doing a laser endodontic procedure without anesthesia is here.
Fig. 5 Laser endofiber tip is used to remove diseased pulpal tissues and tooth structure from the root canal walls
Better patient comfort results in higher patient satisfaction and enhances the entire patient experience. The doctor in return gets more referrals from his happier patients. The chair time saved also creates increased value for the return on investment.
William Chen, DMD, MAGD, FACD, FICD graduated from Washington University School of Dental Medicine, and has been in private practice in Granite City, Illinois, and St. Louis, Missouri, for over 25 years. He is an active staff member at St. Elizabeth Hospital in Granite City and served as dental chief from 1986–1996. His honors and awards include the following: Fellowship and Mastership of the Academy of General Dentistry, Mastership of the Academy of Laser Dentistry; Fellow of the American College of Dentists; and Fellow of the International College of Dentists. He is currently a lecturer, trainer and researcher for Biolase Technology, Inc.
| The Waterlase Distinction |
The revolutionary Biolase laser uses a patented water and laser technology to precisely and gently cut, etch, and shape all human tissue. Biolase is the only medical company in the world which produces an ErCr YSGG wavelength. The benefits include no heat and no vibration, thus most procedures are done without pain and dramatically reduce post-operative discomfort. By adjusting the ratio of YSGG laser verses water, the tissue capabilities change. With more YSGG (reduced or no water) you can perform soft tissue procedures with hemostasis and elegance. In combination with an air-water spray, the YSGG laser is able to replace a drill in many instances. The high-speed drill may cause a smear layer of dead organic material. The Waterlase creates cuts with NO smear layer, providing a better surface
for bonding and allowing fillings to last longer.
Biolase (BLTI), long a leader in laser technology, received FDA clearance to market the Waterlase system for use on hard tissue on October 9, 1998. Since then, the California-based company has literally taken the dental industry by storm and currently is the number one selling device on the market today. The innovative company’s patent portfolio includes 41 issued and pending US patents and 30 issued and foreign patents. President and CEO, Jeff Jones, a young, creative dynamo, has been involved with laser technology development for the past 16 years. He surrounds himself with passionate wet-gloved dentists for vital feedback on their daily challenges and honest evaluations. The company is composed of a superior caliber of employees that consistently demonstrate a level of teamwork and cooperation seldom seen in today’s business climate.
If you’re ready to learn more about the multitude of benefits the Waterlase will bring to your practice, call 1-888-4Biolase(6527) today for a consultation or visit their website for more information at: www.biolase.com. You can also correspond through email to dentists@biolase.com. If you are attending the California Dental Association Scientific Session, be sure to stop by the Biolase booth 442.