Anatomage Launches New 3D Dental Business

Posted: August 30, 2021
Edited by Dentaltown staff

SANTA CLARA, Calif.—Anatomage, a provider of medical visualization technology, announced that the company has spun out its 3D dental business as a wholly owned subsidiary called Osteoid. Calvin Hur, an over 20-year veteran of the 3D design and printing industry, will lead Osteoid as its CEO, where he will oversee strategic direction and the product roadmap. Anatomage founder and CEO Jack Choi will continue to serve Osteoid as an advisor.


Anatomage Launches New 3D Dental Business


 
Anatomage will focus on its medical and educational solutions and Osteoid will focus solely on 3D dentistry solutions, including the Invivo 3D dental imaging solutions, as well as its Invivo Workspace cloud-based platform and solutions for precision surgical guide fabrication.
 
Backed by resources from its Anatomage parent, Osteoid will make significant investments in R&D and go-to-market initiatives that deliver precision and efficiency in visualizing unique anatomy for implant planning, orthodontic, endodontic and prosthodontic applications. Osteoid also will incorporate customer-driven innovation by developing its solutions cooperatively with strategic partners.
 
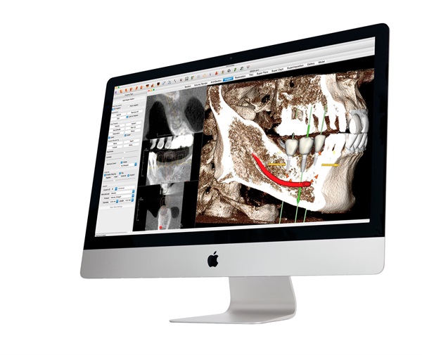
For more than 10 years Osteoid’s Invivo 3D imaging products have served the needs of thousands of dental professionals and have provided them with high-quality 3D rendering and design capabilities for restorations, using an intuitive interface and simple workflow. Invivo solutions help dentists visualize anatomy, diagnose and share cases with other professionals, and perform fast and intuitive implant planning.

Forthcoming new offerings including Invivo6 Plus for 3D Design, added features for Invivo Workspace and added capabilities for precision surgical guide production that will help dental professionals become more connected. 

“Our team is proud to have earned the trust of dental experts for delivering products that streamline the dental workflow,” said Jack Choi, founder and CEO of Anatomage. “As the separate dental-focused entity, Osteoid can remain on the leading edge of 3D visualization technology for the dental industry.”

“Osteoid is on a mission to deliver the future of modern dentistry, and I’m honored to lead such a customer-driven team,” said Calvin Hur, CEO of Osteoid. “We are more focused and committed than ever to helping accelerate the move to digital dentistry.”

For more information on Osteoid’s family of 3D dental imaging solutions, visit osteoidinc.com.
 
Views: 240
Sponsors
Townie Perks
Townie® Poll
Do you routinely screen adult patients for sleep-disordered breathing or obstructive sleep apnea?
  
The Dentaltown Team, Farran Media Support
Phone: +1-480-445-9710
Email: support@dentaltown.com
©2026 Dentaltown, a division of Farran Media • All Rights Reserved
9633 S. 48th Street Suite 200 • Phoenix, AZ 85044 • Phone:+1-480-598-0001 • Fax:+1-480-598-3450