Masking Lifelong Tetracycline Staining by Dr. Tai Ha

Categories: Cosmetic Dentistry;
Masking Lifelong Tetracycline StainingUsing no-prep, 3D-printed zirconia veneers

by Dr. Tai Ha


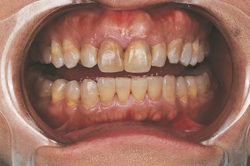
Advancements in digital manufacturing have enabled the fabrication of highly precise, ultra-thin restorations that minimize or eliminate the need for tooth reduction. This case report describes the aesthetic management of a 49-year-old patient with severe tetracycline staining (Figs. 1–3), using a no-prep approach and 3D-printed zirconia veneers. A fully digital workflow was employed, including intraoral scanning, virtual smile design (Fig. 4), and additive fabrication of 120-µm (0.12mm) zirconia shells (Figs. 5–7), to achieve a conservative aesthetic outcome while preserving natural tooth structure.
Masking Lifelong Tetracycline Staining
Fig. 1: Pre-op full face photo
Masking Lifelong Tetracycline Staining
Fig. 2
Masking Lifelong Tetracycline Staining
Fig. 3
Masking Lifelong Tetracycline Staining
Fig. 4: Digital mock-up of veneers
Masking Lifelong Tetracycline Staining
Fig. 5: Printed veneers
Masking Lifelong Tetracycline Staining
Fig. 6
Masking Lifelong Tetracycline Staining
Fig. 7


Introduction
The pursuit of minimally invasive aesthetic dentistry has intensified over the past decade, driven by patients’ increased aesthetic expectations and clinicians’ emphasis on long-term tooth preservation. Porcelain veneers remain the common solution for correcting discoloration, minor malalignment, and shape discrepancies; however, conventional protocols typically require removing 0.3–0.7mm of facial enamel to accommodate ceramic thickness and ensure adequate translucency.¹ This irreversible step can elicit postoperative sensitivity, compromise bond strength, and deter otherwise eligible patients.

Recent advances in digital dentistry and high-performance ceramics have opened alternative approaches. Additive manufacturing (3D printing) of zirconia enables the fabrication of thin restorations with favorable mechanical properties, as documented in recent research.² One 3D-printed zirconia veneer system (UltraThineer; mentioned for informational purposes only) was used in this case.

Tetracycline staining is a form of intrinsic tooth discoloration caused by the use of broad-spectrum antibiotics, commonly prescribed during childhood in the mid-1900s. As the teeth mature and are exposed to light, the tetracycline oxidizes, resulting in permanent staining that appears yellow, brown, or gray.³ This report illustrates the use of additive zirconia within a no-prep protocol as part of a conservative aesthetic treatment approach.


Case presentation
The patient presented with concerns of long-standing, generalized tooth discoloration. Despite multiple previous attempts with both at-home and in-office bleaching treatments, there was no significant improvement in the tetracycline staining resulting from prior antibiotic exposure.

Chief complaint:

Discoloration caused by tetracycline exposure from childhood. The patient was happy with her smile and the natural shape of her teeth, but desired a conservative solution to lighten the color of her “dark teeth.”

Clinical findings:
Radiographic and clinical exams revealed no active carious lesions or infections. The patient has a history of restorative work, including a combination of composite and amalgam fillings. The patient had previously completed orthodontic therapy and has a Class I occlusion. No signs of clenching or bruxism were observed.

Diagnosis:

Intrinsic discoloration induced by tetracycline.


Treatment plan
A comprehensive case history was obtained, followed by pre-operative photography, radiographic imaging, intraoral scanning, and a detailed clinical examination. After a thorough discussion of the patient’s aesthetic goals, the digital records were sent to a dental laboratory specializing in 3D-printed zirconia restorations for design and fabrication. A total of 20 no-prep veneers were designed, 10 upper and 10 lower. Shade BL1 was selected from the VITA shade guide to achieve the patient’s desired shade outcome.


Treatment procedure
The treatment began with a test fit (Fig. 8) of the veneers using a selection of colored cements. The restorations were then cleaned in an ultrasonic bath and air-dried. The internal surfaces were conditioned according to standard zirconia bonding protocols and ultrasonically cleaned again before drying. A ceramic primer was applied to enhance adhesion, followed by a thin layer of bonding resin. The veneers were loaded with the chosen luting agent and protected from ambient light until placement.

Masking Lifelong Tetracycline Staining
Fig. 8: Veneer test fit

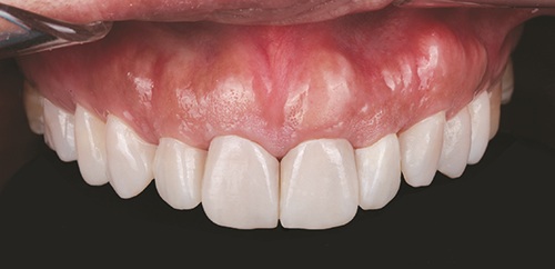
Outcome and follow-up
The final restorations effectively masked the tetracycline staining and met the patient’s aesthetic expectations (Figs. 9–11). The patient was recalled for evaluation one week post-insertion, and again two weeks later for delivery of a custom night guard to protect the restorations.

Masking Lifelong Tetracycline Staining
Fig. 9: Post-op full smile
Masking Lifelong Tetracycline Staining
Fig. 10
Masking Lifelong Tetracycline Staining
Fig. 11


Discussion
The patient presented with generalized intrinsic discoloration consistent with moderate to severe tetracycline staining, characterized by grayish-brown horizontal banding across the anterior dentition. Given the etiology of tetracycline-induced staining, originating from deep within the dentin and enamel matrix, conventional whitening treatments are typically insufficient for achieving satisfactory aesthetic outcomes. The patient’s primary objectives were to enhance the aesthetic appearance of her smile, preserve natural tooth structure, and maintain flexibility for potential revision in the future. To address these goals, 3D-printed zirconia veneers were selected as a minimally invasive option with masking characteristics suitable for intrinsic discoloration.

Additively manufactured zirconia veneers offer controlled optical properties and shade consistency. The higher opacity of zirconia may provide masking capability for deeper intrinsic discoloration, in contrast to more translucent ceramics. These restorations can be fabricated as thin as 0.08–0.1mm, often eliminating the need for enamel reduction. This approach aligns with the principles of biomimetic and minimally invasive dentistry.

Another clinical consideration for this material class is the potential for future removal with erbium lasers, enabling debonding with minimal risk to the underlying enamel. This consideration may be beneficial for patients seeking long-term flexibility in their restorative plan.

The final restorations demonstrated favorable aesthetic and functional outcomes. The veneers provided the planned masking of the discoloration and reflected natural surface texture and translucency. At follow-up, the restorations showed stable function and integration, and the patient reported satisfaction with the result. The potential for future removal or revision was discussed and documented as part of the informed-consent process.


References
1. Dumfahrt, H., et al. (2020). Fractographic analysis of 35 clinically fractured bi-layered and monolithic zirconia fixed dental prostheses. International Journal of Prosthodontics, 33(2), 123–130.
2. Zhang, Y., et al. (2023). Two-step sintering suppresses grain growth and improves flexural strength of dental Y-PSZ ceramics. Dental Materials, 39, 283–295.
3. Esthetic Management of Tetracycline-Induced Staining. Decisions in Dentistry.


Author Bio
Dr. Tai Ha Dr. Tai Ha earned his DDS from the Herman Ostrow School of Dentistry at the University of Southern California and has been practicing dentistry for more than a decade. He focuses on digital and minimally invasive approaches to restorative and aesthetic dentistry, incorporating technologies such as 3D printing, digital smile design, and AI-assisted workflows. He is certified in laser dentistry, implantology, and clear aligner therapy, and has completed advanced training through the Kois Center. Ha also participates in international dental outreach and continuing education initiatives.


Sponsors
Townie Perks
Townie® Poll
Do you routinely screen adult patients for sleep-disordered breathing or obstructive sleep apnea?
  
The Dentaltown Team, Farran Media Support
Phone: +1-480-445-9710
Email: support@dentaltown.com
©2026 Dentaltown, a division of Farran Media • All Rights Reserved
9633 S. 48th Street Suite 200 • Phoenix, AZ 85044 • Phone:+1-480-598-0001 • Fax:+1-480-598-3450