Layers of Success by Dr. Mauricio Watanabe

Layers of Success 

Comparing two techniques for large posterior restorations


by Dr. Mauricio Watanabe
With Dr. Lauren Yasuda Rainey, Luiz Heinrick Martins Watanabe and Melissa Martins Watanabe


The rehabilitation of posterior dentition represents a critical component of contemporary restorative dental practice. Large carious lesions, fractures or restorative failures of posterior teeth that are restored with composite resin require materials that offer excellent mechanical properties. Given the substantial volume of material needed, using a composite that can be applied in thicker increments is advantageous, as it shortens clinical time and reduces the risk of defects such as voids or air bubbles. However, bulk-fill resins, which allow for such application, often have higher translucency, potentially resulting in an unaesthetic grayish appearance. This article aims to present a technique for restoring large posterior cavities using a material that combines a high filler particle content with the ability to be placed in layers up to 4 mm thick. Notably, the material becomes more opaque after light curing, improving the final aesthetic outcome.

Clinicians frequently face situations where teeth present extensive structural compromise resulting from primary carious lesions, as well as the need to replace existing restorations that exhibit marginal infiltration, loss of anatomical integrity, or functional failure. In such scenarios, composite resin has become the material of choice, primarily because of its superior aesthetic performance, conservative nature, and adhesive properties that enable effective bonding to enamel and dentin. Moreover, advancements in composite resin formulations have enhanced their mechanical behavior, making them suitable for use in stress-bearing posterior regions. The clinical success of these restorations depends not only on material selection but also on insertion technique, particularly in deep or high C-factor preparations, where polymerization shrinkage stress is a critical factor.

When facing clinical situations where composite resin is the restorative material of choice in a posterior tooth, there are two simple alternatives for the procedure. The direct technique, where the composite is inserted directly into the preparation, or an indirect technique, where the restoration is fabricated on a model by hand, and then adhered to the tooth. Chairside or lab-fabricated milled composite restorations are also an increasingly popular option but will not be addressed in this article.

The selection of the direct technique is primarily influenced by the possibility of completing the restorative procedure in a single clinical session. Conversely, the indirect technique facilitates superior control over anatomic contouring, as well as finishing and polishing procedures, because of its extraoral execution. It is essential to consider the polymerization shrinkage stress associated with the C-factor in direct restorations, particularly in deep or high C-factor lesions.1 Indirect composite restorations, on the other hand, are polymerized on a model under controlled conditions, thereby minimizing polymerization-induced stresses within the tooth structure.2

During the cementation of indirect composite restorations, polymerization shrinkage is primarily attributed to the resin-based luting cement. Despite this, the volumetric contraction is minimal because of the thin film thickness inherent to the luting layer.3 Consequently, the polymerization-induced stresses generated are typically insignificant and unlikely to compromise the marginal integrity or the adaptation of the restoration. This phenomenon contrasts with direct composite restorations, where bulk polymerization shrinkage can induce higher internal stresses, particularly in preparation designs with elevated C-factor values.2 Despite this, the clinical longevity of direct and indirect composite resin restorations is comparable.4

The following presents two clinical cases involving molars affected by extensive carious lesions requiring restorative intervention. In both cases, the same composite resin material was utilized to restore the tooth structure; however, differing approaches were employed—a direct restorative technique in one case and an indirect composite technique in the other. The objective of this report is to compare the clinical procedures and outcomes of both techniques when applied to large posterior lesions, highlighting considerations related to polymerization shrinkage stress, marginal adaptation, and aesthetic results.

Case report
Case 1
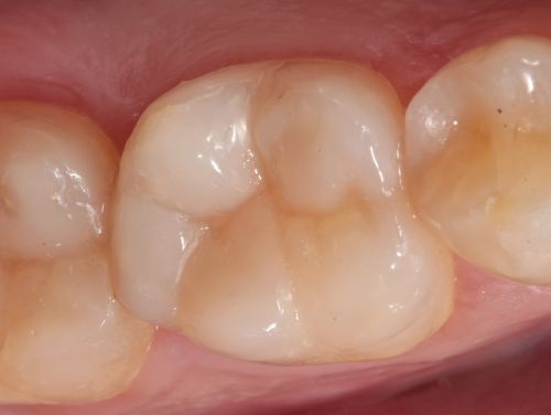
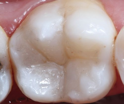
A 35-year-old male presented to the clinic to replace some inadequate restorations, one of which was for the lower right first molar (Fig. 1). For this tooth, the molar was restored with composite resin using the direct technique. The operative field was isolated, the old restoration was removed, and surface hybridization was completed using Futurabond U universal adhesive from Voco (Fig. 2). After placing a sectional matrix and a spacer ring, the composite resin (Voco’s GrandioSO 4U, shade A2) was placed in the proximal box with a thickness less than 4 mm, which is the maximum recommended thickness for the chosen material (Fig. 3). Additional increments of composite resin were applied to complete the anatomical stratification. The final morphology was sculpted, followed by light-curing to ensure complete polymerization (Fig. 4). The rubber dam was removed (Fig. 5), and the occlusion was adjusted using a finishing carbide bur with 12 blades (Fig. 6). Finishing and polishing was completed, with the final result shown in the Figures 7 and 8.
Layers of Success
Fig. 1
Layers of Success
Fig. 2
Layers of Success
Fig. 3
Layers of Success
Fig. 4
Layers of Success
Fig. 5
Layers of Success
Fig. 6
Layers of Success
Fig. 7
Layers of Success
Fig. 8

Case 2
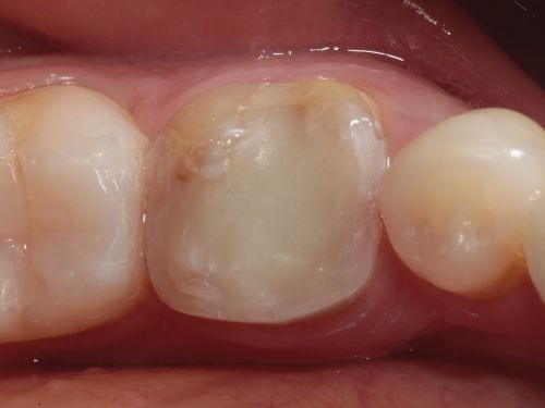
A 50-year-old female patient presented for the replacement of an inadequate restoration on the mandibular left first molar. Following removal of the existing restoration, the decision was made to proceed with the indirect composite restorative technique because of the extent of the necessary preparation (Fig. 9).

Initially, selective enamel etching was performed, followed by the application of a universal adhesive. Subsequently, deep margin elevation and filling of retentive areas were carried out using a flowable composite resin (Voco’s GrandioSO Heavy Flow, shade A3). The objective of this step was to elevate the cervical margin to a supragingival position. The entire remaining tooth structure was covered with GrandioSO Heavy Flow, resulting in a smooth and expulsive surface conducive to the indirect procedure. Final refinement of the preparation was performed with a fine-grit diamond bur to smooth the margins (Fig. 10).
Layers of Success
Fig. 9
Layers of Success
Fig. 10


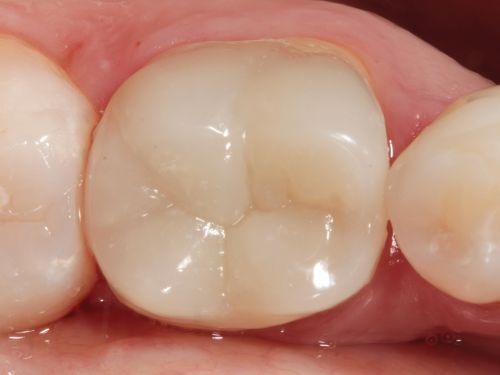
An impression was then taken to obtain a stone model. After the impression was taken, the tooth was temporized, and the patient was dismissed. Once the stone model was set, the model tooth was isolated with a thin layer of wax, and a dentin shade composite resin (GrandioSO 4U Opaque) was applied (Fig. 11). After sculpting the dentin layer, it was photoactivated (Fig. 12). Finally, an enamel shade composite resin (GrandioSO 4U, shade A1) was applied to reproduce the final anatomical contours of the restoration (Fig. 13). The restoration was removed from the model to complete finishing and polishing (Fig. 14).
Layers of Success
Fig. 11
Layers of Success
Fig. 12
Layers of Success
Fig. 13
Layers of Success
Fig. 14


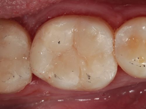
At the subsequent appointment, the temporary restoration was removed atraumatically. The indirect restoration was tried in to assess marginal fit and internal adaptation, followed by minor occlusal adjustments. The internal surface of the restoration was then conditioned by air abrasion using 50 µm aluminum oxide particles at a pressure of two bars (approximately 29 PSI), with the aim of creating micromechanical retention and enhancing the adhesion potential. The operative field was isolated, and the prepared tooth surface was subjected to airborne-particle abrasion using 50 µm aluminum oxide particles to promote micromechanical retention (Fig. 15). Subsequently, the enamel margins were etched with 37% phosphoric acid, followed by the application of a universal adhesive in accordance with the manufacturer’s instructions (Fig. 16). The same adhesive was also applied to the internal surface of the indirect restoration before cementation (Fig. 17). Voco’s Bifix QM dual-cure resin cement was then dispensed, and the restoration was seated onto the tooth surface with gentle pressure (Fig. 18). Light-curing was performed to initiate polymerization, and excess cement was carefully removed (Fig. 19). After rubber dam removal, occlusion was verified and adjusted as necessary, followed by final polishing to restore surface gloss and smoothness (Fig. 20).
Layers of Success
Fig. 15
Layers of Success
Fig. 16
Layers of Success
Fig. 17
Layers of Success
Fig. 18
Layers of Success
Fig. 19
Layers of Success
Fig. 20


Discussion
Large restorations of posterior teeth are procedures frequently performed by dental professionals. Depending on the clinical situation, either the direct or indirect composite placement technique can be considered. The indirect approach is preferable mainly in the face of large carious lesions or fractures resulting in a high C-factor. The indirect composite method allows for enhanced control over anatomic contouring, finishing, and polishing because of extraoral manipulation. Alternatively, the direct technique offers the advantage of completing the restoration in a single clinical session.

When selecting a composite resin for the restoration of extensive posterior lesions, it is essential to consider the material’s mechanical properties. The mechanical properties of the materials themselves may directly influence the longevity and functional stability of the restoration. Bulk-fill composites may represent a viable option because of their ability to be applied in thicker increments, thereby streamlining the clinical procedure. However, there may be compromised aesthetic outcomes with the use of a bulk-fill because of their high translucency, which allows for a deeper depth of cure. That translucency may make them a poor choice in cases requiring a natural shade match (Fig. 21).

There is a direct correlation between the filler content of composite resins and their mechanical performance, particularly with respect to elastic modulus and flexural strength.5 Wear resistance is a critical property to consider in the selection of restorative materials, particularly for extensive restorations in posterior teeth, which frequently involve occlusal contact areas. The long-term preservation of these contacts is essential for maintaining occlusal stability. Certain composite resins demonstrate wear resistance comparable to that of amalgam, which has historically been recognized for its superior performance in this aspect.6

In the reported cases, the same material was used to carry out the restorative procedures. GrandioSO 4U is a universal composite resin with an exceptionally high filler content. Overall, this characteristic provides desirable mechanical properties,5,6 making it suitable not only for high-stress posterior restorations but also for aesthetically demanding anterior cases. The material supports a 4 mm depth of cure, enabling a more efficient restorative process by reducing the number of incremental applications required. It also features Voco’s visual transformation technology, which allows the material to remain translucent during placement—offering better visualization and control—and then transform to a more opaque shade after curing for a natural-looking result. As evidenced in Fig. 22, which displays cured (left) and uncured (right) samples, this unique shift enhances the final aesthetics.
Layers of Success
Fig. 21
Layers of Success
Fig. 22


Conclusion
The direct technique for restoring large lesions in posterior teeth can produce excellent results if the material chosen has qualities supporting adequate wear resistance and mechanical performance.

The indirect composite technique is a viable alternative for cases where the C-factor is high or when a technical difficulty presents in sculpting the restoration.

The GrandioSO 4U is a powerful universal composite resin that can be used in both the direct and indirect composite techniques to restore posterior teeth, while still offering the aesthetics and physical properties appropriate for anterior cases as well. 


References
1. Gerula-Szymanska, A., Kaczor, K., Lewusz-Butkiewicz, K., et al. “Marginal integrity of flowable and packable bulk-fill materials used for Class II restorations: A systematic review and meta-analysis of in vitro studies.” Dental Materials Journal, June 5, 2020; 39(3): 335–44. doi:10.4012/dmj.2018-180.
2. Dejak, B., Mlotkowski, A., et al. “A comparison of stresses in molar teeth restored with inlays and direct restorations, including polymerization shrinkage of composite resin and tooth loading during mastication.” Dental Materials, March 2015; 31(3): e77–87. doi:10.1016/j.dental.2014.11.016.
3. Sampaio, C.S., Barbosa, J.M., Cáceres, E., et al. “Volumetric shrinkage and film thickness of cementation materials for veneers: An in vitro 3D microcomputed tomography analysis.” Journal of Prosthetic Dentistry, June 2017; 117(6): 784–91. doi:10.1016/j.prosdent.2016.08.029.
4. Josic, U., D’Alessandro, C., Miletic, V., et al. “Clinical longevity of direct and indirect posterior resin composite restorations: An updated systematic review and meta-analysis.” Dental Materials, December 2023; 39(12): 1085–94. doi:10.1016/j.dental.2023.10.009.
5. Lopez, C., Nizami, B., Robles, A., et al. “Correlation between dental composite filler percentage and strength, modulus, shrinkage stress, translucency, depth of cure and radiopacity.” Materials, Aug. 6, 2024; 17(16): 3901. doi:10.3390/ma17163901.
6. Lazaridou, D., Belli, R., Petschelt, A., et al. “Are resin composites suitable replacements for amalgam? A study of two-body wear.” Clinical Oral Investigations, July 2015; 19(6): 1485–92. doi:10.1007/s00784-014-1373-4.


Author Bio
Dr. Mauricio Umeno Watanabe Dr. Mauricio Umeno Watanabe is a prosthodontist and oral surgeon based in Birigui, Brazil. He lectures internationally on aesthetic dentistry and has published extensively on composite resins and restorative techniques.





Sponsors
Townie Perks
Townie® Poll
Do you routinely screen adult patients for sleep-disordered breathing or obstructive sleep apnea?


  
The Dentaltown Team, Farran Media Support
Phone: +1-480-445-9710
Email: support@dentaltown.com
©2026 Dentaltown, a division of Farran Media • All Rights Reserved
9633 S. 48th Street Suite 200 • Phoenix, AZ 85044 • Phone:+1-480-598-0001 • Fax:+1-480-598-3450