We are aware of an issue preventing most videos from displaying and are working to fix it. Thank you for your patience.

Townie Casefile: A Freehand Composite Rehab

Townie Casefile: A Freehand Composite Rehab 

One patient, seven years, and a case that defied conventional treatment planning


Townie Casefiles is a brand-new feature designed to spotlight exceptional case studies from our own community. Each article highlights real-world clinical techniques, decision-making strategies, and long-term outcomes from Townies who share their expertise on the Dentaltown message boards.


Case Highlights
  • Clinician: C. Terrence Shaw, DDS
  • Provenance: Adapted from a Dentaltown case thread.
  • Patient: Male, professional singer; age 63 at start of care
  • Treatment dates: Mandibular, June 2018; maxillary, September 2018
  • Follow-up: Updated photos August 2025 (7 years)
Severe tooth wear, a collapsing bite, and a patient whose livelihood depended on his voice; this was the challenge presented to Dr. C. Terrence Shaw. Referred by a friend while on tour, professional singer John McDermott sent Shaw iPhone photos and radiographs for review. Instead of a lengthy, invasive plan involving orthodontics and multiple crowns, Shaw proposed a minimally invasive, additive solution using direct composite.


The patient and the plan
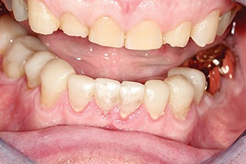
At presentation, the patient showed significant wear on the anterior teeth, with the lower incisors nearly absent from view and occlusion severely flattened (Fig. 1). The maxillary bicuspids sat buccal to their lower counterparts. The patient reported no pain, and radiographs showed no active pathology.
Townie Casefile: A Freehand Composite Rehab
Fig. 1: Pre-op wear

Conventional treatment plans had leaned toward orthodontics, multiple crowns, and possible elective root canals, requiring significant time and expense. However, as a professional singer, McDermott declined orthodontic treatment because he didn’t believe he could perform with wires running around his mouth. Shaw instead offered an alternative: rebuild the dentition chairside using direct composite, focusing on restoring form, function, and aesthetics while preserving as much natural structure as possible.


Isolation and preparation
Shaw emphasized the importance of proper isolation for predictable bonding. Using a 90N clamp and rubber dam (Fig. 2), he sandblasted the tooth surfaces before etching to ensure bonding to a clean substrate. Much of the lower incisor work required bonding directly to dentin, making technique and moisture control essential to long-term success.
Townie Casefile: A Freehand Composite Rehab
Fig. 2: Rubber dam isolation


Building palatal first, aesthetics second
The restoration began palatally. Shaw used 3M Z250 A2 composite to create structural support (Fig. 3), then layered Renamel A1.5 on the facial where enhanced aesthetics were desired (Fig. 4). To limit pullback, he coated the Renamel wafer with bonding resin before shaping it into the interproximal.
Townie Casefile: A Freehand Composite Rehab
Fig. 3: Palatal build-up
Townie Casefile: A Freehand Composite Rehab
Fig. 4: Facial veneer layer

Cure-Thru contoured matrices helped control thickness and light transmission, while Bioclear matrices were used at the gingival to create natural flare and minimize black triangles. Where the upper first premolars lacked prominence in the smile corridor, Z250 was added to lengthen and highlight the buccal cusps (Fig. 5).
Townie Casefile: A Freehand Composite Rehab
Fig. 5: Finished composite surface


Finishing for longevity
Shaw relies on a simple, efficient finishing sequence. He begins with a small diamond for initial shaping, follows with a 7901 carbide for fine labial refinement, and finishes the palatal surface with a 30-fluted 7408, which leaves it smooth enough to require no further polishing. A final pass with Sof-Lex Superfine discs provides a natural luster without unnecessary steps (Fig. 6).
Townie Casefile: A Freehand Composite Rehab
Fig. 6: Buccal cusp enhancement


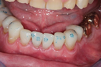
Occlusion: ‘Grind the blue marks’
Shaw’s occlusal philosophy centers on a hands-on, iterative process. He builds, marks, and adjusts until all teeth contact evenly (Fig. 7). His goal is balanced group function with light canine guidance, while ensuring no single tooth bears excessive load.

Because the bicuspids sat buccal to their natural occluding position, he selectively added composite to opposing molars, improving functional stability without requiring orthodontic intervention.
Townie Casefile: A Freehand Composite Rehab
Fig. 7: Occlusion adjustments


Night guards and natural wear
The patient did not receive a night guard. Shaw explains that composite behaves differently from porcelain, wearing naturally in a way that can help protect itself. Combined with balanced occlusion, this allows many patients to maintain long-term function without additional appliances.


Time, effort, and accessibility
The upper arch rehabilitation was completed in a single four-hour appointment, following earlier work on the lower arch (Fig. 8). Shaw notes that his direct composite approach allows him to deliver full rehabilitations in a way that is accessible to more patients than traditional treatment paths, which often involve longer timelines, more providers, and higher costs.
Townie Casefile: A Freehand Composite Rehab
Fig. 8: Upper arch during rehab


Immediate results
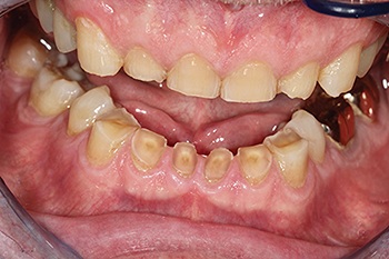
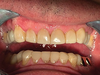
At delivery, the transformation was striking (Figs. 9–10). Incisal display returned, posterior support was reestablished, and aesthetics improved dramatically. McDermott tested his voice immediately after treatment, confirming that the restored occlusion supported his ability to continue singing.
Townie Casefile: A Freehand Composite Rehab
Fig. 9: Immediate post-op smile
Townie Casefile: A Freehand Composite Rehab
Fig. 10: Final full-face


Seven years later
Shaw has provided periodic updates on this case in the Dentaltown thread since completing treatment. At 20 months, the composites showed no failures. At three years, wear was minimal, and occlusion remained stable. At five years, the restorations continued to perform well.

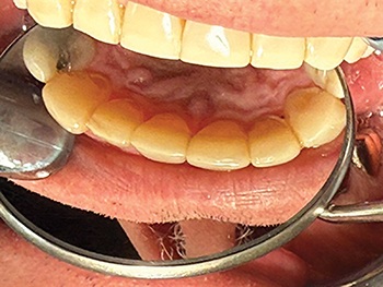
In August 2025, seven years post-treatment, updated photos captured with an iPhone 16 Pro show excellent stability (Fig. 11). The lower incisors, built largely on dentin, remain intact and functional (Fig. 12). There is some expected calculus buildup on the lingual surfaces between hygiene visits. Still, there have been no significant fractures or debonding.

Now approaching his 70th birthday, McDermott remains satisfied with both the function and aesthetics of the restorations. Beyond his dental success, he has become a close friend of Shaw’s over the years and is giving back to the community by performing a benefit concert supporting the town’s local food bank and a group of young, underfunded musicians learning to play instruments.
Townie Casefile: A Freehand Composite Rehab
Fig. 11: Seven-year follow-up overview
Townie Casefile: A Freehand Composite Rehab
Fig. 12: Lower incisors at seven years


Lessons from the technique
Shaw attributes the success to several clinical habits developed over decades of experience:
  • Sandblast first to ensure proper etching on a clean surface.
  • Build palatal support before refining facial aesthetics.
  • Use matrices to manage contour, embrasures, and light transmission.
  • Choose efficient finishing tools that produce smooth, durable surfaces.
  • Balance occlusion carefully, eliminating overload on any single tooth.
He also notes that study models and wax-ups can be helpful for clinicians early in their learning curve, but over time, his approach has evolved toward freehand additive techniques combined with precise intraoral adjustments.


What colleagues asked
The Dentaltown community raised several questions about this case, and Shaw’s responses provided additional insight.

How do you achieve retention on worn, flat dentin?
Isolation and surface preparation are key. Sandblasting and careful bonding techniques make longevity possible even when enamel is limited.

Why not splint the lower anteriors?
Splinting would have been technically challenging and was unnecessary in this case. Despite minimal structure, fractures have been rare.

Do composites stain over time?
Shaw notes that tobacco and other habits can cause surface discoloration, but staining does not compromise function when patients maintain hygiene and return for regular maintenance.

How do you determine incisal edge position without a wax-up?
Shaw bases the initial length on typical norms for tooth dimensions, then refines intraorally during occlusal adjustment to achieve balanced function and aesthetics.


The case and the message
This case is not a rejection of crowns or orthodontics but an example of how additive dentistry, when performed with careful technique, can achieve long-term success with less invasiveness and reduced treatment complexity. It demonstrates that durable results are possible when clean isolation, thoughtful occlusal management, and disciplined composite layering come together.

Seven years later, the restorations remain functional and aesthetic. The patient continues to sing comfortably, and the smile displays healthy incisal length and balance. For cases once thought to require extensive reconstruction, this approach demonstrates a viable, conservative alternative.

View the full case study and join the conversation!


Great Dentists, Great Dentistry
Author Dr. C. Terrence “Terry” Shaw practices in Perth-Andover, New Brunswick. Known on the Dentaltown message board as dkdocterry, he has been a member since 2007 and has authored numerous articles for Dentaltown magazine as well as continuing education courses on Dentaltown.com.





Sponsors
Townie Perks
Townie® Poll
Do you routinely screen adult patients for sleep-disordered breathing or obstructive sleep apnea?
  
The Dentaltown Team, Farran Media Support
Phone: +1-480-445-9710
Email: support@dentaltown.com
©2026 Dentaltown, a division of Farran Media • All Rights Reserved
9633 S. 48th Street Suite 200 • Phoenix, AZ 85044 • Phone:+1-480-598-0001 • Fax:+1-480-598-3450