Long Story Short: A Controversial Case? by Dr. Bill Schaeffer

Categories: Implant Dentistry;
Long Story Short: A Controversial Case? 

A longtime Townie shares a 15-year follow-up of a case once deemed ‘irresponsible’ by most dentists


by Dr. Bill Schaeffer


Fifteen years ago, I posted a case that—initially—provoked a huge negative reaction from Dentaltown readers. Today, just about everyone accepts that short implants work very well, but 15 years ago, the prevailing opinion was longer implants were better. You might use a short implant as a last resort, but never if there was another other option.

I had been known for some time on Dentaltown as someone comfortable using what most people in 2009 considered short dental implants. I had already posted many successful cases, but the accepted teaching back then was short implants simply wouldn’t stand the test of time.

The case I’m going to show you was posted as a bit of a challenge to that conventional thinking. The patient, Frances, was a lovely 60-year-old woman when she first came to see me in 2009. She had lost her lower left first molar many years before and the premolar (bicuspid) in front was on borrowed time.
Long Story Short: A Controversial Case?
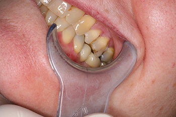
Fig. 1: Pre-op with missing molar.
Long Story Short: A Controversial Case?
Fig. 2: Pre-op occlusion.
Long Story Short: A Controversial Case?
Fig. 3: Pre-op PA


Frances was seen by my colleague, a prosthodontist, who treatment-planned her to have the premolar removed and a single implant placed into the molar site. That implant would then be used to support a cantilever bridge, replacing both the molar and premolar teeth.

Now, this wasn’t something I had planned myself, but I was comfortable using short implants and cantilever restorations—I just hadn’t put the two together before!

So, I placed an 8 mm-long Ankylos implant into her lower left first molar site. Three months later, the prosthodontist restored it with a cantilever bridge.

In 2011, two years after I placed the implant, I posted Frances’ case on Dentaltown. Not surprisingly, the reactions were strong: “Enjoy redoing this case for free years from now,” and “Any way you slice it, this case was a gamble,” and “I think this thread is somewhat irresponsible.”

I completely understood why these comments were made. Even today, this treatment seems a little crazy, let alone 15 years ago. Many people suggested that, as I had the bone to do so, I should have placed a longer implant. The majority of the posts suggested that I should have placed two implants to restore this gap, something that would have been easy for me to do. So why didn’t I do it? Why place a single short implant instead of two longer ones?
Long Story Short: A Controversial Case?
Fig. 4: Placement PA with extraction of the premolar.
Long Story Short: A Controversial Case?
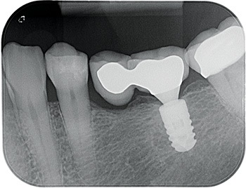
Fig. 5: Restoration PA.
Long Story Short: A Controversial Case?
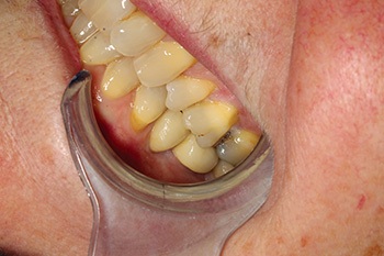
Fig. 6: Restoration view.
Long Story Short: A Controversial Case?
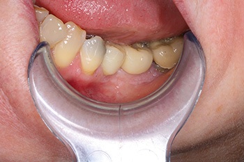
Fig. 7: Restoration view in occlusion.


Looking back
I started on my implant journey in 1996, placing Bicon implants. Back then, there was no such thing as a short implant. Everyone placed the longest implant they could possibly get into the site. Bicon’s shortest implant at the time was an 8 mm, but you’d only ever use it if there was no way to place something longer.

A year later, Bicon brought out an implant that was 6 mm x 5.7 mm—wider than it was long! This was a crazy implant, and though I had a few in my implant drawer, I didn’t think I’d ever actually use them. Then came my first case where I had no option but to use this implant, and a few days later, I had another case just like it. So, in the space of a week, I placed two of these silly, short implants. I buried them each for six months before uncovering them, as I didn’t really think they’d work—but they did! Other than looking odd on the X-ray, they worked fantastically!

Still, I wasn’t comfortable placing them, and it was a gradual process to accept them. In 2004, Bicon offered 5 mm x 6 mm implants, and by that time, I had fully accepted that short implants worked, even though I was told by everyone they didn’t.

The truth is, by 2009, I didn’t consider an 8 mm long implant short because I had been successfully placing 6 mm long implants for years. The shortest Ankylos implant at that time was 8 mm, so this just wasn’t an implant length that concerned me in the slightest, despite being considered as “dangerously short” by most. On top of that, I’d been restoring implants with cantilevers for many years, so this wasn’t a worry either.

Back to Frances. I was quite comfortable with the unconventional treatment plan my prosthodontist suggested. The only real question, as many who commented pointed out, was how long it would ultimately last.

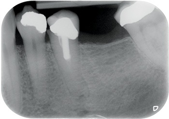
Well, Frances moved to the other side of the country, but I used to see her initially once a year and then every two years, free of charge, just so I could post updates of the case to Dentaltown. As you can see from the most current X-rays, not only has the implant survived, but the bone around the implant (what many worried would be overloaded and lost) looks even better in 2024 than it did in 2009 when the implant was first restored!
Long Story Short: A Controversial Case?
Figs. 8–10: Fifteen years after restoration.
Long Story Short: A Controversial Case?
Long Story Short: A Controversial Case?


Looking ahead
What does this case prove? Well, possibly nothing at all. Anything can work once. Or perhaps we might glean some useful nuggets of information from it.

One might expect the loading of the bone around a short implant supporting both a molar and a premolar restoration to be really quite high. Classic teaching suggests bone responds to overload by resorbing. But the bone around this implant looks even better after 15 years of overload than it did when it was first restored.

Perhaps we expect too little of the bone around implants. Perhaps, just like muscle, bone responds to loading by becoming stronger, which explains why Frances’ implant X-ray shows better bone levels after 15 years.

Short implants were always thought to be a compromise because of the unfavorable crown to root ratio inevitably produced. We know from decades of studying teeth that restorations with a large ratio loosened up and failed faster than ones with small ratios. This thinking was automatically transferred over to dental implants when they first came out. That thinking might be wrong. The ratio rules might not apply to implants in the same way they do for teeth with a periodontal ligament.

Or maybe the best thing to learn from this case is even crazy-looking treatments can work if you choose the patient carefully and have a little luck! 

Author Bio
Author Dr. Bill Schaeffer is an implant surgeon at The Implant Centre in Hove, England, a practice he co-founded. He holds dual qualifications as a dentist and medical doctor and is a registered specialist oral surgeon. He has both a fellowship and membership from the Royal College of Surgeons of England. His journey in implant surgery began in 1996, and he has since become one of the UK’s leading implantologists, pioneering techniques used worldwide. His meticulous approach has resulted in a success rate of more than 99% for implants. He served on the executive committee of the Association of Dental Implantology and became its director of education in 2009. He has been a member of Dentaltown since 2003. 

Sponsors
Townie Perks
Townie® Poll
Who or what do you turn to for most financial advice regarding your practice?
  
The Dentaltown Team, Farran Media Support
Phone: +1-480-445-9710
Email: support@farranmedia.com
©2025 Dentaltown, a division of Farran Media • All Rights Reserved
9633 S. 48th Street Suite 200 • Phoenix, AZ 85044 • Phone:+1-480-598-0001 • Fax:+1-480-598-3450