Taking the ‘Complicated’ Out of Complex Rehabilitation by Dr. Agatha Bis

Categories: TMJ and Occlusion;
Taking the ‘Complicated’ Out of Complex Rehabilitation 

A plan for opening the vertical and managing the bite when treating chronic pain patients


by Dr. Agatha Bis


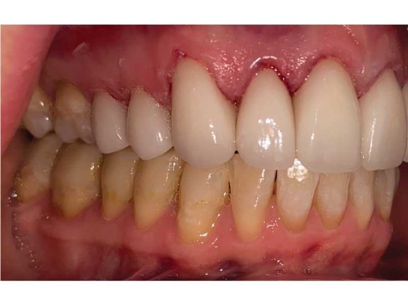
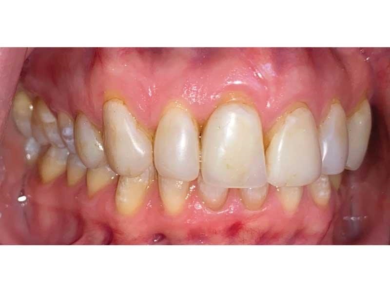
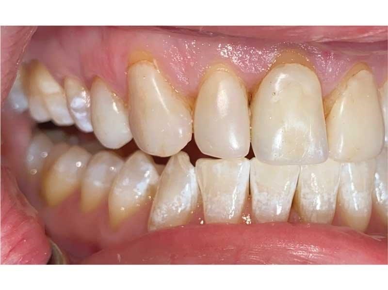
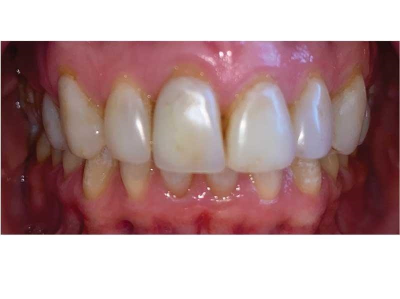
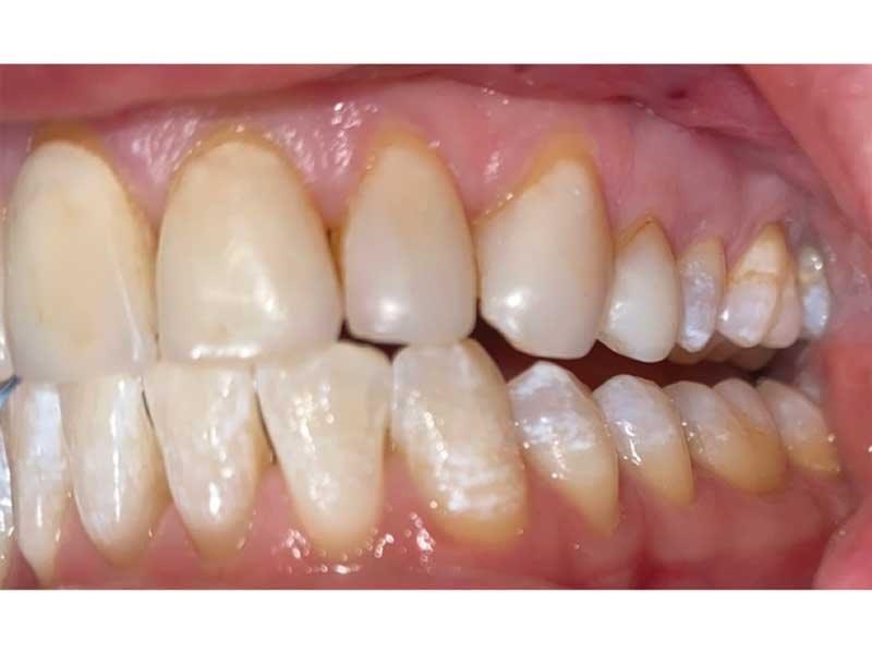
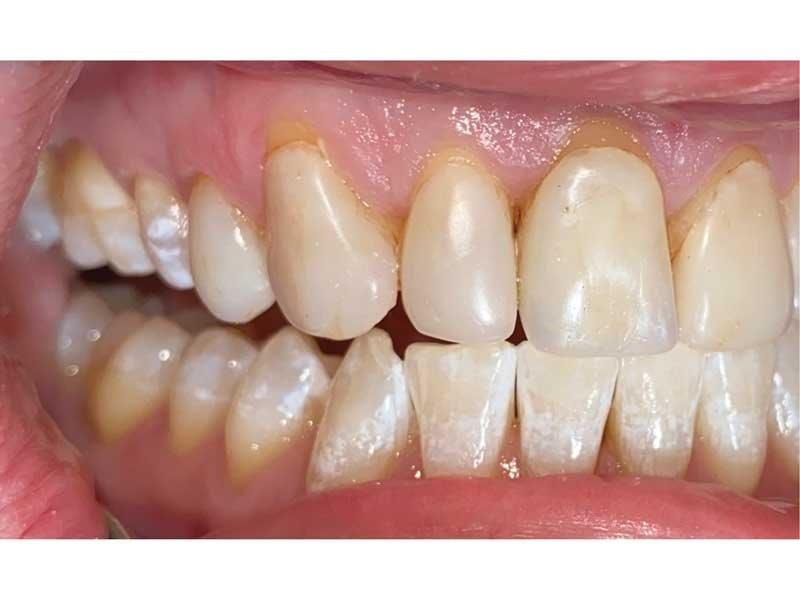
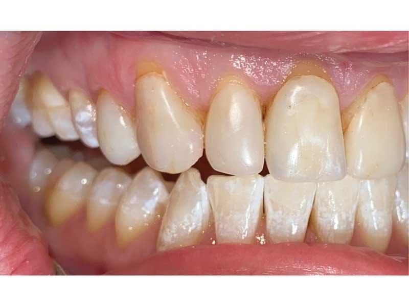
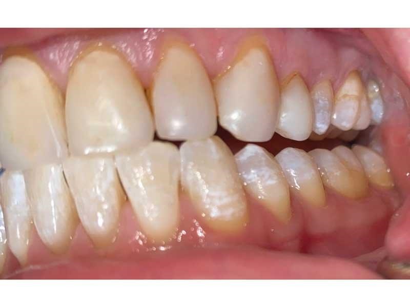
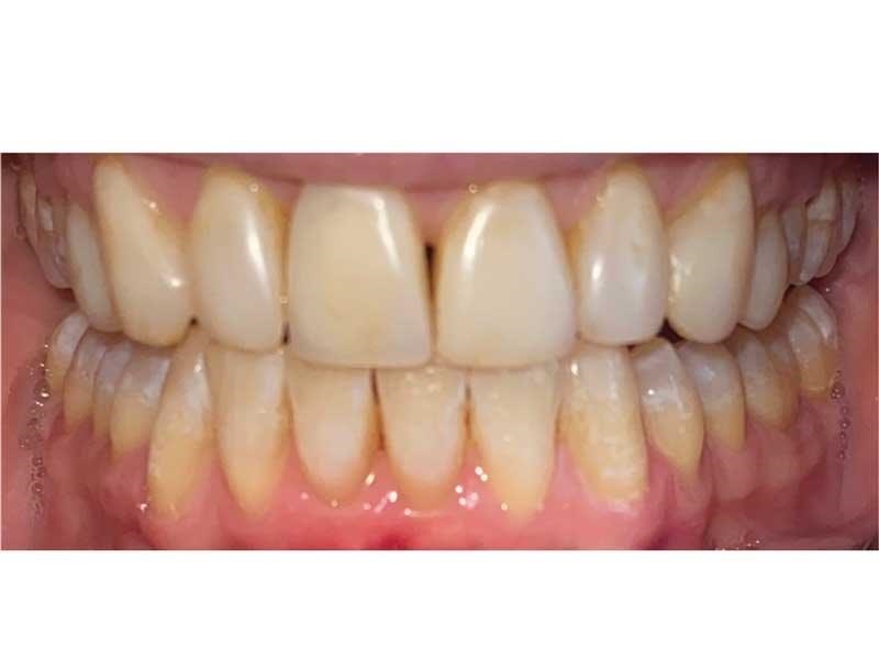
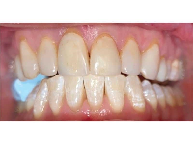
Meet Lorraine, who came into my office to “redo her bonding.” Lorraine had some upper anterior teeth done years ago with resin, which now was dull, stained and breaking down (Figs. 1–3). She had an amount of money in mind that she thought it would cost. She was very wrong.

Lorraine is like many of our patients: They come in with one issue they want fixed and think they know about how much that should cost. So what do you do? Exam, radiographs, photos, notes: Check. Discuss what they want and how it compares to what you think they should do: Check. The amount of money they budgeted won’t even come close to what they need to spend to get it done, so you chat about options: Check. But what if you see a bigger issue that they’re not even aware of? How do you address it, get them to consider it and, ultimately, influence them to go in a completely different direction?

It starts with you.

Dental Occlusion
Fig. 1
Dental Occlusion
Fig. 2
Dental Occlusion
Fig. 3

Making occlusion easier (but still not “easy”)


My entire life, I have been obsessed with answering one single question: How do I fix this? And although this is not a psychology journal, it’s important for us to realize that our identity—who we believe we are—is what makes us do specific things, say certain words and behave in a consistent manner. If you only know what you know and don’t learn or open yourself up to new possibilities and new information, then you’ll never grow into the ultimate version of who you could be. But what if you could be something more? What if you could become known for something greater? That’s where true passion comes from. And my contribution here is to add simplicity to a complicated field of dentistry.

Dentistry has been my profession for more than 25 years. But my passion took me in a specific direction: the chronic pain patient. Combining my passion with my obsession to fix this became a journey of learning, comparing and tweaking everything I learned so that I could not only apply it in my practice but also make it less complicated. So I took the concepts I learned, reduced them to their basic components, then simplified the process until it became a simple system I’m going to show here.

Right off the bat: These cases are not “simple.” Chronic pain patients are the most challenging, difficult and unmanageable patients we see and the dentistry involved to restore them can often seem extreme. But if you can go into these cases like I do—slowly, gently and reversibly until you are absolutely certain that you can help them—then I bet you will not only fix most of them and resolve their symptoms, you will also become known for doing something unique and those patients will be eternally grateful.

Challenge 1: Porcelain veneers versus resin. I was going to talk to Lorraine about porcelain veneers as opposed to resin and the difference in cost. She told me what she had budgeted, and veneers would be triple the amount she had in mind.

Challenge 2: Number of teeth. Lorraine had eight teeth with “bonding” on them, so she assumed we’d be talking about doing eight of something, whether resin or porcelain. But her buccal corridor spaces were dark and suggested narrowed arches, and when I brought that up, Lorraine said she had always wanted a “wider” smile.

The big challenge: Retruded and overclosed. Lorraine looked retruded and overclosed, so I started to ask her about headaches, jaw issues and chronic pain. As we talked, she revealed that she had been in severe pain her whole life. She had all the signs and symptoms of TMD and had been to multiple doctors, pain clinics, alternative medicine practitioners, massage therapists, chiropractors, osteopaths … you name it.

She told me she had just finished orthodontics and was not interested in more. She also did not want surgery, but when I suggested I could help her with her chronic pain in addition to doing her veneers, she didn’t know whether to talk about it or not because she had lost hope. So where do you go from here?

Sometimes our patients come in with one thing and we see another. And because this is not an article about the specifics of presenting cases to patients to maximize the odds of acceptance, I’ll skip over my system for presenting these types of cases to patients and get right down to how to restore this type of case and manage the bite, plus share some simple tricks that I’ve developed over the years to simplify this process. I will also discuss some failures and challenges along the way, so you don’t make these mistakes yourself. Here we go …

Disclaimer: Please excuse the quality of some photos. When I get in the zone of treating these types of patients, I don’t really think about where the photos will be used, so some of them may not have enough lighting or focus, but you get the point.

System 1: Fixed or removable orthotic with full lab support (aka “the basics”)

Time for transcutaneous electrical nerve stimulation (TENS) and shooting a TENS bite with PVS (Fig. 4). I use TENS all the time, especially with retruded cases, and confirm against the golden proportion principles. (In System 3, I’ll discuss what I do if I need to skip the TENS and approximate where the patient should be to get them out of pain quickly.)

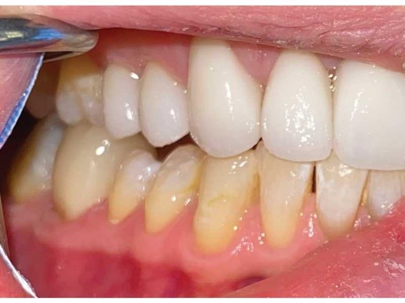
Figs. 5 and 6 show how Lorraine looked in the TENS bite position: The posterior opens and she positions forward and down.

Dental Occlusion
Fig. 4
Dental Occlusion
Fig. 5
Dental Occlusion
Fig. 6

Send the results to your lab to mount on articulator using the TENS bite. Because you’re opening the vertical and likely bringing the mandible forward, that will result in posterior or full-arch spaces, so mounting to the TENS bite will dictate how much vertical change you’ll need to make to get this patient comfortable. Ask the lab to wax up to occlusion—either just in the posterior or a full arch. Because this patient came forward and down in the posterior while her anteriors maintained good overbite/overjet, I did not include the lower anteriors in the wax-up (Figs. 7 and 8).


Dental Occlusion
Fig.7
Dental Occlusion
Fig. 8

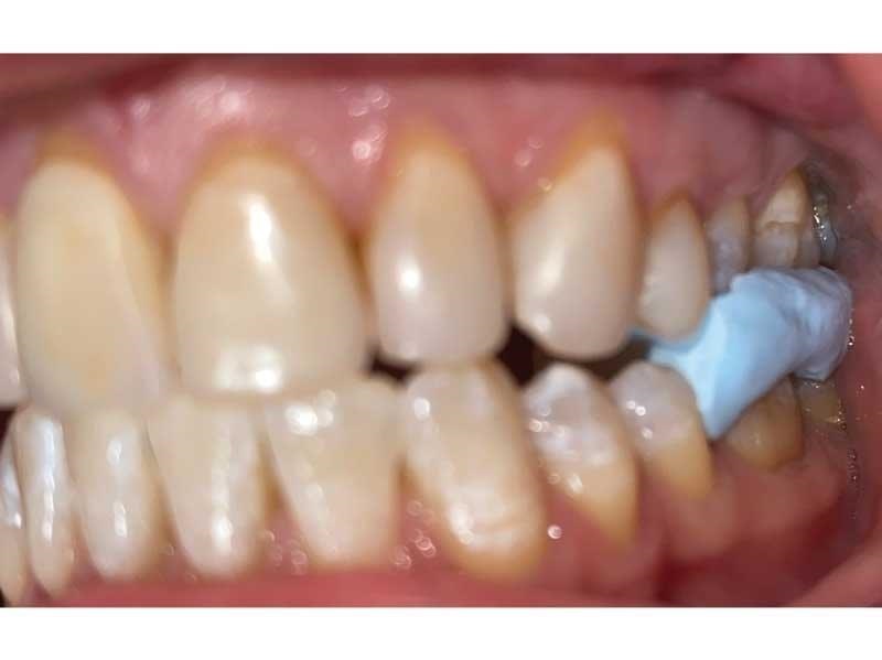
If making a fixed orthotic: Using the wax-up of the opened vertical, have the lab fabricate a Siltec stent (Fig. 9) so you can open the vertical with a temporary material before doing anything permanent. I always ask for a Siltec stent to fabricate provisionals, as well as reduction guides, to help me when prepping. (If making a removable orthotic, you can skip this step.)

Because we were doing veneers on the uppers, I had the lab wax up 10 uppers for veneers as well (Fig. 10), so I could open up the patient’s smile by broadening the buccal corridor and bringing out the bicuspids.


Dental Occlusion
Fig. 9
Dental Occlusion
Fig. 10

System 2: Fixed orthotic built by you or team member (aka “the middle”)


There are many times where I want to do a fixed orthotic for a patient but don’t want to send it out to a lab. There could be time constraints, the patients are eager to get going, they’ve driven hours to see me so we don’t want another appointment if we can get around it—whatever the reason, I want to have them in an orthotic faster than the typical lab turnaround time.

In these cases, I will use the TENS bite to mount the models on an articulator myself, or have someone on my team do this. Then I add resin to the buccal cusps (if adding to lower teeth) or lingual cusps (if adding to upper teeth) and, before curing, close the articulator down so the pin touches at zero, then cure the resin. You may want to add Vaseline to opposing teeth so you don’t get them stuck together.

Once partially cured, I open the articulator and add additional resin to create more ideal tooth shape, then cure and trim (Figs. 11 and 12). Then I make my own Siltec stents and we’re good to go (Fig. 13).


Dental Occlusion
Fig. 11
Dental Occlusion
Fig. 12
Dental Occlusion
Fig. 13

Remember to watch out for undercuts or missing teeth! I learned that the hard way on a patient who was not only missing a tooth but also had severe undercuts on a few teeth because of tipping and tooth position. When I placed the Siltec stent in her mouth to make the orthotic, I couldn’t get it out!

If you have a patient who has undercuts or tipping, make sure to use wax to block some of it out, so the stent can be easily removed when it’s time to use it in the mouth.

System 3: Fixed orthotic fast (aka “fast and furious”)


My obsession with fixing things makes me keep looking at ways to get chronic pain patients out of pain more quickly and simply, which led to this system I often use to deliver results immediately once the patient is ready to go ahead with treatment.

I will shoot a TENS bite and then, instead of printing and mounting models, I trim the bite into sections. Or another simple shortcut is to get them to come forward, approximate the golden ratio, and shoot a bite in this position, as seen in Figs. 14–16. Have the patient slide forward until her anteriors look like they’re in a normal position, rather than retruded, and shoot a PVS bite registration to capture the posterior vertical change.


Dental Occlusion
Fig. 14
Dental Occlusion
Fig. 15
Dental Occlusion
Fig. 16

For this type of posterior opening, I trim the bite so I can hold one side and build up the other.

You have to be careful here: Some people can tilt or rotate, so always keep measuring; see below for more information on measuring and maintaining vertical at all times.

In a case where there is a tilt or rotation, I keep both sides closed on the TENS bite and build up the bicuspids first—so, trim one of the TENS bites so you expose the bicuspids. Once you have those built up, you can move to the first molars; in a very unstable patient, I do this one tooth at a time and measure, measure, measure (Figs. 17–22).


Dental Occlusion
Fig. 17
Dental Occlusion
Fig. 18
Dental Occlusion
Fig. 19
Dental Occlusion
Fig. 20
Dental Occlusion
Fig. 21
Dental Occlusion
Fig. 22

Then I build up the bite the same way I did on the articulator—by adding some resin to a buccal cusp (on the lower) or lingual cusp (on the upper), having the patient close into the resin—don’t forget the Vaseline on opposing teeth—curing for a few seconds while they’re biting down, asking them to open and fully finishing curing.

Knowing which tooth/teeth to start with is important here, because you want to hold the vertical on both sides at all times. So before you do this, place the sectioned TENS bite in the mouth and have the patient close down and check your measurements.

I am constantly checking and rechecking measurements for vertical height changes. At each step, check the measurement from cervical to cervical of opposing teeth. I often do one posterior measurement on right, one on left, and one in the anterior. So, cervical of first molar on upper to opposing lower on each side, and cervical of one upper central incisor to opposing lower. If something changes along the way, you know you lost or increased your vertical, so always keep checking to make sure you are keeping the vertical where it should be.

Once you build up the resin on both sides, make sure to check with articulating paper—initially to get rid of any interferences and flash, smooth everything out and polish—and then go back with Shimstock to refine and create even posterior contacts. You want this bite to feel even and comfortable to your patient, so if something is too heavy or too light, you need to adjust before they leave.

After using articulating paper and Shimstock, I often check the bite again with TekScan to confirm balance and find any small interferences (Fig. 23).

Dental Occlusion Fig. 23

Done in a day


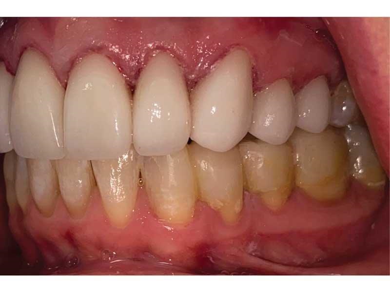
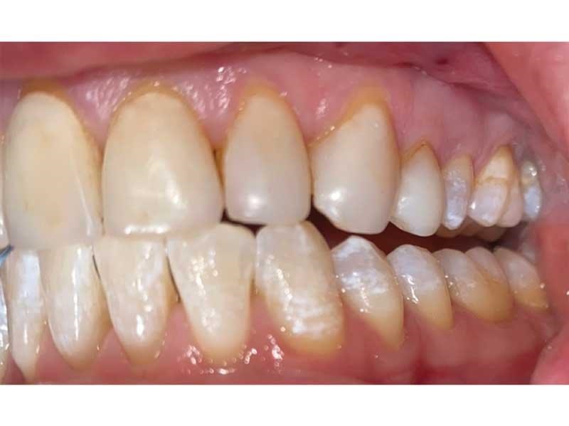
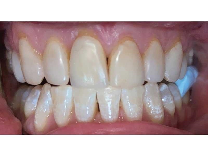
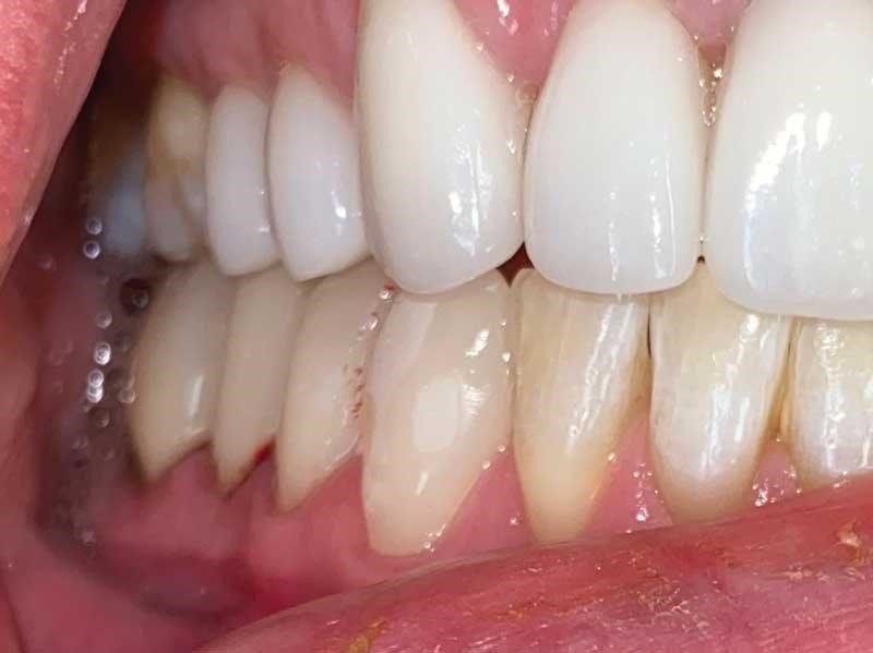
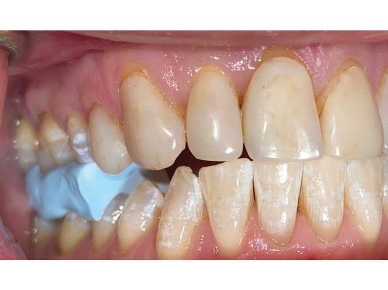
Lorraine drives six hours each way to see me, so I did her case all in one day: TENS bite; sectioned it; built up the lowers with resin to open the vertical (this is one of the cases I didn’t want to send out to a lab); prepped for 10 upper veneers (Fig. 24); temporized uppers; checked occlusion; and refined with TekScan. She came in with broken-down bonding and constant migraines, and left with beautiful temporaries and no more headaches. She came down a few weeks later to insert her gorgeous veneers (Fig. 25, thanks to Aurum Group) and I prepped, scanned, designed and milled and inserted her lower onlays to restore her lower teeth to her new vertical (Figs. 26–31). She has been pain-free ever since.

Dental Occlusion
Fig. 24
Dental Occlusion
Fig. 25
Dental Occlusion
Fig. 26
Dental Occlusion
Fig. 27
Dental Occlusion
Fig. 28
Dental Occlusion
Fig. 29
Dental Occlusion
Fig. 30
Dental Occlusion
Fig. 31

Conclusion


I see Lorraines all the time. Daily. But I never used to, because I didn’t know what I didn’t know. Once I knew, I couldn’t hold back. Pay attention. Look for clues. These people are all around you. And if you can help them, heal them, free them of their pain and deliver beautiful dentistry in the process, it’s a life-changer. For them and for you.

Author Bio
Agatha Bis Dr. Agatha Bis holds a DDS from University of Western Ontario and has been in practice for 25 years. Bis has studied extensively on her topics of interest, including cosmetic dentistry, full-mouth rehabilitation, and TMD and chronic pain resulting from malocclusion. She has spent years learning how to simplify complex procedures and make them patient and dentist-friendly.

 

Support these advertisers included in the June 2021 print edition of Dentaltown magazine.

Click here for an entire list of supporters.

 
 
Sponsors
Townie Perks
Townie® Poll
Do you routinely screen adult patients for sleep-disordered breathing or obstructive sleep apnea?
  
The Dentaltown Team, Farran Media Support
Phone: +1-480-445-9710
Email: support@dentaltown.com
©2026 Dentaltown, a division of Farran Media • All Rights Reserved
9633 S. 48th Street Suite 200 • Phoenix, AZ 85044 • Phone:+1-480-598-0001 • Fax:+1-480-598-3450