Case presentation
Altered passive eruption is a condition that frequently brings patients into the dental office seeking a solution to esthetic problems.
Most of the patients I see in my office who are willing to solve these problems are women between the ages of 20 and 35.
Below I will present a case of a 27-year-old woman diagnosed with an altered passive eruption (Type I, Subtype B1).
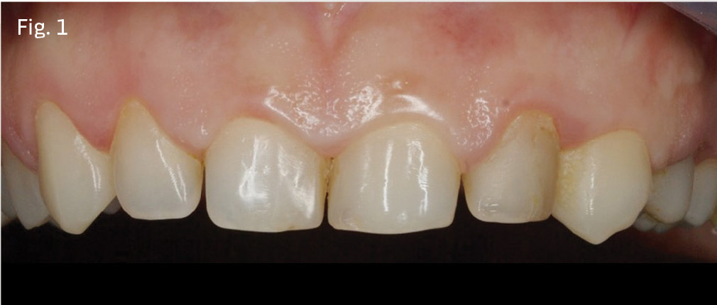
The patient presented with signs of both a gummy smile and poor dental morphology (Fig 1).
With this in mind, surgical crown lengthening alone could not solve the esthetic demand. Further restorative implications were imperative. Surgical planning was done upon a dye cast. This was a crucial part of the procedure. For good outcomes, clear visualization of the final result is mandatory.
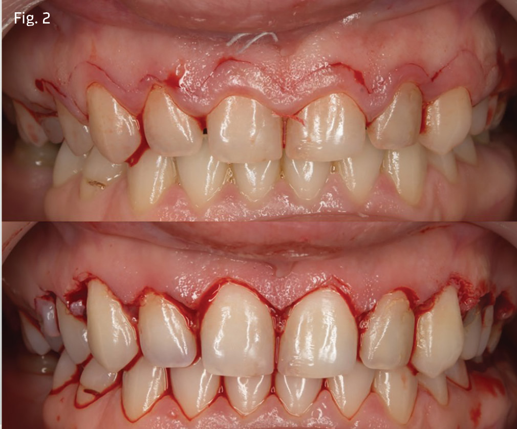
A gingivectomy was performed with a 15c blade. The blade followed the outlines which were transferred via a surgical stent. After the plain removal of gingival tissues a new tooth morphology could be visualized (Figs. 2 & 3).
One thing to mention is that in this particular case, the gingivectomy could be performed safely, due to a very large amount of keratinized tissues that were present apical to CEJ. It is important to consider that in some particular cases, a gingivectomy is not a viable option, especially when there is a minimal amount of keratinized tissues.
Those cases require a split mucosal flap and an apical reposition of gingival margin. Of course, this technique would be anticipated after treatment planning.
Keratinized tissues are not a prerequisite of odonto-perio homeosthasis. However, they might induce certain clinical situations like tooth sensitivity, poor mucosal perio response (if restorative margins are close to gingival margin), poor esthetics, etc.
Tooth 2.2 is a good example of the plaque harbo. This was subgingival plaque which expanded .5mm below the gingival margin. A total of 1mm of gum was removed. The total distance from the former gingival margin to the bone level consisted of 3mm.
Following flap reflection, an osteotomy was performed in order to gain new bone morphology and compensate further gingival margin rebound. Considering this stage as an irreversible one, it is important to proceed meticulously. Again, a surgical stent is a powerful tool to gain a certainty in bone reduction (Figs. 5 -11).
Another important stage with this patient was flap suturing. In this particular case a vertical mattress suture was used. This type of suture is quite simple to perform.
If moderate pressure is applied to the flap, and the needle penetrates the flap in the correct position, flap approximation to underling bone can be achieved in a very predictable manner.
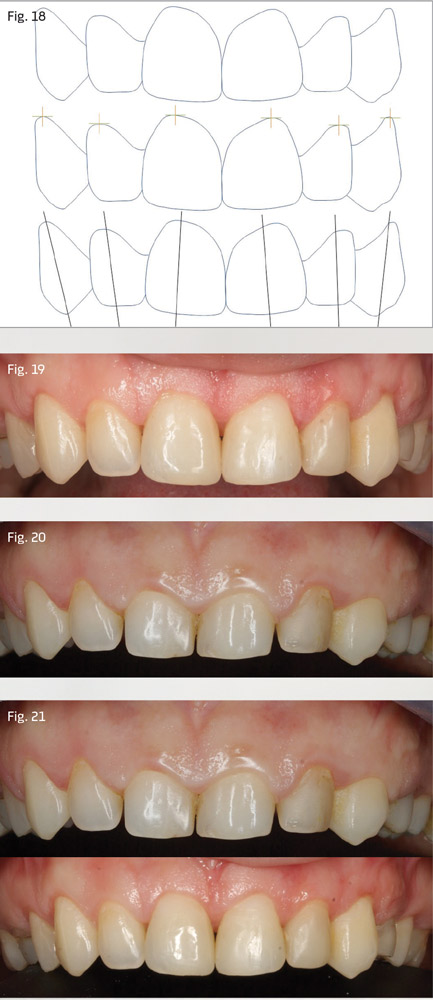
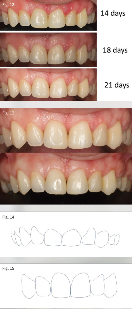
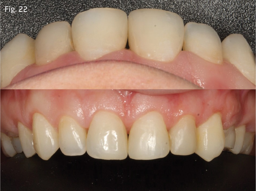
In this case, at 12 days, teeth where restored in a mock-up manner via injection molding. Going forward my plan is to deliver Emax veneers on the central incisor and upper right canine, and also a full coverage Emax crown on upper left second incisor. Mockups allow a great visual as to what further definite restoration results will look like. Additional images are included for better visualization (Figs. 12-22—see pp. 104 & 105).
Flap approximation via suturing was identical to the position desired and transferred on the surgical stent Soft tissue maturation after surgical crown lengthening does require time, in some cases even as long as 12 months. Clinically, this parameter typically does not take that long. One month post-op soft tissue was present (Figs. 23 & 24).
Certainly, further soft-tissue maturation was going to follow. This is why most of the cases I restore in the frontal sector, and where previously surgically lengthened work was done, a period of six months is needed for full maturation of gingival margins.
Conclusion
The patient wanted something to be done with her smile but she did not know how to express her concept of it. We arrived at the understanding that she wanted to have a unique, non-patterned smile. In order to achieve that, gingivial zeniths were translated distally, and the long axis of the teeth were orientated in a divergent manner.
Final smile line presented a totally new smile with a totally different morphology. The patient was pleased with the result.
References
- Coslet JG et al., Diagnosis and classification of delayed passive eruption of the dentogingival junction in the adult. Alpha Omegan. 1977 Dec;70(3):24-8.
- Proceedings of the world workshop in clinical periodontics (1996). Consensus report on mucogingival therapy. Annals of Periodontology 1, 702-706
- Pontoriero R, Carnevale G. Surgical crown lengthening: a 12-month clinical wound healing study. J Periodontol. 2001 Jul;72(7):841-8.save lives.

Dr. Cirimpei Vasile is a practicing dentist in the Republic of Moldova. He has been a member of the European Association of Dental Public Health since 2010. Vasile has published 13 articles nationally and five internationally. His primary focus is periodontal stability after pro-prosthetic periodontal surgery. He speaks five languages.
|