In Figure. 1, you'll see the traditional tofflemire band and to the right are the two styles of the Greater Curve tofflemire band. The Greater Curve bands are rainbow shaped and have been nicknamed the "banana band." When set up within the retainer, the unique shape produces an exaggerated flare from cervical to occlusal (Figs. 2 & 3). When the Greater Curve band is tightened around the tooth, the band flare extends the band outward toward the contiguous tooth. A traditional tofflemire band diverges away from the contiguous tooth when tightened within the retainer.
The technique will be demonstrated on a typodont. For anterior teeth the wide band works well due to its ample vertical height. A simple contra-angle secures the matrix up from the lingual (Figs. 4 & 5).
A labial access window is cut away with a carbide or diamond. This is easy to do. The .0015 stainless matrix cuts like butter (Figs. 6 & 7).
The cut away provides interproximal access for a small football-shaped finishing carbide. Matrix metal is cut away with a non-aggressive side-to-side motion. The side-to-side motion exposes the contact surface of the contiguous tooth leaving the contact smooth and undamaged. Go easy on the rheostat. Just barely remove metal with each swipe.
No wedging is needed. The composite contact will be a direct build of composite against the contiguous tooth. Emergence contour easily burnished into the matrix (Fig. 8).
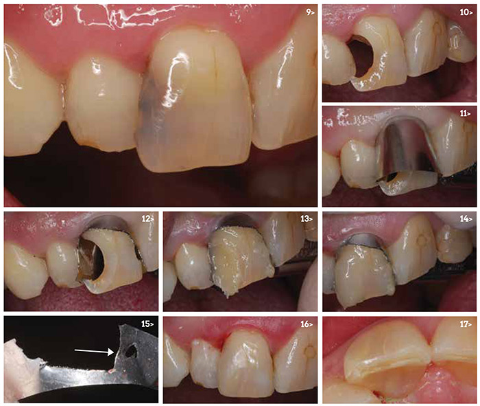
Case 1: Overlap #8
Restoring interproximal caries on overlapped #7 and #8 is challenging. The overlap makes it difficult to shape contours as well as create an anatomical contact.
Fig. 9: Massive decay distal of #8.Fig. 10: Preparation: flare the labial enamel 2mm plus. Provide plenty of taper to obscure the transition from enamel to composite.Fig. 11: Greater Curve (wide) surrounds the tooth. Using a contra-angle retrainer on the lingual allows the retainer handle to clear the teeth. Fig. 12: Labial portion of the matrix has been cut away with a diamond, providing plenty of access. A distal contact opening (as described above) was made with a small football-shaped composite finishing bur. There is no wedge to interfere with burnishing in a rounded emergence contour. Note the excellent isolation. Fig. 13: Bonding agent placed. Increments of Filtek Supreme Ultra dentin (B4) provide the base. It is tapered over the enamel bevel to hide the margin. Fig. 14: A3 enamel shade finishes the labial portion of the restoration. I could safely use the more translucent enamel shade because I had the margin obscured by the dentin shade.Fig. 15: This is the matrix after it has been pulled through the contact. Both the cut away and the contact opening are evident. The matrix cuts through the bonded contact when grasped with hemostats. At times the contact needs to be broken with a bladed instrument prior to removing the matrix. Fig. 16: Final restoration. Fig. 17: Incisal view. Developing anatomical emergence contours were made.
Case 2: Another Case of Overlapped #7 & #8
Fig. 18: Before.
Fig. 19: Preparation of #7 and #8.
Fig. 20: Greater Curve (Wide) placed around #8. Contra-angled retainer setup on the lingual side. Fig. 21: Labial cut away with a diamond or carbide. Ample access apparent. Cavity preparation well isolated.
Fig. 22: Bonding agent applied. Filtek Supreme Ultra dentin shade A2 tapered over the enamel bevel to hide the preparation margin.
Fig. 23: A thin film of white, opaque flowable spread over the dentin layer.
Fig. 24: Enamel A2 is applied over the dentin layer. Ready to finish out restoration.
Fig. 25: #8 completed.
Figs. 26 & 27: Contact opening made with a side-to-side motion with a flame-shaped composite finishing bur.
Fig. 28: Composite placed following the same sequence as shown above for the distal of #8. Ready to finish out.
Fig. 29: Matrix cuts through the bonded contact upon removal with hemostats. Contact opening evident in the matrix.
Fig. 30: #12 blade works well to shape the interproximal contact.
Fig. 31: Final restorations complete for 7 and 8.
Fig. 32: Incisal view of final restorations for 7 and 8.

Case 3: Veneering, Closing Spaces, Missing Lateral Incisors
Fig. 33: Before. Patient was missing lateral incisors. Patient chose bonding to correct the spacing.
Fig. 34: Greater Curve (wide) placed around #8. Mega Bite registration (DenMat) secures the retainer at a high angle. Positioning the retainer in this manner forces the mesial portion of the matrix toward the mesial of #9.
Fig. 35: Tooth etched and dried. Unfilled resin painted over surface, followed by light coating of flowable. The unfilled resin allows the flowable to knife-edge into the margin created by the matrix. A1 Filtek Supreme Body squished into the flowable. Everything light cured together. Composite instrument extends the matrix further during light curing.
Fig. 36: Using one eye to view the floss, make sure the adjusted midline is parallel to the patient's facial long axis. Use a Boley Gauge to make certain equal tooth widths are created. If there is a slight difference in the tooth widths, it will not be perceived if the diastema closure is parallel to the long axis of the face.
Fig. 37: The Mega Bite index allows the retainer and Greater Curve matrix to position precisely as described. Same steps as before. Etch and dry. Unfilled resin, flowable and Filtek Supreme Ultra composite cured together.
Fig. 38: Final. "Direct composite veneer and diastema" closures on #5, #6, #8, #9, #11 & #12.
The ability to bond composite to sub gingival enamel allows the dentist to create rounded emerging contours. A natural appearing space closure is fashioned. Patient declined crown lengthening. This would have improved the width to height ratio. This work is completely reversible.
The patient can opt for orthodontics or crown lengthening in the future.
Case 4: Filling in Black Triangles
Eliminating black triangles can be treated as a Class III restoration.
Fig. 39: Before. Will reduce black triangles between #7 and #8.
Fig. 40: Greater Curve (wide) band set up from the lingual with a contra angle retainer on tooth #6.
Fig. 41: Matrix is cut away as described previously. Gingival portion of the matrix is burnished into a rounded contour.
Fig. 42: Tooth etched and dried. Unfilled resin painted over surface, followed by light coating of flowable.
The unfilled resin allows the flowable to knife-edge into the margin created by the matrix. A1 Filtek Supreme Body squished into the flowable. Everything light cured together. Ready for shaping.
Fig. 43: Greater Curve (wide) set up on #7. Matrix burnished into rounded contour. Ready to fill as described above.
Fig. 44: Black triangle closed between #7 & #8. Note the natural appearing rounded contours emerging from below the gingival crest.
Case 5: Class IV Tooth #23
Class IVs on lower anteriors are difficult. The Greater Curve matrix makes it much simpler to achieve isolation and makes proper shaping of the composite possible.
Fig. 45: Class IV preparation on #23.
Fig. 46: Greater Curve (wide) is prepared for access. Contact opening is readily apparent. Contact will be a direct build against the contiguous tooth, therefore, no wedging is necessary. Fig. 47: Composite placed in layers of varying translucencies. Incisal staining also done. Ready for finishing. Fig. 48: Final Class IV composite distal #26. Fig. 49: Incisal view of final Class IV composite #26.
 |
Dr. Brown s a 1977 graduate of Ohio State University College of Dentistry. Dr. Brown describes his practice as a typical small town practice in the Village of Owensville, Ohio (near Cincinnati). Dr. Brown is the inventor of the Greater Curve matrix system for restoring Class III, IV and V composite restorations. Dr. Brown can be reached at greatercurve@gmail.com, or by phone at 866-493-3437.
Disclaimer: Dr. Brown has 100% financial interest in the Greater Curve restorative matix system.
|
|