The Endo Blog
The Endo Blog
The day to day clinical practice of endodontics at Superstition Springs Endodontics.
Jason J Hales

Apicoectomy of Mx Molar - Treating All Three Roots

Apicoectomy of Mx Molar - Treating All Three Roots

1/6/2016 10:47:49 AM   |   Comments: 0   |   Views: 1125
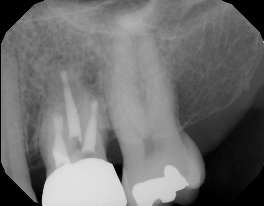
Endodontic surgery on maxillary molars is usually limited to the MB and DB roots - through a buccal approach. Surgical treatment of the palatal root often requires a palatal surgical approach, and is therefore rarely done.  In this particular surgical case, due to the root anatomy and size of the periapical lesion and osteotomy, all three roots were accessed through a buccal surgical approach.

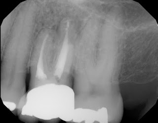
Surgical PreOp
Root resection of all three roots using a buccal approach
Retrofills with MTA
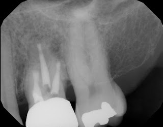
Post-Op radiograph
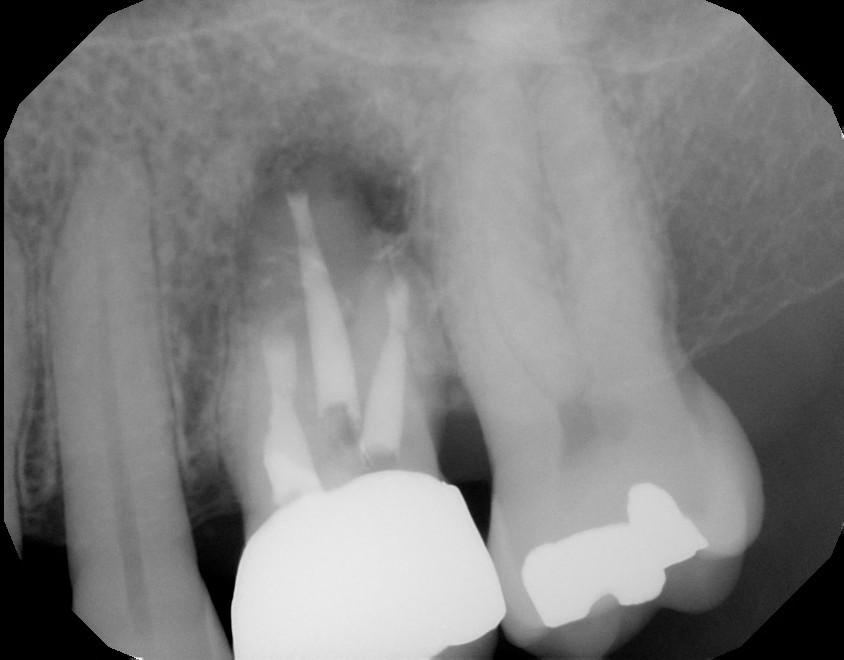
1 year recall. Patient fully functional and asymptomatic.  Radiographic healing evident.
You must be logged in to view comments.
Total Blog Activity
997
Total Bloggers
13,451
Total Blog Posts
4,671
Total Podcasts
1,788
Total Videos
Sponsors
Townie Perks
Townie® Poll
Do you routinely screen adult patients for sleep-disordered breathing or obstructive sleep apnea?
  
The Dentaltown Team, Farran Media Support
Phone: +1-480-445-9710
Email: support@dentaltown.com
©2026 Dentaltown, a division of Farran Media • All Rights Reserved
9633 S. 48th Street Suite 200 • Phoenix, AZ 85044 • Phone:+1-480-598-0001 • Fax:+1-480-598-3450