Dentaltown Learning Online
Dentaltown Learning Online
Dentaltown Learning Online and the latest outstanding continuing education offerings.
Howard Goldstein

Dentaltown Learning Online....Selective Root Retreatment: A Conservative Alternative By William J. Nudera DDS, MS

Dentaltown Learning Online....Selective Root Retreatment: A Conservative Alternative By William J. Nudera DDS, MS

10/7/2015 6:30:33 AM   |   Comments: 0   |   Views: 264
Dentaltown Learning Online is pleased to present, ".Selective Root Retreatment: A Conservative Alternative" By William J. Nudera DDS, MS.

This Endodontic CE course can be found here....
http://www.dentaltown.com/Dentaltown/OnlineCE.aspx?action=DETAILS&cid=589





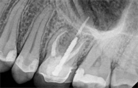
Root canal retreatment is traditionally consider an “all or none” treatment approach. Meaning, all restorative and obturation material must be removed from the entire root canal space of all roots regardless of individual periapical health. In contrast, surgical endodontics is not viewed as an “all or none” approach. It is a generally accepted that only the diseased root(s) should be addressed via root end resection and root end filling. Knowledge gained from CBCT imaging has introduced a new reasonable treatment option for endodonticaly treated teeth presenting with post treatment disease. This new concept allows the clinician to make predictable treatment decisions based on the periapical status of an individual root(s) rather than make assumptions about the tooth as a whole. A “selective root retreatment” combines the approach of an orthograde retreatment with the selectivity of a retrograde surgical root resection. It is being suggested that retreatment could be limited to a single root or roots clearly demonstrating periapical pathology while leaving the root(s) with no visible or perceived pathology untouched.

Dr. Nudera is a Diplomate of the American Board of Endodontics. He has been published nationally and internationally including multiple scientific contributions to the Journal of Endodontics. Dr. Nudera maintains a full-time private practice limited to Endodontics in Bloomingdale, IL. and currently holds a faculty position at the University of Illinois, College of Dentistry, Department of Endodontics. As an Endodontic Opinion Leader, Dr. Nudera lectures nationally and internationally on a variety of endodontic topics and issues.
You must be logged in to view comments.
Total Blog Activity
997
Total Bloggers
13,451
Total Blog Posts
4,671
Total Podcasts
1,788
Total Videos
Sponsors
Townie Perks
Townie® Poll
Do you do more or less endo procedures since you started practicing?
  
The Dentaltown Team, Farran Media Support
Phone: +1-480-445-9710
Email: support@dentaltown.com
©2025 Dentaltown, a division of Farran Media • All Rights Reserved
9633 S. 48th Street Suite 200 • Phoenix, AZ 85044 • Phone:+1-480-598-0001 • Fax:+1-480-598-3450