The Endo Blog
The Endo Blog
The day to day clinical practice of endodontics at Superstition Springs Endodontics.
Jason J Hales

Apicoectomies Preserve Teeth & Periodontium

Apicoectomies Preserve Teeth & Periodontium

5/22/2013 4:30:49 PM   |   Comments: 0   |   Views: 6747
Endodontic surgery has an established record of success.  Modern materials and equipment (microsurgery) make it even more successful.  It has become more commonplace for those who market implants to downplay the benefits of endodontic surgery, and perhaps misinform patients regarding the benefits of endodontic surgery.

In a recent updated meta-analysis of the literature regarding endodontic surgery (Tsesis et. al.), a successful outcome of endodontic surgery was seen in 89% of patients at 1 year.  It also pointed out that modern materials and equipment (MTA and microscopes) are associated with better outcomes.  While this is a short term study, the benefits of endodontic surgery are the preservation of the periodontium.  The periodontium is what gives teeth their natural appearance, form and function. 

The following case shows the benefit of endodontic surgery, use of CBCT in surgical planning, and the surgical correction of endodontic overfill.

CASE #1

This root canal was done by her general dentist 3 months earlier.  As you can see it is overfilled, post placed, crown prepped and ready for new crown, but patient continues to have symptoms with the tooth.


CBCT taken to evaluate the root morphology. It is clear that this is a single root/canal.  (The canal has an oblong shape)  It was chosen to treat this tooth with apical surgery to preserve the restorative work that has been completed and assure that the overextened gutta percha is removed.



Apicoectomy completed with MTA retrofill.


9 month recall show complete healing of the periapical lesion, tooth is fully functional and asymptomatic.  This procedure saves the patient significant time and money over extraction and implant placement.

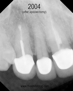
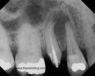
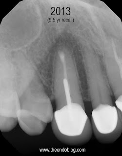
CASE #2


 This patient has crowns on #6-#11.  Tooth #6 is causing a localized ache, affected by pressure and chewing. #6 is sensitive to percussion with normal probings. DX:  Prior RCT with Symptomatic Apical Periodontitis (SAP). The margins are suspicious, but apical surgery was chosen to address the infection without disturbing the existing crown.

Apicoectomy completed, no root fractures seen with microscope. MTA retrofill.

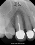
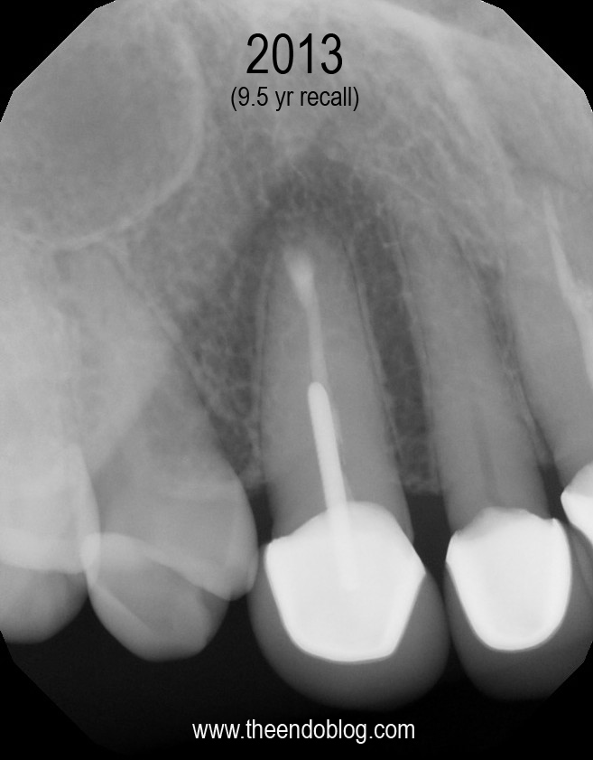
9.5 year recall.  Tooth is fully functional, asymptomatic with radiographic healing.  Apicoectomy has preserved the tooth and the periodontium for an extended period of time.

SOURCES:
Outcomes of Surgical Endodontic Treatment Performed by a Modern Technique: An Updated Meta-analysis of the Literature
Igor Tsesis, Eyal Rosen, Silvio Taschieri, Yoel Telishevsky Strauss, Valentina Ceresoli, Massimo Del Fabbro

Journal of endodontics 1 March 2013 (volume 39 issue 3 Pages 332-339 DOI: 10.1016/j.joen.2012.11.044) 
You must be logged in to view comments.
Total Blog Activity
997
Total Bloggers
13,451
Total Blog Posts
4,671
Total Podcasts
1,788
Total Videos
Sponsors
Townie Perks
Townie® Poll
Do you routinely screen adult patients for sleep-disordered breathing or obstructive sleep apnea?
  
The Dentaltown Team, Farran Media Support
Phone: +1-480-445-9710
Email: support@dentaltown.com
©2026 Dentaltown, a division of Farran Media • All Rights Reserved
9633 S. 48th Street Suite 200 • Phoenix, AZ 85044 • Phone:+1-480-598-0001 • Fax:+1-480-598-3450