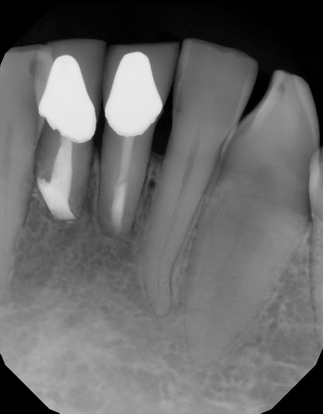
This patient came to Superstition Springs Endodontics in 2012. She reported trauma in the early 1970's - when one of her kids accidentally head butted those teeth. They became infected and a RCT was done in the early 70's. Original crowns still in place. Her dentists ever since have pointed out the radiolucency, but for the most part is has been mostly asymptomatic. Our exam finds #24 and #25 with mild percussion sensitivity, normal probings and class II+ mobility. We discussed the resorption that appears to have affected the apex of #25. We discussed options and she wanted to try to retain the tooth, so we decided to attempt an apicoectomy with guarded prognosis.
|

|
|
PreOp #24 and #25 - RCT done about 40 years earlier.
|
|

|
|
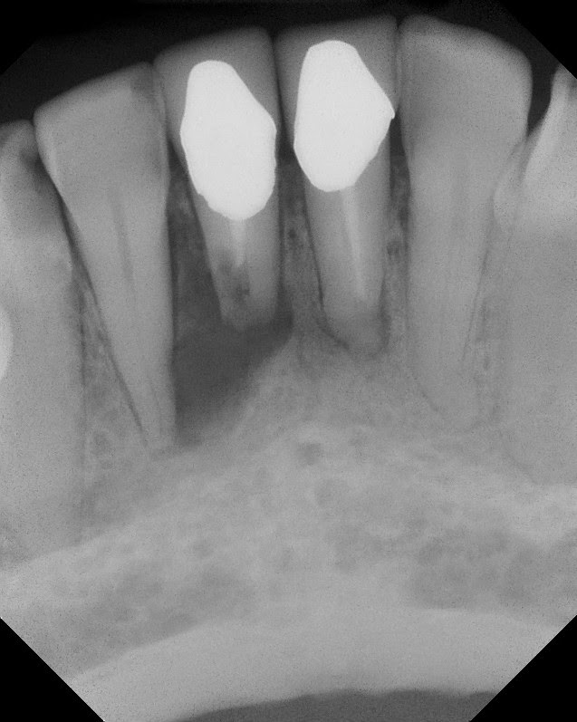
PostOp Apicoectomy
|
Because of the resorption at the apex of #25, a traditional root end preparation and filling was not possible with removing too much tooth structure. In this case, we bonded Geristore on the root apex and tried to "cap" the apex. Retrofill #24 is MTA.
At one week, the patient reported some pain and throbbing following the treatment with increased mobility. We stabilized the teeth with some bonded resin and recommended Augmentin.
At two weeks, patient reported improvement, but gingival inflammation was present and #25 had a class III mobility. Teeth were removed from occlusion to remove any occlusal trauma. We recommended a second antibiotic at that time, Clindamycin.
At three weeks post op, area is feeling better, inflammation/infection has resolved, tissue looks improved and both teeth are class II mobile.
From this point, the patient has remained asymptomatic and we have seen full resolution of PARL.
This is a tooth that would be extracted by most dentist, and by many endodontists, however, apical surgery is too often overlooked as a treatment option.
|

|
|
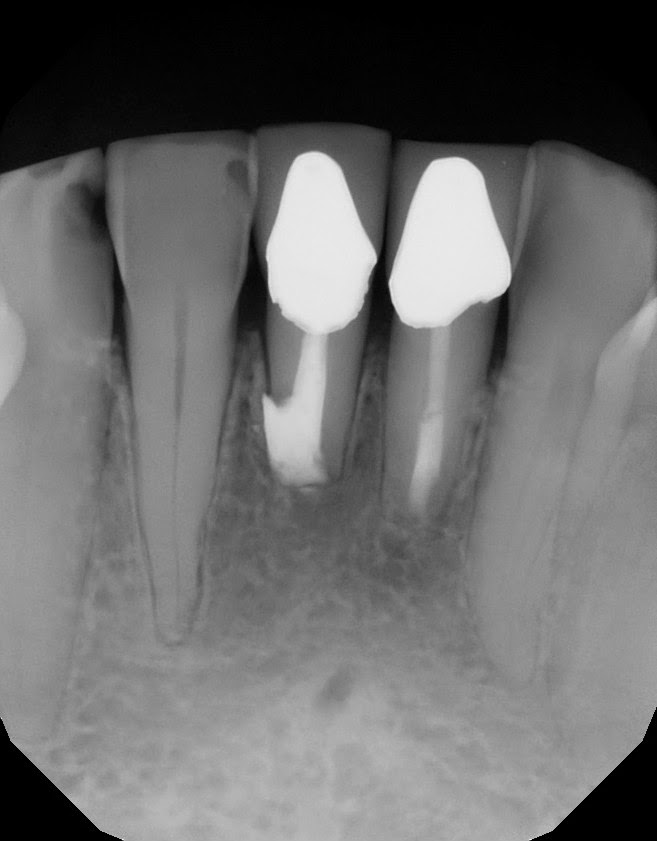
6 month Re-evaluation.
|
|

|
|
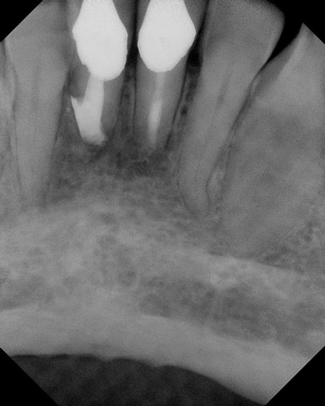
1 Year Recall
|
|

|
|
1 Year Recall
|
|

|
|
2 Year Recall - complete bony healing.
|
We should not forget how lucky we are to work in a biologic enviroment that is so forgiving and with such ability to regenerate bone.