The Endo Blog
The Endo Blog
The day to day clinical practice of endodontics at Superstition Springs Endodontics.
Jason J Hales

Root Canal Retreatment or Implant?

Root Canal Retreatment or Implant?

3/21/2013 12:16:50 AM   |   Comments: 2   |   Views: 2029

Root Canal Retreatment or Implant?

Stan, a recent reader of The Endo Blog, commented, "I'm 66 and have an abscessed pre-molar that had rct and a cap 25 years ago. Went to my dentist (who does implants) and was told rct retreatment had a 50% failure rate and the implant-cap was my best option. I had agreed and he injected anesthetic. 15 minutes later, prior to the extraction I commented on the amount of $$ that had already gone into the tooth. Shortly thereafter, after giving me Amoxicillin he said he'd do the extraction in a week. Then on my way out I learned the implant-cap would be a $2700 cost out of my pocket! I'm guessing even he felt that $4K for one tooth is a little much."

About 9 years ago I attended an implant seminar where the lecturer told the audience, "endodontic surgery is only successful about half of the time. So if endodontic surgery is being considered, you should consider extraction and implant". At the time I wondered when they would say retreatment is not successful, so you should place an implant...

3 weeks ago, the following patient presented to our office at .

This 41 year old male patient came to our office for a second opinion regarding an implant. In 5th grade he had trauma to his front tooth #9. He had root canal treatment at that time and has never had a problem until 3 months ago.

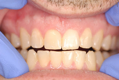
The discoloration of #9 is very obvious, however, it has never really bothered the patient.

Not a surprising root canal on a 5th grader. The apex is open, root is short, and the clincian probably did the best he could to obturate this tooth on such a young patient. Please note the normal bone and gingival tissues around the tooth. So this root canal has survived 30 years without symptoms and preserved the periodontium.

3 months ago, the tooth flared up for the first time. He had pain and swelling while on a business trip. He consulted with his general dentist regarding the issue and was presented the options:

1. Retreat RCT - which will probably not work
2. Extract & Implant - This was treatment recommended by his dentist

The patient was concerned about the cost and loss of a tooth which had given him so little problem for so many years. He sought out another general dentist for a second opinion. The next dentist sent him to our office for consultation.

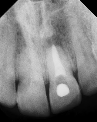
Our diagnosis was: Prior RCT w/ Asymptomatic Apical Periodontitis. The tooth was currently symptom free, but had slight mobility and an obvious apical lucency.

We discussed options of:

1. Retreat RCT - confident we could improve the prior fill, we also discussed the shortness of the root and the mobility issue. We would expect apical lesion to heal, which might help with mobility, but the shortness of the root is still a factor. Nevertheless, its still the same length root he has been using for the last 30 years...
2. Extract & Implant - This is an option, but you may want to consider the short term and long term esthetic issues associated with this implant. Short-term esthetic issues would be making a single implant match the adjacent natural teeth. Long term esthetic issue would be loss of crestal bone over time.

We recommended saving the tooth.

Retreatment elected. The old, poorly condensed gutta percha was removed.

Because of the open apex, MTA was selected as the obturation material. Coronal barrier placed to allow for internal bleaching.

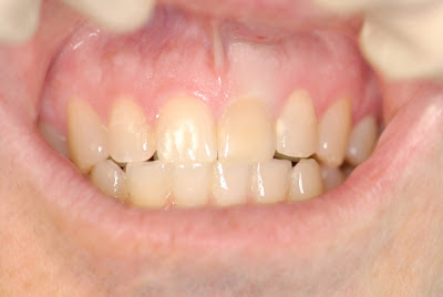
After course of antibiotics and bleaching treatment, the tooth is asymptomatic, less mobile and fully functional again.


I can't imagine anyone arguing that an extraction an implant is a better approach for this patient, but unfortunately there are some with that opinion. I think this may be partly due to a misinformed view of endodontic retreatment. In this particular case, you can see that the original RCT, which lasted only 30 years, without any crestal bone loss was a porous obturation. With normal probing depths and no signs of fracture, retreatment is obviously the best choice. If there are any of you with differing opinions, please share them with us.

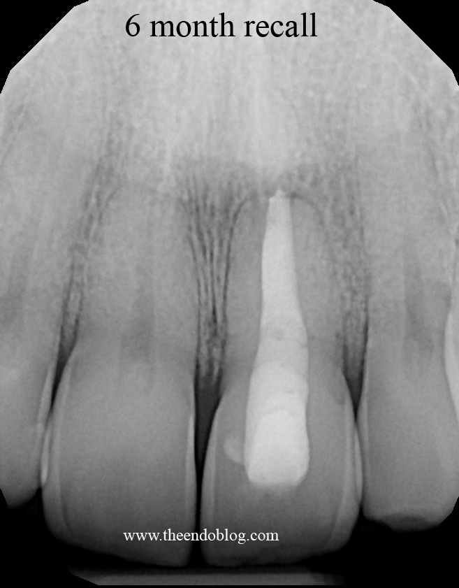
UPDATE: 6 month recall of this tooth shows complete periapical healing. Patient reports no symptoms and full function.

In an effort to help all of us understand the treatment outcomes associated with endodontic retreatment and to properly inform our patients regarding endodontic retreatment, I hope you find this information useful.

As explained previously, the historical endodontic literature has reported the success of endodontic retreatment ranging from 100% to as low as 40%. (1) Of course with a range of data like this, you can pick out a study to support whatever argument you want to make! With a paradigm shift towards evidence based medicine and dentistry came the desire to identify the best available evidence with which to make clinical decisions. In a 2004 article by Paik et. al., it was shown that of the published endodontic literature since 1970, there were very few high level studies that had been published on endodontic retreatment. (1)

A study by Torabinejad et al. (2) in 2008 did a systematic review of research from 1970 to 2008 which reviewed outcomes date for surgical treatment as well as non-surgical retreatment in an effort to compare the two treatment modalities. Studies reviewed had to meet a certain criteria for inclusion and were rated for the quality of the study. This included details such as study type, number of patients, experience of clinician, use of magnification, materials used, age of patients etc. An interesting point was there were 3 times as many studies for endodontic surgery that met the inclusion criteria as there were for non-surgical retreatment. This review reported that the overall weighted success rate for nonsurgical retreatment was 78%. (2)

Another well-known outcome assessment study is known as the Toronto Study (3). Their evaluation of endodontic retreatment included 523 teeth on 444 patients. Of the 34% of patients who were able to be recalled at 4-6 years, 81% were considered "healed". "Healed" being defined as absence of apical periodontitis, signs or symptoms. This study points out that patients who did not have apical periodontitis PRIOR to retreatment had the highest "healed" rate at 97%, while those with apical periodontitis prior to retreatment had a "healed" rate at 78%. Another predictor found in this study was perforations. Retreatments done without a perforation had a "healed" rate at 89%, while retreatments with a perforation had a "healed" rate at 43%.

Another retrospective study looking at the success of endodontic treatment (initial RCT and retreatment) performed by a single endodontist in private practice over a 30 year period had similar results. Imura et. al. selected 2000 teeth from a 30 year career for evaluation of success.(4) The success rate for teeth treated with initial endodontic therapy was 94% and the success rate for teeth treated with endodontic retreatment was 85.9%.

In an epidemiological study of 4744 teeth that had been retreated by endodontists in US, participating in Delta Dental Insurance, 89% of teeth were functioning at 5 years. (5)

These articles are just a start. I will try to add more to this body of evidence. Please feel free to suggest any additional articles that should go along with these.

In my opinion, when considering retreatment, consider the quality of the initial treatment. Was it well cleaned and shaped? Are there missed canals? Is the obturation good length? Performed under microscope? Level of expertise of the clinician? If these things can be improved upon with retreatment, then you have a good chance for success with retreatment. I think a fair estimate would be between 80-85% success rate.

We owe it to our patients to give them the option of retreatment. It is not fair to assume a tooth has a 50% success rate with retreatment. If you are concerned about the prognosis with endodontic retreatment, consult with an endodontist. Endodontists are specialists in saving teeth.

REFERENCES
1. Paik, S, Sechrist, C, Torabinejad, M. "Levels of Evidence for the Outcome of Endodontic Retreatment". 2004, JOE 30:11, 745-750.

2. Torabinejad, M, Corr, R, Handysides, R, Shabahand, S. "Outcomes of Nonsurgical Retreatment and Endodontic Surgery: A Systematic Review". 2008, JOE 35:7, p930-937.

3. Farzaneh, M, Abitbol, S, Friedman, S. "Treatment Outcome in Endodontics: The Toronto Study. Phases I and II: Orthograde Retreatment". 2004, JOE 30:9, p627-633.

4. Imura, N, Pinheiro, E, Gomes, B, Zaia, A, Ferraz, C, Souza-Filho, F. "The Outcome of Endodontic Treatment: A Retrospective Study of 2000 Cases Performed by a Specialist". 2007, JOE 33:11, p1278-1282.

5. Salehrabi, R, Rotstein, I. "Epidemiologic Evaluation of the Outcomes of Orthograde Endodontic Retreatment". 2010, JOE 36:5, p790-792.
You must be logged in to view comments.
Total Blog Activity
997
Total Bloggers
13,451
Total Blog Posts
4,671
Total Podcasts
1,788
Total Videos
Sponsors
Townie Perks
Townie® Poll
Do you routinely screen adult patients for sleep-disordered breathing or obstructive sleep apnea?
  
The Dentaltown Team, Farran Media Support
Phone: +1-480-445-9710
Email: support@dentaltown.com
©2026 Dentaltown, a division of Farran Media • All Rights Reserved
9633 S. 48th Street Suite 200 • Phoenix, AZ 85044 • Phone:+1-480-598-0001 • Fax:+1-480-598-3450