Direct Composite Veneers by Dr. David Eshom

Dentaltown Magazine

Minimally invasive cosmetic dentistry—easier, faster, more profitably


by Dr. David Eshom


Direct composite veneers—are you kidding? They’re the hardest thing to do in cosmetic dentistry! In fact, the thought of doing one or even two brings back the nightmare of my AACD accreditation case requirement. The “six or more direct composites” (Case Type V) for AACD accreditation is said to be the most failed case type in the credentialing process. Put one on a doctor’s schedule, and the sweat beads up on his forehead and gloved fingers are crossed as he picks the shade.

A lot in composite dentistry has improved since then, though, and I now use a predictable, fast and beautiful way to do direct composite veneers to improve my patients’ smiles without all the sweat or stress.

Direct Composite Veneers
Direct Composite Veneers
In-office direct composite veneers can now be created more easily, faster and more profitably with new methods, matrix inventions and a new template.

Solving the stress points

When it comes to the stresses of doing direct composite veneers, shade match, longevity, staining, chipping and contouring top the list. Most dentists instead choose porcelain veneers and transfer the artistic responsibilities to lab techs, while the dentists just make sure they grind down enough tooth structure and prepare two, four or six teeth so they match. The thought is (as my friend once put it before going into clinic to teach a hands-on porcelain veneer course), “Let’s go ‘smoke’ some enamel!” Porcelain veneers are invasive and expensive—they cost patients not only thousands of dollars but also priceless tooth structure that’s destroyed for a lifetime.

Now, though, composites that have a “chameleon effect” can match teeth without too much translucency or opacity, and without layering. Staining and chipping hazards have been addressed with the usage of matrices and warm-injection molding of composite. Plus, a facial template gives artistically challenged dentists like me a “cheat sheet” template for forming facial contours and anatomy of anterior teeth and bicuspids. This template leaves a smooth, oxygen-inhibited facial surface for easy polishing and provides a convenient method to test shades in the mouth before starting direct veneers.

Saving tooth structure, stain resistance and strength

(I credit dental inventor Dr. David Clark, Dr. Jihyon Kim and the Bioclear Learning Center for teaching me the foundations of the technique I’m about to discuss.)

To do this process, both the flowable and paste composite (Filtek Supreme from 3M) are warmed and “injected” into Bioclear’s curved mylar anterior matrices (Fig. 1), which wrap interproximally and even lingually, so when the composite is cured, it “hugs” the tooth nearly 360 degrees.

This Bioclear method of warm-injection molding also leaves composite cured in one piece (monolithic), making it stronger and more stain-resistant than conventional placement of composite, which is like placing layers of concrete over previously placed layers of concrete—a “patty-cake” placement that could incorporate voids, air or weakness into each layer bonded. Warm-injection molding is the equivalent to the pressing of porcelain like E.max—strong and monolithic—while layered composite is the equivalent to feldspathic porcelain, which is baked in layers and is weaker. Monolithic heated and injected composite has better marginal adaptation and is stronger and more stain-resistant than layered composite.1

Preserving more tooth structure

Cosmetic dentistry is not known for saving tooth structure and, in fact, tooth structure is often prepared or destroyed for the pure sake of an enhanced smile (Figs. 2a and 2b). By using Uveneer templates, Bioclear matrices and warm-injection molding, cosmetic dentistry now has direct composite veneers that are nearly completely additive, so there often is no need for tooth structure to be prepped, removed or destroyed. This is a huge advantage: Imagine adding back the tooth structure your patients have lost from years of grinding, while not removing any of their existing tooth structure.

Porcelain restorations almost always require at least 0.3mm of tooth structure removed facially, and interproximal tooth structure is frequently removed for “draw,” dark-triangle correction or hiding of margins. Warm-injecting composite into shaped matrices allows dentists to do additive dentistry with infinity margins and thicknesses at little as 0.01mm. Patients benefit because none of their tooth structure has been destroyed and their teeth and smile are renewed.

Why combining the three methods is important

One issue I had when I tried using only matrices and warm-injection molding to complete direct composite veneers was the amount of disking and contouring needed after the warm-injection process.

To get a dense injection that surrounds the tooth, an excess of material must be expressed to get the monolithic strength—but that leaves a large amount of composite cured on the facial that needs to be contoured to look like an incisor or cuspid. This takes most practitioners a lot of time to disc, contour and polish—not to mention the need of artistic talent to make it look like a natural tooth. Even though the monolithic base made this way is stain-resistant and strong, in my opinion most dentists don’t know how to do this efficiently, which keeps them from considering doing direct composite veneers.

Meanwhile, using only the templates revealed inherent weaknesses as well: I couldn’t control the interproximal margins, and the templates couldn’t be used to close dark triangles.

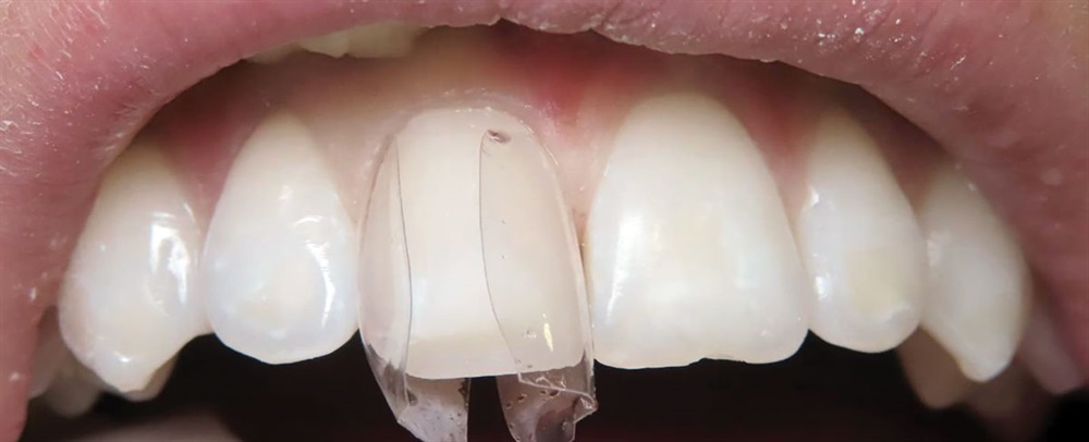
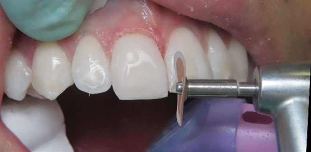
Using the Uveneer templates to shape the facial of the Bioclear method veneers, however, revolutionized my technique. I press a template onto the facial of each tooth before the composite warm-injection mass is cured (Fig. 3); once it’s in position and the excess composite has been cleared from the facial of the template (Fig. 4), the composite is cured thoroughly from facial and lingual. Three surfaces—mesial, distal and facial—have all been sealed from oxygen while curing, which leaves an oxygen-inhibited layer, meaning you get dense, strong and polished surfaces.

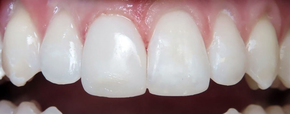
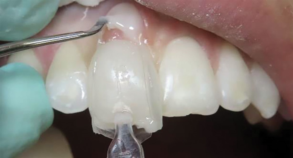
Then, I remove the matrices and tease the template from the facial of the tooth: The mesial and distal of the tooth have been shaped by the matrices, and the facial has been shaped and polished by the templates (Fig. 5). These surfaces are smoother than polishing could accomplish because the composite has been cured against the matrices’ smooth mylar and the inner or intaglio surface of the template, which leaves the underlying surface utterly smooth. If you’ve done careful work, you won’t need to polish the mesial, distal and facial surfaces at all. The only contouring needed is the blending of the junction points of the templates and matrices, and the incisal edge will also need to be checked and trimmed so it matches that of other anterior teeth (Fig. 6).

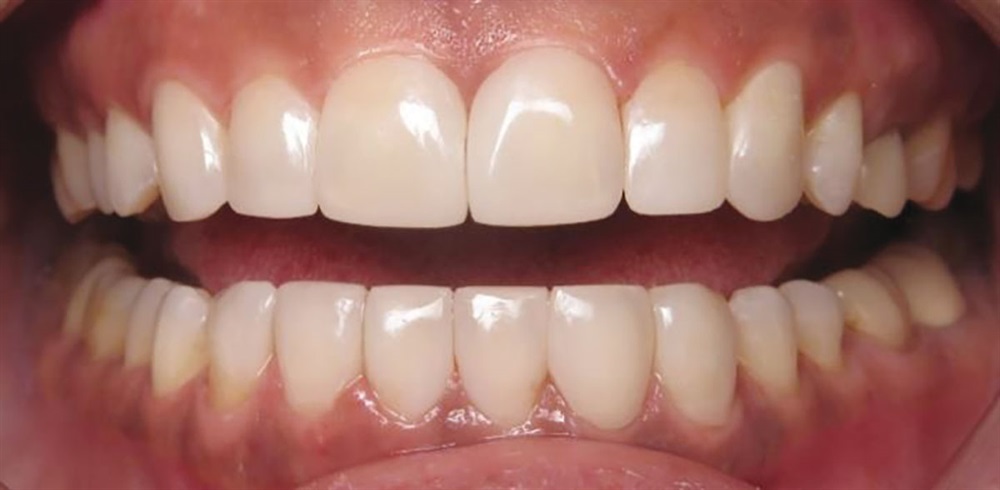
I’ve been able to do beautiful direct composite veneers at a pace of about 30 minutes each, which has improved my chair time by 50%. Now, high-quality direct composite veneers can be done efficiently, and no longer are a treatment option that has only a few applications.

Critique and conclusion

This procedure does not result in perfect outcomes cosmetically. Certainly, it can be criticized because it does not hold up to cosmetic dentistry’s standard practice of layering of incisal and body-type color to mimic natural effects. Those type of enhancements can be done through cut-back procedures after warm-injection molding, if a practitioner prefers; I choose not to do that because I believe it weakens the monolithic strength of the restoration, and the patients are perfectly happy with the appearance. Those “layered effects” are not seen at social distances, anyway. If a patient prefers such effects in their teeth, I do suggest porcelain veneers.

Direct composite veneers should be an addition to most dentists’ repertoire of services for restorative and cosmetic treatments, because with the proper materials and methods they’re easier, more predictable and more profitable than ever before. If dentists combine these tools and methods, they can provide quality direct composite veneers in an efficient and profitable manner in their office while saving their patients money and priceless tooth structure.

With this method and these materials, numerous cosmetic issues can be treated: diastemas, peg laterals, worn anterior teeth, dark triangles, stained teeth, dark teeth, short teeth, chips, misproportioned teeth, uneven incisal plane or edges, establishing anterior guidance. This all can be done in one visit, and with minimal to no tooth structure removal.

Dentaltown Magazine
Fig. 1: Patient presents with a low smile line, exposing only half of the teeth while in repose.
Dentaltown Magazine
Dentaltown Magazine
Fig. 2: Preoperative intraoral view, highlighting interproximal caries, incisal anterior wear, uneven length of central incisors, and inconsistent shade between restorations and natural teeth.
Dentaltown Magazine
Fig. 3: Preparation complete and stump shade selection.
Dentaltown Magazine
Fig. 4: Patient retemporized with modifications.
Dentaltown Magazine
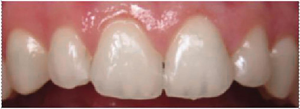
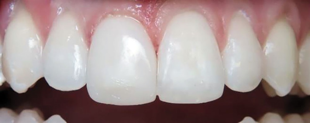
Fig. 5: Final seat of restorations of #7–10—incisal length restored, shade match of restorations with natural teeth achieved.
Dentaltown Magazine
Fig. 6: Final restorations enhancing with low smile line.

Case Study 1: Same-day smile makeover with 13 direct composite veneers to correct chips, stains, spaces and wear

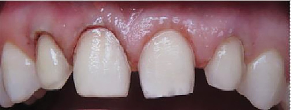
The patient presented with multiple diastemas, chips, staining and wear on her upper and lower anterior teeth (Figs. 7a–c). A highly educated counseling professional from Egypt, she had been promoted to chief counselor for her school district, where she intervenes with family and student crises at all campuses. She knew that first impressions are important and believed that her smile made her look “uneducated,” which affected her confidence and effectiveness in meetings. While researching cosmetic dental procedures, she had discovered that most treatments were damaging to tooth structure, or less permanent, and when she searched “gapped teeth” the Bioclear procedure popped up among the results. She traveled two hours to our office for treatment and was pleased with not only her smile but also the underlying fact that no tooth structure was removed in her smile makeover (Figs. 8a–c).

Dentaltown Magazine
Fig. 7a
Dentaltown Magazine
Fig. 7b

Dentaltown Magazine
Fig. 7c
Dentaltown Magazine
Fig. 8a
Dentaltown Magazine
Fig. 8b

Dentaltown Magazine
Fig. 8c

Case Study 2: 4 veneers to correct undersized laterals and alignment

This beautiful young patient was preparing for her wedding and was unhappy with her “beaver teeth” upper central incisors and undersized lateral incisors (Figs. 14a, 14b). Previous consultations resulted in dentists offering porcelain veneers or saying nothing could be done; she found our office offering “veneer-like” results with no tooth structure removal or destruction and opted for four Bioclear/Uveneer restorations. We reproportioned her teeth by enlarging her laterals first, then refacing her central incisors (Figs. 15a–d). When you can offer minimally invasive cosmetic dentistry, patients will find you for results like these (Figs. 16a, 16b).

Dentaltown Magazine
Fig. 14a
Dentaltown Magazine
Fig. 14b
Dentaltown Magazine
Fig. 15a

Dentaltown Magazine
Fig. 15b
Dentaltown Magazine
Fig. 15c

Dentaltown Magazine
Fig. 15d
Dentaltown Magazine
Fig. 16a

Dentaltown Magazine
Fig. 16b

Case Study 3: #8 dark tooth correction

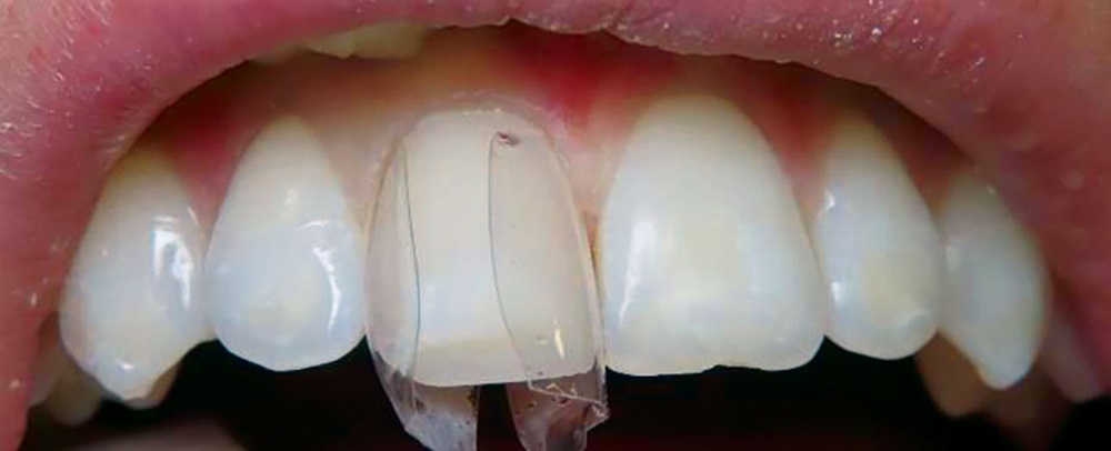
This case demonstrates this protocol’s ability to try-in shades before committing to treatment and the correction of one dark tooth. The patient, a senior in college, had always hated her one front dark tooth and the existing bonding on it (Figs. 17a–c). Her mother, a previous patient, had referred her to us, advising her not to do porcelain veneers because of the tooth structure loss and the possible need to do a second veneer to get an acceptable shade match. I was not certain that I could match the other central incisor using my method, so I used the Uveneer template to do a unbonded prototype. Upon seeing the shade match and showing it to the patient and her mother, we proceeded to remove the old existing bonding and do the direct veneer procedure described below. It came out wonderfully (Figs. 18a–c) and matched the opposite central as well as any single porcelain veneer could, all without any further removal of tooth structure.

Dentaltown Magazine
Fig. 17a
Dentaltown Magazine
Fig. 17b

Dentaltown Magazine
Fig. 17c
Dentaltown Magazine
Fig. 18a
Dentaltown Magazine
Fig. 18b

Dentaltown Magazine
Fig. 18c
Dentaltown Magazine
Matrices in place in preparation for warm-injection molding.
Dentaltown Magazine
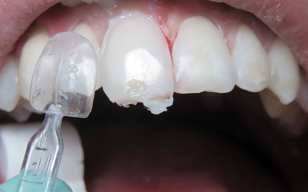
Warm flowable and paste composite injected onto tooth and into interproximal areas before template is pressed over the composite.
Dentaltown Magazine
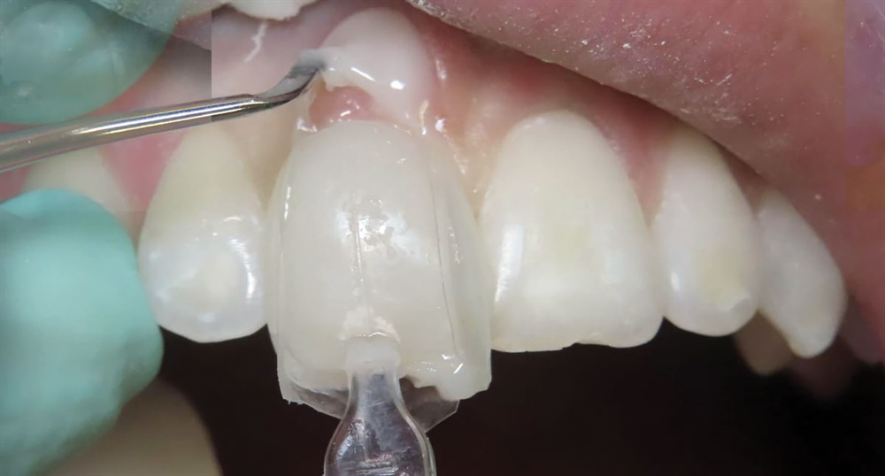
Excess removed from around template.
Dentaltown Magazine
Smooth appearance of facial surface directly after template removal. Saves time in shaping and polishing.
Dentaltown Magazine
3M medium disc refining incisal edge.
Dentaltown Magazine
Cosmodent felt wheel with Enamelize for final polishing.
Author Bio
Author Dr. David Eshom is a minimally invasive cosmetic dentist in San Diego, where he offers conservative cosmetic dentistry that preserves natural tooth structure by using Invisalign, direct bonding and porcelain veneers. He is an accredited and credentialed member of the American Academy of Cosmetic Dentistry. Eshom, who graduated from the University of the Pacific Arthur A. Dugoni School of Dentistry, has more than 30 years of experience. He has lectured internationally on clear aligners, direct composite restorations, cosmetic dentistry and case acceptance. He also mentors young dentists and predental students, and proctors a cosmetic dentistry resident in his office through the AACD.
 
Sponsors
Townie Perks
Townie® Poll
Do you routinely screen adult patients for sleep-disordered breathing or obstructive sleep apnea?
  
The Dentaltown Team, Farran Media Support
Phone: +1-480-445-9710
Email: support@dentaltown.com
©2026 Dentaltown, a division of Farran Media • All Rights Reserved
9633 S. 48th Street Suite 200 • Phoenix, AZ 85044 • Phone:+1-480-598-0001 • Fax:+1-480-598-3450