Show Your Work: A Complex Restoration by Dr. Sonny Torres Oliva

Dentaltown Magazine

by Dr. Sonny Torres Oliva

Introduction
For this 31-year-old patient, an inability to afford or prioritize the care and treatment of his visibly damaged and decayed teeth—combined with a longtime fear of going to the dentist—led to a mouthful of severely deteriorated dentition and a history of chronic periodontal inflammation, multiple recurrent decay and incomplete treatments.

Over the years, friends, family members and co-workers would occasionally comment about his smile and ask what he was doing to fix it. Although he had regular cleanings every six months until he was in middle school (when his mother was in charge of his appointments), as he grew older he didn’t develop a regular brushing habit. As the cavities developed more frequently—and despite the use of nitrous oxide—his dental visits became increasingly unpleasant.

Push finally came to shove last summer when yet another relative commented on his smile, which prompted him to reach out to a longtime friend who worked for Ivoclar Vivadent, servicing dental laboratories and my practice.

During a consultation in New York the patient reported that, before this visit, he hadn’t been to a dentist for at least three years.

Given the likely extent of the treatment required to restore the patient to optimum oral health and function—as well as the fact that he would need to travel six hours each way for appointments—an ideal treatment schedule and appointment sequence could have been every Monday for six months. However, because the patient had just opened a new office in Cape Cod, Massachusetts, at the start of his company’s busy season, a twice-monthly schedule of all-day appointments was agreed upon.

During the first appointment, oral prophylaxis and debridement were performed, and root canal therapy was undertaken for teeth 6–8, 22 and 28. In the afternoon, implants were placed at the sites of 3, 12 and 15 (Figs. 13–15, p. 36).

Dentaltown Magazine
Tools
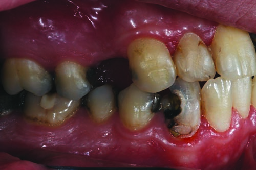
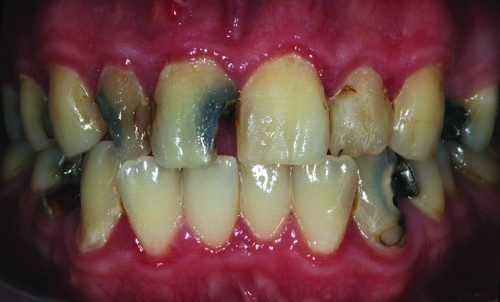
Fig. 2: Close-up retracted facial view of the patient’s upper and lower arches reveals extensive decay, missing teeth and obvious gingival inflammation.
Tools
Fig. 3: The preoperative right lateral view shows evidence of the failing mesial/occlusal/distal (MOD) amalgam restorations in teeth #2, #4, #5, #29, #30, #31 and #32, as well as the need to replace missing tooth #3.
Tools
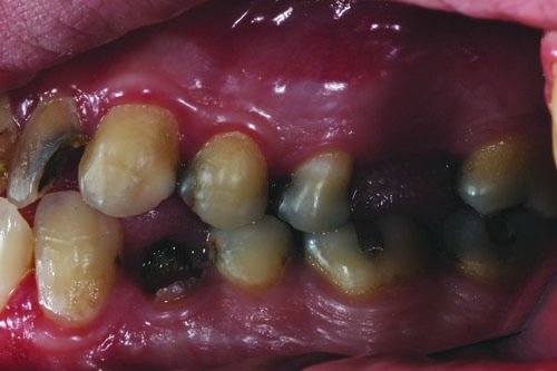
Fig. 4: The preoperative left lateral view reveals that any treatment undertaken should address the patient’s numerous missing teeth, including #12, #15, #16 and #17 and multiple MOD amalgam restorations on teeth #13, #14 and #18 through #21.
Tools
Fig. 5: Close-up retracted view of the maxillary central and lateral incisors. Examination revealed that teeth #7 and #8 presented carious lesions and periapical periodontitis (PAP) that would require root canal therapy. Tooth #10 had previously undergone root canal therapy, but no post or core had been placed.
Tools
Fig. 6: Interestingly, in the patient’s mandibular arch, teeth #24 and #25 were intact and teeth #23, #26 and #27 had composite restorations.
Tools
Fig. 7: Palatal view of the maxillary arch revealing the distal/lingual (DL) composite restorations on teeth #9 and #11.
Tools
Fig. 8: Occlusal view of the patient’s mandibular arch. Tooth #22 presented with a DL carious lesion without PAP, while tooth #28 presented with MOD decay without PAP.

Tools

Fig. 11: Preoperative models were mounted, studied and used to determine ratios that should be incorporated into the restoration designs.
Tools
Fig. 9: A bite registration was made.
Tools
Fig. 10: A facebow transfer was recorded.
Fig. 12: It was very important to illustrate for the patient what the anticipated aesthetic and functional outcomes would look like, even before any procedures, to build his trust and confidence in the restorative process. Therefore, Smile Designer Pro was used to create a digital mock-up of the patient’s smile. This enabled the patient to visualize how his smile would be restored through a combination of root canal therapy, posts/cores and lithium disilicate crowns (e.g., IPS E.max) on teeth #6, #7, #8, #22 and #28; endosteal implants, custom abutments and IPS E.max crowns on teeth #3, #12 and #15; IPS E.max crowns on teeth #2, #4, #5, #10 (with post/core), #13 and #14; lithium disilicate (IPS E.max) veneers for teeth #9, #11 and #23 through #27; and conservative IPS E.max onlays for teeth #18 through #21 and #29 through #31. Alternative treatments discussed with the patient included a zirconia bridge spanning teeth #2 through #4, as well as for teeth #11 through #13. Regardless of the ultimate restorative decision, long-term provisionalization would be required for teeth #2 through #14.
Tools
Fig. 13: A Straumann 4.8x14 implant was placed at the #3 site.
Tools
Fig. 14: A 4.1x14 Straumann implant was placed at the #13 site.
Tools
Fig. 15: A Straumann 4.8x12 implant was used at the #15 site.
Tools
Fig. 16
Tools
Fig. 17
Tools
Fig. 18
Tools
Fig. 19
Figs. 16–19. In anticipation of the second appointment two weeks later, the study models were prepared for long-term provisional restorations and scanned with a 3Shape scanner. This enabled the provisional restorations to be designed digitally and then milled chairside from composite blocks (e.g., Telio CAD, Ivoclar Vivadent). In particular, during the second appointment, posts and cores would be placed in teeth #6 through #8, #22 and #28, and initial tooth preparation and long-term provisional installation would be performed for teeth #2 through #14.
Tools
Fig. 20: View of the 3Shape Trios scan of the prepared model.
Tools
Fig. 21: The design of the provisional restorations was proposed.
Tools
Fig. 22: View of the more refined proposal for the provisional restorations prior to milling.
Tools
Fig. 23
Tools
Fig. 24
Figs. 23 and 24: After milling, the Telio CAD provisional was seated back onto the model to confirm fit and form from the labial and lingual aspects.
Tools
Fig. 25: A putty matrix was made to help guide an incisal edge cutback.
Tools
Fig. 26: An incisal edge cutback was performed to allow aesthetic characterization, staining and glazing for a more natural appearance.
Tools
Fig. 27: Once the cutbacks were made, the reduction was verified against the putty matrix.
Tools
Fig. 28: The completed Telio CAD provisional restorations were tried back onto the model to verify fit and aesthetic qualities.
Tools
Fig. 29: View of the long-term provisional restorations after insertion at the second appointment. The third appointment was scheduled for four months later, during which time final preparation and refinement of teeth #2 through #14 was performed and final impressions were taken.
Tools
Fig. 30
Tools
Fig. 31
Tools
Fig. 32
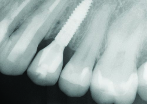
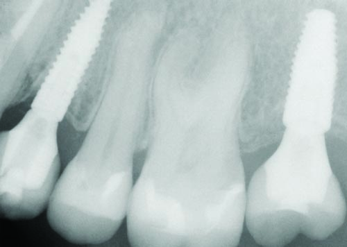
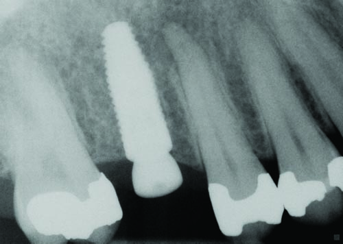
Figs. 30–32: Two weeks later, the fourth appointment was reserved for restoration try-in and final impressions on the endosteal implants. It was during the fifth appointment, scheduled for two weeks later, that the implant-supported IPS E.max crown restorations were delivered, as well as the other definitive maxillary restorations, and any necessary adjustments made. These postoperative radiographs confirmed healing at the #3, #12 and #15 sites, which were all ultimately restored with Straumann implants, custom titanium abutments and IPS E.max crowns.
Tools
Fig. 33
Tools
Fig. 34
Tools
Fig. 35
Tools
Fig. 36
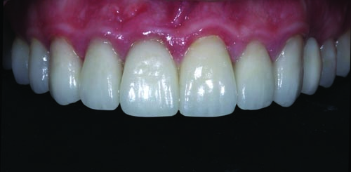
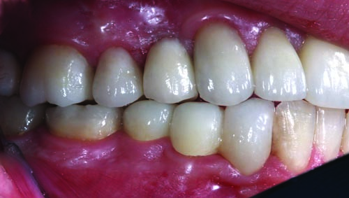
Fig. 33: Close-up retracted postoperative view of the definitive maxillary restorations, which included IPS E.max onlays, crowns and veneers.

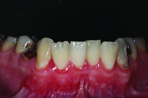
Figs. 34–36. The three subsequent and final appointments were scheduled two weeks apart to focus exclusively on completing the restoration of the mandibular arch. In particular, the sixth appointment was dedicated to final preparations and impression taking on teeth #18 through #31. Two weeks later, the definitive IPS E.max crowns for teeth #18, #19, #30 and #31 and the full Katana zirconia bridges for teeth #20 through #22 and teeth #27 through #29 were inserted during the seventh appointment. Any adjustments required were performed two weeks later during the eighth scheduled appointment.
Tools
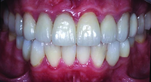
Fig. 37: Final full-facial postoperative view of the patient in his natural smile.

Conclusion
Following the completion of his treatment, the patient repeatedly commented about how amazing and far more comfortable the process was than he ever could have expected. Interestingly, he often recalls the appointment during which multiple root canals were performed, noting that he was so comfortable that he almost fell asleep. Not only did my team and I provide the patient with a healthy and attractive smile that bolstered his confidence professionally, socially and functionally, but we also provided him with a peaceful and relaxed sense of ownership of his dental health.

Check it out!

Show your work in Dentaltown!
If you’ve got a case you think might be a great study for Show Your Work, email editor Sam Mittelsteadt: sam@dentaltown.com. Be sure to include a sentence that sums up why the case is so special to you, to help us review and select the best contenders for publication.

Author Bio
Author Dr. Sonny Torres Oliva is a 2003 graduate of the New York University College of Dentistry. Named the “Zentist” by The New York Times, he maintains a private practice in Manhattan dedicated to providing exceptional cosmetic and restorative dentistry in a gentle, comfortable and relaxed manner.
 
 

Support these advertisers included in the July 2018 print edition of Dentaltown magazine.

Click here for an entire list of supporters.

 
Sponsors
Townie Perks
Townie® Poll
Do you routinely screen adult patients for sleep-disordered breathing or obstructive sleep apnea?
  
The Dentaltown Team, Farran Media Support
Phone: +1-480-445-9710
Email: support@dentaltown.com
©2026 Dentaltown, a division of Farran Media • All Rights Reserved
9633 S. 48th Street Suite 200 • Phoenix, AZ 85044 • Phone:+1-480-598-0001 • Fax:+1-480-598-3450